TBK1
TBK1,即TANK結合激酶1,別名T2K、NAK等。TBK1是一種絲氨酸/蘇氨酸蛋白激酶,屬于非經典的IKK激酶家族。TBK1的作用機制涉及其激酶活性,特別是激酶結構域中的Ser172位點的磷酸化,這是TBK1激酶活性的關鍵調節位點。TBK1在固有免疫系統中扮演著關鍵角色,能夠激活NF-κB轉錄因子和干擾素調節因子(IRFs),對抵抗病原微生物的入侵和產生炎性細胞因子至關重要。TBK1的活性異常與多種疾病相關,包括炎癥性疾病、自身免疫疾病、癌癥和神經退行性疾病,是藥物發現的新興治療靶點。
熱銷產品
Recombinant Human Serine/threonine-protein kinase TBK1 (TBK1), partial (CSB-EP890690HU1)
驗證數據
(Tris-Glycine gel) Discontinuous SDS-PAGE (reduced) with 5% enrichment gel and 15% separation gel.
TBK1 Recombinant Monoclonal Antibody (CSB-RA932866A0HU)
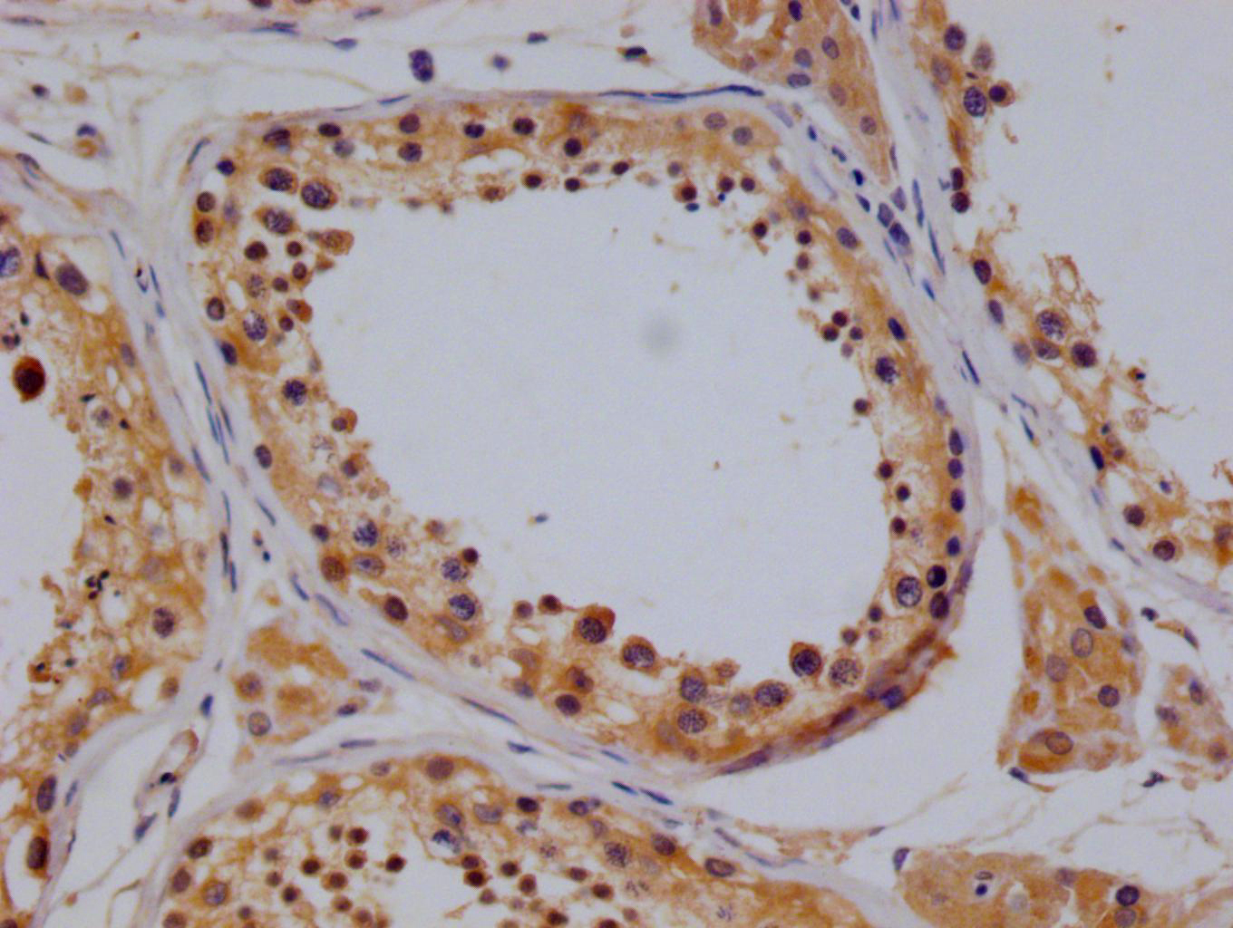
驗證數據
IHC image of CSB-RA932866A0HU diluted at 1:100 and staining in paraffin-embedded human testis tissue performed on a Leica BondTM system. After dewaxing and hydration, antigen retrieval was mediated by high pressure in a citrate buffer (pH 6.0). Section was blocked with 10% normal goat serum 30min at RT. Then primary antibody (1% BSA) was incubated at 4°C overnight. The primary is detected by a Goat anti-rabbit polymer IgG labeled by HRP and visualized using 0.05% DAB.
