TH Antibody
-
中文名稱:TH兔多克隆抗體
-
貨號:CSB-PA195276
-
規格:¥1100
-
圖片:
-
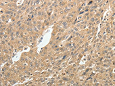
The image on the left is immunohistochemistry of paraffin-embedded Human ovarian cancer tissue using CSB-PA195276(TH Antibody) at dilution 1/10, on the right is treated with synthetic peptide. (Original magnification: ×200)
-
The image on the left is immunohistochemistry of paraffin-embedded Human tonsil tissue using CSB-PA195276(TH Antibody) at dilution 1/10, on the right is treated with synthetic peptide. (Original magnification: ×200)
-
-
其他:
產品詳情
-
Uniprot No.:
-
基因名:
-
別名:Dystonia 14 antibody; DYT14 antibody; DYT5b antibody; EC 1.14.16.2 antibody; OTTHUMP00000011225 antibody; OTTHUMP00000011226 antibody; ple antibody; Protein Pale antibody; TH antibody; The antibody; TY3H_HUMAN antibody; TYH antibody; Tyrosine 3 hydroxylase antibody; Tyrosine 3 monooxygenase antibody; Tyrosine 3-hydroxylase antibody; Tyrosine 3-monooxygenase antibody; Tyrosine hydroxylase antibody
-
宿主:Rabbit
-
反應種屬:Human
-
免疫原:Synthetic peptide of Human TH
-
免疫原種屬:Homo sapiens (Human)
-
標記方式:Non-conjugated
-
抗體亞型:IgG
-
純化方式:Antigen affinity purification
-
濃度:It differs from different batches. Please contact us to confirm it.
-
保存緩沖液:-20°C, pH7.4 PBS, 0.05% NaN3, 40% Glycerol
-
產品提供形式:Liquid
-
應用范圍:ELISA,IHC
-
推薦稀釋比:
Application Recommended Dilution ELISA 1:1000-1:5000 IHC 1:15-1:50 -
Protocols:
-
儲存條件:Upon receipt, store at -20°C or -80°C. Avoid repeated freeze.
-
貨期:Basically, we can dispatch the products out in 1-3 working days after receiving your orders. Delivery time maybe differs from different purchasing way or location, please kindly consult your local distributors for specific delivery time.
-
用途:For Research Use Only. Not for use in diagnostic or therapeutic procedures.
相關產品
靶點詳情
-
功能:Plays an important role in the physiology of adrenergic neurons. Positively regulates the regression of retinal hyaloid vessels during postnatal development.
-
基因功能參考文獻:
- These results provide a novel mechanism of how NO can modulate TH's enzymatic activity through S-nitrosylation. PMID: 28287127
- It is a genetic risk for Parkinson's disease. PMID: 29724574
- One novel mutation of c.679A>G (p.T227A) in GCH1 and 3 known mutations of c.457C>T (p.R153X), c.739G>A (p.G247S), and c.698G>A (p.R227H) in tyrosine hydroxylase (TH) have been found and predicted to be damaging or deleterious. PMID: 29405179
- This study does not support that early-onset PD may be the male presentation of TH deficiency attributed to this founder mutation in Greek patients. PMID: 27666733
- A novel heterozygous variant in tyrosine hydroxylase was identified in Chinese patients with dopa-responsive dystonia. PMID: 27619486
- This study indicates that mutations in TH are rare in late-onset Parkinson's disease. PMID: 27185167
- The purpose of this study is to investigate the clinical significance of tyrosine hydroxylase (TH) expression in peripheral blood (PB) at diagnosis in patients with neuroblastoma.. The treatment intensity should be tailored according to TH expression in PB at diagnosis. PMID: 27034145
- Our results suggest that the TH-immunoreactive cells in the human cortex do not overlap with any known neurochemically-defined subsets of interneurons and provide further evidence of differences in the phenotype of these cells across species. PMID: 27448941
- Results show that the positive rates and expression levels of nestin, tyrosine hydroxylase (TH), GFAP and IL-17 were significantly decreased while Foxp3 and the ratio of Foxp3/IL-17 were statistically elevated in BM of AML patients. PMID: 27016413
- Data suggest that TH phosphorylated at Ser-31 co-distributes with Golgi complexes and synaptic-like vesicles in rat and human dopaminergic neurons/cell lines; Ser-31 phosphorylation may regulate TH subcellular localization by enabling its transport along microtubules, notably toward the projection terminals. PMID: 28637871
