SMURF2
SMURF2,全稱為E3泛素蛋白連接酶SMURF2,是一種參與蛋白質降解的重要因子。它通過泛素化途徑,促進特定蛋白質的降解,從而調節細胞內的蛋白質水平。SMURF2蛋白具有多種別名,包括E3泛素連接酶SMURF2、Smad特異性E3泛素連接酶2、SMAD泛素化調節因子2等。SMURF2蛋白主要作用于Smad蛋白,Smad蛋白是TGF-β信號通路中的關鍵轉錄因子。SMURF2蛋白可以通過泛素化Smad蛋白,使其降解,從而抑制TGF-β信號通路。此外,SMURF2蛋白還參與其他信號通路,如Wnt信號通路和Notch信號通路,這些信號通路與細胞增殖、分化、凋亡等過程密切相關。SMURF2蛋白的異常表達與多種疾病的發生發展有關,包括腫瘤、纖維化、心血管疾病等。目前,針對SMURF2蛋白的藥物研發尚處于起步階段,但已有研究表明,SMURF2蛋白可以作為治療腫瘤和纖維化等疾病的潛在靶點。
熱銷產品
Recombinant Human E3 ubiquitin-protein ligase SMURF2 (SMURF2) (CSB-EP872532HU)
驗證數據
(Tris-Glycine gel) Discontinuous SDS-PAGE (reduced) with 5% enrichment gel and 15% separation gel.
SMURF2 Monoclonal Antibody (CSB-MA172117)
驗證數據
Western blotting analysis using SMURF2 antibody. Total cell lysates (30 μg) from various cell lines were loaded and separated by SDS-PAGE. The blot was incubated with SMURF2 antibody and HRP-conjugated goat anti-mouse secondary antibody respectively.
SMURF2 Antibody (CSB-PA872532EA01HU)
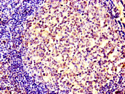
驗證數據
Immunohistochemistry of paraffin-embedded human lung cancer using CSB-PA872532EA01HU at dilution of 1:100
Immunohistochemistry of paraffin-embedded human tonsil tissue using CSB-PA872532EA01HU at dilution of 1:100
SMURF2 Antibodies
SMURF2 for Homo sapiens (Human)
| 產品貨號 | 產品名稱 | 種屬反應性 | 應用類型 |
|---|---|---|---|
| CSB-PA967268 | SMURF2 Antibody | Human,Mouse | ELISA,IHC |
| CSB-PA872532EA01HU | SMURF2 Antibody | Human | ELISA, IHC |
| CSB-PA872532ED01HU | SMURF2 Antibody, Biotin conjugated | Human | ELISA |
| CSB-PA872532EC01HU | SMURF2 Antibody, FITC conjugated | Human | |
| CSB-PA872532EB01HU | SMURF2 Antibody, HRP conjugated | Human | ELISA |
| CSB-MA172117 | SMURF2 Monoclonal Antibody | Human, Mouse, Rat | ELISA, WB |
SMURF2 Proteins
SMURF2 Proteins for Mus musculus (Mouse)
| 產品貨號 | 產品名稱 | 來源 |
|---|---|---|
| CSB-YP021861MO CSB-EP021861MO CSB-BP021861MO CSB-MP021861MO CSB-EP021861MO-B |
Recombinant Mouse E3 ubiquitin-protein ligase SMURF2 (Smurf2) | Yeast E.coli Baculovirus Mammalian cell In Vivo Biotinylation in E.coli |
SMURF2 Proteins for Danio rerio (Zebrafish) (Brachydanio rerio)
| 產品貨號 | 產品名稱 | 來源 |
|---|---|---|
| CSB-YP021861DIL CSB-EP021861DIL CSB-BP021861DIL CSB-MP021861DIL CSB-EP021861DIL-B |
Recombinant Danio rerio E3 ubiquitin-protein ligase SMURF2 (smurf2), partial | Yeast E.coli Baculovirus Mammalian cell In Vivo Biotinylation in E.coli |
SMURF2 Proteins for Xenopus laevis (African clawed frog)
| 產品貨號 | 產品名稱 | 來源 |
|---|---|---|
| CSB-YP647195XBE CSB-EP647195XBE CSB-BP647195XBE CSB-MP647195XBE CSB-EP647195XBE-B |
Recombinant Xenopus laevis E3 ubiquitin-protein ligase SMURF2 (smurf2), partial | Yeast E.coli Baculovirus Mammalian cell In Vivo Biotinylation in E.coli |
SMURF2 Proteins for Homo sapiens (Human)
| 產品貨號 | 產品名稱 | 來源 |
|---|---|---|
| CSB-YP872532HU | Recombinant Human E3 ubiquitin-protein ligase SMURF2 (SMURF2) | Yeast |
| CSB-EP872532HU | Recombinant Human E3 ubiquitin-protein ligase SMURF2 (SMURF2) | E.coli |
| CSB-BP872532HU CSB-MP872532HU CSB-EP872532HU-B |
Recombinant Human E3 ubiquitin-protein ligase SMURF2 (SMURF2) | Baculovirus Mammalian cell In Vivo Biotinylation in E.coli |
| CSB-EP872532HUa0 | Recombinant Human E3 ubiquitin-protein ligase SMURF2 (SMURF2) | E.coli |






