TBK1 (Ab-172) Antibody
-
中文名稱:TBK1 (Ab-172)兔多克隆抗體
-
貨號:CSB-PA890690NA172nphHU
-
規格:¥440
-
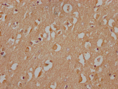
圖片:
-
IHC image of CSB-PA890690NA172nphHU diluted at 1:100 and staining in paraffin-embedded human brain tissue performed on a Leica BondTM system. After dewaxing and hydration, antigen retrieval was mediated by high pressure in a citrate buffer (pH 6.0). Section was blocked with 10% normal goat serum 30min at RT. Then primary antibody (1% BSA) was incubated at 4°C overnight. The primary is detected by a Goat anti-rabbit IgG labeled by HRP and visualized using 0.05% DAB.
-
-
其他:
產品詳情
-
產品名稱:Rabbit anti-Homo sapiens (Human) TBK1 Polyclonal antibody
-
Uniprot No.:
-
基因名:
-
別名:Serine/threonine-protein kinase TBK1 (EC 2.7.11.1) (NF-kappa-B-activating kinase) (T2K) (TANK-binding kinase 1), TBK1, NAK
-
宿主:Rabbit
-
反應種屬:Human
-
免疫原:Synthesized peptide derived from Human Serine/threonine-protein kinase TBK1 protein (166-180aa)
-
免疫原種屬:Homo sapiens (Human)
-
標記方式:Non-conjugated
-
克隆類型:Polyclonal
-
抗體亞型:IgG
-
純化方式:Antigen Affinity Purified
-
濃度:It differs from different batches. Please contact us to confirm it.
-
保存緩沖液:Preservative: 0.03% Proclin 300
Constituents: 50% Glycerol, 0.01M PBS, pH 7.4 -
產品提供形式:Liquid
-
應用范圍:ELISA, IHC
-
推薦稀釋比:
Application Recommended Dilution IHC 1:100-1:500 -
Protocols:
-
儲存條件:Upon receipt, store at -20°C or -80°C. Avoid repeated freeze.
-
貨期:Basically, we can dispatch the products out in 1-3 working days after receiving your orders. Delivery time maybe differs from different purchasing way or location, please kindly consult your local distributors for specific delivery time.
-
用途:For Research Use Only. Not for use in diagnostic or therapeutic procedures.
相關產品
靶點詳情
-
功能:Serine/threonine kinase that plays an essential role in regulating inflammatory responses to foreign agents. Following activation of toll-like receptors by viral or bacterial components, associates with TRAF3 and TANK and phosphorylates interferon regulatory factors (IRFs) IRF3 and IRF7 as well as DDX3X. This activity allows subsequent homodimerization and nuclear translocation of the IRFs leading to transcriptional activation of pro-inflammatory and antiviral genes including IFNA and IFNB. In order to establish such an antiviral state, TBK1 form several different complexes whose composition depends on the type of cell and cellular stimuli. Plays a key role in IRF3 activation: acts by first phosphorylating innate adapter proteins MAVS, STING1 and TICAM1 on their pLxIS motif, leading to recruitment of IRF3, thereby licensing IRF3 for phosphorylation by TBK1. Phosphorylated IRF3 dissociates from the adapter proteins, dimerizes, and then enters the nucleus to induce expression of interferons. Thus, several scaffolding molecules including FADD, TRADD, MAVS, AZI2, TANK or TBKBP1/SINTBAD can be recruited to the TBK1-containing-complexes. Under particular conditions, functions as a NF-kappa-B effector by phosphorylating NF-kappa-B inhibitor alpha/NFKBIA, IKBKB or RELA to translocate NF-Kappa-B to the nucleus. Restricts bacterial proliferation by phosphorylating the autophagy receptor OPTN/Optineurin on 'Ser-177', thus enhancing LC3 binding affinity and antibacterial autophagy. Phosphorylates SMCR8 component of the C9orf72-SMCR8 complex, promoting autophagosome maturation. Phosphorylates and activates AKT1. Seems to play a role in energy balance regulation by sustaining a state of chronic, low-grade inflammation in obesity, wich leads to a negative impact on insulin sensitivity. Attenuates retroviral budding by phosphorylating the endosomal sorting complex required for transport-I (ESCRT-I) subunit VPS37C. Phosphorylates Borna disease virus (BDV) P protein. Plays an essential role in the TLR3- and IFN-dependent control of herpes virus HSV-1 and HSV-2 infections in the central nervous system.
