PEBP1 Antibody
-
中文名稱:PEBP1兔多克隆抗體
-
貨號:CSB-PA614951
-
規格:¥1100
-
圖片:
-
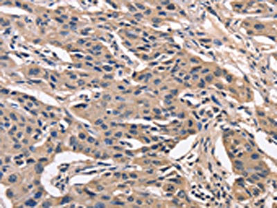
The image on the left is immunohistochemistry of paraffin-embedded Human colon cancer tissue using CSB-PA614951(PEBP1 Antibody) at dilution 1/40, on the right is treated with fusion protein. (Original magnification: ×200)
-
The image on the left is immunohistochemistry of paraffin-embedded Human lung cancer tissue using CSB-PA614951(PEBP1 Antibody) at dilution 1/40, on the right is treated with fusion protein. (Original magnification: ×200)
-
Gel: 8%SDS-PAGE, Lysate: 40 μg, Lane 1-4: A549 cells, K562 cells, hela cells, hepG2 cells, Primary antibody: CSB-PA614951(PEBP1 Antibody) at dilution 1/400, Secondary antibody: Goat anti rabbit IgG at 1/8000 dilution, Exposure time: 40 seconds
-
-
其他:
產品詳情
-
Uniprot No.:
-
基因名:
-
別名:Epididymis luminal protein 210 antibody; Epididymis secretory protein Li 34 antibody; Epididymis secretory protein Li 96 antibody; HCNP antibody; HCNPpp antibody; HEL 210 antibody; HEL S 34 antibody; HEL S 96 antibody; Hippocampal cholinergic neurostimulating peptide antibody; Neuropolypeptide h3 antibody; PBP antibody; PEBP antibody; PEBP 1 antibody; PEBP-1 antibody; Pebp1 antibody; PEBP1_HUMAN antibody; Phosphatidylethanolamine binding protein antibody; Phosphatidylethanolamine binding protein 1 antibody; Prostatic binding protein antibody; Prostatic-binding protein antibody; R kip antibody; Raf kinase inhibitor protein antibody; Raf kinase inhibitory protein antibody; RKIP antibody
-
宿主:Rabbit
-
反應種屬:Human,Mouse,Rat
-
免疫原:Fusion protein of Human PEBP1
-
免疫原種屬:Homo sapiens (Human)
-
標記方式:Non-conjugated
-
抗體亞型:IgG
-
純化方式:Antigen affinity purification
-
濃度:It differs from different batches. Please contact us to confirm it.
-
保存緩沖液:-20°C, pH7.4 PBS, 0.05% NaN3, 40% Glycerol
-
產品提供形式:Liquid
-
應用范圍:ELISA,WB,IHC
-
推薦稀釋比:
Application Recommended Dilution ELISA 1:1000-1:5000 WB 1:500-1:2000 IHC 1:50-1:200 -
Protocols:
-
儲存條件:Upon receipt, store at -20°C or -80°C. Avoid repeated freeze.
-
貨期:Basically, we can dispatch the products out in 1-3 working days after receiving your orders. Delivery time maybe differs from different purchasing way or location, please kindly consult your local distributors for specific delivery time.
-
用途:For Research Use Only. Not for use in diagnostic or therapeutic procedures.
相關產品
靶點詳情
-
功能:Binds ATP, opioids and phosphatidylethanolamine. Has lower affinity for phosphatidylinositol and phosphatidylcholine. Serine protease inhibitor which inhibits thrombin, neuropsin and chymotrypsin but not trypsin, tissue type plasminogen activator and elastase. Inhibits the kinase activity of RAF1 by inhibiting its activation and by dissociating the RAF1/MEK complex and acting as a competitive inhibitor of MEK phosphorylation.; HCNP may be involved in the function of the presynaptic cholinergic neurons of the central nervous system. HCNP increases the production of choline acetyltransferase but not acetylcholinesterase. Seems to be mediated by a specific receptor.
