STAT6
STAT6,即信號轉導及轉錄激活因子6。它是由STAT6基因編碼的一種轉錄因子,主要在免疫系統中發揮作用。STAT6的作用機制是通過與細胞因子如IL-4和IL-13的受體結合,被Janus激酶(JAK)磷酸化后激活,進而形成同源或異源二聚體并轉位到細胞核內,調控特定基因的表達。其信號通路涉及JAK/STAT6途徑,這一途徑在調節Th2型免疫反應、促進B細胞產生IgE、以及影響細胞增殖和分化等方面具有重要作用。在生物學意義上,STAT6對維持免疫平衡、參與炎癥反應和抗寄生蟲免疫等過程至關重要。STAT6的異常激活與多種疾病相關,包括過敏性疾病如哮喘、以及某些類型的癌癥。
熱銷產品
STAT6 Recombinant Monoclonal Antibody (CSB-RA988543A0HU)
驗證數據
Western Blot
Positive WB detected in: Hela whole cell lysate, 293 whole cell lysate, HepG2 whole cell lysate, NIH/3T3 whole cell lysate, K562 whole cell lysate
All lanes: STAT6 Antibody at 1:1000
Secondary
Goat polyclonal to rabbit IgG at 1/50000 dilution
Predicted band size: 95, 75, 82 kDa
Observed band size: 100 kDa
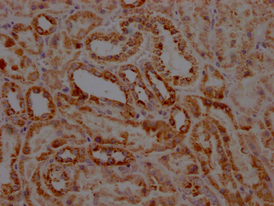
IHC image of CSB-RA988543A0HU diluted at 1:100 and staining in paraffin-embedded human kidney tissue performed on a Leica BondTM system. After dewaxing and hydration, antigen retrieval was mediated by high pressure in a citrate buffer (pH 6.0). Section was blocked with 10% normal goat serum 30min at RT. Then primary antibody (1% BSA) was incubated at 4℃ overnight. The primary is detected by a Goat anti-rabbit IgG polymer labeled by HRP and visualized using 0.05% DAB.
STAT6 Antibodies
STAT6 for Homo sapiens (Human)
| 產品貨號 | 產品名稱 | 種屬反應性 | 應用類型 |
|---|---|---|---|
| CSB-PA022816GA01HU | STAT6 Antibody | Human,Mouse,Rat | ELISA,WB,IHC |
| CSB-PA073316 | Phospho-STAT6 (Tyr641) Antibody | Human | ELISA,WB,IHC |
| CSB-PA204581 | Phospho-STAT6 (Thr645) Antibody | Human | ELISA,WB,IHC |
| CSB-PA904385 | STAT6 (Ab-641) Antibody | Human | ELISA,WB,IHC |
| CSB-PA596879 | STAT6 (Ab-645) Antibody | Human | ELISA,WB,IHC |
| CSB-PA000624 | Phospho-STAT6 (T645) Antibody | Human,Mouse,Rat | WB, IHC, IP, ELISA |
| CSB-PA004183 | STAT6 Antibody | Human,Mouse,Rat | WB, IHC, IP, ELISA |
| CSB-PA050171 | STAT6 Antibody | Human,Mouse,Rat,Monkey | WB, IHC, ELISA |
| CSB-PA138665 | STAT6 Antibody | Human,Mouse | ELISA,WB |
| CSB-PA171110 | STAT6 Antibody | Human,Mouse | ELISA,WB |
| CSB-PA000625 | Phospho-STAT6 (Y641) Antibody | Human,Mouse,Rat | WB, IHC, ELISA |
| CSB-PA022816LA01HU | STAT6 Antibody | Human | ELISA, IHC, IF |
| CSB-PA022816LB01HU | STAT6 Antibody, HRP conjugated | Human | ELISA |
| CSB-PA022816LC01HU | STAT6 Antibody, FITC conjugated | Human | |
| CSB-PA022816LD01HU | STAT6 Antibody, Biotin conjugated | Human | ELISA |
| CSB-RA988543A0HU | STAT6 Recombinant Monoclonal Antibody | Human, Mouse | ELISA, WB, IHC |
STAT6 Proteins
STAT6 Proteins for Homo sapiens (Human)
| 產品貨號 | 產品名稱 | 來源 |
|---|---|---|
| CSB-YP022816HU CSB-EP022816HU CSB-BP022816HU CSB-MP022816HU CSB-EP022816HU-B |
Recombinant Human Signal transducer and activator of transcription 6 (STAT6), partial | Yeast E.coli Baculovirus Mammalian cell In Vivo Biotinylation in E.coli |
STAT6 Proteins for Mus musculus (Mouse)
| 產品貨號 | 產品名稱 | 來源 |
|---|---|---|
| CSB-YP022816MO CSB-EP022816MO CSB-BP022816MO CSB-MP022816MO CSB-EP022816MO-B |
Recombinant Mouse Signal transducer and transcription activator 6 (Stat6), partial | Yeast E.coli Baculovirus Mammalian cell In Vivo Biotinylation in E.coli |






