IL4
IL4,即白細胞介素4,別名Interleukin4。它主要由活化的T淋巴細胞、肥大細胞、嗜堿性粒細胞產生。IL-4的作用機制涉及與特異性受體IL-4Rα結合,通過JAK-STAT信號通路發揮作用,促進Th2細胞的增殖和分化,抑制Th1細胞的活性,影響B細胞的增殖和抗體類別轉換。IL-4是介導2型免疫反應的關鍵細胞因子,對體液免疫和適應性免疫的調節起著至關重要的作用,參與過敏性疾病、自身免疫性疾病、感染性疾病和腫瘤的免疫反應。
熱銷產品
Recombinant Human Interleukin-4 (IL4) (Active) (CSB-MP011659HUd7)
驗證數據
(Tris-Glycine gel) Discontinuous SDS-PAGE (reduced) with 5% enrichment gel and 15% separation gel.
Activity
The ED50 as determined by the dose-dependent stimulation of the proliferation of TF-1 cells is 1.864-4.949 ng/mL.
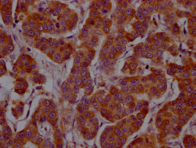
IL4 Recombinant Monoclonal Antibody (CSB-RA240377A0HU)
驗證數據
IHC image of CSB-RA240377A0HU diluted at 1:100 and staining in paraffin-embedded human breast cancer performed on a Leica BondTM system. After dewaxing and hydration, antigen retrieval was mediated by high pressure in a citrate buffer (pH 6.0). Section was blocked with 10% normal goat serum 30min at RT. Then primary antibody (1% BSA) was incubated at 4℃ overnight. The primary is detected by a Goat anti-rabbit IgG polymer labeled by HRP and visualized using 0.05% DAB.
IL4 Antibodies
IL4 for Homo sapiens (Human)
| 產品貨號 | 產品名稱 | 種屬反應性 | 應用類型 |
|---|---|---|---|
| CSB-PA06737A0Rb | IL4 Antibody | Human | ELISA, IHC |
| CSB-PA06737B0Rb | IL4 Antibody, HRP conjugated | Human | ELISA |
| CSB-PA06737C0Rb | IL4 Antibody, FITC conjugated | Human | |
| CSB-PA06737D0Rb | IL4 Antibody, Biotin conjugated | Human | ELISA |
| CSB-PA556277 | IL4 Antibody | Human | ELISA,WB |
| CSB-PA004908 | IL4 Antibody | Human | WB, ELISA |
| CSB-PA009551 | IL4 Antibody | Human | WB, ELISA |
| CSB-PA009552 | IL4 Antibody | Human | WB, ELISA |
| CSB-PA011659YA01HU | IL4 Antibody | Human, Mouse | ELISA, WB, IHC, IF |
| CSB-PA011659YB01HU | IL4 Antibody, HRP conjugated | Human | ELISA |
| CSB-PA011659YC01HU | IL4 Antibody, FITC conjugated | Human | |
| CSB-PA011659YD01HU | IL4 Antibody, Biotin conjugated | Human | ELISA |
| CSB-RA240377A0HU | IL4 Recombinant Monoclonal Antibody | Human | ELISA, IHC |
IL4 for Dog
| 產品貨號 | 產品名稱 | 種屬反應性 | 應用類型 |
|---|---|---|---|
| CSB-PA011659LD01DO | IL4 Antibody, Biotin conjugated | Dog | ELISA |
| CSB-PA011659LB01DO | IL4 Antibody, HRP conjugated | Dog | ELISA |
| CSB-PA011659LC01DO | IL4 Antibody, FITC conjugated | Dog | |
| CSB-PA011659LA01DO | IL4 Antibody | Dog | ELISA |
IL4 Proteins
IL4 Proteins for Capra hircus (Goat)
| 產品貨號 | 產品名稱 | 來源 |
|---|---|---|
| CSB-YP011659GO CSB-EP011659GO CSB-BP011659GO CSB-MP011659GO CSB-EP011659GO-B |