-
基因功能參考文獻:
- Low RKIP Expression is associated with asthma. PMID: 30282734
- our studies demonstrate how KRAS inhibits the tumor suppressor RKIP, thus offering novel justification for targeting RKIP as a strategy to overcome KRAS-induced tumor metastasis and chemoresistance in PDAC. PMID: 29315556
- RKIP expression in gastrointestinal stromal tumors is associated with tumor size, NIH risk grade, and mucosal invasion, and low or no expression of RKIP predicts a high malignancy potential. PMID: 29930472
- Octreotide may weaken invasion and metastasis through the upregulation of PEBP1. Octreotide may reduce the risk of recurrence and metastasis after surgery for liver cancer. PMID: 29990987
- Knockdown of RKIP increased phosphorylated ERK and thus suppressed sorafenib-mediated cell death. PMID: 29858683
- Baseline urinary RKIP, evaluated in an independent cohort of 56 Clear cell Renal Cell Carcinoma patients and 28 healthy subjects, successfully distinguished both groups and, most importantly, a cut-off value of 10 ng/mg/g Pr/uCr enabled a highly accurate prediction of Cancer-specific survival and Progression-free survival. PMID: 28418894
- we found that the RKIP expression was decreased significantly in HBV infected tumor tissues compared to normal adjacent tissues, suggesting the reduction or absence of RKIP expression was closely related to liver carcinogenesis. PMID: 27902472
- downregulation of RKIP plays an important role in the breast neoplastic progression and correlates with poor prognosis in patients with breast carcinoma (BC). Aberrant RKIP methylation is one of the mechanisms that lead to downregulation of RKIP in BC. PMID: 26894644
- can act as a negative mediator in autophagy through stimulation of the AKT-MTORC1 pathway and direct interaction with LC3. PMID: 27540684
- PEBP1, a scaffold protein inhibitor of protein kinase cascades, complexes with two 15LO isoforms, 15LO1 and 15LO2, and changes their substrate competence to generate hydroperoxy-phosphatidylethanolamines (PE). Inadequate reduction of hydroperoxy-PE due to insufficiency or dysfunction of a selenoperoxidase, GPX4, leads to ferroptosis. PMID: 29053969
- miR-23a as a negative regulator of RKIP expression in AML. PMID: 27197200
- Knockdown of RKIP promotes LX-2 cell proliferation. PMID: 28031115
- RKIP contributes to colitis development by promoting inflammation and mediating intestinal epithelial cell apoptosis. PMID: 26801887
- The study demonstrates that miR-543 promotes the proliferation and metastasis of prostate cancer via targeting RKIP. PMID: 28245474
- RKIP inhibitors locostatin reduces extracellular matrix production as well as the migration and proliferation of myometrial and leiomyoma cells. PMID: 27565262
- RKIP has a role in suppressing proliferation and metastasis of breast cancer cell lines through up-regulation of miR-185 targeting HMGA2 PMID: 27651238
- positive p-Ser153 RKIP expression is a favorable prognostic factor and affects clinical response to radiotherapy in nasopharyngeal carcinoma PMID: 27647315
- Expression of RKIP is closely correlated with the survival of pancreatic cancer patients. RKIP can inhibit pancreatic adenocarcinoma cells proliferation, activities of migration and invasion, through downregulating Raf-1-MEK1/2-ERK1/2 signaling pathway. PMID: 27444299
- RKIP expression is negatively associated with tumor metastasis in gastric cancer. PMID: 25764514
- Authors demonstrate that the inhibition of the CCL5 expression is the cause of the observed effects resulting from RKIP expression. Results underscore the significance of RKIP as important negative regulator of tumor microenvironment. PMID: 26375811
- report of the expression profile of RKIP in a heterogeneous group of soft tissue sarcomas; findings showed that only a small subset of cases exhibited RKIP loss, yet its loss is an independent biomarker of prognosis PMID: 26859895
- RKIP inhibits glioma cell migration and invasivess by inhibiting MMP2/MMP9/HMAG2 expression. PMID: 26823735
- Loss of RKIP is associated with neoplasms. PMID: 26716415
- Downregulation or depletion of RKIP was related to the onset and progression of esophageal squamous cell carcinoma, and facilitated the invasion and metastasis of ESCC by downregulating E-cadherin and upregulating NF-kB p65. PMID: 26617724
- Identify intestinal RKIP as capable of hydrolyzing prasugrel to its thiolactone metabolite. PMID: 26558823
