FCGR2B
FCGR2B,即Fcγ Receptor IIb,是一種在多種免疫細胞表面表達的抑制性Fcγ受體。它通過其胞漿區域含有的免疫受體酪氨酸抑制基序(ITIM)來調節免疫反應,當與IgG抗體的Fc片段結合時,能夠抑制過度的免疫激活。FCGR2B在調節B細胞、樹突狀細胞、單核細胞和巨噬細胞等的免疫應答中起著重要作用,幫助維持免疫自穩和預防自身免疫疾病。FCGR2B的功能異常與系統性紅斑狼瘡等自身免疫性疾病的發生發展有關,是免疫調節和疾病治療研究的重要靶點。
熱銷產品
驗證數據
(Tris-Glycine gel) Discontinuous SDS-PAGE (reduced) with 5% enrichment gel and 15% separation gel.
FCGR2B Antibody (CSB-PA834684)
驗證數據
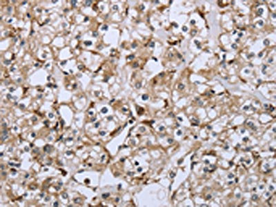
The image on the left is immunohistochemistry of paraffin-embedded Human liver cancer tissue using CSB-PA834684(FCGR2B Antibody) at dilution 1/40, on the right is treated with fusion protein. (Original magnification: ×200)
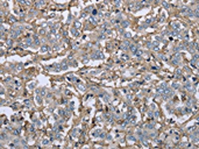
The image on the left is immunohistochemistry of paraffin-embedded Human prostate cancer tissue using CSB-PA834684(FCGR2B Antibody) at dilution 1/40, on the right is treated with fusion protein. (Original magnification: ×200)
Gel: 8%SDS-PAGE, Lysate: 40 μg, Lane: Human placenta tissue, Primary antibody: CSB-PA834684(FCGR2B Antibody) at dilution 1/850, Secondary antibody: Goat anti rabbit IgG at 1/8000 dilution, Exposure time: 5 seconds
Human Low affinity immunoglobulin gamma Fc region receptor II-b(FCGR2B) ELISA kit (CSB-EL008541HU)
驗證數據
貨號:CSB-EL008541HU
規格:96T/48T
靈敏度:0.156 ng/mL
檢測范圍:0.625 ng/mL-40 ng/mL
These standard curves are provided for demonstration only. A standard curve should be generated for each set of samples assayed.
FCGR2B Antibodies
FCGR2B for Homo sapiens (Human)
| 產品貨號 | 產品名稱 | 種屬反應性 | 應用類型 |
|---|---|---|---|
| CSB-PA785845 | Phospho-FCGR2B (Tyr292) Antibody | Human | ELISA,WB |
| CSB-PA004855 | FCGR2B Antibody | Human | WB, ELISA |
| CSB-PA005208 | FCGR2B Antibody | Human | WB, ELISA |
| CSB-PA008217 | Phospho-FCGR2B (Y292) Antibody | Human,Mouse,Rat | WB, ELISA |
| CSB-PA834684 | FCGR2B Antibody | Human | ELISA,WB,IHC |
| CSB-PA10839A0Rb | FCGR2B Antibody | Human | ELISA, WB, IHC |
| CSB-PA10839B0Rb | FCGR2B Antibody, HRP conjugated | Human | ELISA |
| CSB-PA10839C0Rb | FCGR2B Antibody, FITC conjugated | Human | |
| CSB-PA10839D0Rb | FCGR2B Antibody, Biotin conjugated | Human | ELISA |
FCGR2B Proteins
FCGR2B Proteins for Homo sapiens (Human)
| 產品貨號 | 產品名稱 | 來源 |
|---|---|---|
| CSB-YP008541HU1 CSB-EP008541HU1 CSB-BP008541HU1 CSB-EP008541HU1-B |
Recombinant Human Low affinity immunoglobulin gamma Fc region receptor II-b (FCGR2B), partial | Yeast E.coli Baculovirus In Vivo Biotinylation in E.coli |
| CSB-CF008541HU | Recombinant Human Low affinity immunoglobulin gamma Fc region receptor II-b (FCGR2B) | in vitro E.coli expression system |
| CSB-MP008541HU1 | Recombinant Human Low affinity immunoglobulin gamma Fc region receptor II-b (FCGR2B), partial | Mammalian cell |
FCGR2B ELISA Kit
FCGR2B ELISA Kit for Homo sapiens (Human)
| 產品貨號 | 產品名稱 | 樣本類型 | 靈敏度 |
|---|---|---|---|
| CSB-EL008541HU | Human Low affinity immunoglobulin gamma Fc region receptor II-b(FCGR2B) ELISA kit | serum, plasma, tissue homogenates, cell lysates | 0.156 ng/mL |






