SLC34A2
SLC34A2,即溶質載體家族34成員A2,別名鈉-磷共運輸蛋白2”(NaPi2)/腎磷酸鹽重吸收蛋白等。SLC34A2是一種在細胞膜上表達的跨膜蛋白,屬于SLC34家族成員,主要在腎臟、小腸和某些腫瘤細胞中發揮作用。其作用機制涉及鈉依賴性磷酸鹽轉運,通過與鈉離子的協同運輸,促進磷酸鹽從尿液或腸腔重吸收到血液中。SLC34A2的活性受多種因素調節,包括pH值、細胞外磷酸鹽和鈉離子濃度等,這種調節作用對維持體內磷酸鹽平衡至關重要。SLC34A2在生物學上的意義主要體現在其對磷酸鹽穩態的調控上。它參與了體內磷酸鹽的吸收和重吸收過程,對骨骼健康、細胞信號傳導、能量代謝等具有重要影響。SLC34A2的功能異常與低磷血癥、佝僂病、骨軟化癥等磷酸鹽代謝紊亂疾病有關。此外,SLC34A2在腫瘤微環境中的表達可能與腫瘤的侵襲性和轉移能力有關,因此,它也是癌癥研究和治療中的潛在靶點。
熱銷產品
驗證數據
(Tris-Glycine gel) Discontinuous SDS-PAGE (reduced) with 5% enrichment gel and 15% separation gel.
SLC34A2 Antibody (CSB-PA140842)
驗證數據
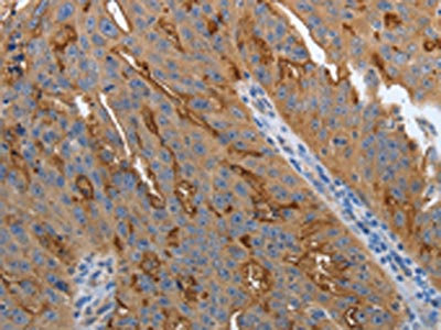
The image on the left is immunohistochemistry of paraffin-embedded Human breast cancer tissue using CSB-PA140842(SLC34A2 Antibody) at dilution 1/70, on the right is treated with synthetic peptide. (Original magnification: ×200)
The image on the left is immunohistochemistry of paraffin-embedded Human ovarian cancer tissue using CSB-PA140842(SLC34A2 Antibody) at dilution 1/70, on the right is treated with synthetic peptide. (Original magnification: ×200)
SLC34A2 Antibodies
SLC34A2 for Homo sapiens (Human)
| 產品貨號 | 產品名稱 | 種屬反應性 | 應用類型 |
|---|---|---|---|
| CSB-PA004755 | SLC34A2 Antibody | Human,Rat | WB, ELISA |
| CSB-PA140842 | SLC34A2 Antibody | Human | ELISA,IHC |
| CSB-PA968633 | SLC34A2 Antibody | Human | ELISA,IHC |
| CSB-PA021581LA01HU | SLC34A2 Antibody | Human | ELISA, IHC |
| CSB-PA021581LB01HU | SLC34A2 Antibody, HRP conjugated | Human | ELISA |
| CSB-PA021581LD01HU | SLC34A2 Antibody, Biotin conjugated | Human | ELISA |
| CSB-RA021581MA2HU | SLC34A2 Recombinant Monoclonal Antibody | Human | ELISA |
SLC34A2 Proteins
SLC34A2 Proteins for Homo sapiens (Human)
| 產品貨號 | 產品名稱 | 來源 |
|---|---|---|
| CSB-YP021581HU | Recombinant Human Sodium-dependent phosphate transport protein 2B (SLC34A2), partial | Yeast |
| CSB-EP021581HU | Recombinant Human Sodium-dependent phosphate transport protein 2B (SLC34A2), partial | E.coli |
| CSB-BP021581HU CSB-MP021581HU CSB-EP021581HU-B |
Recombinant Human Sodium-dependent phosphate transport protein 2B (SLC34A2), partial | Baculovirus Mammalian cell In Vivo Biotinylation in E.coli |
| CSB-EP021581HU2 | Recombinant Human Sodium-dependent phosphate transport protein 2B (SLC34A2), partial | E.coli |
| CSB-MP021581HU1 | Recombinant Human Sodium-dependent phosphate transport protein 2B (SLC34A2), partial (Active) | Mammalian cell |
SLC34A2 Proteins for Bos taurus (Bovine)
| 產品貨號 | 產品名稱 | 來源 |
|---|---|---|
| CSB-YP631682BO CSB-EP631682BO CSB-BP631682BO CSB-MP631682BO CSB-EP631682BO-B |
Recombinant Bovine Sodium-dependent phosphate transport protein 2B (SLC34A2), partial | Yeast E.coli Baculovirus Mammalian cell In Vivo Biotinylation in E.coli |
SLC34A2 Proteins for Pongo abelii (Sumatran orangutan)
| 產品貨號 | 產品名稱 | 來源 |
|---|---|---|
| CSB-YP716226PYX CSB-EP716226PYX CSB-BP716226PYX CSB-MP716226PYX CSB-EP716226PYX-B |
Recombinant Pongo abelii Sodium-dependent phosphate transport protein 2B (SLC34A2), partial | Yeast E.coli Baculovirus Mammalian cell In Vivo Biotinylation in E.coli |
SLC34A2 Proteins for Rattus norvegicus (Rat)
| 產品貨號 | 產品名稱 | 來源 |
|---|---|---|
| CSB-YP872848RA CSB-BP872848RA CSB-MP872848RA CSB-EP872848RA-B |
Recombinant Rat Sodium-dependent phosphate transport protein 2B (Slc34a2), partial | Yeast Baculovirus Mammalian cell In Vivo Biotinylation in E.coli |
SLC34A2 Proteins for Mus musculus (Mouse)
| 產品貨號 | 產品名稱 | 來源 |
|---|---|---|
| CSB-YP887584MO CSB-EP887584MO CSB-BP887584MO CSB-MP887584MO CSB-EP887584MO-B |
Recombinant Mouse Sodium-dependent phosphate transport protein 2B (Slc34a2), partial | Yeast E.coli Baculovirus Mammalian cell In Vivo Biotinylation in E.coli |






