PEBP1
PEBP1,全稱為Epididymis secretory protein Li 34,常見別名包括HEL-210、HCNP、PBP等。該蛋白在多種生理和病理過程中發揮重要作用,包括細胞凋亡、細胞增殖、信號轉導等。研究表明,PEBP1蛋白可以與多種細胞因子和生長因子結合,調節細胞內的信號轉導通路,影響細胞的增殖、分化和凋亡。此外,PEBP1蛋白還參與腫瘤的發生發展,其表達水平與多種腫瘤細胞的增殖、侵襲和轉移密切相關。因此,PEBP1蛋白成為腫瘤治療的重要靶點。目前,針對PEBP1蛋白的藥物研發正在積極開展,包括小分子抑制劑、抗體藥物等,有望為腫瘤治療提供新的策略。
熱銷產品
PEBP1 Recombinant Monoclonal Antibody (CSB-RA903387A0HU)
驗證數據
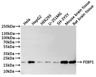
Western Blot
Positive WB detected in: Hela whole cell lysate(30μg), HepG2 whole cell lysate(30μg), HEK293 whole cell lysate(30μg), U-251MG whole cell lysate(30μg), SH-SY5Y whole cell lysate(30μg), Mouse brain tissue lysate(30μg), Rat brain tissue lysate(30μg)
All lanes: PEBP1 antibody at 1:1000
Secondary
Goat polyclonal to rabbit IgG at 1/40000 dilution
Predicted band size: 21 kDa
Observed band size: 21 kDa
Exposure time:1min
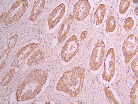
IHC image of CSB-RA903387A0HU diluted at 1:100 and staining in paraffin-embedded human prostate cancer performed on a Leica BondTM system. After dewaxing and hydration, antigen retrieval was mediated by high pressure in a citrate buffer (pH 6.0). Section was blocked with 10% normal goat serum 30min at RT. Then primary antibody (1% BSA) was incubated at 4°C overnight. The primary is detected by a Goat anti-rabbit polymer IgG labeled by HRP and visualized using 0.05% DAB.
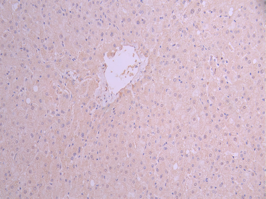
IHC image of CSB-RA903387A0HU diluted at 1:100 and staining in paraffin-embedded human liver tissue performed on a Leica BondTM system. After dewaxing and hydration, antigen retrieval was mediated by high pressure in a citrate buffer (pH 6.0). Section was blocked with 10% normal goat serum 30min at RT. Then primary antibody (1% BSA) was incubated at 4°C overnight. The primary is detected by a Goat anti-rabbit polymer IgG labeled by HRP and visualized using 0.05% DAB.
Immunofluorescence staining of HepG2 cell with CSB-RA903387A0HU at 1:50, counter-stained with DAPI. The cells were fixed in 4% formaldehyde, permeabilized using 0.2% Triton X-100 and blocked in 10% normal Goat Serum. The cells were then incubated with the antibody overnight at 4°C. The secondary antibody was Alexa Fluor 488-congugated AffiniPure Goat Anti-Rabbit IgG(H+L).
Overlay Peak curve showing PC-3 cells stained with CSB-RA903387A0HU (red line) at 1:100. The cells were fixed in 4% formaldehyde and permeated by 0.2% TritonX-100 for 10min. Then 10% normal goat serum to block non-specific protein-protein interactions followed by the antibody (1ug/1*106cells) for 45min at 4℃. The secondary antibody used was FITC-conjugated goat anti-rabbit IgG (H+L) at 1/200 dilution for 35min at 4℃.Control antibody (green line) was Rabbit IgG (1ug/1*106cells) used under the same conditions. Acquisition of >10,000 events was performed.
PEBP1 Antibody (CSB-PA017766HA01HU)
驗證數據
Immunohistochemistry of paraffin-embedded human thyroid tissue using CSB-PA017766HA01HU at dilution of 1:100
Immunofluorescent analysis of HepG2 cells using CSB-PA017766HA01HU at dilution of 1:100 and Alexa Fluor 488-congugated AffiniPure Goat Anti-Rabbit IgG(H+L)
Western Blot
Positive WB detected in: Hela whole cell lysate, A549 whole cell lysate, PC3 whole cell lysate
All lanes: PEBP1 antibody at 1:2000
Secondary
Goat polyclonal to rabbit IgG at 1/50000 dilution
Predicted band size: 22 kDa
Observed band size: 22 kDa
Human Phosphatidylethanolamine-binding protein 1(PEBP1) ELISA kit (CSB-EL017766HU)
驗證數據
貨號:CSB-EL017766HU
規格:96T/48T
靈敏度:0.039 ng/mL
檢測范圍:0.156 ng/mL-10 ng/mL
These standard curves are provided for demonstration only. A standard curve should be generated for each set of samples assayed.
PEBP1 Antibodies
PEBP1 for Homo sapiens (Human)
| 產品貨號 | 產品名稱 | 種屬反應性 | 應用類型 |
|---|---|---|---|
| CSB-PA017766GA01HU | PEBP1 Antibody | Human,Mouse,Rat | ELISA,WB,IHC |
| CSB-PA948956 | PEBP1 Antibody | Human | ELISA,WB |
| CSB-PA004014 | PEBP1 Antibody | Human | WB, ELISA |
| CSB-PA614951 | PEBP1 Antibody | Human,Mouse,Rat | ELISA,WB,IHC |
| CSB-PA955522 | PEBP1 Antibody | Human,Mouse,Rat | ELISA,WB,IHC |
| CSB-PA017766HA01HU | PEBP1 Antibody | Human | ELISA, WB, IHC, IF |
| CSB-PA017766HB01HU | PEBP1 Antibody, HRP conjugated | Human | ELISA |
| CSB-PA017766HC01HU | PEBP1 Antibody, FITC conjugated | Human | |
| CSB-PA017766HD01HU | PEBP1 Antibody, Biotin conjugated | Human | ELISA |
| CSB-RA903387A0HU | PEBP1 Recombinant Monoclonal Antibody | Human, Mouse, Rat | ELISA, WB, IHC, IF, FC |
| CSB-RA908024A0HU | PEBP1 Recombinant Monoclonal Antibody | Human, Mouse, Rat | ELISA, WB |
PEBP1 Proteins
PEBP1 Proteins for Homo sapiens (Human)
| 產品貨號 | 產品名稱 | 來源 |
|---|---|---|
| CSB-YP017766HU CSB-EP017766HU CSB-BP017766HU CSB-MP017766HU CSB-EP017766HU-B |
Recombinant Human Phosphatidylethanolamine-binding protein 1 (PEBP1) | Yeast E.coli Baculovirus Mammalian cell In Vivo Biotinylation in E.coli |
PEBP1 ELISA Kit
PEBP1 ELISA Kit for Homo sapiens (Human)
| 產品貨號 | 產品名稱 | 樣本類型 | 靈敏度 |
|---|---|---|---|
| CSB-EL017766HU | Human Phosphatidylethanolamine-binding protein 1(PEBP1) ELISA kit | serum, plasma, cell lysates | 0.039 ng/mL |






