SMURF2 Antibody
-
中文名稱:SMURF2兔多克隆抗體
-
貨號:CSB-PA967268
-
規格:¥1100
-
圖片:
-
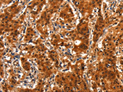
The image on the left is immunohistochemistry of paraffin-embedded Human gastic cancer tissue using CSB-PA967268(SMURF2 Antibody) at dilution 1/15, on the right is treated with synthetic peptide. (Original magnification: ×200)
-
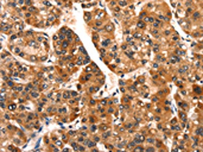
The image on the left is immunohistochemistry of paraffin-embedded Human liver cancer tissue using CSB-PA967268(SMURF2 Antibody) at dilution 1/15, on the right is treated with synthetic peptide. (Original magnification: ×200)
-
-
其他:
產品詳情
-
Uniprot No.:
-
基因名:
-
別名:E3 ubiquitin-protein ligase SMURF2 antibody; EC 6.3.2. antibody; hSMURF2 antibody; MGC138150 antibody; Smad specific E3 ubiquitin ligase 2 antibody; SMAD specific E3 ubiquitin protein ligase 2 antibody; SMAD ubiquitination regulatory factor 2 antibody; SMAD-specific E3 ubiquitin-protein ligase 2 antibody; SMUF2_HUMAN antibody; Smurf2 antibody; Ubiquitin protein ligase SMURF2 antibody
-
宿主:Rabbit
-
反應種屬:Human,Mouse
-
免疫原:Synthetic peptide of Human SMURF2
-
免疫原種屬:Homo sapiens (Human)
-
標記方式:Non-conjugated
-
抗體亞型:IgG
-
純化方式:Antigen affinity purification
-
濃度:It differs from different batches. Please contact us to confirm it.
-
保存緩沖液:-20°C, pH7.4 PBS, 0.05% NaN3, 40% Glycerol
-
產品提供形式:Liquid
-
應用范圍:ELISA,IHC
-
推薦稀釋比:
Application Recommended Dilution ELISA 1:1000-1:2000 IHC 1:25-1:100 -
Protocols:
-
儲存條件:Upon receipt, store at -20°C or -80°C. Avoid repeated freeze.
-
貨期:Basically, we can dispatch the products out in 1-3 working days after receiving your orders. Delivery time maybe differs from different purchasing way or location, please kindly consult your local distributors for specific delivery time.
-
用途:For Research Use Only. Not for use in diagnostic or therapeutic procedures.
相關產品
靶點詳情
-
功能:E3 ubiquitin-protein ligase which accepts ubiquitin from an E2 ubiquitin-conjugating enzyme in the form of a thioester and then directly transfers the ubiquitin to targeted substrates. Interacts with SMAD7 to trigger SMAD7-mediated transforming growth factor beta/TGF-beta receptor ubiquitin-dependent degradation, thereby downregulating TGF-beta signaling. In addition, interaction with SMAD7 activates autocatalytic degradation, which is prevented by interaction with AIMP1. Also forms a stable complex with TGF-beta receptor-mediated phosphorylated SMAD1, SMAD2 and SMAD3, and targets SMAD1 and SMAD2 for ubiquitination and proteasome-mediated degradation. SMAD2 may recruit substrates, such as SNON, for ubiquitin-dependent degradation. Negatively regulates TGFB1-induced epithelial-mesenchymal transition and myofibroblast differentiation.; (Microbial infection) In case of filoviruses Ebola/EBOV and Marburg/MARV infection, the complex formed by viral matrix protein VP40 and SMURF2 facilitates virus budding.