-
基因功能參考文獻:
- Of the whole cohort of patients with Motor Neuron Disease and Frontotemporal Dementia, 2 patients harboured a mutation in the TANK-binding kinase 1 (TBK1). PMID: 29886477
- TBK1 is not only a recurrent cause of amyotrophic lateral sclerosis (ALS) and frontotemporal dementia (FTD), but a cause of other neurodegenerative disorders like progressive cerebellar ataxia and cerebellar ataxia. PMID: 29137817
- It contributes to the etiology of sporadic amyotrophic lateral sclerosis in Japanese patients. PMID: 29398122
- TANK-binding kinase 1 (TBK1) loss-of-function (LoF) mutations are risk of Alzheimer's disease. PMID: 29146049
- Cdc25A negatively regulates the antiviral immune response by inhibiting TBK1 activity. PMID: 30021902
- Two-stage meta-analysis to investigate the frequency of TBK1 mutations in amyotrophic lateral sclerosis/frontotemporal dementia (ALS/FTD) patients and the association between the mutations and risk of ALS/FTD spectrum showed that TBK1 loss of function and missense mutations are not frequently found in ALS/FTD patients, and both of them are associated with an increased risk for ALS/FTD spectrum. PMID: 29349657
- Low TBK1 expression is associated with RNA virus infections. PMID: 29743353
- Loss of TBK1 by Us11 promotes HSV-1 infection through Formation of the Us11-Hsp90 Complex. PMID: 29743370
- This study supports the implication of TBK1 in Amyotrophic Lateral Sclerosis and Cognitive Decline pathogenesis in Italy. PMID: 29103041
- work identifies the TRIM23-TBK1-p62 axis as a key component of selective autophagy and further reveals a role for K27-linked ubiquitination in GTPase-dependent TBK1 activation PMID: 28871090
- we detected no statistical difference in age at diagnosis or maximum IOP when we compared patients with a TBK1 gene duplication and patients with a TBK1 gene triplication. PMID: 28984711
- Human T-lymphotropic virus 1 Tax protein impairs K63-linked ubiquitination of STING and disrupted the interactions between STING and TBK1 to evade host innate immunity. PMID: 28119118
- we investigated a large European study population of 2,538 European FTD-ALS spectrum patients to get a deeper appreciation of the mutation frequency, mutation spectrum, and the genotype-phenotype profile of TBK1 patient carriers. PMID: 28008748
- These results outline a novel mechanism for the control of TBK1 activity and suggest USP1-UAF1 complex as a potential target for the prevention of viral diseases. PMID: 29138248
- TRIM9s undergoes Lys-63-linked auto-polyubiquitination and serves as a platform to bridge GSK3beta to TBK1, leading to the activation of IRF3 signaling. PMID: 26915459
- YPEL5 silencing enhanced the induction of IFNB1 by pattern recognition receptors and phosphorylation of TBK1/IKBKE kinases, whereas co-immunoprecipitation experiments revealed that YPEL5 interacted physically with IKBKE. PMID: 27705791
- ZIKV infection of neuroepithelial stem cells and radial glial cells causes centrosomal depletion and mitochondrial sequestration of phospho-TBK1 during mitosis. PMID: 27568284
- High TBK1 expression is associated with Lung cancer. PMID: 28716898
- Our results highlight an unexpected role of the Golgi apparatus in innate immunity as a key subcellular gateway for TBK1 activation after RNA virus infection. PMID: 27538435
- The results of this study proposed that TBK1 is not a frequent causal gene in Chinese ALS patients. PMID: 27260353
- HERP Binds TBK1 To Activate Innate Immunity and Repress Virus Replication in Response to Endoplasmic Reticulum Stress PMID: 28954889
- these data suggest that HNSs, an antagonist of host innate immunity, interacts with TBK1 and thereby hinders the association of TBK1 with its substrate IRF3, thus blocking IRF3 activation and transcriptional induction of the cellular antiviral responses. PMID: 28848048
- Pathogenic variants in TBK1 are rare but could be responsible for sALS in a small number of Korean patients. PMID: 27939697
- High TBK1 expression is associated with normal tension glaucoma. PMID: 28025332
- We identified novel genomic TBK1 variants including two loss-of-function (LoF) (p.Leu59Phefs*16 and c.358+5G>A), two missense (p.Asp118Asn and p.Ile397Thr) and one intronic variant (c.1644-5_1644-2delAATA). PMID: 28822984
- Mutations in the TANK-binding kinase 1 (TBK1) gene were identified as a cause for amyotrophic lateral sclerosis (ALS) with or without comorbid frontotemporal dementia. PMID: 27156075
- The occurrence of TBK1 mutations in FTD and ALS underlines the fact that FTD and ALS are part of the same disease spectrum. For future therapeutic trials, characterization of TBK1 mutation carriers in presymptomatic cohorts, such as the genetic frontotemporal dementia initiative (GENFI), is of great importance. PMID: 27570907
