兩種類型的巨噬細胞:M1型和M2型巨噬細胞
日期:2023-11-28 09:18:56
巨噬細胞是常見的噬菌細胞,屬于免疫細胞的一種。它是一種分布在組織中的白細胞,起源于單核細胞。巨噬細胞具有可塑性和多功能性的特點。它在清除老化或凋亡細胞、吞噬與免疫相關的復合物和病原體,以及維持體內穩態方面發揮著重要作用。巨噬細胞的表型和功能可能會受到微環境的極化影響。

圖1. 巨噬細胞的可塑性
1. 巨噬細胞分類
根據巨噬細胞的活化狀態和功能,它們可以分為M1型(經典活化巨噬細胞)和M2型(替代活化巨噬細胞)[1] [2]。
IFN-γ可以將巨噬細胞分化為促炎性的M1巨噬細胞。與IFN-γ不同,Th2細胞產生的IL-4 [3]可以將巨噬細胞轉化為抑制炎癥的M2型巨噬細胞。
M1巨噬細胞的作用是分泌促炎性細胞因子和趨化因子,呈遞抗原,從而參與積極的免疫應答,作為免疫監視的功能。它產生的主要促炎細胞因子是IL-6、IL-12和TNF-alpha。
M2巨噬細胞主要分泌Arginase-I、IL-10 [4] [5] 和TGF-β等抗炎細胞因子,具有減少炎癥和促進腫瘤生長及免疫抑制功能 [6]。它在傷口愈合和組織修復中發揮重要作用。
總之,巨噬細胞是一把“雙刃劍”,它既可以阻止癌細胞的擴散,也可以幫助癌細胞的生長和擴散。在特定的微環境中,M1和M2巨噬細胞也可以相互轉化 [7]。

圖2. 巨噬細胞的類型
2. 巨噬細胞功能的兩個方面
巨噬細胞在腫瘤殺傷方面的積極作用:活化的巨噬細胞產生TNF、水解蛋白酶、干擾素和過氧化物,直接殺傷或抑制腫瘤細胞的生長。活化的巨噬細胞分泌IL-1并激活T細胞產生各種抗腫瘤的細胞毒性淋巴細胞,這些細胞可以直接殺傷腫瘤,或者通過活化的LAK細胞、腫瘤浸潤淋巴細胞或NK細胞與巨噬細胞合作來殺傷腫瘤。
巨噬細胞促進腫瘤生長和轉移:巨噬細胞促進腫瘤生長和轉移的機制是,巨噬細胞產生腫瘤生長促進物質,如腫瘤血管生長因子、人類腫瘤單克隆細胞生長因子和一些酶和激活因子,可以分別導致腫瘤血管生成和促進腫瘤細胞擴張。
另一方面,巨噬細胞分泌的酶破壞了腫瘤周圍的組織,促進了腫瘤細胞的增殖和轉移。巨噬細胞的惡性轉化也導致腫瘤轉移。
3. 影響巨噬細胞極化的轉錄因子和信號通路
巨噬細胞的表型和功能極化受多種因素調控。影響巨噬細胞極化的信號傳導體和轉錄活化因子如下:STATs、干擾調節因子(IRFs)、核因子(NF-kappab)、激活蛋白(AP1)、過氧化物酶體增殖激活受體(PPAR-gamma)和cAMP響應元結合蛋白(CREB)。它們相互作用以調節巨噬細胞的表型。

圖3. 影響巨噬細胞極化的因素
Notch通路通過控制基因表達調控巨噬細胞極化,從而調節免疫應答。
髓源性巨噬細胞在LPS和toll樣受體的刺激下激活Notch1和NF-kappab,從而使m1型巨噬細胞極化。Notch1依賴性M1極化的一種分子機制是NICD1對M1型基因的反激活,從而產生Notch1激活的效應 [8]。此外,IRF5與M1巨噬細胞極化有關,可被動脈粥樣硬化中的炎癥刺激 [9],IRF5蛋白的硝化作用可抑制IRF5靶向的M1巨噬細胞信號基因激活 [10]。
JAK-STAT信號通路也與巨噬細胞的表型活性密切相關 [11]。IFN(干擾素)通過這一信號通路起作用。IFN-γ可誘導M1巨噬細胞極化。IFN-α/IFN-β介導的信號通路在巨噬細胞極化中的作用尚不清楚,但已知在一定條件下可增強抗炎作用。
PI3K通路在巨噬細胞的存活中起著重要作用 [12]。不同AKt激酶對巨噬細胞極化的影響不同。其中,AKt1可被PI3K激活,AKt1消融導致m1型巨噬細胞極化,AKt2消融導致m2型巨噬細胞極化 [13][14]。
除了上述信號通路外,線粒體生物合成在巨噬細胞極化過程中也起著重要作用 [15]。此外,HGF通過激活JAK2/STAT3信號通路,促進巨噬細胞從M1向M2的轉化。但其分子機制尚不清楚。