-
基因功能參考文獻:
- High SMURF2 expression is associated with breast cancer progression. PMID: 29534682
- Smurf2, an E3 ubiquitin ligase, interacts with PDE4B and attenuates liver fibrosis through miR-132 mediated CTGF inhibition. PMID: 29100790
- Low SMURF2 expression is associated with breast cancer organoid invasiveness. PMID: 28423498
- Results identified Smurf2 as an essential regulator of Topo IIalpha, providing novel insights into its control and into the suggested tumor-suppressor functions of Smurf2. PMID: 28611047
- found that phospho-AIMP2 dissociated from the multi-tRNA synthetase complex and translocated to the nucleus, where it bound to Smurf2 PMID: 27197155
- Ectopic expression of human Smurf2 driven by the Col2a1 promoter accelerated disc degeneration in Col2a1-Smurf2 transgenic mice, and that higher levels of connective tissue growth factor protein and mRNA were present in Col2a1-Smurf2 transgenic discs, indicate that Smurf2 accelerates disc degeneration via upregulation of connective tissue growth factor. PMID: 28387615
- data suggest for the first time that the choice of binding partners for SMURF2 can sustain or repress TGFbeta signaling, and RNF11 may promote TGFbeta-induced cell migration. PMID: 28292929
- Neddylation of Smurf1 activates its ubiquitin ligase activity and Smurf2 exerts Nedd8 ligase activity. This study provided new clues of Smurf2 activation regulation. PMID: 27086113
- The Smurf2 acts in a sumoylation-regulated manner to suppress TGFbeta-induced Epithelial-mesenchymal transition. PMID: 26679521
- the findings of this study demonstrate that the downregulation of SnoN expression in hRPTECs under high-glucose conditions is mediated by the increased expression of Smurf2 through the TGF-b1/Smad signaling pathway. PMID: 26743567
- SMURF2 is a critical target of USP15 in the TGF-beta signaling pathway. PMID: 26435193
- Data show that miR15b mediates SMURF2 expression in pancreatic cancer and suggest miR15b as an oncogene by promoting epithelial-mesenchymal transition and SMURF2 as a tumor suppressor gene which expression is inhibited by miR15b in pancreatic cancer. PMID: 26166038
- Methylation by PRMT1 may regulate Smurf2 stability and control TGF-beta signaling. PMID: 26126536
- Studies on Smurf2 and Nedd4 show that the C2 domain has the potential to regulate E3 activity by maintaining the HECT domain in a low-activity state where its ability for transthiolation and noncovalent Ubiquitin binding are impaired. PMID: 25438670
- miR-424 regulates the myofibroblast differentiation during epithelial-to-mesenchymal transition by potentiating the TGF-beta signaling pathway, likely through Smurf2. PMID: 25524739
- The SMURF2:UBCH5 complex is critical in maintaining KRAS protein stability. PMID: 24709419
- These results suggest a novel regulatory mechanism for YY1 function by Smurf2. PMID: 24803334
- Provide evidence of posttranscriptional downregulation of Smurf2 in triple-negative breast cancers, and demonstrate that the loss of RB function is involved in microRNA-mediated interference with Smurf2 translation. PMID: 24485087
- Smurf2 mediates ubiquitination and degradation of YY1, a key germinal centre transcription factor. PMID: 24121673
- This study showed that, by targeting SMURF2, NS3-4A appears to block the negative regulation of TGF-beta signaling, increasing the responsiveness of cells to TGF-beta. PMID: 23781096
- Smurf2-mediated degradation of EZH2 enhances neuron differentiation and improves functional recovery after ischaemic stroke. PMID: 23526793
- Depleting SMURF2 reduced MITF expression and substantially lowered the threshold for MEK inhibitor-induced apoptosis, and sensitized melanoma cells to the cytotoxic effects of selumetinib. PMID: 23250956
- Smurf2 interacts with Smad7 to suppress TGF-beta-mediated liver fibrosis through the ubiquitin-dependent degradation of TbetaRI during the early period of liver fibrosis. PMID: 22624557
- TGFbeta induces expression of Smad7, Smurf2, and SIK1, the products of which physically and functionally interlink to control the activity of this pathway. PMID: 22378783
