KLK2
KLK2,也稱為Kallikrein-2,是一種腺激肽釋放酶家族的成員。它在前列腺中表達,主要參與調節精液和前列腺分泌物的功能。KLK2在精液凝固蛋白的蛋白水解處理中起關鍵作用,導致射精后精液的液化,這對精子的流動性和生育能力至關重要。KLK2的異常與多種疾病相關,包括前列腺癌、卵巢癌、肺病、高血壓、糖尿病和心血管疾病等。目前,針對KLK2的藥物研發正在進展中,包括用于治療前列腺癌的KLK2-CD3雙特異性抗體等。
熱銷產品
Recombinant Human Kallikrein-2 (KLK2) (Active) (CSB-MP012453HU1)
驗證數據
(Tris-Glycine gel) Discontinuous SDS-PAGE (reduced) with 5% enrichment gel and 15% separation gel.
Activity
Measured by its binding ability in a functional ELISA. Immobilized Human KLK2 at 2 μg/ml can bind Anti-KLK2 recombinant antibody (CSB-RA012453MA1HU). The EC50 is 0.6741-0.8245 ng/mL.
Activity
Measured by its ability to cleave a flourogenic peptide substrate Pro-Phe-Arg-7-amido-4-methylcoumarin (PFR-AMC). The specific activity is >350 pmol/min/μg.
Recombinant Human Kallikrein-2 (KLK2) (CSB-EP012453HU)
驗證數據
(Tris-Glycine gel) Discontinuous SDS-PAGE (reduced) with 5% enrichment gel and 15% separation gel.
KLK2 Antibody (CSB-PA012453LA01HU)
驗證數據
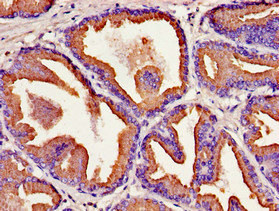
Immunohistochemistry of paraffin-embedded human prostate tissue using CSB-PA012453LA01HU at dilution of 1:100
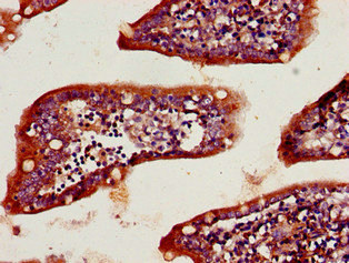
Immunohistochemistry of paraffin-embedded human small intestine tissue using CSB-PA012453LA01HU at dilution of 1:100
KLK2 Antibodies
KLK2 for Homo sapiens (Human)
| 產品貨號 | 產品名稱 | 種屬反應性 | 應用類型 |
|---|---|---|---|
| CSB-PA085005 | KLK2 Antibody | Human | ELISA,WB,IHC |
| CSB-PA039286 | KLK2 Antibody | Human | ELISA,IHC |
| CSB-PA012453LA01HU | KLK2 Antibody | Human | ELISA, IHC |
| CSB-PA012453LC01HU | KLK2 Antibody, FITC conjugated | Human | |
| CSB-PA012453LD01HU | KLK2 Antibody, Biotin conjugated | Human | ELISA |
KLK2 Proteins
KLK2 Proteins for Homo sapiens (Human)
| 產品貨號 | 產品名稱 | 來源 |
|---|---|---|
| CSB-BP012453HU CSB-EP012453HU-B |
Recombinant Human Kallikrein-2 (KLK2) | Baculovirus In Vivo Biotinylation in E.coli |
| CSB-EP012453HU | Recombinant Human Kallikrein-2 (KLK2) | E.coli |
| CSB-YP012453HU | Recombinant Human Kallikrein-2 (KLK2) | Yeast |
| CSB-EP012453HUg5 | Recombinant Human Kallikrein-2 (KLK2) | E.coli |
KLK2 Proteins for Rattus norvegicus (Rat)
| 產品貨號 | 產品名稱 | 來源 |
|---|---|---|
| CSB-BP012453RA CSB-EP012453RA-B |
Recombinant Rat Tonin (Klk2) | Baculovirus In Vivo Biotinylation in E.coli |
KLK2 Proteins for Blarina brevicauda (Short-tailed shrew)
| 產品貨號 | 產品名稱 | 來源 |
|---|---|---|
| CSB-YP685818BTI CSB-EP685818BTI CSB-BP685818BTI CSB-MP685818BTI CSB-EP685818BTI-B |
Recombinant Blarina brevicauda Blarinasin-2 (KLK2) | Yeast E.coli Baculovirus Mammalian cell In Vivo Biotinylation in E.coli |
KLK2 ELISA Kit
KLK2 ELISA Kit for Homo sapiens (Human)
| 產品貨號 | 產品名稱 | 樣本類型 | 靈敏度 |
|---|---|---|---|
| CSB-E13094h | Human Kallikrein 2(hK 2) ELISA Kit | serum, plasma, tissue homogenates | 15.6 pg/mL |






