OLR1
OLR1全稱為凝集素樣氧化低密度脂蛋白受體1,也被稱為LOX-1或SCARE1。這種蛋白主要分布在血管內皮細胞和巨噬細胞表面,能夠特異性識別并結合氧化修飾的低密度脂蛋白顆粒,這一特性使其成為動脈粥樣硬化發生的關鍵媒介。當血管壁受到氧化應激或機械損傷時,LOX-1的表達顯著上調,促進脂質沉積和單核細胞浸潤,最終導致血管內膜斑塊形成。該過程與心腦血管疾病、糖尿病微血管病變等密切相關,尤其在冠心病患者的斑塊破裂事件中常觀察到LOX-1異常活躍。
LOX-1不僅參與脂質代謝紊亂,還與腫瘤微環境中的血管新生存在關聯。針對該靶點的藥物開發集中在抑制其與配體結合的活性,已有多種單克隆抗體和小分子抑制劑進入臨床前研究階段。其中基于天然產物的姜黃素衍生物在動物實驗中展現出降低斑塊負荷的效果,而siRNA遞送技術也在探索精準調控其表達的可能性。隨著精準醫學的發展,針對LOX-1的檢測指標正被納入心血管風險評估體系,為早期干預提供新方向。
熱銷產品
Recombinant Human Oxidized low-density lipoprotein receptor 1 (OLR1), partial (CSB-EP016331HU)
驗證數據
(Tris-Glycine gel) Discontinuous SDS-PAGE (reduced) with 5% enrichment gel and 15% separation gel.
OLR1 Antibody (CSB-PA016331LA01HU)
驗證數據
Western Blot
Positive WB detected in: Rat kidney tissue
All lanes: OLR1 antibody at 3µg/ml
Secondary
Goat polyclonal to rabbit IgG at 1/50000 dilution
Predicted band size: 31, 21, 22 kDa
Observed band size: 31 kDa
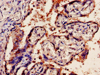
IHC image of CSB-PA016331LA01HU diluted at 1:1200 and staining in paraffin-embedded human placenta tissue performed on a Leica BondTM system. After dewaxing and hydration, antigen retrieval was mediated by high pressure in a citrate buffer (pH 6.0). Section was blocked with 10% normal goat serum 30min at RT. Then primary antibody (1% BSA) was incubated at 4°C overnight. The primary is detected by a biotinylated secondary antibody and visualized using an HRP conjugated SP system.
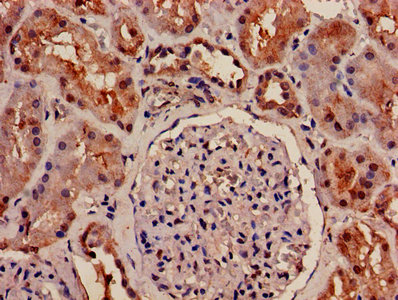
IHC image of CSB-PA016331LA01HU diluted at 1:1200 and staining in paraffin-embedded human kidney tissue performed on a Leica BondTM system. After dewaxing and hydration, antigen retrieval was mediated by high pressure in a citrate buffer (pH 6.0). Section was blocked with 10% normal goat serum 30min at RT. Then primary antibody (1% BSA) was incubated at 4°C overnight. The primary is detected by a biotinylated secondary antibody and visualized using an HRP conjugated SP system.
Immunofluorescence staining of A549 cells with CSB-PA016331LA01HU at 1:400, counter-stained with DAPI. The cells were fixed in 4% formaldehyde, permeabilized using 0.2% Triton X-100 and blocked in 10% normal Goat Serum. The cells were then incubated with the antibody overnight at 4°C. The secondary antibody was Alexa Fluor 488-congugated AffiniPure Goat Anti-Rabbit IgG(H+L).
