CTLA4
CTLA4,即細胞毒性T淋巴細胞相關蛋白4,別名CD152。CTLA4是一種主要由活化的T細胞表達的跨膜蛋白,由CTLA4基因編碼。它的作用機制是通過與B7家族分子(如CD80和CD86)結合,抑制T細胞的激活和增殖,從而調節免疫反應。CTLA4的活性在自身免疫性疾病和抗腫瘤免疫中具有重要作用,其表達水平的變化可能影響免疫耐受和免疫病理過程。CTLA4的功能異常與某些自身免疫性疾病如系統性紅斑狼瘡、類風濕關節炎等有關,同時,CTLA4也是免疫檢查點抑制劑治療的靶點之一,相關藥物如伊普利姆瑪(Ipilimumab)已用于治療黑色素瘤等癌癥。
熱銷產品
Recombinant Human Cytotoxic T-lymphocyte protein 4 (CTLA4), partial (Active) (CSB-MP006163HU1)
驗證數據
(Tris-Glycine gel) Discontinuous SDS-PAGE (reduced) with 5% enrichment gel and 15% separation gel.
Activity
Measured by its binding ability in a functional ELISA. Immobilized CD152 at 2 μg/ml can bind Anti-CD152 rabbit monoclonal antibody(CSB-RA213310A0HU), the EC50 of human CD152 protein is 27.14-34.82 ng/ml.
The purity of CTLA4 was greater than 90% as determined by SEC-HPLC.
CTLA4 Recombinant Monoclonal Antibody (CSB-RA213310A0HU)
驗證數據
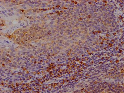
IHC image of CSB-RA213310A0HU diluted at 1:100 and staining in paraffin-embedded human tonsil tissue performed on a Leica BondTM system. After dewaxing and hydration, antigen retrieval was mediated by high pressure in a citrate buffer (pH 6.0). Section was blocked with 10% normal goat serum 30min at RT. Then primary antibody (1% BSA) was incubated at 4℃ overnight. The primary is detected by a Goat anti-rabbit IgG polymer labeled by HRP and visualized using 0.05% DAB.
IHC image of CSB-RA213310A0HU diluted at 1:100 and staining in paraffin-embedded human lymph node tissue performed on a Leica BondTM system. After dewaxing and hydration, antigen retrieval was mediated by high pressure in a citrate buffer (pH 6.0). Section was blocked with 10% normal goat serum 30min at RT. Then primary antibody (1% BSA) was incubated at 4℃ overnight. The primary is detected by a Goat anti-rabbit IgG polymer labeled by HRP and visualized using 0.05% DAB.
CTLA4 Antibodies
CTLA4 for Homo sapiens (Human)
| 產品貨號 | 產品名稱 | 種屬反應性 | 應用類型 |
|---|---|---|---|
| CSB-PA006163KA01HU | CTLA4 Antibody | Human | ELISA,WB,IHC |
| CSB-PA224600 | CTLA4 Antibody | Human,Mouse,Rat | ELISA,IHC |
| CSB-PA252417 | CTLA4 Antibody | Human | IHC,ELISA |
| CSB-PA006163LA01HU | CTLA4 Antibody | Human | ELISA, IF |
| CSB-PA006163LB01HU | CTLA4 Antibody, HRP conjugated | Human | ELISA |
| CSB-RA213310A0HU | CTLA4 Recombinant Monoclonal Antibody | Human | ELISA, IHC |
| CSB-MA006163A0m | CTLA4 Monoclonal Antibody | Human | ELISA, WB, IHC |
| CSB-RA006163MA1HU | CTLA4 Recombinant Monoclonal Antibody | Human | ELISA, WB, IF, FC |
CTLA4 Proteins
CTLA4 Proteins for Homo sapiens (Human)
CTLA4 Proteins for Oryctolagus cuniculus (Rabbit)
| 產品貨號 | 產品名稱 | 來源 |
|---|---|---|
| CSB-YP006163RB1 CSB-EP006163RB1 CSB-BP006163RB1 CSB-MP006163RB1 CSB-EP006163RB1-B |
Recombinant Rabbit Cytotoxic T-lymphocyte protein 4 (CTLA4), partial | Yeast E.coli Baculovirus Mammalian cell In Vivo Biotinylation in E.coli |
| CSB-CF006163RB | Recombinant Rabbit Cytotoxic T-lymphocyte protein 4 (CTLA4) | in vitro E.coli expression system |
CTLA4 Proteins for Mus musculus (Mouse)
| 產品貨號 | 產品名稱 | 來源 |
|---|---|---|
| CSB-YP006163MO1 CSB-BP006163MO1 CSB-MP006163MO1 CSB-EP006163MO1-B |
Recombinant Mouse Cytotoxic T-lymphocyte protein 4 (Ctla4), partial | Yeast Baculovirus Mammalian cell In Vivo Biotinylation in E.coli |
| CSB-CF006163MO | Recombinant Mouse Cytotoxic T-lymphocyte protein 4 (Ctla4) | in vitro E.coli expression system |
| CSB-EP006163MO1 | Recombinant Mouse Cytotoxic T-lymphocyte protein 4 (Ctla4),Partial | E.coli |
| CSB-AP005301MO | Recombinant Mouse Cytotoxic T-lymphocyte protein 4 (Ctla4), partial (Active) | Mammalian cell |
CTLA4 Proteins for Sus scrofa (Pig)
| 產品貨號 | 產品名稱 | 來源 |
|---|---|---|
| CSB-YP889006PI CSB-EP889006PI CSB-BP889006PI CSB-MP889006PI CSB-EP889006PI-B |
Recombinant Pig Cytotoxic T-lymphocyte protein 4 (CTLA4), partial | Yeast E.coli Baculovirus Mammalian cell In Vivo Biotinylation in E.coli |
CTLA4 Proteins for Canis familiaris (Dog) (Canis lupus familiaris)
| 產品貨號 | 產品名稱 | 來源 |
|---|---|---|
| CSB-YP894548DO CSB-EP894548DO CSB-BP894548DO CSB-MP894548DO CSB-EP894548DO-B |
Recombinant Dog Cytotoxic T-lymphocyte protein 4 (CTLA4), partial | Yeast E.coli Baculovirus Mammalian cell In Vivo Biotinylation in E.coli |
CTLA4 ELISA Kit
CTLA4 ELISA Kit for Homo sapiens (Human)
| 產品貨號 | 產品名稱 | 樣本類型 | 靈敏度 |
|---|---|---|---|
| CSB-E09171h | Human cytotoxic T lymphocyte associated antigen 4,CTLA-4 ELISA Kit | serum, plasma, tissue homogenates | 31.25 pg/mL |
CTLA4 ELISA Kit for Mus musculus (Mouse)
| 產品貨號 | 產品名稱 | 樣本類型 | 靈敏度 |
|---|---|---|---|
| CSB-E13637m | Mouse cytotoxic T lymphocyte associated antigen 4,CTLA-4 ELISA Kit | serum, plasma, tissue homogenates | 0.078 ng/mL |






