EGFR
EGFR,即表皮生長因子受體,別名HER1、ErbB1,由人類EGFR基因編碼,該基因位于7號染色體的7p12區。EGFR是一種I型跨膜糖蛋白,屬于酪氨酸激酶型受體,分子量約為170kDa。
其作用機制涉及與特定配體如EGF和TGF-α結合后激活,導致受體發生同源或異源二聚體化,進而引發酪氨酸自磷酸化和多種下游通路(如MAPK、PI3K/PKB和STAT)的激活,這些信號通路依次觸發基因轉錄,控制細胞增生、分化和生存。
EGFR在調節細胞增殖、存活和分化過程中起重要作用,EGFR過表達或活性過度增加與許多癌癥的發生發展有關,包括肺癌、肛門癌和多形性膠質母細胞瘤,是癌癥治療的重要靶點之一。
熱銷產品
Recombinant Human Epidermal growth factor receptor (EGFR), partial (Active) (CSB-MP007479HU)
驗證數據
(Tris-Glycine gel) Discontinuous SDS-PAGE (reduced) with 5% enrichment gel and 15% separation gel.
Based on the SEQUEST from database of Mammalian Cell host and target protein, the LC-MS/MS Analysis result of CSB-MP007479HU could indicate that this peptide derived from Mammalian Cell-expressed Homo sapiens (Human) EGFR.
Based on the SEQUEST from database of Mammalian Cell host and target protein, the LC-MS/MS Analysis result of CSB-MP007479HU could indicate that this peptide derived from Mammalian Cell-expressed Homo sapiens (Human) EGFR.
Measured by its binding ability in a functional ELISA. Immobilized EGFR at 1 μg/ml can bind Anti-EGFR recombinant antibody, the EC50 of human EGFR protein is 2.867-3.571 ng/ml.
Human EGF protein captured on COOH chip can bind Human EGFR protein, his and Myc tag (CSB-MP007479HU) with an affinity constant of 11.9nM as detected by LSPR Assay.
Activity
Measured by its binding ability in a functional ELISA. Immobilized EGFR at 1 μg/ml can bind Cetuximab, the EC50 of human EGFR protein is 0.6919-1.047 ng/ml.
The purity of EGFR was greater than 95% as determined by SEC-HPLC
EGFR Recombinant Monoclonal Antibody (CSB-RA159341MA1HU)
驗證數據
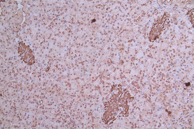
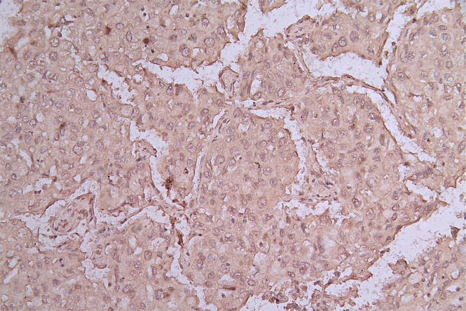
IHC image of CSB-RA159341MA1HU diluted at 1:50 and staining in paraffin-embedded human lung cancer performed on a Leica BondTM system. After dewaxing and hydration, antigen retrieval was mediated by high pressure in a citrate buffer (pH 6.0). Section was blocked with 10% normal goat serum 30min at RT. Then primary antibody (1% BSA) was incubated at 4°C overnight. The primary is detected by a Goat anti-rabbit polymer IgG labeled by HRP and visualized using 0.05% DAB.
IHC image of CSB-RA159341MA1HU diluted at 1:50 and staining in paraffin-embedded human pancreatic tissue performed on a Leica BondTM system. After dewaxing and hydration, antigen retrieval was mediated by high pressure in a citrate buffer (pH 6.0). Section was blocked with 10% normal goat serum 30min at RT. Then primary antibody (1% BSA) was incubated at 4°C overnight. The primary is detected by a Goat anti-rabbit polymer IgG labeled by HRP and visualized using 0.05% DAB.