- TH is a robust interaction partner of different 14-3-3 dimer types with moderate variability between the 14-3-3 dimers on their regulation of TH. PMID: 26825549
- Germline mutations in the TH gene are linked to Familial isolated pituitary adenoma in a Brazilian Family. PMID: 27245436
- No statistically significant differences were found between cases and controls for the allele frequencies in five genes: TH, SLC18A2, DRD1, DRD3 and COMT. Conversely, some alleles of the 12 sNPs from the DRD2 locus and the 5 from the MAOA locus showed significant associations with excessive alcohol consumption. PMID: 26447226
- Results show that metastasis-associated protein 1 (MTA1) and tyrosine hydroxylase (TH) levels were significantly down-regulated in Parkinson disease (PD) samples as compared with normal brain tissue PMID: 27044752
- the reduction of tyrosine hydroxylase-immunoreactive neurons occurring in the locus coeruleus after perinatal hypoxic insults persists into adulthood PMID: 26647061
- The data suggest that presence of a homozygous V81M polymorphism is associated with more severe freezing of gait in patients with Parkinson's disease PMID: 26732803
- In this study we found that TH protein levels did not differ between control and schizophrenia groups in the nucleus accumbens. PMID: 26386900
- In high-risk metastatic Neuroblastoma, TH and DCX mRNA quantification could be used for the assessment of response to treatment and for early detection of progressive disease or relapses. PMID: 26498952
- the allelic frequency of the TH01 marker in 171 Swiss sudden infant death syndrome (SIDS) infants and 500 healthy and gender-matched Caucasian adults showed that the 9.3 allele is similarly distributed in SIDS cases and controls (27.2% vs. 25.6%; p-value = 0.562). PMID: 24975687
- This study showed that a new tyrosine hydroxylase knock-in mouse model of l-DOPA-responsive dystonia. PMID: 26220941
- The mutant tyrosine hydroxylase enzyme was unstable and exhibited deficient stabilization by catecholamines, leading to decline of brain tyrosine hydroxylase-immunoreactivity in the Th knock-in mice. PMID: 26276013
- Thus, the hTH-GFP reporter rat should be a valuable tool for Parkinson's disease research. PMID: 25462571
- A detailed analysis of the interaction between singly or doubly phosphorylated human tyrosine hydroxylase isoform 1(1-50) peptides and 14-3-3zeta PMID: 25418103
- Study found evidence that DNA variation in the ADRA2A gene may be causally related to ADHD-like behaviors, and for a novel association between a TH gene variant and intra-individual variability PMID: 24166412
- Proteomics analysis show that Ser40 of TH protein does not significantly contribute to the binding of 14-3-3gamma, and rather has reduced accessibility in the TH:14-3-3gamma complex. PMID: 24947669
- increased expression of TH and GAP43 might be a molecular mechanism for left atrial myoelectricity remodeling of aging atrial fibrillation patients, which might be potential therapeutic targets of atrial fibrillation. PMID: 24301786
- biosynthesis of catecholamine by the action of TH should be deeply involved in decreased intellectual ability in patients with schizophrenia PMID: 24417771
- A297, E362/E365 and S368 of TH were shown to mediate high affinity dopamine inhibition through V(max) reduction and increasing the K(M) for the cofactor. PMID: 24334288
- Tyrosine hydroxylase polymorphisms contribute to attempted suicide in schizophrenia. PMID: 24275212
- Neurons of the substantia nigra from the Lesch-Nyhan disease cases show reduced melanization and reduced reactivity for tyrosine hydroxylase (TH), the rate-limiting enzyme in dopamine synthesis. PMID: 24891139
- Achilles tendon tenocytes produce tyrosine hydroxylase. PMID: 22292987
- In a South African cohort, Africans had a higher incidence of hypertension and higher occurrence of the C-824T TH mutation. However, the contribution of the tyrosine hydroxylase C-824T polymorphism to hypertension could not be confirmed. PMID: 23489065