- demonstrate a key role of TBK1/IKKepsilon in the survival and proliferation of HTLV-1-transformed T cells PMID: 27123832
- Data suggest that changes in inhibitor of nuclear factor kappa B kinase subunit epsilon (IKKepsilon) and TANK-binding kinase 1 (TBK1) expression may be involved in the development of intestinal-type gastric cancer. PMID: 27145266
- review of the role of TBK1 in the seemingly unrelated, yet allelic diseases amyotrophic lateral sclerosis (ALS), frontotemporal dementia (FTD), normal tension glaucoma (NTG) and childhood herpes simplex encephalitis and discuss the role of TBK1 in neuroinflammatory diseases PMID: 27211305
- Enrichment of qualifying variants toward glaucoma was present in all genes except WDR36, in which controls harbored more variants, and TBK1, in which no qualifying variants were detected in cases or controls. PMID: 28282485
- Human herpesvirus 1 ICP27 interacted with TBK1 and STING in a manner that was dependent on TBK1 activity and the RGG motif in ICP27 and inhibited type I IFN induction through the cGAS-STING-TBK1 pathway in human macrophages. PMID: 27234299
- Upon cytosolic DNA stimulation, STAT3 Ser(754) is directly phosphorylated by TBK1 in a STING-dependent manner. Moreover, Ser(754) phosphorylation inhibits cytosolic DNA-induced STAT3 transcriptional activity and selectively reduces STAT3 target genes that are up-regulated in response to cytosolic DNA PMID: 28188292
- TBK1 complexes required for the phosphorylation of IRF3 and the production of interferon-beta have been identified. PMID: 28159912
- This review suggested that haploinsufficiency of TBK1 is causative for ALS and FTD regardless of the type of mutation. PMID: 27892983
- Report establishes optineurin as a positive regulator TBK1 via a bipartite interaction between these molecules. PMID: 27086836
- TBK1 duplication is found in normal tension and not in high tension open-angle glaucoma patients of Indian origin. PMID: 27350692
- A broader phenotypic range may be associated with TBK1 copy-number variations, although mutations in this gene are most often detected in patients with normal-tension glaucoma. PMID: 27881886
- Autoubiquitination of TRIM26 links TBK1 to NEMO in RLR-mediated innate antiviral immune response PMID: 26611359
- Mutations in the TBK1 gene were identified to cause amyotrophic lateral sclerosis (ALS) PMID: 26804609
- TBK1 should thus also be sequenced, after exclusion of C9orf72 mutation, in patients presenting frontotemporal dementia, particularly in cases secondarily associated with amyotrophic lateral sclerosis PMID: 26476236
- Its frame-shift mutation results in familial amyotrophic lateral sclerosis of Chinese origin. PMID: 26350399
- TBK1 carriers with amyotrophic lateral sclerosis had shorter disease duration than carriers with frontotemporal dementia in a Belgian cohort. PMID: 26674655
- The expression of TBK1 in mammalian cell mitosis is reported, including localization of the protein during division and its binding properties. PMID: 26656453
- Optineurin and TANK-binding kinase 1 (TBK1) are transiently recruited to the polyubiquitinated mitochondria, and the activated TBK1 phosphorylates p62 at S403 PMID: 25972374
- TBK1 loss of function mutations are the third most frequent cause of clinical frontotemporal dementia in a Belgian cohort. PMID: 26581300
- Data suggest OPTN (optineurin) is involved in up-regulation of innate immunity in mitosis; mechanism involves phosphorylation/mitochondrial translocation of TBK1 and phosphorylation/nuclear translocation of CYLD (cylindromatosis protein). PMID: 25923723
- TBK1 has a role in regulating T-cell activation and migration PMID: 25606824
- findings demonstrate a novel regulatory circuit in which STING and TBK1 reciprocally regulate each other to enable efficient antiviral signaling activation, and PPM1A dephosphorylates STING and TBK1 PMID: 25815785
- Data indicate that suppressor of cytokine signaling 3 (SOCS3) knockdown markedly increases the abundance of TANK-binding kinase 1 (TBK1). PMID: 25939384
顯示更多
收起更多
-
相關疾?。?/div>Glaucoma 1, open angle, P (GLC1P); Frontotemporal dementia and/or amyotrophic lateral sclerosis 4 (FTDALS4)亞細胞定位:Cytoplasm.蛋白家族:Protein kinase superfamily, Ser/Thr protein kinase family, I-kappa-B kinase subfamily組織特異性:Ubiquitous with higher expression in testis. Expressed in the ganglion cells, nerve fiber layer and microvasculature of the retina.數據庫鏈接:
Most popular with customers
-
-
YWHAB Recombinant Monoclonal Antibody
Applications: ELISA, WB, IHC, IF, FC
Species Reactivity: Human, Mouse, Rat
-
Phospho-YAP1 (S127) Recombinant Monoclonal Antibody
Applications: ELISA, WB, IHC
Species Reactivity: Human
-
-
-
-
-















