大腸桿菌表達純化服務

大腸桿菌表達系統結構簡單、遺傳背景清楚、目的基因表達水平高、培養周期短等優勢,被認為最廣泛最經濟實惠的經典表達系統,近幾十年,大腸桿菌表達系統也不斷發展和完善,被科研及工業用戶大量用于各種重組蛋白表達。該系統主要用于抗原制備、配體制備以及細胞因子和細菌(金黃色葡萄球菌、大腸桿菌等)蛋白的表達。
華美生物在大腸桿菌蛋白表達和純化方面擁有豐富的經驗,通過不斷的優化實驗條件能解決蛋白表達純化過程中的各種疑難問題。
擁有豐富的表達純化經驗和專業技術,通過不斷的優化實驗條件能解決蛋白表達純化過程中的各種疑難問題。自2007年起的18年里,我們成功開發了7000多種在大腸桿菌中表達的重組蛋白,其中包含數百種高純度的活性蛋白。
請點擊此處查看更多活性蛋白: http://www.practicalworld.cn/catalog-39-1.html
系統優勢
- 遺傳背景清楚;
- 蛋白表達周期短,易放大;
- 生長速度快,表達水平高;
- 可選擇載體和融合標簽多;
- 可調控不同參數得到最適表達。
服務優勢
- 超高性價比,低至3500元起;
- 表達成功率高達98%;
- 上清率>85%;
- 貨期短,25個工作日內即可交付;
- 產量高達200mg/L。
我們承諾
注:該無風險定制蛋白服務僅適用于800個氨基酸以內的蛋白質。如果您需要表達超過800個氨基酸的蛋白質,我們將按步驟收費。
服務內容
| 步驟 | 服務項目 | 服務說明 | 華美生物特色 | 周期 |
|---|---|---|---|---|
| 1 | 質粒構建
![]() |
密碼子優化全基因合成 | 多個載體優化 為了得到最高的表達量蛋白,多個載體同時優化,縮短了貨期,讓客戶有更多的選擇。 |
5-8工作日 |
| PCR擴增產物酶切連接到PCold-SUMO,pGEX-4T-1,pET22b-JT等多個融合載體上 | ||||
| 轉化TOP10宿主 | ||||
| 獲得測序正確的重組質粒 | ||||
| 2 | 轉化及菌株篩選
![]() |
構建重組質粒轉化到BL21(DE3)、Rosetta-gami B(DE3)pLysS、C41等宿主, 37℃過夜培養 | 多條件優化、多宿主選擇 小試中對其溫度、IPTG量進行優化,優化出合適的培養條件,同時多個宿主進行轉化選擇表達量最高的宿主菌。 |
2-3工作日 |
| 挑取單菌落進行小量誘導表達,SDS-PAGE電泳檢測,保種 | ||||
| 進行表達條件優化,確定最佳表達條件 | ||||
| 3 | 目標蛋白表達及純化
![]() |
根據小量結果提供1-10L放大體系表達 | 多條件優化上清表達 表達載體和菌株優化,超低溫條件誘導,最大程度保持蛋白可溶性達72%以上 |
5-9工作日 |
| 多種表達策略和純化方式同時進行 | ||||
| 4 | 其他(可選)
![]() |
通過酶切去除標簽 | 靈活的附加服務(可選) 提供多種附加服務,客戶可根據實驗需求靈活選擇 |
3個工作日 |
| 所有蛋白都可以提供無菌操作和內毒素去除服務 | 3個工作日 | |||
| 5 | 質控
![]() |
進行純度、濃度等檢查,并提供QC報告 | 詳細的質控報告 為每個項目提供產品說明書及完善的質控報告 |
3-5工作日 |
| 總時間 | 15-25工作日 | |||
案例展示
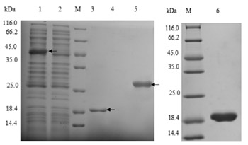
案例1:
特色:融合表達蛋白采用PreScission酶進行酶切,通過GST親和層析柱上酶切一步純化得到無標簽蛋白。
蛋白酶切示意圖
泳道1:細胞裂解液(箭頭所指為融合蛋白)
泳道2:穿透液
泳道3:酶切穿透(箭頭所指為目的蛋白)
泳道4:PBS除雜
泳道5:GSH洗脫(箭頭所指為GST標簽蛋白)
泳道6:目的蛋白濃縮
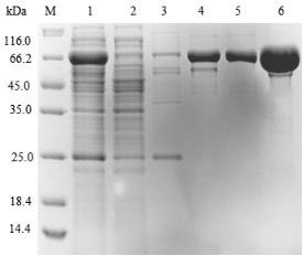
案例2:
特色:此蛋白通過鎳柱親和層析一步純化得到目的蛋白,純度可以達到90%,產量可以達到20mg/L。
泳道1:細胞裂解液
泳道2:穿透液
泳道3:30 mM 咪唑洗脫
泳道4:60 mM 咪唑洗脫
泳道5:200 mM 咪唑洗脫
泳道6:500 mM 咪唑洗脫
案例3:
特色:同個項目可以有多個融合標簽選擇。
泳道1:細胞裂解液
泳道2:穿透
泳道3:GSH洗脫
泳道1:60 mM 咪唑洗脫濃縮
泳道2:200 mM 咪唑洗脫濃縮
泳道3:500 mM 咪唑洗脫濃縮
案例4:
特色:蛋白活性。
The Binding Activity of aqpZ with ytfE
Activity: Measured by its binding ability in a functional ELISA. Immobilized aqpZ at 5 μg/ml can bind human ytfE, the EC50 of human ytfE protein is 197.90-259.70 μg/ml.
聯系信息
電話:027-87002556
地址:湖北省武漢市江夏區神墩五路北武漢生之源股份生物科創產業園
華美生物︱YOUR GOOD PARTNER IN BIOLOGY RESEARCH!
武漢華美生物工程有限公司成立于2007年12月,是一家集科研、生產、銷售為一體的生物高新技術企業。并形成了以CUSABIO為品牌的ELISA試劑盒、蛋白、抗體等多種優質產品,遠銷歐美日德等九十多個國家。
推薦您微信關注華美官方公眾號,方便查詢產品,同時獲取生命科學更新資訊!











