OTX2 Antibody
-
中文名稱:OTX2兔多克隆抗體
-
貨號:CSB-PA017299LA01HU
-
規格:¥440
-
圖片:
-
Western blot
All lanes: OTX2 antibody at 4µg/ml
Lane 1: Jurkat whole cell lysate
Lane 2: Hela whole cell lysate
Lane 3: Mouse lung tissue
Secondary
Goat polyclonal to rabbit IgG at 1/10000 dilution
Predicted band size: 32, 33 kDa
Observed band size: 32 kDa -
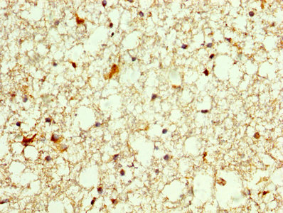
IHC image of CSB-PA017299LA01HU diluted at 1:250 and staining in paraffin-embedded human brain tissue performed on a Leica BondTM system. After dewaxing and hydration, antigen retrieval was mediated by high pressure in a citrate buffer (pH 6.0). Section was blocked with 10% normal goat serum 30min at RT. Then primary antibody (1% BSA) was incubated at 4°C overnight. The primary is detected by a biotinylated secondary antibody and visualized using an HRP conjugated SP system.
-
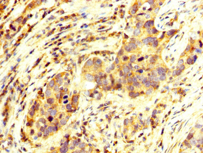
IHC image of CSB-PA017299LA01HU diluted at 1:250 and staining in paraffin-embedded human pancreatic cancer performed on a Leica BondTM system. After dewaxing and hydration, antigen retrieval was mediated by high pressure in a citrate buffer (pH 6.0). Section was blocked with 10% normal goat serum 30min at RT. Then primary antibody (1% BSA) was incubated at 4°C overnight. The primary is detected by a biotinylated secondary antibody and visualized using an HRP conjugated SP system.
-
-
其他:
產品詳情
-
產品名稱:Rabbit anti-Homo sapiens (Human) OTX2 Polyclonal antibody
-
Uniprot No.:
-
基因名:
-
別名:CPHD6 antibody; Homeobox protein OTX2 antibody; MCOPS 5 antibody; MCOPS5 antibody; MGC45000 antibody; Orthodenticle 2 antibody; Orthodenticle homeobox 2 antibody; Orthodenticle homolog 2 (Drosophila) antibody; Orthodenticle homolog 2 antibody; Orthodenticle2 antibody; Otx 2 antibody; otx2 antibody; OTX2_HUMAN antibody
-
宿主:Rabbit
-
反應種屬:Human, Mouse
-
免疫原:Recombinant Human Homeobox protein OTX2 protein (1-297AA)
-
免疫原種屬:Homo sapiens (Human)
-
標記方式:Non-conjugated
本頁面中的產品,OTX2 Antibody (CSB-PA017299LA01HU),的標記方式是Non-conjugated。對于OTX2 Antibody,我們還提供其他標記。見下表:
-
克隆類型:Polyclonal
-
抗體亞型:IgG
-
純化方式:>95%, Protein G purified
-
濃度:It differs from different batches. Please contact us to confirm it.
-
保存緩沖液:Preservative: 0.03% Proclin 300
Constituents: 50% Glycerol, 0.01M PBS, PH 7.4 -
產品提供形式:Liquid
-
應用范圍:ELISA, WB, IHC
-
推薦稀釋比:
Application Recommended Dilution WB 1:500-1:5000 IHC 1:200-1:500 -
Protocols:
-
儲存條件:Upon receipt, store at -20°C or -80°C. Avoid repeated freeze.
-
貨期:Basically, we can dispatch the products out in 1-3 working days after receiving your orders. Delivery time maybe differs from different purchasing way or location, please kindly consult your local distributors for specific delivery time.
-
用途:For Research Use Only. Not for use in diagnostic or therapeutic procedures.
相關產品
靶點詳情
-
功能:Transcription factor probably involved in the development of the brain and the sense organs. Can bind to the bicoid/BCD target sequence (BTS): 5'-TCTAATCCC-3'.