- Study indicates that reduced RKIP expression is correlated with metastasis and recurrence of disease in stage II colorectal cancer (CRC) suggesting it as an important metastasis-suppressor gene in CRC. PMID: 26238523
- RKIP Inhibits Local Breast Cancer Invasion by Antagonizing the Transcriptional Activation of MMP13 PMID: 26308852
- Results suggest that up-regulation of miR-27a could suppress RKIP expression and in turn contribute to chemoresistance of lung adenocarcinoma cells to cisplatin. PMID: 25128483
- Raf kinase inhibitor protein mediated signaling inhibits invasion and metastasis of hepatocellular carcinoma. PMID: 26116914
- RKIP is a metastatic suppressor and predictor for metastasis and prognosis in nasopharyngeal carcinoma, and RKIP downregulation promotes nasopharyngeal carcinoma invasion, metastasis and epithelial to mesenchymal transition by activating Stat3 signaling PMID: 25915430
- The upregulated expression of RKIP in colorectal cancer cells inhibited cell invasion and metastasis, while downregulation of RKIP reduced chemosensitivity by inhibiting apoptosis induced by HCPT. PMID: 26177829
- This study showed that elevated amygdala HCNP-pp expression may contribute to mechanisms of major depression in women. PMID: 25819500
- RKIP is upregulated in heart failure. PMID: 26479924
- In triple negative breast cancer, RKIP regulates tumor-associated macrophage recruitment by blocking HMGA2, resulting in reduced expression of numerous macrophage chemotactic factors, including CCL5. PMID: 26238785
- downregulation of RKIP occurs frequently... suggesting RKIP being a critical tumor suppressor for clear cell renal cell carcinomas PMID: 25277181
- Loss of RKIP expression was associated with unfavorable OS. PMID: 25171481
- Data suggest that RKIP inhibits gastric cancer metastasis via the downregulation of its downstream target genes STAT3 and cyclin D1. PMID: 25337233
- functional RKIP rs17512051 polymorphism may affect ccRCC susceptibility PMID: 25329396
- Raf kinase inhibitor protein expression is a suitable and easily determinable marker in the primary tumour that could predict the risk of uveal melanoma to metastasize PMID: 24763848
- Authors demonstrate that the N-terminus of human Raf1 kinase (hRaf11-147aa) binds with human RKIP (hRKIP) at its ligand-binding pocket, loop "127-149", and the C-terminal helix by nuclear magnetic resonance experiments. PMID: 24863296
- RKIP inhibits gastric cancer cell survival and invasion by regulating the expression of HMGA2 and OPN. PMID: 25172097
- Fine control of RKIP activity and regulation is crucial to avoid pathological processes, such as metastasis,pulmonary arterial hypertension, and heart failure.[review] PMID: 25597351
- Genetic an epigenetic control of RKIP transcription and review of known mechanisms employed by different types of chemotherapeutic agents to activate RKIP expression in cancer cells.[review] PMID: 25597352
- This brief review describes the role of RKIP in the regulation of drug sensitivity via disruption of the NF-kappaB/Snail/ YY1/RKIP loop that regulates resistance in cancer cells. [review] PMID: 25597353
- Here, we review RKIP's role as a metastasis suppressor and the signaling networks and genes regulated by RKIP in metastatic, triple-negative breast cancer. [review] PMID: 25597354
- RKIP loss is a frequent occurrence in many solid tumor cancers and may serve as a viable prognostic biomarker. [review] PMID: 25597355
- Here, we present a three-state model to explain the RKIP functional switch and discuss the role of the pocket loop in regulating RKIP activity. [review] PMID: 25597357
- RKIP synergizes with microtubule inhibitors to induce apoptosis and inhibit STAT3 activation of breast and prostate cancer cells. RKIP plays a critical role in opposing the effects of pro-oncogenic STAT3 activation. PMID: 24658061
- overexpression of RKIP could decrease the proliferation and increase the apoptosis of K562 cells. PMID: 25015191
- down-regulation of RKIP expression was observed in human gastric cell lines, and miR-224 could negatively regulate the expression and biological characteristics of RKIP, contributing to suppress the proliferation and invasion of gastric cells. PMID: 25017365
顯示更多
收起更多
-
亞細胞定位:Cytoplasm.
-
蛋白家族:Phosphatidylethanolamine-binding protein family
-
數據庫鏈接:
Most popular with customers
-
-
YWHAB Recombinant Monoclonal Antibody
Applications: ELISA, WB, IHC, IF, FC
Species Reactivity: Human, Mouse, Rat
-
Phospho-YAP1 (S127) Recombinant Monoclonal Antibody
Applications: ELISA, WB, IHC
Species Reactivity: Human
-
-
-
-
-















