OLR1 Antibody
-
中文名稱:OLR1兔多克隆抗體
-
貨號:CSB-PA133010
-
規格:¥1100
-
圖片:
-
The image on the left is immunohistochemistry of paraffin-embedded Human thyroid cancer tissue using CSB-PA133010(OLR1 Antibody) at dilution 1/50, on the right is treated with fusion protein. (Original magnification: ×200)
-
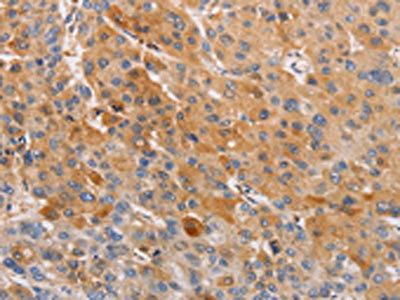
The image on the left is immunohistochemistry of paraffin-embedded Human liver cancer tissue using CSB-PA133010(OLR1 Antibody) at dilution 1/50, on the right is treated with fusion protein. (Original magnification: ×200)
-
-
其他:
產品詳情
-
Uniprot No.:
-
基因名:
-
別名:C-type lectin domain family 8 member A antibody; CLEC8A antibody; hLOX 1 antibody; hLOX-1 antibody; Lectin like oxidized LDL receptor 1 antibody; Lectin like oxLDL receptor 1 antibody; Lectin type oxidized LDL receptor 1 antibody; Lectin-like oxidized LDL receptor 1 antibody; Lectin-like oxLDL receptor 1 antibody; Lectin-type oxidized LDL receptor 1 antibody; low density lipoprotein oxidized, receptor 1 antibody; LOX-1 antibody; LOXIN antibody; Olr1 antibody; OLR1_HUMAN antibody; Ox LDL receptor 1 antibody; Ox-LDL receptor 1 antibody; Oxidised low density lipoprotein (lectin like) receptor 1 antibody; Oxidized low density lipoprotein receptor 1 antibody; Oxidized low density lipoprotein receptor 1 soluble form antibody; Oxidized low-density lipoprotein receptor 1 antibody; OxLDL receptor 1 antibody; SCARE1 antibody; Scavenger receptor class E, member 1 antibody; SLOX1 antibody; soluble form antibody; SR-EI antibody
-
宿主:Rabbit
-
反應種屬:Human
-
免疫原:Fusion protein of Human OLR1
-
免疫原種屬:Homo sapiens (Human)
-
標記方式:Non-conjugated
-
抗體亞型:IgG
-
純化方式:Antigen affinity purification
-
濃度:It differs from different batches. Please contact us to confirm it.
-
保存緩沖液:-20°C, pH7.4 PBS, 0.05% NaN3, 40% Glycerol
-
產品提供形式:Liquid
-
應用范圍:ELISA,IHC
-
推薦稀釋比:
Application Recommended Dilution ELISA 1:1000-1:5000 IHC 1:50-1:200 -
Protocols:
-
儲存條件:Upon receipt, store at -20°C or -80°C. Avoid repeated freeze.
-
貨期:Basically, we can dispatch the products out in 1-3 working days after receiving your orders. Delivery time maybe differs from different purchasing way or location, please kindly consult your local distributors for specific delivery time.
-
用途:For Research Use Only. Not for use in diagnostic or therapeutic procedures.
相關產品
靶點詳情
-
功能:Receptor that mediates the recognition, internalization and degradation of oxidatively modified low density lipoprotein (oxLDL) by vascular endothelial cells. OxLDL is a marker of atherosclerosis that induces vascular endothelial cell activation and dysfunction, resulting in pro-inflammatory responses, pro-oxidative conditions and apoptosis. Its association with oxLDL induces the activation of NF-kappa-B through an increased production of intracellular reactive oxygen and a variety of pro-atherogenic cellular responses including a reduction of nitric oxide (NO) release, monocyte adhesion and apoptosis. In addition to binding oxLDL, it acts as a receptor for the HSP70 protein involved in antigen cross-presentation to naive T-cells in dendritic cells, thereby participating in cell-mediated antigen cross-presentation. Also involved in inflammatory process, by acting as a leukocyte-adhesion molecule at the vascular interface in endotoxin-induced inflammation. Also acts as a receptor for advanced glycation end (AGE) products, activated platelets, monocytes, apoptotic cells and both Gram-negative and Gram-positive bacteria.