Overlay Peak curve showing NIH/3T3 cells stained with CSB-RA159341MA1HU (red line) at 1:100. The cells were fixed in 4% formaldehyde (15min) and permeated by 0.2% TritonX-100 for 10min. Then 10% normal goat serum to block non-specific protein-protein interactions followed by the antibody (1ug/1*106cells) for 45min at 4℃. The secondary antibody used was FITC-conjugated Goat Anti-Rabbit IgG(H+L) at 1/200 dilution for 35 min at 4°C. Isotype control antibody (green line) was mouse IgG1 (1μg/1*106cells) used under the same conditions. Acquisition of >10,000 events was performed.
EGFR Antibodies
EGFR for Homo sapiens (Human)
| 產品貨號 | 產品名稱 | 種屬反應性 | 應用類型 |
|---|---|---|---|
| CSB-PA10279C0Rb | EGFR Antibody, FITC conjugated | Human | |
| CSB-PA10279A0Rb | EGFR Antibody | Human | ELISA, IHC, IF |
| CSB-PA007479GA01HU | EGFR Antibody | Human | ELISA,WB |
| CSB-PA10279D0Rb | EGFR Antibody, Biotin conjugated | Human | ELISA |
| CSB-PA10279B0Rb | EGFR Antibody, HRP conjugated | Human | ELISA |
| CSB-PA209840 | Phospho-EGFR (Ser1070) Antibody | Human,Mouse,Rat | ELISA,WB,IHC |
| CSB-PA069395 | Phospho-EGFR (Tyr1092) Antibody | Human,Mouse,Rat | ELISA,WB,IHC |
| CSB-PA561961 | Phospho-EGFR (Thr678) Antibody | Human,Mouse,Rat | ELISA,WB,IHC |
| CSB-PA979756 | Phospho-EGFR (Thr693) Antibody | Human,Mouse,Rat | ELISA,WB |
| CSB-PA277676 | Phospho-EGFR (Tyr1172) Antibody | Human,Mouse,Rat | ELISA,WB,IHC |
| CSB-PA049634 | Phospho-EGFR (Tyr1197) Antibody | Human,Mouse,Rat | ELISA,WB,IHC |
| CSB-PA184845 | Phospho-EGFR (Tyr869) Antibody | Human,Mouse,Rat | ELISA,WB |
| CSB-PA938612 | Phospho-EGFR (Tyr1110) Antibody | Human,Mouse,Rat | ELISA,WB |
| CSB-PA183869 | Phospho-EGFR (Tyr1197) Antibody | Human,Mouse,Rat | ELISA,WB |
| CSB-PA174357 | EGFR (Ab-1070) Antibody | Human,Mouse,Rat | ELISA,WB,IHC,IF |
| CSB-PA953009 | EGFR (Ab-1092) Antibody | Human,Mouse,Rat | ELISA,WB,IHC |
| CSB-PA929356 | EGFR (Ab-678) Antibody | Human,Mouse,Rat | ELISA,WB |
| CSB-PA179555 | EGFR (Ab-693) Antibody | Human,Mouse,Rat | ELISA,WB |
| CSB-PA033139 | EGFR (Ab-1172) Antibody | Human,Mouse,Rat | ELISA,WB |
| CSB-PA911813 | EGFR (Ab-1197) Antibody | Human,Mouse,Rat | ELISA,WB |
| CSB-PA877124 | EGFR (Ab-869) Antibody | Human,Mouse,Rat | ELISA,WB,IHC |
| CSB-PA111241 | EGFR (Ab-1110) Antibody | Human,Mouse,Rat | ELISA,WB,IHC |
| CSB-PA956575 | EGFR (Ab-1197) Goat Polyclonal Antibody | Human,Mouse,Rat | ELISA,WB |
| CSB-PA559519 | Phospho-EGFR (Tyr1016) Antibody | Human,Mouse,Rat | ELISA,WB |
| CSB-PA189998 | Phospho-EGFR (Ser695) Antibody | Human,Mouse,Rat | ELISA,WB |
| CSB-PA119181 | Phospho-EGFR (Ser1071) Antibody | Human,Mouse,Rat | ELISA,WB |
