SLC34A2 Antibody
-
中文名稱:SLC34A2兔多克隆抗體
-
貨號:CSB-PA968633
-
規格:¥1100
-
圖片:
-
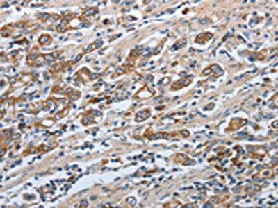
The image on the left is immunohistochemistry of paraffin-embedded Human gastic cancer tissue using CSB-PA968633(SLC34A2 Antibody) at dilution 1/50, on the right is treated with synthetic peptide. (Original magnification: ×200)
-
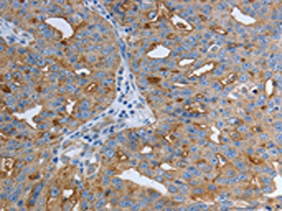
The image on the left is immunohistochemistry of paraffin-embedded Human ovarian cancer tissue using CSB-PA968633(SLC34A2 Antibody) at dilution 1/50, on the right is treated with synthetic peptide. (Original magnification: ×200)
-
-
其他:
產品詳情
-
Uniprot No.:
-
基因名:
-
別名:SLC34A2 antibody; Sodium-dependent phosphate transport protein 2B antibody; Sodium-phosphate transport protein 2B antibody; Na(+)-dependent phosphate cotransporter 2B antibody; NaPi3b antibody; Sodium/phosphate cotransporter 2B antibody; Na(+)/Pi cotransporter 2B antibody; NaPi-2b antibody; Solute carrier family 34 member 2 antibody
-
宿主:Rabbit
-
反應種屬:Human
-
免疫原:Synthetic peptide of Human SLC34A2
-
免疫原種屬:Homo sapiens (Human)
-
標記方式:Non-conjugated
-
抗體亞型:IgG
-
純化方式:Antigen affinity purification
-
濃度:It differs from different batches. Please contact us to confirm it.
-
保存緩沖液:-20°C, pH7.4 PBS, 0.05% NaN3, 40% Glycerol
-
產品提供形式:Liquid
-
應用范圍:ELISA,IHC
-
推薦稀釋比:
Application Recommended Dilution ELISA 1:2000-1:10000 IHC 1:50-1:200 -
Protocols:
-
儲存條件:Upon receipt, store at -20°C or -80°C. Avoid repeated freeze.
-
貨期:Basically, we can dispatch the products out in 1-3 working days after receiving your orders. Delivery time maybe differs from different purchasing way or location, please kindly consult your local distributors for specific delivery time.
-
用途:For Research Use Only. Not for use in diagnostic or therapeutic procedures.
相關產品
靶點詳情
-
功能:May be involved in actively transporting phosphate into cells via Na(+) cotransport. It may be the main phosphate transport protein in the intestinal brush border membrane. May have a role in the synthesis of surfactant in lungs' alveoli.
-
基因功能參考文獻:
- The upstream breakpoint lies in the same region as the breakpoint of a fused gene SLC34A2-ROS1, which encodes a constitutive kinase in the lung cancer cell line HCC78 and nonsmall-cell lung cancer (NSCLC), suggesting that the deletion in this family is a hot spot for recombination, not only in cancer samples with somatic mutation, but also in PAM patients with germline genetic defects of SLC34A2. PMID: 30262706
- SLC34A2 plays a crucial promoting role in colorectal cancer development. PMID: 29653487
- Studied expression of solute carrier family 34 member 2 (SLC34A2/NaPi2b) in epithelial ovarian cancer using monoclonal antibody MX35 and immunohistochemistry. Different staining intensities were observed in different grades of epithelial ovarian cancer. PMID: 28464843
- Low SLC34A2 expression is associated with non-small cell lung cancer. PMID: 26910912
- SLC34A2 has an important role in promoting proliferation and tumorigenicity of BC. PMID: 28151475
- SLC34A2 was down-regulated in osteosarcoma patients.SLC34A2 interacted with PTEN, and decreased the phosphorylation of PI3K and AKT, which inactivated the PI3K/AKT signaling pathway. PMID: 28777670
- High expression of SLC34A2 was identified in about 2/3 patients and correlated with significantly better patient's overall survival. Epidermal growth factor receptor mutations were detected in about 53% of patients with no statistically significant difference to patient's overall survival. Anaplastic lymphoma kinase rearrangement was found in 8 out of 175 patients, harboring this abnormality leads to shorter overall survi PMID: 28720066
- we elucidated that miR-939 exerted its function mainly through inhibiting SLC34A2/Raf/MEK/ERK pathway, which is activated in GC. Multivariate analysis identified miR-939, SLC34A2, and their combination as independent indicators for poor prognosis and tumor recurrence in GC patients. PMID: 28114937
- a novel role of SLC34A2 inbreast cancer stem cells (BCSCs) state regulation and establishes a rationale for targeting the SLC34A2/PI3K/AKT/SOX2 signaling pathway for breast cancer therapy. PMID: 28381172
- Knockdown of SLC34A2 inhibits proliferation. PMID: 28281971
- Our work sheds new light on the nature of the state of lung cancer stem cell-like cells and the role of SLC34A2 in the tumorigenicity of these cells PMID: 26846105