-
基因功能參考文獻:
- Study showed that a high expression of LOX-1 was associated with poor prognosis in gastric cancer (GC) patients and TNM stage. LOX-1 was found to promote migration, invasion and epithelial-mesenchymal transition (EMT) of GC cells through activating PI3K/Akt/GSK3beta pathway. PMID: 28345638
- LOX-1(+) CD15(+) polymorphonuclear myeloid-derived suppressor cells were elevated in hepatocellular carcinoma patients and suppressed T cell proliferation through ROS/Arg I pathway induced by ER stress. PMID: 29211299
- High LOX-1 ligand activity as a risk factor for ischemic stroke. PMID: 28442661
- The analysis also revealed that OLR1 is not required for the transcriptional regulation induced by oxidized PAPC but interestingly, OLR1 knockdown affected expression of CNN2, HMRR, ITGB6 and KIF20A, all genes governing cell proliferation and motility. PMID: 29103984
- Data show that oxidized low density lipoprotein receptor 1 (LOX-1) is overexpressed in prostate cancer cells. PMID: 29107109
- expression significantly higher in the arterial wall of epicardial coronary arteries compared to intramyocardial coronary arteries PMID: 29448251
- let7g exerts a LOX1independent antiaging effect on endothelial cells. PMID: 29393358
- high LOX-1 expression in pancreatic cancer tissues is indicative for the occurrence of lymph node metastases, high TNM stages and a poor prognosis. PMID: 29168159
- lincRNAp21 is a major mediator of oxLDLinduced apoptosis and expression of LOX1 in human vascular endothelial cells, and acts via activation of PKCdelta. PMID: 28983628
- this study shows that LOX-1 is involved in IL-1beta production and extracellular matrix breakdown in dental peri-implantitis PMID: 28898769
- Results showed that the scFv with N-terminal fusing peptides proteins demonstrated increased LOX-1-binding activity without decrease in stability. These findings will help increase the application efficacy of LOX-1 targeting scFv in LOX-1-based therapy PMID: 29094051
- The serum sLOX-1 level was higher in patients with large artery atherosclerotic stroke, and it was an independent predictor of functional outcome in patients with large artery atherosclerotic ischemic stroke. PMID: 27967338
- LOX-1 has a role in atherogenesis and tumorigenesis as a potential link in these diseases [review] PMID: 29462603
- the rs1050283 T allele of LOX-1 is strongly associated with an increased risk for atherosclerotic cerebral infarction in a Chinese population, which also affects levels of LOX-1 and sLOX-1 PMID: 27840386
- data revealed that miR-let-7g exhibits anti-atherosclerotic activity, at least partially by targeting the LOX-1 signaling pathway. PMID: 28535009
- High LOX1 expression is associated with colorectal cancer. PMID: 26895376
- Increased LOX-1 expression in endothelial cells is potentially involved in the pathogenesis of sickle cell disease vasculopathy PMID: 27519944
- LOX-1 signalling and the crucial role of cytokines PMID: 28860004
- High OLR1 expression is associated with breast cancer. PMID: 28844714
- Multiple classical molecular dynamics simulations have been applied to the human LOX-1 receptor to clarify the role of the Trp150Ala mutation in the loss of binding activity. Results indicate that the substitution of this crucial residue, located at the dimer interface, markedly disrupts the wild-type receptor dynamics PMID: 28657156
- Carrying the C allele of the rs11053646 variant of the OLR1 gene was associated with an increased risk of CAD in heterozygous adult patients with FH, and this risk could be even greater in smokers as well as in younger patients. PMID: 28941610
- Berberine could prevent the oxLDL and TNFalpha - induced LOX1 expression and oxidative stress, key events that lead to NOX, MAPK/Erk1/2 and NF-kappaB activation linked to endothelial dysfunction. PMID: 28511903
- Individuals >/=30 years old with abdominal obesity presented lower Lox1 levels than patients >/=30 years old without abdominal obesity. PMID: 27525284
- These studies suggest that activation of LOX-1 expression occurs through binding of the chlamydial glycan and provides one mechanism by which Chlamydia pneumoniae infection could play a role in the pathogenesis of atherosclerosis. PMID: 23821487
- Elevated LOX1 is Associated with Acute Stroke. PMID: 27025681
- Xanthine oxidase induces foam cell formation in large part through activation of LOX-1 - NLRP3 pathway in both vascular smooth muscle cells and THP-1 cells. PMID: 28084571
- show that MiR-590-5p inhibits angiogenesis by targeting LOX-1 and suppressing redox-sensitive signals PMID: 26932825
- OLR1 rs1050286 SNP may contribute to modify OLR1 susceptibility to acute myocardial infarction and coronary artery diseases. PMID: 26542080