4. 跨度巨噬細胞標記
CD68和CD11b是巨噬細胞的總標記。對于M1和M2巨噬細胞,它們有特定的標記。
4.1 M1巨噬細胞標記
M1巨噬細胞可以選擇CD80、CD86、CD64、CD16和CD32作為標記。此外,M1中的一氧化氮合酶(iNOS)的表達也可以作為表型標記。
● CD80
CD80,又稱B7、B7.1或BB1,是T淋巴細胞激活抗原。它的分子量為60 kD。它與CD86協同作用,激活T淋巴細胞,在自身免疫監測、體液免疫應答和移植應答中發揮重要作用。
● CD86
CD86,又稱B7.2,是T淋巴細胞激活抗原,分子量為80 kD,可以在樹突狀細胞、單核細胞、T淋巴細胞和B淋巴細胞中表達。CD86與其配體CD28和CTLA4相互作用,誘導T淋巴細胞增殖并產生IL-2。
● CD64
CD64,又稱高親和力免疫球蛋白γ Fc受體Ⅰ,具有先天免疫反應和適應性免疫反應的功能。
● CD32
CD32也稱為低親和力免疫球蛋白γ Fc區域受體Ⅱ-b,參與免疫復合物的吞噬和B細胞對抗體生成的調控。
4.2 M2巨噬細胞標記
CD163和CD206是鑒定M2巨噬細胞的主要標記 [16] [17] [18]。與M2型細胞相關的表面標記還包括CD68。與標記CD68相比,CD163對巨噬細胞更具選擇性,因此CD163可以作為M2型巨噬細胞的高度特異性標記 [19]。
此外,精氨酸酶1(Arg1)[20]和DECTIN-1也是用于鑒定M2巨噬細胞的理想表型指標。
研究還顯示,FIZZ1、Ym1和Ly6C [21] [22]也可以用作與M1或M2巨噬細胞亞群相關的表面標記。
● CD206
CD206,也稱為甘露糖受體1,是一種主要存在于巨噬細胞和未成熟樹突狀細胞中的C型凝集素。它促進巨噬細胞的活化、抗原呈遞和免疫反應 [23]。
● CD163
CD163是高度特異的M2型腫瘤相關巨噬細胞標記,主要在單核細胞和巨噬細胞表面表達。CD163屬于富含半胱氨酸的B家族類蛋白。它僅在單核巨噬細胞系中表達。
CD163不僅可以抵抗炎癥,還作為腫瘤相關巨噬細胞家族成員,在腫瘤增殖和轉移方面發揮重要作用。研究表明,CD163與乳腺癌、膀胱癌、肺癌、結直腸癌等惡性腫瘤密切相關 [24]。CD163的浸潤程度影響腫瘤的增殖、侵襲、轉移和預后。
● CD68
CD68參與巨噬細胞的吞噬活性。從內體和溶酶體快速循環到質膜上,這可能允許在選擇素底物或其他細胞上識別它。
最近的研究表明,僅在髓系細胞中表達MS4A4A,且在單核細胞衍生的M1和M2巨噬細胞中調節不同 [25],可以用作區分M1和M2巨噬細胞的標記。
在M1或M2巨噬細胞中最顯著的基因中,CD38、Gpr18和Fpr2是新的M1標記,而Egr2和C-MYC是M2標記。基于CD38/Egr2的流式細胞術可以區分M1和M2巨噬細胞,并且在經典的iNOS、精氨酸酶-1和CD206表型標記方面具有優勢 [26]。
5. 巨噬細胞與疾病
巨噬細胞參與組織中病原體的清除。當激活時,巨噬細胞可以吞噬和殺滅病原微生物,釋放促炎因子,并收集和激活淋巴細胞以誘導適應性免疫反應。
巨噬細胞功能異常可能導致多種疾病。M1型巨噬細胞不僅與傳染病和炎癥性疾病有關,還與動脈硬化和胰島素抵抗等代謝性疾病有關。M2巨噬細胞也與多種疾病的發展有關。
6. 相關產品
● 華美生物精選重組蛋白
Code: CSB-BP624104HU(M)
Measured by its binding ability in a functional ELISA. Immobilized Human IL17A at 2 μg/ml can bind Anti-IL17A recombinant antibody (CSB-RA624104MA1HU), the EC50 is 1.818-2.170 ng/mL.