- our data indicated that SLC34A2 could exert significantly suppressive effects on tumorigenesis and progression of NSCLC. SLC34A2 might provide new insights for further understanding the early pathogenesis of human non-small cell lung cancer PMID: 26156586
- SLC34A2 might be associated with the initiation and progression of lung adenocarcinoma PMID: 25017204
- Data indicate that humanized monoclonal antibody Rebmab200 and murine monoclonal antibody MX35 monoclonal antibodies had similar specificity for sodium phosphate transporter NaPi2b. PMID: 23936189
- investigation revealed that the c.910A > T mutation in the SCL34A2 gene was responsible for pulmonary alveolar microlithiasis (PAM) patients in China PMID: 23164546
- identified 2 cases of pulmonary alveolar microlithiasis(PAM) with new mutations of SLC34A2 gene; identified the NaPi-IIb in a aortic valve; hypothesize that mutations in SLC34A2 may play a role in development of aortic valve calcification and arteriosclerosis PMID: 22336687
- a comprehensive analysis indicates that SCL34A2 is the only gene of the several phosphate transporters genes whose expression differentiates normal from carcinoma samples, suggesting it might exert a major role in ovarian carcinomas. PMID: 22553815
- The performed study revealed that SLC34A2 gene exhibited the most distinct change in expression and may become a molecular marker of papillary thyroid cancer PMID: 17091453
- study provides the data on the pattern of NaPi2b expression and cellular localization in breast, lung and ovarian cancers PMID: 21956469
- Upregulation of SLC34A2 gene expression in well-differentiated tumors may reflect cell differentiation processes during ovarian cancerogenesis and could serve as potential marker for ovarian cancer diagnosis and prognosis. PMID: 21716206
- There was a significantly increased gene expression of SLC34A2 (normal tissues: 6.71+/-0.77; tumour tissues: 10.29+/-0.80) among breast cancer tissues compared with normal tissues. PMID: 21036732
- In human lung alveolar epithelial cells, the content of calcium and phosphate in cell supernatant decreased with increased amount of SLC34A2 mRNA. PMID: 19134407
- study describes mutations in SLC34A 2 gene in an inbred Turkish family with three siblings diagnosed with pulmonary alveolar microlithiasis(PAM); findings suggest that impaired activity of the SLC34A2 gene may be responsible for familial PAM PMID: 20046000
- A novel mutation in exon 8 of the SLC34A2 gene were associated with pulmonary alveolar microlithiasis in Chinese pedigree. PMID: 20017296
- The current study was performed to characterize the minimal promoter region and transcriptional factor(s) necessary to activate gene expression of NaPi-IIb in human intestinal cells. PMID: 15458926
- Study identified a pulmonary alveolar microlithiasis locus by homozygosity mapping to 4p15, then identified, by a candidate-gene approach, the gene responsible for the disease as SLC34A2, which is involved in phosphate homeostasis in several organs. PMID: 16960801
- Mutations in the SLC34A2 gene that abolish normal gene function cause pulmonary alveolar microlithiasis. PMID: 17095743
- The monoclonal antibodies were shown to recognize specifically transiently overexpressed and endogenous NaPi2b in commonly used immunoassays. PMID: 18724815
- SLC34A2 is associated with sodium-lithium countertransport activity and blood pressure PMID: 19119262
- The gene responsible for PAM, SLC34A2, has been identified. It encodes a type IIb sodium-dependent phosphate transporter, the function of which provides an insight into the pathogenesis of this disease. PMID: 19617834
顯示更多
收起更多
-
相關疾病:Pulmonary alveolar microlithiasis (PALM)
-
亞細胞定位:Membrane; Multi-pass membrane protein.
-
蛋白家族:SLC34A transporter family
-
組織特異性:Highly expressed in lung. Also detected in pancreas, kidney, small intestine, ovary, testis, prostate and mammary gland. In lung, it is found in alveolar type II cells but not in bronchiolar epithelium.
-
數據庫鏈接:
Most popular with customers
-
-
YWHAB Recombinant Monoclonal Antibody
Applications: ELISA, WB, IHC, IF, FC
Species Reactivity: Human, Mouse, Rat
-
Phospho-YAP1 (S127) Recombinant Monoclonal Antibody
Applications: ELISA, WB, IHC
Species Reactivity: Human
-
-
-
-
-