- Nurr1 overexpression significantly increased the SIRT1 occupancy of the consensus elements for Nurr1 binding hTH promoter region. PMID: 23977047
- The region surrounding pSer19 of Tyrosine hydroxylase adopts an extended conformation in the 14-3-3gamma-bound state, whereas adopts a bent conformation when free in solution. PMID: 24055376
- Data suggest that coordination of nitric oxide to Fe(II) in TyrH is directed by presence of tetrahydropterin at active site, binding in a fashion that may be important for directing first step of catalytic cycle toward hydroxylation of tyrosine. PMID: 24168553
- In 10 sporadic cases of dopa-responsive dystonia, only two heterozygous tyrosine hydroxylase mutations (Ser19Cys and Gly397Arg) were found in two subjects with unknown pathogenicity. PMID: 23762320
- Data indicate that the C-terminal domain was the immunodominant part of tryptophan hydroxylase TPH1, the epitopes of tryptophan hydroxylase TPH2 and tyrosine hydroxylase (TH) were mainly located in the N-terminal regulatory domains. PMID: 23182718
- our studies have clearly identified a glucocorticoid-responsive element in a 7 bp AP-1-like motif in the promoter region at -7.24 kb of the human TH gene PMID: 23647419
- In severe prolonged fetal hypoxia, there was a striking reduction or absence of tyrosine hydroxylase in all the mesencephalic nuclei. PMID: 23481708
- This review discusses the current understandings on the genetic variants in TH and their correlations with Parkinson's disease. PMID: 22583432
- This study presented a THD family with predominant myoclonus-dystonia and a new genotype. PMID: 22815559
- molecular analysis revealed two novel heterozygous mutations c.636A>C and c.1124G>C in the TH gene PMID: 22691284
- mRNA expressions of AQP4 and TH were found to be reduced whereas that of PBP was found to be elevated when compared with those of healthy control samples PMID: 22083667
- Data show calbindin (CB)- and tyrosine hydroxylase (TH)-cells were distributed in the three striatal territories, and the density of calretinin (CR) and parvalbumin (PV) interneurons were more abundant in the associative and sensorimotor striatum. PMID: 22272358
- Protein levels for tyrosine hydroxylase peaked during the first year of life then gradually declined to adulthood. PMID: 22336227
- data indicate that ligand-bound PR-B is recruited to DNA elements in the TH promoter and acts as a transcriptional activator of the TH gene PMID: 21815951
- these results suggest that region-specific methylation and methyl-CpG binding domain proteins play important roles in TH gene regulation in neural stem cells. PMID: 22001923
- Human RXRalpha interacts with and represses Nurr1-dependent transcriptional activation in tyrosine hydroxylase (TH)-expressing dopaminergic neuronal stem cells in culture, downregulating TH promoter activity. PMID: 22066143
- Data indicate that TH gene expression can be regulated by alpha-synuclein (alpha-SYN); further, interference with TH gene expression through elevated levels of alpha-SYN could be associated with dopaminergic neuronal dysfunction. PMID: 21656370
- Data from samples of centenarians, nonagenarians and younger controls suggest that the TH01 STR locus exhibits no significant influence on the ability of attaining exceptional old age in Germans. PMID: 21407269
顯示更多
收起更多
-
相關疾?。?/div>Segawa syndrome autosomal recessive (ARSEGS)亞細胞定位:Cytoplasm, perinuclear region.蛋白家族:Biopterin-dependent aromatic amino acid hydroxylase family組織特異性:Mainly expressed in the brain and adrenal glands.數據庫鏈接:
Most popular with customers
-
-
YWHAB Recombinant Monoclonal Antibody
Applications: ELISA, WB, IHC, IF, FC
Species Reactivity: Human, Mouse, Rat
-
Phospho-YAP1 (S127) Recombinant Monoclonal Antibody
Applications: ELISA, WB, IHC
Species Reactivity: Human
-
-
-
-
-