-
基因功能參考文獻:
- This second report of maculopathy associated with a heterozygous mutation in OTX2 confirms that mutations in OTX2 should be considered in the differential diagnosis of atypical hereditary maculopathy, with or without rod-cone dystrophy. PMID: 29204067
- OTX2 acts as a pioneer factor and, in cooperation with NEUROD1, controls the group 3 medulloblastoma active enhancer landscape. PMID: 28213356
- Syndromic microphthalmia due to mutations in OTX2 can present with significant intrafamilial phenotypic variability. PMID: 28388256
- We report a rare case of inherited 14q22.3 deletion in a very large family presenting with variable features of eye abnormalities (microphthalmia, anophthalmia and peripapillary pigmentation), pituitary anomalies, and learning difficulties. PMID: 26860946
- Our data refine the clinical spectrum associated with OTX2 mutations and suggests that OTX2 haploinsufficiency should be considered as a possible cause for isolated mandibular dysostosis. PMID: 27378064
- One subgroup of atypical teratoid rhabdoid tumors was characterized by high expression of OTX2. PMID: 28025236
- TNF-alpha, secreted from activated Monocytes, mediates the downregulation of OTX2 and essential retinal pigment epithelium genes. PMID: 27660103
- OTX2 gene frameshift mutation is associated with microphthalmia, ectopic pituitary and growth hormone deficiency. PMID: 26974134
- OTX2 mutations can cause ACTH deficiency in the neonatal period. Study also shows that OTX2 mutations are associated with agenesis of the Left Internal Carotid Artery. PMID: 27299576
- A novel pathogenic variant in OTX2, c.651delC, p.(Thr218Hisfs*76) identified in a patient with syndromic bilateral anophthalmia . PMID: 26130484
- demonstrated the role of OTX2 on TAp63 regulation necessary for the correct formation of macular neuroepithelium PMID: 26554466
- A novel role for OTX2 in self-renewal and migration of human embryonic neural precursors and Medulloblastoma cells, is reported. PMID: 26398939
- We showed that miR-410 directly regulates predicted target genes OTX2 and RPE65. PMID: 25351180
- This epigenome-wide DNA methylation analysis in postmortem hippocampus and prefrontal cortex specimens confirmed OTX2 DNA methylation profiles in major depression PMID: 25571874
- OTX2 overexpression is associated with medulloblastoma. PMID: 25198066
- SOX2, OTX2 and PAX6 analysis in subjects with anophthalmia and microphthalmia PMID: 25542770
- Agnathia-otocephaly complex and asymmetric velopharyngeal insufficiency due to an in-frame duplication in OTX2. PMID: 25589041
- OTX2 mutations cause autosomal dominant pattern dystrophy of the retinal pigment epithelium. PMID: 25293953
- Endogenous OTX2 from a medulloblastoma cell line is O-GlcNAcylated at several sites. PMID: 24580054
- a role for OTX2 dosage sensitivity in human craniofacial development PMID: 24816892
- VEGF-A, Otx2 homeobox and p53 family genes are expressed in proliferative vitreoretinopathy PMID: 24227910
- OTX2 gene duplication is associated with autosomal dominant oculoauriculovertebral syndrome. PMID: 23794319
- This study showed that OTX2 sustains a bivalent-like state of OTX2-bound promoters in medulloblastoma by maintaining their H3K27me3 levels. PMID: 23179372
- Otx2c is a novel alternative splicing variant of Otx2 gene and it is tightly regulated during the differentiation process demonstrating that it may have a potential role in embryonic stem cell maintenance and differentiation. PMID: 23566845
- OTX2 functions via its homeobox domain as a suppressor of differentiation, and the loss of OTX2 expression is linked to the myogenesis in medullomyoblastoma. PMID: 22986744
- This study reports a large family in which two cousins with micro/anophthalmia each gave birth to at least one child with otocephaly. The study subsequently identified in one unrelated otocephalic patient a sporadic OTX2 mutation. PMID: 22577225
- We have identified a novel mutation of the OTX2 gene in a Han Chinese family featuring various anophthalmia and microphthalmia phenotypes. PMID: 22268617
- A novel missense heterozygous OTX2 mutation acts as a dominant negative inhibitor of target gene expression in a patient with combined pituitary hormone deficiency (CPHD), pituitary malformation, and optic nerve hypoplasia. PMID: 22715480
- MiR-206 regulates Otx2 expression in glioma and neuroblastoma cell lines. PMID: 22508046