Recombinant Goat Interleukin-4 (IL4) | Yeast E.coli Baculovirus Mammalian cell In Vivo Biotinylation in E.coli |
IL4 Proteins for Ovis aries (Sheep)
| 產品貨號 | 產品名稱 | 來源 |
|---|---|---|
| CSB-YP011659SH | Recombinant Sheep Interleukin-4 (IL4) | Yeast |
| CSB-EP011659SH | Recombinant Sheep Interleukin-4 (IL4) | E.coli |
| CSB-BP011659SH CSB-MP011659SH CSB-EP011659SH-B |
Recombinant Sheep Interleukin-4 (IL4) | Baculovirus Mammalian cell In Vivo Biotinylation in E.coli |
IL4 Proteins for Equus caballus (Horse)
| 產品貨號 | 產品名稱 | 來源 |
|---|---|---|
| CSB-YP011659HO CSB-EP011659HO CSB-BP011659HO CSB-MP011659HO CSB-EP011659HO-B |
Recombinant Horse Interleukin-4 (IL4) | Yeast E.coli Baculovirus Mammalian cell In Vivo Biotinylation in E.coli |
IL4 Proteins for Bos taurus (Bovine)
| 產品貨號 | 產品名稱 | 來源 |
|---|---|---|
| CSB-BP011659BO CSB-MP011659BO CSB-EP011659BO-B |
Recombinant Bovine Interleukin-4 (IL4) | Baculovirus Mammalian cell In Vivo Biotinylation in E.coli |
IL4 Proteins for Macaca mulatta (Rhesus macaque)
| 產品貨號 | 產品名稱 | 來源 |
|---|---|---|
| CSB-YP011659MOW CSB-EP011659MOW CSB-BP011659MOW CSB-MP011659MOW CSB-EP011659MOW-B |
Recombinant Macaca mulatta Interleukin-4 (IL4) | Yeast E.coli Baculovirus Mammalian cell In Vivo Biotinylation in E.coli |
| CSB-AP001991MOW | Recombinant Rhesus Macaque Interleukin-4 protein (IL4) | E.Coli |
IL4 Proteins for Felis catus (Cat) (Felis silvestris catus)
| 產品貨號 | 產品名稱 | 來源 |
|---|---|---|
| CSB-YP011659CA CSB-EP011659CA CSB-BP011659CA CSB-MP011659CA CSB-EP011659CA-B |
Recombinant Cat Interleukin-4 (IL4) | Yeast E.coli Baculovirus Mammalian cell In Vivo Biotinylation in E.coli |
IL4 Proteins for Mus musculus (Mouse)
| 產品貨號 | 產品名稱 | 來源 |
|---|---|---|
| CSB-YP011659MO CSB-EP011659MO CSB-BP011659MO CSB-MP011659MO CSB-EP011659MO-B |
Recombinant Mouse Interleukin-4 (Il4) | Yeast E.coli Baculovirus Mammalian cell In Vivo Biotinylation in E.coli |
| CSB-AP003301MO | Recombinant Mouse Interleukin-4 protein (Il4) | E.Coli |
| CSB-AP004811MO | Recombinant Mouse Interleukin-4 (Il4), partial (Active) | E.coli |
| CSB-AP004831MO | Recombinant Mouse Interleukin-4 (Il4) (Active) | Mammalian cell |
IL4 Proteins for Homo sapiens (Human)
| 產品貨號 | 產品名稱 | 來源 |
|---|---|---|
| CSB-YP011659HU | Recombinant Human Interleukin-4 (IL4) | Yeast |
| CSB-EP011659HUa0 | Recombinant Human Interleukin-4 (IL4) | E.coli |
| CSB-AP001711HU | Recombinant Human Interleukin-4 protein (IL4) | E.Coli |
| CSB-EP011659HU | Recombinant Human Interleukin-4 (IL-4) | E.coli |
| CSB-BP011659HU CSB-EP011659HU-B |