- tumor suppression function that maintains genomic stability by control of the epigenetic landscape of histone modifications through RNF20 PMID: 22231558
- mediates degradation of ubiquitinated HSP27 through the ubiquitin-proteasome pathway PMID: 21967197
- SMURF2 is a novel E3 ubiquitin ligase for KLF5 and negatively regulates KLF5 by targeting it for proteasomal degradation. PMID: 21953463
- RLIM directly binds to Smurf2, enhancing TGF-beta responsiveness in osteosarcoma U2OS cells. PMID: 21945933
- SMURF2-mediated protective ubiquitination of EGFR may be responsible for EGFR overexpression in certain tumors. PMID: 21750651
- These findings suggest that Smurf2 plays a significant role in the pathomechanism of progressive supranuclear palsy PMID: 20819168
- Inhibition of Smad signaling may be achieved at the transcriptional level through c-Ski/receptor-Smad/co-mediator Smad4 interactions--REVIEW PMID: 19898560
- Smurf2 recruits the Rb and p53 pathways for induction of cellular replicative senescence. PMID: 15574587
- SMURF2 ubiquitin ligase is transcriptionally induced by TGFbeta. PMID: 15862290
- A 2.1 A resolution X-ray crystal structure of the Smurf2 HECT domain reveals that it has a suboptimal E2 binding pocket that could be optimized by mutagenesis. PMID: 16061177
- analysis of the WW domain recognition motif for the interaction of Smad7 and the E3 ubiquitin ligase Smurf2 PMID: 16641086
- Autoinhibition of the HECT-type ubiquitin ligase SMURF2 through its C2 domain. PMID: 17719543
- Ectopic expression of Smurf2 driven by the Col2a1 promoter accelerated the process of endochondral ossification including chondrocyte maturation and osteoblast differentiation through upregulation of beta-catenin PMID: 18052755
- Smurf2 action may be a useful strategy for inhibition of cancer cell growth. PMID: 18181147
- dysregulation of Smurf2 could contribute to an aberrant TGF-beta/Smad signaling in the pathogenesis of kidney fibrosis PMID: 18353873
- A significant elevation in expression of SMURF2 in oral squamous cell carcinoma cells was seen in carbon and neon-irradiated cells. PMID: 18514338
- These results suggest an important role for Smurf2 binding to TRAF2 in determining specific signalling outputs of TNF-R2. PMID: 18671942
- Smurf2 is up-regulated during Osteoarthritis in humans PMID: 18821706
- Inhibition of PI3K or mTOR reduced the level of Rap1B, which acts downstream of Rheb and mTOR. The ubiquitin E3 ligase Smurf2 mediates the restriction of Rap1B by initiating its degradation. PMID: 18842593
- Smurf2 regulates the localization and stability of Mad2. PMID: 18852296
- Pin1 negatively regulates TGF-beta signaling by down-regulating Smad2/3 protein levels via induction of Smurf2-mediated ubiquitin-proteasomal degradation. PMID: 19122240
- Results establish an important role for Smurf2 in breast cancer progression and indicate that Smurf2 is a novel regulator of breast cancer cell migration and invasion. PMID: 19155312
- Smurf2 promotes trophoblast cell migration and invasion, and this function may involve downregulation of TGF-beta type I receptor. PMID: 19255252
- Smurf2-mediated upregulation of beta-catenin through induction of proteasomal degradation of GSK-beta in chondrocytes may activate articular chondrocyte maturation and associated alteration of gene expression, the early events of osteoarthritis. PMID: 19481076
- Data show that REDD1 is subject to ubiquitin-mediated degradation mediated by the CUL4A-DDB1-ROC1-beta-TRCP E3 ligase complex and through the activity of glycogen synthase kinase 3beta. PMID: 19557001
- E3 ubiquitin-protein ligase constitutive photomorphogenesis protein 1 is needed for COP1 for degradation via the ubiquitin-proteasome pathway. PMID: 19805145
顯示更多
收起更多
-
亞細胞定位:Nucleus. Cytoplasm. Cell membrane. Membrane raft. Note=Cytoplasmic in the presence of SMAD7. Colocalizes with CAV1, SMAD7 and TGF-beta receptor in membrane rafts.
-
組織特異性:Widely expressed.
-
數據庫鏈接:
Most popular with customers
-
YWHAB Recombinant Monoclonal Antibody
Applications: ELISA, WB, IHC, IF, FC
Species Reactivity: Human, Mouse, Rat
-
Phospho-YAP1 (S127) Recombinant Monoclonal Antibody
Applications: ELISA, WB, IHC
Species Reactivity: Human
-
-
-
-
-
-