Code: CSB-YP011664HU
Measured by its binding ability in a functional ELISA. Immobilized Human IL6 at 2μg/mL can bind Anti-IL6 recombinant antibody (CSB-RA011664MA1HU),the EC50 is 35.80-41.82 ng/mL
● 華美生物精選抗體
CSB-RA801238A0HU
Overlay histogram showing Raw264.7 cells stained with CSB-RA801238A0HU (red line) at 1:50.
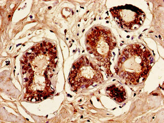
Immunohistochemistry of paraffin-embedded human breast cancer using CSB-PA05865A0Rb at dilution of 1:100
CSB-MA015943A0m
Overlay Peak curve showing HepG2 cells stained with CSB-MA015943A0m (red line) at 1:50.
Immunofluorescent analysis of HepG2 cells using CSB-PA011590LA01HU at dilution of 1:100.
● 華美生物精選ELISA試劑盒
檢測范圍:
6.25 pg/mL-400 pg/mL
檢測范圍:
15.6 pg/ml-1000 pg/ml
檢測范圍:
7.8 pg/mL-500 pg/mL
檢測范圍:
7.8 pg/mL-500 pg/mL
參考文獻:
[1] Germano G, Frapolli R, Belgiovine C, et al. Role of Macrophage Targeting in the Antitumor Activity of Trabectedin [J]. Cancer cell, 2013, 23(2): 249-262.
[2] Mosser D M, Edwards J P. Exploring the full spectrum of macrophage activation [J]. NATURE REVIEWS IMMUNOLOGY, 2008, 8(12): 958-969.
[3] Abramson S L, Gallin J I. IL-4 inhibits superoxide production by human mononuclear phagocytes [J]. Journal of Immunology, 1990, 144(2): 625-630.
[4] Biswas S K, Mantovani A. Macrophage plasticity and interaction with lymphocyte subsets: cancer as a paradigm [J]. Nature Immunology, 2010, 11(10): 889-896.
[5] Grohmann U, Belladonna M L, Vacca C, et al. Positive Regulatory Role of IL-12 in Macrophages and Modulation by IFN-γ [J]. The Journal of Immunology, 2001, 167(1): 221-227.
[6] Ginderachter J A V, Movahedi K, Ghassabeh G H, et al. Classical and alternative activation of mononuclear phagocytes: Picking the best of both worlds for tumor promotion [J]. 2006, 211(6-8): 0-501.
[7] Wynn T A, Chawla A, Pollard J W. Macrophage biology in development, homeostasis and disease [J]. Nature, 2013, 496(7446): 445-455.
[8] Xu J, Chi F, Tsukamoto H. Notch signaling and M1 macrophage activation in obesity-alcohol synergism [J]. Clinics and Research in Hepatology and Gastroenterology, 2015, 39: S24-S28.
[9] Saliba D, Heger A, Eames H, et al. IRF5: RelA Interaction Targets Inflammatory Genes in Macrophages [J]. Cell Reports, 2014, 8(5): 1308-1317.