Recombinant Human Interleukin-4 (IL4) | Baculovirus In Vivo Biotinylation in E.coli |
| CSB-AP004401HU | Recombinant Human Interleukin-4 (IL4) (Active) | E.coli |
| CSB-AP004481HU | Recombinant Human Interleukin-4 (IL4) (Active) | Mammalian cell |
| CSB-AP004511HU | Recombinant Human Interleukin-4 (IL4) (Active) | Mammalian cell |
| CSB-AP005831HU | Recombinant Human Interleukin-4 (IL4), partial (Active) (GMP) | E.Coli |
| CSB-MP011659HU | Recombinant Human Interleukin-4 (IL4) (Active) | Mammalian cell |
| CSB-MP011659HUd7 | Recombinant Human Interleukin-4 (IL4) (Active) | Mammalian cell |
| CSB-MP011659HU-WD | Recombinant Human Interleukin-4 (IL4) (Active) | Mammalian cell |
IL4 Proteins for Canis lupus familiaris (Dog) (Canis familiaris)
| 產品貨號 | 產品名稱 | 來源 |
|---|---|---|
| CSB-YP011659DO CSB-BP011659DO CSB-MP011659DO CSB-EP011659DO-B |
Recombinant Dog Interleukin-4 (IL4) | Yeast Baculovirus Mammalian cell In Vivo Biotinylation in E.coli |
| CSB-EP011659DO | Recombinant Dog Interleukin-4 (IL4) | E.coli |
IL4 Proteins for Macaca fascicularis (Crab-eating macaque) (Cynomolgus monkey)
| 產品貨號 | 產品名稱 | 來源 |
|---|---|---|
| CSB-YP301281MOV | Recombinant Macaca fascicularis Interleukin-4 (IL4) | Yeast |
| CSB-EP301281MOV | Recombinant Macaca fascicularis Interleukin-4 (IL4) | E.coli |
| CSB-BP301281MOV CSB-EP301281MOV-B |
Recombinant Macaca fascicularis Interleukin-4 (IL4) | Baculovirus In Vivo Biotinylation in E.coli |
IL4 Proteins for Rattus norvegicus (Rat)
| 產品貨號 | 產品名稱 | 來源 |
|---|---|---|
| CSB-YP324000RA CSB-EP324000RA CSB-BP324000RA CSB-MP324000RA CSB-EP324000RA-B |
Recombinant Rat Interleukin-4 (Il4) | Yeast E.coli Baculovirus Mammalian cell In Vivo Biotinylation in E.coli |
IL4 Proteins for Meriones unguiculatus (Mongolian jird) (Mongolian gerbil)
| 產品貨號 | 產品名稱 | 來源 |
|---|---|---|
| CSB-YP343322MRA CSB-EP343322MRA CSB-BP343322MRA CSB-MP343322MRA CSB-EP343322MRA-B |
Recombinant Meriones unguiculatus Interleukin-4 (IL4) | Yeast E.coli Baculovirus Mammalian cell In Vivo Biotinylation in E.coli |
IL4 Proteins for Cervus elaphus (Red deer)
| 產品貨號 | 產品名稱 | 來源 |
|---|---|---|
| CSB-YP343955DRN CSB-EP343955DRN CSB-BP343955DRN CSB-MP343955DRN CSB-EP343955DRN-B |
Recombinant Cervus elaphus Interleukin-4 (IL4) | Yeast E.coli Baculovirus Mammalian cell In Vivo Biotinylation in E.coli |
IL4 Proteins for Cercocebus atys (Sooty mangabey) (Cercocebus torquatus atys)
| 產品貨號 | 產品名稱 | 來源 |
|---|---|---|
| CSB-YP343994DRI CSB-EP343994DRI CSB-BP343994DRI CSB-MP343994DRI CSB-EP343994DRI-B |