IHC image of CSB-RA932866A0HU diluted at 1:100 and staining in paraffin-embedded human liver cancer performed on a Leica BondTM system. After dewaxing and hydration, antigen retrieval was mediated by high pressure in a citrate buffer (pH 6.0). Section was blocked with 10% normal goat serum 30min at RT. Then primary antibody (1% BSA) was incubated at 4°C overnight. The primary is detected by a Goat anti-rabbit polymer IgG labeled by HRP and visualized using 0.05% DAB.
Overlay Peak curve showing A549 cells stained with CSB-RA932866A0HU (red line) at 1:100. The cells were fixed in 4% formaldehyde and permeated by 0.2% TritonX-100. Then 10% normal goat serum to block non-specific protein-protein interactions followed by the antibody (1ug/1*106cells) for 45min at 4℃. The secondary antibody used was FITC-conjugated Goat Anti-rabbit IgG(H+L) at 1:200 dilution for 35min at 4℃.Control antibody (green line) was rabbit IgG (1ug/1*106cells) used under the same conditions. Acquisition of >10,000 events was performed.
TBK1 Antibodies
TBK1 for Homo sapiens (Human)
| 產品貨號 | 產品名稱 | 種屬反應性 | 應用類型 |
|---|---|---|---|
| CSB-PA009019 | TBK1 Antibody | Human,Mouse | IHC, ELISA |
| CSB-PA023232LA01HU | TBK1 Antibody | Human, Mouse | ELISA, WB, IHC, IF |
| CSB-PA023232LC01HU | TBK1 Antibody, FITC conjugated | Human | |
| CSB-PA023232LD01HU | TBK1 Antibody, Biotin conjugated | Human | ELISA |
| CSB-PA890690NA01HU | TBK1 Antibody | Human | ELISA, WB, IF |
| CSB-PA890690NB01HU | TBK1 Antibody, HRP conjugated | Human | ELISA |
| CSB-PA890690NC01HU | TBK1 Antibody, FITC conjugated | Human | |
| CSB-PA890690ND01HU | TBK1 Antibody, Biotin conjugated | Human | ELISA |
| CSB-PA890690NA172nphHU | TBK1 (Ab-172) Antibody | Human | ELISA, IHC |
| CSB-RA932866A0HU | TBK1 Recombinant Monoclonal Antibody | Human | ELISA, IHC, FC |
TBK1 Proteins
TBK1 Proteins for Xenopus laevis (African clawed frog)
| 產品貨號 | 產品名稱 | 來源 |
|---|---|---|
| CSB-YP732220XBE CSB-EP732220XBE CSB-BP732220XBE CSB-MP732220XBE CSB-EP732220XBE-B |
Recombinant Xenopus laevis Serine/threonine-protein kinase TBK1 (tbk1), partial | Yeast E.coli Baculovirus Mammalian cell In Vivo Biotinylation in E.coli |
TBK1 Proteins for Homo sapiens (Human)
| 產品貨號 | 產品名稱 | 來源 |
|---|---|---|
| CSB-YP890690HU1 CSB-BP890690HU1 CSB-MP890690HU1 CSB-EP890690HU1-B |
Recombinant Human Serine/threonine-protein kinase TBK1 (TBK1), partial | Yeast Baculovirus Mammalian cell In Vivo Biotinylation in E.coli |
| CSB-EP890690HU1 | Recombinant Human Serine/threonine-protein kinase TBK1 (TBK1), partial | E.coli |
TBK1 Proteins for Mus musculus (Mouse)
| 產品貨號 | 產品名稱 | 來源 |
|---|---|---|
| CSB-YP894827MO CSB-EP894827MO CSB-BP894827MO CSB-MP894827MO CSB-EP894827MO-B |
Recombinant Mouse Serine/threonine-protein kinase TBK1 (Tbk1) | Yeast E.coli Baculovirus Mammalian cell In Vivo Biotinylation in E.coli |






