HGF
HGF,即肝細胞生長因子,別名DFNB39、FTCF、Hepatopoietin-A、HGFB、HPTA。它是一種由肝臟、內皮細胞、成纖維細胞等多種細胞產生的多效性細胞因子。HGF的作用機制主要是通過與其受體c-Met結合,激活下游的多種信號通路,如PI3K/AKT、RAS/RAF/MEK/ERK等,促進細胞的增殖、遷移、分化和組織修復。HGF在生物學上的意義非常廣泛,它在胚胎發育、器官再生、傷口愈合以及腫瘤發生發展中發揮關鍵作用,是細胞生物學和疾病治療研究中的重要分子。
熱銷產品
Recombinant Human Hepatocyte growth factor (HGF) (Active) (CSB-AP003681HU)
驗證數據
(Tris-Glycine gel) Discontinuous SDS-PAGE (reduced) with 5% enrichment gel and 15% separation gel.
HGF Recombinant Monoclonal Antibody (CSB-RA010327MA1HU)
驗證數據
IHC image of CSB-RA010327MA1HU diluted at 1:100 and staining in paraffin-embedded human Liver tissue performed on a Leica BondTM system. After dewaxing and hydration, antigen retrieval was mediated by high pressure in a citrate buffer (pH 6.0). Section was blocked with 10% normal goat serum 30min at RT. Then primary antibody (1% BSA) was incubated at 4°C overnight. The primary is detected by a Goat anti-Human IgG labeled by HRP and visualized using 0.05% DAB.
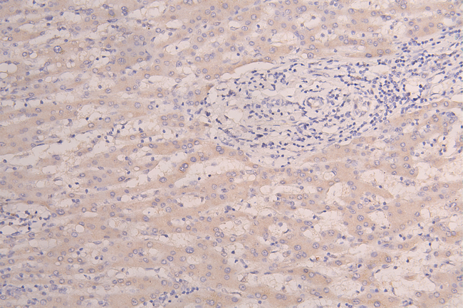
IHC image of CSB-RA010327MA1HU diluted at 1:100 and staining in paraffin-embedded human Liver cancer performed on a Leica BondTM system. After dewaxing and hydration, antigen retrieval was mediated by high pressure in a citrate buffer (pH 6.0). Section was blocked with 10% normal goat serum 30min at RT. Then primary antibody (1% BSA) was incubated at 4°C overnight. The primary is detected by a Goat anti-Human IgG labeled by HRP and visualized using 0.05% DAB.
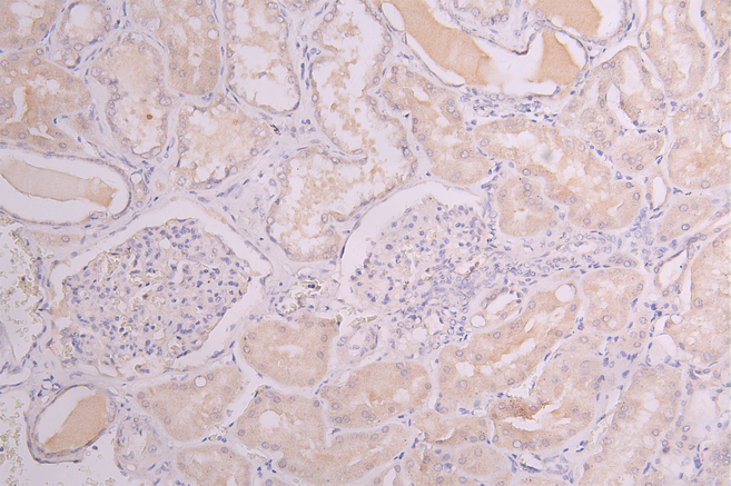
IHC image of CSB-RA010327MA1HU diluted at 1:100 and staining in paraffin-embedded human kidney tissue performed on a Leica BondTM system. After dewaxing and hydration, antigen retrieval was mediated by high pressure in a citrate buffer (pH 6.0). Section was blocked with 10% normal goat serum 30min at RT. Then primary antibody (1% BSA) was incubated at 4°C overnight. The primary is detected by a Goat anti-Human IgG labeled by HRP and visualized using 0.05% DAB.