Recombinant Cercocebus atys Interleukin-4 (IL4) | Yeast E.coli Baculovirus Mammalian cell In Vivo Biotinylation in E.coli |
IL4 Proteins for Bubalus carabanensis (Swamp type water buffalo) (Bubalus bubalis carabanensis)
| 產品貨號 | 產品名稱 | 來源 |
|---|---|---|
| CSB-YP649260BAAW CSB-EP649260BAAW CSB-BP649260BAAW CSB-MP649260BAAW CSB-EP649260BAAW-B |
Recombinant Bubalus carabanensis Interleukin-4 (IL4) | Yeast E.coli Baculovirus Mammalian cell In Vivo Biotinylation in E.coli |
IL4 Proteins for Ailuropoda melanoleuca (Giant panda)
| 產品貨號 | 產品名稱 | 來源 |
|---|---|---|
| CSB-YP659536AYX CSB-EP659536AYX CSB-BP659536AYX CSB-MP659536AYX CSB-EP659536AYX-B |
Recombinant Ailuropoda melanoleuca Interleukin-4 (IL4) | Yeast E.coli Baculovirus Mammalian cell In Vivo Biotinylation in E.coli |
IL4 Proteins for Boselaphus tragocamelus (Nilgai)
| 產品貨號 | 產品名稱 | 來源 |
|---|---|---|
| CSB-YP707491BUN CSB-EP707491BUN CSB-BP707491BUN CSB-MP707491BUN CSB-EP707491BUN-B |
Recombinant Boselaphus tragocamelus Interleukin-4 (IL4) | Yeast E.coli Baculovirus Mammalian cell In Vivo Biotinylation in E.coli |
IL4 Proteins for Mesocricetus auratus (Golden hamster)
| 產品貨號 | 產品名稱 | 來源 |
|---|---|---|
| CSB-EP713863MRG CSB-BP713863MRG CSB-MP713863MRG CSB-EP713863MRG-B |
Recombinant Mesocricetus auratus Interleukin-4 (IL4) | E.coli Baculovirus Mammalian cell In Vivo Biotinylation in E.coli |
IL4 Proteins for Papio anubis (Olive baboon)
| 產品貨號 | 產品名稱 | 來源 |
|---|---|---|
| CSB-YP768134ERI CSB-EP768134ERI CSB-BP768134ERI CSB-MP768134ERI CSB-EP768134ERI-B |
Recombinant Papio anubis Interleukin-4 (IL4) | Yeast E.coli Baculovirus Mammalian cell In Vivo Biotinylation in E.coli |
IL4 Proteins for Bubalus bubalis (Domestic water buffalo)
| 產品貨號 | 產品名稱 | 來源 |
|---|---|---|
| CSB-YP768743BWX CSB-EP768743BWX CSB-BP768743BWX CSB-MP768743BWX CSB-EP768743BWX-B |
Recombinant Bubalus bubalis Interleukin-4 (IL4) | Yeast E.coli Baculovirus Mammalian cell In Vivo Biotinylation in E.coli |
IL4 Proteins for Lama glama (Llama)
| 產品貨號 | 產品名稱 | 來源 |
|---|---|---|
| CSB-BP772949LBS CSB-EP772949LBS-B |
Recombinant Lama glama Interleukin-4 (IL4) | Baculovirus In Vivo Biotinylation in E.coli |
IL4 Proteins for Pan troglodytes (Chimpanzee)
| 產品貨號 | 產品名稱 | 來源 |
|---|---|---|
| CSB-YP810227EQV CSB-EP810227EQV CSB-BP810227EQV CSB-MP810227EQV CSB-EP810227EQV-B |
Recombinant Pan troglodytes Interleukin-4 (IL4) | Yeast E.coli Baculovirus Mammalian cell In Vivo Biotinylation in E.coli |
IL4 Proteins for Oryctolagus cuniculus (Rabbit)
| 產品貨號 | 產品名稱 | 來源 |