| CSB-PA957122 | Phospho-EGFR (Ser1026) Antibody | Human,Mouse,Rat | ELISA,WB |
| CSB-PA579851 | EGFR (Ab-1172) Antibody | Human,Mouse | ELISA,WB,IHC,IF |
| CSB-PA079221 | EGFR (Ab-1026) Antibody | Human | ELISA,WB |
| CSB-PA294390 | EGFR (Ab-1071) Antibody | Human | ELISA,WB |
| CSB-PA000514 | Phospho-EGFR (T693) Antibody | Human,Mouse,Rat | WB, IHC, IF, ELISA |
| CSB-PA000515 | Phospho-EGFR (Y1092) Antibody | Human,Mouse,Rat | WB, IHC, ELISA |
| CSB-PA000516 | Phospho-EGFR (Y1110) Antibody | Human,Mouse,Rat | WB, ELISA |
| CSB-PA000517 | Phospho-EGFR (Y1197) Antibody | Human,Mouse,Rat | WB, IHC, ELISA |
| CSB-PA000664 | Phospho-EGFR (T678) Antibody | Human,Mouse,Rat,Monkey | WB, IF, ELISA |
| CSB-PA002264 | EGFR Antibody | Human,Mouse,Rat | WB, IHC, IF, ELISA |
| CSB-PA002267 | EGFR Antibody | Human,Mouse,Rat | WB, IHC, IF, ELISA |
| CSB-PA002273 | EGFR Antibody | Human,Mouse,Rat | WB, IHC, ELISA |
| CSB-PA002275 | EGFR Antibody | Human,Mouse | WB, ELISA |
| CSB-PA002281 | EGFR Antibody | Human,Mouse,Rat | WB, IHC, IF, ELISA |
| CSB-PA007950 | Phospho-EGFR (S1070) Antibody | Human,Mouse,Rat | WB, IHC, ELISA |
| CSB-PA007951 | Phospho-EGFR (Y1172) Antibody | Human,Mouse,Rat | WB, ELISA |
| CSB-PA007952 | Phospho-EGFR (Y869) Antibody | Human,Mouse,Rat | WB, IF, ELISA |
| CSB-PA007953 | Phospho-EGFR (Y1069) Antibody | Human,Mouse,Rat,Monkey | WB, ELISA |
| CSB-PA007954 | Phospho-EGFR (S695) Antibody | Human,Mouse,Rat | WB, ELISA |
| CSB-PA007966 | Phospho-EGFR (S1026) Antibody | Human,Mouse,Rat | WB, ELISA |
| CSB-PA007968 | Phospho-EGFR (S1071) Antibody | Human,Mouse,Rat | WB, ELISA |
| CSB-PA007969 | Phospho-EGFR (Y1016) Antibody | Human,Mouse,Rat | WB, IHC, IF, ELISA |
| CSB-PA007971 | EGFR Antibody | Human,Mouse,Rat | WB, ELISA |
| CSB-PA007973 | EGFR Antibody | Human,Mouse,Rat | WB, ELISA |
| CSB-PA007976 | EGFR Antibody | Human,Mouse,Rat | WB, ELISA |
| CSB-PA007977 | EGFR Antibody | Human,Mouse,Rat | WB, IHC, ELISA |
| CSB-PA007978 | EGFR Antibody | Human,Mouse,Rat | WB, ELISA |
| CSB-PA162597 | EGFR Antibody | Human,Mouse | ELISA,IHC |
| CSB-PA005571LA01HU | EGFR Antibody | Human | ELISA, WB, IF |
| CSB-PA005571LB01HU | EGFR Antibody, HRP conjugated | Human | ELISA |
| CSB-PA005571LC01HU | EGFR Antibody, FITC conjugated | Human | |
| CSB-PA005571LD01HU | EGFR Antibody, Biotin conjugated | Human | ELISA |
| CSB-RA007479A1092phHU | Phospho-EGFR (Y1092) Recombinant Monoclonal Antibody | Human | ELISA, WB |
| CSB-RA007479A1068phHU | Phospho-EGFR (Y1068) Recombinant Monoclonal Antibody | Human | ELISA, WB |
| CSB-RA159341A0HU | EGFR Recombinant Monoclonal Antibody | Human | ELISA, IHC, IF, FC |