OLR1 Antibodies
OLR1 for Homo sapiens (Human)
| 產品貨號 | 產品名稱 | 種屬反應性 | 應用類型 |
|---|---|---|---|
| CSB-PA016331LD01HU | OLR1 Antibody, Biotin conjugated | Human | ELISA |
| CSB-PA016331GA01HU | OLR1 Antibody | Human | ELISA,WB |
| CSB-PA016331LA01HU | OLR1 Antibody | Human, Rat | ELISA, WB, IHC, IF |
| CSB-PA133010 | OLR1 Antibody | Human | ELISA,IHC |
| CSB-PA280628 | OLR1 Antibody | Human | ELISA,WB,IHC |
| CSB-PA212407 | OLR1 Antibody | Human,Mouse | ELISA,WB,IHC |
| CSB-PA556674 | OLR1 Antibody | Human | ELISA,IHC |
| CSB-PA187613 | OLR1 Antibody | Human | ELISA,IHC |
OLR1 Proteins
OLR1 Proteins for Bos taurus (Bovine)
| 產品貨號 | 產品名稱 | 來源 |
|---|---|---|
| CSB-YP016331BO1 CSB-EP016331BO1 CSB-BP016331BO1 CSB-MP016331BO1 CSB-EP016331BO1-B |
Recombinant Bovine Oxidized low-density lipoprotein receptor 1 (OLR1), partial | Yeast E.coli Baculovirus Mammalian cell In Vivo Biotinylation in E.coli |
| CSB-CF016331BO | Recombinant Bovine Oxidized low-density lipoprotein receptor 1 (OLR1) | in vitro E.coli expression system |
OLR1 Proteins for Homo sapiens (Human)
| 產品貨號 | 產品名稱 | 來源 |
|---|---|---|
| CSB-YP016331HU CSB-BP016331HU CSB-MP016331HU CSB-EP016331HU-B |
Recombinant Human Oxidized low-density lipoprotein receptor 1 (OLR1), partial | Yeast Baculovirus Mammalian cell In Vivo Biotinylation in E.coli |
| CSB-EP016331HU | Recombinant Human Oxidized low-density lipoprotein receptor 1 (OLR1), partial | E.coli |
| CSB-CF016331HU | Recombinant Human Oxidized low-density lipoprotein receptor 1 (OLR1) | in vitro E.coli expression system |
OLR1 Proteins for Rattus norvegicus (Rat)
| 產品貨號 | 產品名稱 | 來源 |
|---|---|---|
| CSB-YP016331RA1 CSB-EP016331RA1 CSB-BP016331RA1 CSB-MP016331RA1 CSB-EP016331RA1-B |
Recombinant Rat Oxidized low-density lipoprotein receptor 1 (Olr1), partial | Yeast E.coli Baculovirus Mammalian cell In Vivo Biotinylation in E.coli |
| CSB-CF016331RA | Recombinant Rat Oxidized low-density lipoprotein receptor 1 (Olr1) | in vitro E.coli expression system |
OLR1 Proteins for Mus musculus (Mouse)
| 產品貨號 | 產品名稱 | 來源 |
|---|---|---|
| CSB-YP872111MO CSB-EP872111MO CSB-BP872111MO CSB-MP872111MO CSB-EP872111MO-B |
Recombinant Mouse Oxidized low-density lipoprotein receptor 1 (Olr1), partial | Yeast E.coli Baculovirus Mammalian cell In Vivo Biotinylation in E.coli |
OLR1 Proteins for Sus scrofa (Pig)
| 產品貨號 | 產品名稱 | 來源 |
|---|---|---|
| CSB-YP879995PI CSB-EP879995PI CSB-BP879995PI CSB-MP879995PI CSB-EP879995PI-B |
Recombinant Pig Oxidized low-density lipoprotein receptor 1 (OLR1), partial | Yeast E.coli Baculovirus Mammalian cell In Vivo Biotinylation in E.coli |
OLR1 Proteins for Oryctolagus cuniculus (Rabbit)
| 產品貨號 | 產品名稱 | 來源 |
|---|---|---|
| CSB-YP893616RB CSB-EP893616RB CSB-BP893616RB CSB-MP893616RB CSB-EP893616RB-B |
Recombinant Rabbit Oxidized low-density lipoprotein receptor 1 (OLR1), partial | Yeast E.coli Baculovirus Mammalian cell In Vivo Biotinylation in E.coli |
OLR1 ELISA Kit
OLR1 ELISA Kit for Mus musculus (Mouse)
| 產品貨號 | 產品名稱 | 樣本類型 | 靈敏度 |
|---|---|---|---|
| CSB-E15846m | Mouse soluble Lectin-like Oxidized Low Density Lipoprotein Receptor-1(sLOX-1)ELISA Kit | serum, plasma, tissue homogenates | 19.5 pg/mL |
OLR1 ELISA Kit for Rattus norvegicus (Rat)
| 產品貨號 | 產品名稱 | 樣本類型 | 靈敏度 |
|---|---|---|---|
| CSB-E15845r | Rat Soluble Lectin-like Oxidized Low Density Lipoprotein Receptor-1(sLOX-1)ELISA Kit | serum, plasma, tissue homogenates | 0.039 ng/mL |
OLR1 ELISA Kit for Homo sapiens (Human)
| 產品貨號 | 產品名稱 | 樣本類型 | 靈敏度 |
|---|---|---|---|
| CSB-E13567h | Human soluble lectin-like oxidized low density lipoprotein receptor-1(sLOX-1)ELISA Kit | serum, plasma, tissue homogenates. | 2.74 pg/ ml |






