OTX2
OTX2,全稱為Orthodenticle homeobox 2,是同源盒蛋白家族中的關鍵成員。它在人體早期發育階段扮演重要角色,尤其對大腦與眼部器官的正常形成至關重要——視網膜的發育和成熟離不開它的參與,它能維持視網膜細胞的活性,保障視覺功能的穩定運作。若OTX2表達水平出現異常,可能引發多種健康問題:眼部方面易導致視網膜色素變性等退行性視力障礙,神經系統層面或與某些發育性疾病相關。
目前針對OTX2的研究多聚焦于眼部疾病治療,科研人員正探索通過基因調控手段恢復其正常表達,或開發小分子藥物改善因它異常引發的細胞功能紊亂,部分早期試驗已初見成效,為相關患者的治療帶來了新的方向。
熱銷產品
Recombinant Human Homeobox protein OTX2 (OTX2) (CSB-EP017299HU)
驗證數據
(Tris-Glycine gel) Discontinuous SDS-PAGE (reduced) with 5% enrichment gel and 15% separation gel.
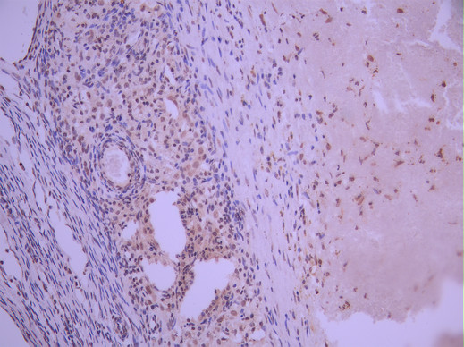
OTX1/OTX2 Recombinant Monoclonal Antibody (CSB-RA209742A0HU)
驗證數據
IHC image of CSB-RA209742A0HU diluted at 1:100 and staining in paraffin-embedded human ovarian cancer performed on a Leica BondTM system. After dewaxing and hydration, antigen retrieval was mediated by high pressure in a citrate buffer (pH 6.0). Section was blocked with 10% normal goat serum 30min at RT. Then primary antibody (1% BSA) was incubated at 4°C overnight. The primary is detected by a Goat anti-rabbit polymer IgG labeled by HRP and visualized using 0.05% DAB.
Immunofluorescence staining of Hela cell with CSB-RA209742A0HU at 1:50 , counter-stained with DAPI. The cells were fixed in 4% formaldehyde, permeabilized using 0.2% Triton X-100 and blocked in 10% normal Goat Serum. The cells were then incubated with the antibody overnight at 4°C. The secondary antibody was Alexa Fluor 488-congugated AffiniPure Goat Anti-Rabbit IgG(H+L).
OTX2 Antibodies
OTX2 for Homo sapiens (Human)
| 產品貨號 | 產品名稱 | 種屬反應性 | 應用類型 |
|---|---|---|---|
| CSB-PA017299GA01HU | OTX2 Antibody | Human,Mouse,Rat | ELISA,WB,IHC |
| CSB-PA017299LA01HU | OTX2 Antibody | Human, Mouse | ELISA, WB, IHC |
| CSB-PA017299LB01HU | OTX2 Antibody, HRP conjugated | Human | ELISA |
| CSB-PA017299LC01HU | OTX2 Antibody, FITC conjugated | Human | |
| CSB-PA017299LD01HU | OTX2 Antibody, Biotin conjugated | Human | ELISA |
| CSB-PA017299ESR1HU | OTX2 Antibody | Human | ELISA, IHC |
OTX2 Proteins
OTX2 Proteins for Mus musculus (Mouse)
| 產品貨號 | 產品名稱 | 來源 |
|---|---|---|
| CSB-YP017299MO CSB-BP017299MO CSB-MP017299MO CSB-EP017299MO-B |
Recombinant Mouse Homeobox protein OTX2 (Otx2) | Yeast Baculovirus Mammalian cell In Vivo Biotinylation in E.coli |
| CSB-EP017299MO | Recombinant Mouse Homeobox protein OTX2 (Otx2) | E.coli |
OTX2 Proteins for Homo sapiens (Human)
| 產品貨號 | 產品名稱 | 來源 |
|---|---|---|
| CSB-YP017299HU CSB-BP017299HU CSB-MP017299HU CSB-EP017299HU-B |
Recombinant Human Homeobox protein OTX2 (OTX2) | Yeast Baculovirus Mammalian cell In Vivo Biotinylation in E.coli |
| CSB-EP017299HU | Recombinant Human Homeobox protein OTX2 (OTX2) | E.coli |
OTX2 Proteins for Xenopus tropicalis (Western clawed frog) (Silurana tropicalis)
| 產品貨號 | 產品名稱 | 來源 |
|---|---|---|
| CSB-YP630728XBF CSB-EP630728XBF CSB-BP630728XBF CSB-MP630728XBF CSB-EP630728XBF-B |
Recombinant Xenopus tropicalis Homeobox protein OTX2 (otx2) | Yeast E.coli Baculovirus Mammalian cell In Vivo Biotinylation in E.coli |
OTX2 Proteins for Rattus norvegicus (Rat)
| 產品貨號 | 產品名稱 | 來源 |
|---|---|---|
| CSB-YP737344RA CSB-EP737344RA CSB-BP737344RA CSB-MP737344RA CSB-EP737344RA-B |
Recombinant Rat Homeobox protein OTX2 (Otx2) | Yeast E.coli Baculovirus Mammalian cell In Vivo Biotinylation in E.coli |
OTX2 Proteins for Danio rerio (Zebrafish) (Brachydanio rerio)
| 產品貨號 | 產品名稱 | 來源 |
|---|---|---|
| CSB-YP835528DIL CSB-EP835528DIL CSB-BP835528DIL CSB-MP835528DIL CSB-EP835528DIL-B |
Recombinant Danio rerio Homeobox protein OTX2 (otx2) | Yeast E.coli Baculovirus Mammalian cell In Vivo Biotinylation in E.coli |