| CSB-RA794061A0HU | EGFR Recombinant Monoclonal Antibody | Human | ELISA, IHC |
| CSB-RA159341MA1HU | EGFR Recombinant Monoclonal Antibody | Human | ELISA, IHC, FC |
EGFR for H
| 產品貨號 | 產品名稱 | 種屬反應性 | 應用類型 |
|---|---|---|---|
| CSB-MA000199 | EGFR Monoclonal Antibody | Human | ELISA,WB,IHC,IF |
| CSB-MA000293 | EGFR Monoclonal Antibody | Human | ELISA,WB |
EGFR Proteins
EGFR Proteins for Gallus gallus (Chicken)
| 產品貨號 | 產品名稱 | 來源 |
|---|---|---|
| CSB-YP007479CH1 CSB-EP007479CH1 CSB-BP007479CH1 CSB-MP007479CH1 CSB-EP007479CH1-B |
Recombinant Chicken Epidermal growth factor receptor (EGFR), partial | Yeast E.coli Baculovirus Mammalian cell In Vivo Biotinylation in E.coli |
| CSB-CF007479CH | Recombinant Chicken Epidermal growth factor receptor (EGFR), partial | in vitro E.coli expression system |
EGFR Proteins for Apis mellifera (Honeybee)
| 產品貨號 | 產品名稱 | 來源 |
|---|---|---|
| CSB-YP007479DNK CSB-EP007479DNK CSB-BP007479DNK CSB-MP007479DNK CSB-EP007479DNK-B |
Recombinant Apis mellifera Epidermal growth factor receptor (Egfr), partial | Yeast E.coli Baculovirus Mammalian cell In Vivo Biotinylation in E.coli |
EGFR Proteins for Macaca mulatta (Rhesus macaque)
| 產品貨號 | 產品名稱 | 來源 |
|---|---|---|
| CSB-YP007479MOW CSB-EP007479MOW CSB-BP007479MOW CSB-MP007479MOW CSB-EP007479MOW-B |
Recombinant Macaca mulatta Epidermal growth factor receptor (EGFR), partial | Yeast E.coli Baculovirus Mammalian cell In Vivo Biotinylation in E.coli |
EGFR Proteins for Drosophila melanogaster (Fruit fly)
| 產品貨號 | 產品名稱 | 來源 |
|---|---|---|
| CSB-YP007479DLU CSB-EP007479DLU CSB-BP007479DLU CSB-MP007479DLU CSB-EP007479DLU-B |
Recombinant Drosophila melanogaster Epidermal growth factor receptor (Egfr), partial | Yeast E.coli Baculovirus Mammalian cell In Vivo Biotinylation in E.coli |
EGFR Proteins for Homo sapiens (Human)
| 產品貨號 | 產品名稱 | 來源 |
|---|---|---|
| CSB-YP007479HU CSB-BP007479HU CSB-EP007479HU-B |
Recombinant Human Epidermal growth factor receptor (EGFR), partial | Yeast Baculovirus In Vivo Biotinylation in E.coli |
| CSB-EP007479HU | Recombinant Human Epidermal growth factor receptor (EGFR), partial | E.coli |
| CSB-MP007479HU | Recombinant Human Epidermal growth factor receptor (EGFR), partial (Active) | Mammalian cell |
| CSB-EP007479HU3 | Recombinant Human Epidermal growth factor receptor (EGFR), partial | E.coli |
| CSB-MP007479HU-B | Recombinant Human Epidermal growth factor receptor (EGFR), partial,Biotinylated | Mammalian cell |
EGFR ELISA Kit
EGFR ELISA Kit for Homo sapiens (Human)
| 產品貨號 | 產品名稱 | 樣本類型 | 靈敏度 |
|---|---|---|---|
| CSB-E12124h | Human epidermal growth factor receptor,EGFR ELISA Kit | serum, plasma, tissue homogenates | 0.019 ng/mL |