- silencing of OTX2 inhibited cell proliferation and resulted in a neuronal-like differentiation; downregulated genes were enriched for cycle and visual perception genes; upregulated genes were enriched for genes involved development and differentiation PMID: 21964830
- There is no genotype-phenotype correlation and the severity of the disease varies not only by the specific OTX2 mutations but also among individuals harboring the same mutation, suggesting the involvement of multiple levels of regulation. PMID: 22783640
- these findings emphasize the role of OTX2 in regulating the human TYR gene, with implications for inter-individual differences in melanin synthesis, retinal development, and function as well as susceptibility to retinal degeneration associated with aging. PMID: 22259223
- Mutation analysis was performed after sequencing the entire coding regions of OTX2 and PRRX1 genes isolated from the proband and his parents. After thorough analysis, no DNA variations were detected PMID: 22198066
- The OTX2 mutation in c.313C > T causing p.Gln105X and a premature stop codon is consistent with the loss of function mutations observed in A/M patients. PMID: 22204637
- OTX2 directly induces a series of cell cycle genes but requires cooperating genes for an oncogenic acceleration of the cell cycle. PMID: 21047732
- This high frequency of causal submicroscopic chromosomal aberrations in patients with congenital ocular malformation warrants implementation of array comparative genomic hybridization in the diagnostic work-up of these patients. PMID: 21353197
- Four of the five OTX2-positive anophthalmia/microphthalmia patients in our study displayed additional systemic findings, including two novel features, Wolf-Parkinson-White syndrome and an anteriorly placed anus PMID: 20486942
- Otx2 is required to specify neuron subtype in ventral tegmental area and confers resistance to 1-methyl-4-phenyl-1,2,3,6-tetrahydropyridine-HCl (MPTP) poisoning. PMID: 21057506
- SOX9, through interaction with microphthalmia-associated transcription factor (MITF) and OTX2, regulates BEST1 expression in the retinal pigment epithelium. PMID: 20530484
- OTX2 overexpression protects dopaminergic neurons in ventral mesencephalic cultures from Parkinson's disease-relevant toxin, 1-methyl-4-phenylpyridinium, whereas OTX2 downregulation using short hairpin RNA increases their susceptibility. PMID: 20573704
- The early expression of OTX2 in proliferative cell layers of the human fetal brain supports the concept that this homeobox gene is important in neuronal cell development and differentiation. PMID: 20354145
- A novel loss-of-function mutation in OTX2 in a patient with anophthalmia and isolated growth hormone deficiency. PMID: 20396904
- OTX2 mutations are associated with variable pituitary phenotype, with no genotype-phenotype correlations, and that OTX2 can transactivate GNRH1 as well as HESX1 and POU1F1. PMID: 19965921
- Our findings define OTX2 as an important oncogenic driver in medulloblastoma. PMID: 20028867
- Data suggest that OTX2 may regulate retinal pigment epithelium (RPE)-specific target genes, such as DOPAchrome tautomerase (DCT), thereby maintaining the homeostasis of RPE. PMID: 12559959
- OTX2 functions to specify the fate of neuroectoderm in various regions of the developing brain. This developmental role is consistent with the evidence suggesting that OTX2 is a medulloblastoma oncogene. PMID: 15705863
- Gene expression analyses showed that OTX2 transcripts were present at high levels in 14 of 15 (93%) medulloblastomas with anaplastic histopathologic features. PMID: 15705891
- Heterozygous mutations of OTX2 cause severe ocular malformations. PMID: 15846561
- Molecular diagnostic of human mutant OTX2 proteins discriminates hypomorphic and loss of function mutations from other mutations that may not be relevant to ocular pathology PMID: 16607563
- This review describes how cross regulation for PAX6, SOX2 and perhaps OTX2 has now been uncovered, pointing to the mechanisms that can fine-tune the expression of three such essential components in eye development. PMID: 16712695
顯示更多
收起更多
-
相關疾病:Microphthalmia, syndromic, 5 (MCOPS5); Pituitary hormone deficiency, combined, 6 (CPHD6); Retinal dystrophy, early-onset, with or without pituitary dysfunction (RDEOP)
-
亞細胞定位:Nucleus.
-
蛋白家族:Paired homeobox family, Bicoid subfamily
-
數據庫鏈接:
Most popular with customers
-
-
YWHAB Recombinant Monoclonal Antibody
Applications: ELISA, WB, IHC, IF, FC
Species Reactivity: Human, Mouse, Rat
-
Phospho-YAP1 (S127) Recombinant Monoclonal Antibody
Applications: ELISA, WB, IHC
Species Reactivity: Human
-
-
-
-
-