[10] Lu G, Zhang R, Geng S, et al. Myeloid cell-derived inducible nitric oxide synthase suppresses M1 macrophage polarization [J]. Nature Communications, 2015, 6: 6676.
[11] Hall C J, Boyle R H, Astin J W, et al. Immunoresponsive gene 1 augments bactericidal activity of macrophage-lineage cells by regulating β-oxidation-dependent mitochondrial ROS production [J]. Cell Metabolism, 2013, 18(2): 265-278.
[12] Zizzo G, Cohen P L. IL-17 Stimulates Differentiation of Human Anti-Inflammatory Macrophages and Phagocytosis of Apoptotic Neutrophils in Response to IL-10 and Glucocorticoids [J]. The Journal of Immunology, 2013, 190(10): 5237-5246.
[13] Arranz A, Doxaki C, Vergadi E, et al. Akt1 and Akt2 protein kinases differentially contribute to macrophage polarization [J]. Proceedings of the National Academy of Sciences, 2012, 109(24): 9517-9522.
[14] Xu F, Kang Y, Zhang H, et al. Akt1-Mediated Regulation of Macrophage Polarization in a Murine Model of Staphylococcus aureus Pulmonary Infection [J]. Journal of Infectious Diseases, 2013, 208(3): 528-538.
[15] Macgarvey N C, Suliman H B, Bartz R R, et al. Activation of mitochondrial biogenesis by heme oxygenase-1-mediated NF-E2-related factor-2 induction rescues mice from lethal Staphylococcus aureus sepsis [J]. American Journal of Respiratory & Critical Care Medicine, 2012, 185(8): 851-61.
[16] Tedescoa S, Bolegoa C, Tonioloa A, et al. Phenotypic activation and pharmacological outcomes of spontaneously differentiated human monocyte-derived macrophages [J]. Immunobiology, 2015, 220(5): 545-554.
[17] Rebelo S P, Pinto C, Martins T R, et al. 3D-3-culture: A tool to unveil macrophage plasticity in the tumour microenvironment [J]. Biomaterials, 2018.
[18] Wang S, Zhang J, Sui L, et al. Antibiotics induce polarization of pleural macrophages to M2-like phenotype in patients with tuberculous pleuritis [J]. Scientific Reports, 2017, 7(1).
[19] Shabo I, Svanvik J. Expression of macrophage antigens by tumor cells [J]. Oxygen Transport to Tissue XXXIII, 2011, 714: 141-150.
[20] Stoermer K A, Burrack A, Oko L, et al. Genetic Ablation of Arginase 1 in Macrophages and Neutrophils Enhances Clearance of an Arthritogenic Alphavirus [J]. The Journal of Immunology, 2012, 189(8): 4047-4059.
[21] Raes G, Baetselier P D, Wim No?l, et al. Differential expression of FIZZ1 and Ym1 in alternatively versus classically activated macrophages [J]. Journal of Leukocyte Biology, 2002, 71(4): 597.
[22] Dragomir A C D, Sun R, Choi H, et al. Role of Galectin-3 in Classical and Alternative Macrophage Activation in the Liver following Acetaminophen Intoxication [J]. The Journal of Immunology, 2012, 189(12): 5934-5941.
[23] Lawrence T, Natoli G. Transcriptional regulation of macrophage polarization: enabling diversity with identity [J]. NATURE REVIEWS IMMUNOLOGY, 2011, 11(11): 750-761.
[24] Shabo I, Olsson H, Elkarim R, et al. Macrophage Infiltration in Tumor Stroma is Related to Tumor Cell Expression of CD163 in Colorectal Cancer [J]. Cancer Microenvironment, 2014, 7(1-2): 61-69.
[25] Sanyal R, Polyak M J, Zuccolo J, et al. MS4A4A: a novel cell surface marker for M2 macrophages and plasma cells [J]. Immunology and Cell Biology, 2017.
[26] Jablonski K A, Amici S A, Webb L M, et al. Novel Markers to Delineate Murine M1 and M2 Macrophages [J]. PLOS ONE, 2015, 10(12): e0145342-.
上一篇: 膠質纖維酸性蛋白-膠質細胞特異性標記物
下一篇: 淋巴細胞的表面標志物






