多克隆抗體定制服務
多克隆抗體存在于免疫動物的血清中,可通過直接分離血清獲得。由于具有可識別多個表位、可引起凝集反應、沉淀反應等優點,被廣泛應用于免疫學診斷領域。比如經常用到的Western blotting實驗中的酶標二抗和ELISA實驗中的包被抗體。而且制備費用也較單克隆抗體低。
華美生物自主建立抗體研發生產平臺,可為您提供可靠的多克隆抗體定制服務,并有多種免疫原和多種宿主物種可供選擇。您可以選擇自己提供抗原或者我們幫您設計并制備抗原,我們將提供給您滿足您實驗需求的多克隆抗體產品。
服務流程:
服務內容及周期:
| 免疫原 | 服務內容 | 交付內容 | 服務周期 |
|---|---|---|---|
| 多肽 |
|
|
12-14 周 |
| 重組蛋白 | 14-16 周 | ||
| 天然蛋白 | 12-14 周 | ||
| mRNA-LNP | 14-16 周 |
服務實例:
ELISA
Antigen coating concentration 2 ug/ml
Antiserum 1:2000 is more than
diluted
Secondary:Goat polyclonal to rabbit IgG at 1/50000 dilution
Western Blot
Positive WB detected in:K562 whole cell lysate,HL-60 whole cell
lysate,Hela whole cell lysate, MCF-7 whole cell lysate, HepG2 whole
cell lysate,Rat liver tissue, Mouse brain tissue, Mouse lung
tissue
All lanes:a antibody at 2ug/ ml
Secondary
Goat
polyclonal to rabbit IgG at 1/50000 dilution
Predicted band size:
64 KDa
Observed band size: 64 KDa
Western Blot
WT: Wild-type 293 cells
KO: Knockout 293 cells
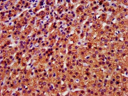
IHC image of A antibody diluted at 1:400 and staining in paraffin-embedded human adrenal gland tissue performed on a Leica BondTM system. After dewaxing and hydration, antigen retrieval was mediated by high pressure in a citrate buffer (pH 6.0). Section was blocked with 10% normal goat serum 30min at RT. Then primary antibody (1% BSA) was incubated at 4°C overnight. The primary is detected by a biotinylated secondary antibody and visualized using an HRP conjugated SP system.
Immunofluorescence staining of HepG2 cells with A antibody at 1:400,counter-stained with DAPI. The cells were fixed in 4% formaldehyde, permeabilized using 0.2% Triton X-100 and blocked in 10% normal Goat Serum. The cells were then incubated with the antibody overnight at 4°C.The secondary antibody was Alexa Fluor 488-congugated AffiniPure Goat Anti-Rabbit IgG (H+L).
聯系信息
電話:027-87002556
地址:湖北省武漢市江夏區神墩五路北武漢生之源股份生物科創產業園
華美生物︱YOUR GOOD PARTNER IN BIOLOGY RESEARCH!
武漢華美生物工程有限公司成立于2007年12月,是一家集科研、生產、銷售為一體的生物高新技術企業。并形成了以CUSABIO為品牌的ELISA試劑盒、蛋白、抗體等多種優質產品,遠銷歐美日德等九十多個國家。
推薦您微信關注華美官方公眾號,方便查詢產品,同時獲取生命科學更新資訊!






