Th
酪氨酸羥化酶(Tyrosine Hydroxylase,TH)俗稱多巴胺合成酶,是大腦中調控神經遞質生產的“總開關”。它能將酪氨酸轉化為左旋多巴,這是制造多巴胺、腎上腺素等關鍵神經信號分子的第一步。TH活性不足會導致神經系統“燃料短缺”,引發如Segawa綜合征等罕見遺傳病,患兒出生后逐漸出現四肢僵硬、運動失調,部分病例對左旋多巴藥物反應顯著。帕金森病患者腦內TH水平通常下降50%以上,直接導致多巴胺耗竭,引發震顫和運動遲緩等典型癥狀。
當前治療以口服左旋多巴為主,但長期使用可能引發肢體不受控舞動等副作用。前沿研究嘗試通過基因療法在腦內“定點補充”TH蛋白,例如英國Oxford Biomedica公司的OXB-102療法,已在靈長類動物中證實可持續6個月改善運動功能。小分子領域,默克公司開發的TH變構激活劑MK-8318,能繞過傳統代謝途徑直接增強酶活性,目前處于Ⅰ期臨床。
熱銷產品
TH Antibody (CSB-PA023470LA01HU)
驗證數據
Western Blot
Positive WB detected in: A549 whole cell lysate, Hela whole cell lysate, Rat brain tissue, Rat liver tissue, Mouse liver tissue, Mouse brain tissue
All lanes: TH antibody at 4μg/ml
Secondary
Goat polyclonal to rabbit IgG at 1/50000 dilution
Predicted band size: 59, 56, 57, 46, 45 kDa
Observed band size: 59 kDa
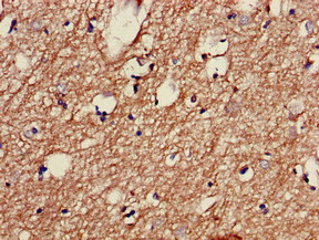
Immunohistochemistry of paraffin-embedded human brain tissue using CSB-PA023470LA01HU at dilution of 1:100
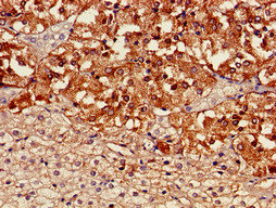
Immunohistochemistry of paraffin-embedded human adrenal gland tissue using CSB-PA023470LA01HU at dilution of 1:100
Human tyrosine hydroxylase,TH ELISA Kit (CSB-E09661h)
驗證數據
貨號:CSB-E09661h
規格:96T/48T
靈敏度:0.078 ng/mL
檢測范圍:0.312 ng/mL-20 ng/mL
These standard curves are provided for demonstration only. A standard curve should be generated for each set of samples assayed.
Th Antibodies
Th for Homo sapiens (Human)
| 產品貨號 | 產品名稱 | 種屬反應性 | 應用類型 |
|---|---|---|---|
| CSB-PA154990 | Phospho-TH (Ser40) Antibody | Human,Mouse,Rat | ELISA,IF |
| CSB-PA439504 | Phospho-TH (Ser19) Antibody | Rat | ELISA,IF |
| CSB-PA695636 | TH (Ab-31) Antibody | Mouse,Rat | ELISA,WB |
| CSB-PA000731 | Phospho-TH (S19) Antibody | Human,Mouse,Rat | WB, IHC, IF, ELISA |
| CSB-PA004284 | TH Antibody | Human,Mouse,Rat | WB, IHC, IF, ELISA |
| CSB-PA004285 | TH Antibody | Human,Mouse,Rat | WB, IHC, IF, ELISA |
| CSB-PA050254 | Phospho-TH (S62) Antibody | Human,Mouse,Rat,Monkey | WB, IHC, ELISA |
| CSB-PA050255 | TH Antibody | Human,Mouse,Rat,Monkey | WB, IHC, ELISA |
| CSB-PA011030 | Phospho-TH (S71) Antibody | Human,Mouse,Rat | WB, IHC, ELISA |
| CSB-PA195276 | TH Antibody | Human | ELISA,IHC |
| CSB-PA903853 | TH Antibody | Human | ELISA,IHC |
| CSB-PA023470LA01HU | TH Antibody | Human, Mouse, Rat | ELISA, WB, IHC |
| CSB-PA023470LB01HU | TH Antibody, HRP conjugated | Human | ELISA |
| CSB-PA023470LC01HU | TH Antibody, FITC conjugated | Human | |
| CSB-PA023470LD01HU | TH Antibody, Biotin conjugated | Human | ELISA |
Th for Rattus norvegicus (Rat)
| 產品貨號 | 產品名稱 | 種屬反應性 | 應用類型 |
|---|---|---|---|
| CSB-PA004286 | TH Antibody | Rat | WB, IHC, ELISA |
| CSB-PA006345 | Phospho-TH (S8) Antibody | Rat | WB, IHC, ELISA |
Th Proteins
Th Proteins for Homo sapiens (Human)
| 產品貨號 | 產品名稱 | 來源 |
|---|---|---|
| CSB-YP023470HU CSB-EP023470HU CSB-BP023470HU CSB-MP023470HU CSB-EP023470HU-B |
Recombinant Human Tyrosine 3-monooxygenase (TH) | Yeast E.coli Baculovirus Mammalian cell In Vivo Biotinylation in E.coli |
Th ELISA Kit
Th ELISA Kit for Homo sapiens (Human)
| 產品貨號 | 產品名稱 | 樣本類型 | 靈敏度 |
|---|---|---|---|
| CSB-E09661h | Human tyrosine hydroxylase,TH ELISA Kit | serum, plasma, tissue homogenates | 0.078 ng/mL |