- Serum sLOX-1 level was significantly lower in the restless legs syndrome patient group compared to controls. PMID: 27546362
- The mechanistic link between miR-590-5p and LOX-1:miR-590-5p downregulation led to LOX-1 upregulation in endothelial cells. PMID: 26906623
- Serum LAB was associated with an increased carotid IMT in Japanese men, especially those with hypercholesterolemia PMID: 26892134
- the current meta-analysis highlighted that variant allele of OLR1 rs11053646 G > C and PCSK9 rs505151 A > G may contribute to the susceptibility risk of ischemic stroke. PMID: 26666837
- Silencing of LOX-1 gene expression abolished ox-LDL induced effects in cell viability, reactive oxygen species generation and gene expression. PMID: 26510581
- both the 501>C single nucleotide polymorphisms in the LOX1 gene and the serum LOX1 level may be used to predict the development of left ventricular hypertrophy among essential hypertension patients. PMID: 24480971
- for our Turkish sample group, LOX-1 30UTR188C/T and K167N polymorphisms may not be involved in susceptibility to GDM [gestational diabetes mellitus ] PMID: 26296941
- Cholesterol depletion triggers the release of LOX-1 in exosomes as a full-length transmembrane isoform and as a truncated ectodomain soluble fragment. PMID: 26495844
- Interaction between Lox-1, C-reactive protein and oxidized LDL play role in the pathogenesis of atherosclerosis. PMID: 26607724
- OLR1 is a novel molecular link between the proliferative and inflammatory responses of vascular smooth muscle cells. PMID: 26305474
- Ginkgo biloba extract inhibits oxLDL-induced matrix metalloproteinase activation by the modulation of the LOX1-regulated signaling pathway in human umbilical vein endothelial cells. PMID: 25080882
- Data show that the interplay between the two TNF receptors (TNFR1 and TNFR2) was apparent in the expression pattern of lectin-type oxidized LDL receptor 1 (LOX-1) in response to TNF-alpha. PMID: 25416967
- The serum LOX-1 levels were significantly higher in NAFLD patients than in healthy controls. PMID: 26185381
- Low shear stress is a regulator of autophagy and LOX-1 plays an important role in shear stress induced autophagy. PMID: 25697875
- results showed higher expression of HSP70 and LOX-1 in the placental tissues of pre-eclampsia patients which represent the possible contribution of these molecules in the disease pathogenesis. PMID: 24786389
- Elevated plasma sLOX-1 level on admission independently predicts long-term all-cause mortality and MACE after STEMI. PMID: 25746549
- biomarker for determining early endothelial damage in hypertension, especially in white coat hypertension PMID: 25007999
- LOX-1 activation by oxLDL is an important event that enhances tumor angiogenesis PMID: 25170920
- LOX-1 is the receptor that mediates oxidized LDL activity in vascular endothelial cells.Activation of LOX-1 causes endothelial dysfunction and vascular lipid deposition. PMID: 25463747
- Our data indicate a new direction for LOX-1 regulation by the modulation of the PKCbeta/NAPDH oxidase/SIRT1/HSF1 mechanism PMID: 25982096
- The present study showed that circulating soluble LOX-1 originates from coronary circulation and soluble LOX-1 and LOX-1 index are useful biomarkers for acute coronary syndrome. PMID: 24895597
- Meta-analysis results showed that the +1073 C/T polymorphism in ORL1 decreased the risk of Alzheimer's disease. This allele was predicted to affect the binding site of many miRNAs explaining the relationship between the +1073 C/T variant and the disease. PMID: 25501227
顯示更多
收起更多
-
相關疾病:Independent association genetic studies have implicated OLR1 gene variants in myocardial infarction susceptibility.; DISEASE: Note=OLR1 may be involved in Alzheimer disease (AD). Involvement in AD is however unclear: according to some authors (PubMed:12354387, PubMed:12810610 and PubMed:15976314), variations in OLR1 modify the risk of AD, while according to other (PubMed:15000751 and PubMed:15060104) they do not.
-
亞細胞定位:Cell membrane; Lipid-anchor. Cell membrane; Single-pass type II membrane protein. Membrane raft. Secreted. Note=A secreted form also exists. Localization to membrane rafts requires palmitoylation.
-
組織特異性:Expressed at high level in endothelial cells and vascular-rich organs such as placenta, lung, liver and brain, aortic intima, bone marrow, spinal cord and substantia nigra. Also expressed at the surface of dendritic cells. Widely expressed at intermediate
-
數據庫鏈接:
Most popular with customers
-
-
YWHAB Recombinant Monoclonal Antibody
Applications: ELISA, WB, IHC, IF, FC
Species Reactivity: Human, Mouse, Rat
-
Phospho-YAP1 (S127) Recombinant Monoclonal Antibody
Applications: ELISA, WB, IHC
Species Reactivity: Human
-
-
-
-
-