HGF Antibodies
HGF for Homo sapiens (Human)
| 產品貨號 | 產品名稱 | 種屬反應性 | 應用類型 |
|---|---|---|---|
| CSB-PA010327KA01HU | HGF Antibody | Human,Mouse,Rat | ELISA,WB,IHC |
| CSB-PA221214 | HGF Antibody | Human,Mouse,Rat | ELISA,IHC |
| CSB-PA254609 | HGF Antibody | Human,Mouse,Rat | ELISA,IHC |
| CSB-PA783451 | HGF Antibody | Human | WB, ELISA |
| CSB-RA010327MA1HU | HGF Recombinant Monoclonal Antibody | Human | ELISA, IHC |
HGF Proteins
HGF Proteins for Homo sapiens (Human)
| 產品貨號 | 產品名稱 | 來源 |
|---|---|---|
| CSB-YP010327HU CSB-EP010327HU CSB-BP010327HU CSB-MP010327HU CSB-EP010327HU-B |
Recombinant Human Hepatocyte growth factor (HGF), partial | Yeast E.coli Baculovirus Mammalian cell In Vivo Biotinylation in E.coli |
| CSB-AP003681HU | Recombinant Human Hepatocyte growth factor (HGF) (Active) | Mammalian cell |
| CSB-MP010327HU-WD | Recombinant Human Hepatocyte growth factor (HGF), partial (Active) | Mammalian cell |
HGF Proteins for Rattus norvegicus (Rat)
| 產品貨號 | 產品名稱 | 來源 |
|---|---|---|
| CSB-YP010327RA CSB-EP010327RA CSB-BP010327RA CSB-MP010327RA CSB-EP010327RA-B |
Recombinant Rat Hepatocyte growth factor (Hgf), partial | Yeast E.coli Baculovirus Mammalian cell In Vivo Biotinylation in E.coli |
| CSB-EP010327RA | Recombinant Rat Hepatocyte growth factor (Hgf), partial | E.coli |
HGF Proteins for Bos taurus (Bovine)
| 產品貨號 | 產品名稱 | 來源 |
|---|---|---|
| CSB-YP758831BO CSB-BP758831BO CSB-MP758831BO CSB-EP758831BO-B |
Recombinant Bovine Hepatocyte growth factor (HGF) | Yeast Baculovirus Mammalian cell In Vivo Biotinylation in E.coli |
HGF Proteins for Canis familiaris (Dog) (Canis lupus familiaris)
| 產品貨號 | 產品名稱 | 來源 |
|---|---|---|
| CSB-YP769701DO CSB-EP769701DO CSB-BP769701DO CSB-MP769701DO CSB-EP769701DO-B |
Recombinant Dog Hepatocyte growth factor (HGF) | Yeast E.coli Baculovirus Mammalian cell In Vivo Biotinylation in E.coli |
HGF Proteins for Felis catus (Cat) (Felis silvestris catus)
| 產品貨號 | 產品名稱 | 來源 |
|---|---|---|
| CSB-YP858379CA CSB-EP858379CA CSB-BP858379CA CSB-MP858379CA CSB-EP858379CA-B |
Recombinant Cat Hepatocyte growth factor (HGF) | Yeast E.coli Baculovirus Mammalian cell In Vivo Biotinylation in E.coli |
HGF ELISA Kit
HGF ELISA Kit for Homo sapiens (Human)
| 產品貨號 | 產品名稱 | 樣本類型 | 靈敏度 |
|---|---|---|---|
| CSB-E04573h | Human hepatocyte growth factor,HGF ELISA kit | serum, plasma, tissue homogenates | 3.9 pg/mL |
| CSB-E04573h-IS | Human hepatocyte growth factor,HGF ELISA kit | serum, plasma, tissue homogenates, cell culture supernates | 11.75 pg/mL |
HGF ELISA Kit for Mus musculus (Mouse)
| 產品貨號 | 產品名稱 | 樣本類型 | 靈敏度 |
|---|---|---|---|
| CSB-E07347m | Mouse hepatocyte growth factor,HGF ELISA kit | serum, plasma, tissue homogenates | 31.25 pg/ml |
HGF ELISA Kit for Rattus norvegicus (Rat)
| 產品貨號 | 產品名稱 | 樣本類型 | 靈敏度 |
|---|---|---|---|
| CSB-E07346r | Rat hepatocyte growth factor,HGF ELISA kit | serum, plasma, tissue homogenates | 0.039 ng/mL |