|---|---|---|
| CSB-YP885625RB CSB-EP885625RB CSB-BP885625RB CSB-MP885625RB CSB-EP885625RB-B |
Recombinant Rabbit Interleukin-4 (IL4) | Yeast E.coli Baculovirus Mammalian cell In Vivo Biotinylation in E.coli |
IL4 Proteins for Tursiops truncatus (Atlantic bottle-nosed dolphin) (Delphinus truncatus)
| 產品貨號 | 產品名稱 | 來源 |
|---|---|---|
| CSB-YP896421TRF CSB-EP896421TRF CSB-BP896421TRF CSB-MP896421TRF CSB-EP896421TRF-B |
Recombinant Tursiops truncatus Interleukin-4 (IL4) | Yeast E.coli Baculovirus Mammalian cell In Vivo Biotinylation in E.coli |
IL4 ELISA Kit
IL4 ELISA Kit for Bos taurus (Bovine)
| 產品貨號 | 產品名稱 | 樣本類型 | 靈敏度 |
|---|---|---|---|
| CSB-E12898B | Bovine interleukin 4,IL-4 ELISA Kit | serum, plasma, tissue homogenates | 3.12 pg/mL |
IL4 ELISA Kit for Canis lupus familiaris (Dog) (Canis familiaris)
| 產品貨號 | 產品名稱 | 樣本類型 | 靈敏度 |
|---|---|---|---|
| CSB-E11259c | Dog interleukin 4,IL-4 ELISA Kit | serum, plasma, tissue homogenates | 1.56 pg/mL |
IL4 ELISA Kit for Capra hircus (Goat)
| 產品貨號 | 產品名稱 | 樣本類型 | 靈敏度 |
|---|---|---|---|
| CSB-E09808g | Goat Interleukin 4,IL-4 ELISA Kit | serum, plasma, tissue homogenates | 3.9 pg/mL |
IL4 ELISA Kit for Homo sapiens (Human)
| 產品貨號 | 產品名稱 | 樣本類型 | 靈敏度 |
|---|---|---|---|
| CSB-E04633h | Human Interleukin 4,IL-4 ELISA KIT | serum, plasma, tissue homogenates. | 7.8 pg/ml |
IL4 ELISA Kit for Mus musculus (Mouse)
| 產品貨號 | 產品名稱 | 樣本類型 | 靈敏度 |
|---|---|---|---|
| CSB-E04634m | Mouse Interleukin 4,IL-4 ELISA KIT | serum, plasma, tissue homogenates | 7.8 pg/ml |
IL4 ELISA Kit for Sus scrofa (Pig)
| 產品貨號 | 產品名稱 | 樣本類型 | 靈敏度 |
|---|---|---|---|
| CSB-E06785p | Pig interleukin 4,IL-4 ELISA Kit | serum, plasma, cell culture supernates, tissue homogenates | 1.56 pg/mL |
IL4 ELISA Kit for Oryctolagus cuniculus (Rabbit)
| 產品貨號 | 產品名稱 | 樣本類型 | 靈敏度 |
|---|---|---|---|
| CSB-E06902Rb | Rabbit Interleukin 4,IL-4 ELISA Kit | serum, plasma, tissue homogenates | 0.156 pg/mL |
IL4 ELISA Kit for Rattus norvegicus (Rat)
| 產品貨號 | 產品名稱 | 樣本類型 | 靈敏度 |
|---|---|---|---|
| CSB-E04635r | Rat Interleukin 4,IL-4 ELISA KIT | serum, plasma, tissue homogenates | 3.9 pg/mL |
IL4 ELISA Kit for Ovis aries (Sheep)
| 產品貨號 | 產品名稱 | 樣本類型 | 靈敏度 |
|---|---|---|---|
| CSB-E15963Sh | Sheep Interleukin 4(IL-4)ELISA Kit | serum, plasma, tissue homogenates | 1.56 pg/mL |
IL4 ELISA Kit for Mesocricetus auratus (Golden hamster)
| 產品貨號 | 產品名稱 | 樣本類型 | 靈敏度 |
|---|---|---|---|
| CSB-EL011659HA | Hamster Interleukin-4(IL4) ELISA kit | serum, plasma, tissue homogenates | 2.34 pg/mL |






