KLK2 Antibody
-
中文名稱:KLK2兔多克隆抗體
-
貨號:CSB-PA085005
-
規格:¥1100
-
圖片:
-
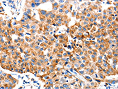
The image on the left is immunohistochemistry of paraffin-embedded Human breast cancer tissue using CSB-PA085005(KLK2 Antibody) at dilution 1/80, on the right is treated with synthetic peptide. (Original magnification: ×200)
-
The image on the left is immunohistochemistry of paraffin-embedded Human lung cancer tissue using CSB-PA085005(KLK2 Antibody) at dilution 1/80, on the right is treated with synthetic peptide. (Original magnification: ×200)
-
Gel: 10%SDS-PAGE, Lysate: 40 μg, Lane: Hela cells, Primary antibody: CSB-PA085005(KLK2 Antibody) at dilution 1/1650, Secondary antibody: Goat anti rabbit IgG at 1/8000 dilution, Exposure time: 2 minutes
-
-
其他:
產品詳情
-
Uniprot No.:
-
基因名:
-
別名:Glandular kallikrein 2 antibody; Glandular kallikrein-1 antibody; hGK 1 antibody; hGK-1 antibody; hK2 antibody; Kallikrein 2 prostatic antibody; Kallikrein related peptidase 2 antibody; kallikrein, glandular antibody; Kallikrein, prostatic antibody; Kallikrein-2 antibody; KLK 2 antibody; Klk-2 antibody; Klk2 antibody; KLK2_HUMAN antibody; KLK2A 2 antibody; KLK2A2 antibody; MGC12201 antibody; Tissue kallikrein 2 antibody; Tissue kallikrein-2 antibody; Ton antibody
-
宿主:Rabbit
-
反應種屬:Human
-
免疫原:Synthetic peptide of Human KLK2
-
免疫原種屬:Homo sapiens (Human)
-
標記方式:Non-conjugated
-
抗體亞型:IgG
-
純化方式:Antigen affinity purification
-
濃度:It differs from different batches. Please contact us to confirm it.
-
保存緩沖液:-20°C, pH7.4 PBS, 0.05% NaN3, 40% Glycerol
-
產品提供形式:Liquid
-
應用范圍:ELISA,WB,IHC
-
推薦稀釋比:
Application Recommended Dilution ELISA 1:1000-1:5000 WB 1:500-1:2000 IHC 1:100-1:300 -
Protocols:
-
儲存條件:Upon receipt, store at -20°C or -80°C. Avoid repeated freeze.
-
貨期:Basically, we can dispatch the products out in 1-3 working days after receiving your orders. Delivery time maybe differs from different purchasing way or location, please kindly consult your local distributors for specific delivery time.
-
用途:For Research Use Only. Not for use in diagnostic or therapeutic procedures.
相關產品
靶點詳情
-
功能:Glandular kallikreins cleave Met-Lys and Arg-Ser bonds in kininogen to release Lys-bradykinin.
-
基因功能參考文獻:
- glycosylation changes the enzymatic activity of KLK2 in a drastically substrate-dependent manner. PMID: 26582203
- The results indicated that W-hK2 had a defect in cellular trafficking due to its misfolding and that it activated the unfolded protein response, suggesting a mechanism to explain the association of the T allele with higher prostate cancer risk. PMID: 25847286
- miR-378 was predicted to target both KLK2 and KLK4 and downregulated levels detected in prostate cancer patients. PMID: 25153390
- The differential regulation of alternative transcripts (using KLK2, KLK3 and KLK4 as models) by androgens and anti-androgens as an indicator of prostate cancers, was investigated. PMID: 25153393
- Structure-function analyses of KLK2 establish the 99-loop as master regulator of its activity. PMID: 25326387
- Predictions based on levels of four kallikrein markers, including KLK2, in blood distinguish between pathologically insignificant and aggressive disease after radical prostatectomy with good accuracy. PMID: 23683475
- Alteration of cellular junctions in benign prostatic hyperplasia could contribute to the presence of luminal epithelial secreted proteins prostate specific antigen (PSA)2 and and KLK2 in the stromal compartment. PMID: 24711254
- we present the first evidence that KLK2 can also function as an androgen receptor modulator that may modulate cell growth after the development of castration-resistant prostate cancer PMID: 24122203
- Associations observed in young, healthy men between the seminal plasma and serum concentrations of hK2 and PSA and several genetic variants in KLK2 and KLK3 could be useful to refine models of PSA cutoff values in prostate cancer testing. PMID: 24270797
- Genetic variants at ATF7IP and KLK2 contribute to the variance of %fPSA. PMID: 23359319
- Two SNPs, in beta-microseminoprotein at and in kallikrein-related peptidase 2 at, are associated with PCA3 score at genome-wide significance level PMID: 23555189
- TK promotes vessel growth by increasing the number of EPCs and enhancing their functional properties through the kinin B(2) receptor-Akt signaling pathway. PMID: 22435954
- An exploratory study of a KLK2 polymorphism as a prognostic marker in prostate cancer was found to be less likely associated with low Gleason score morphology. PMID: 21178268
- we identifiedand genotyped novel single-nucleotide polymorphisms in cancer cases and controls which verified prior associations in KLK2 and in MSMB (but not in KLK3) with prostate cancer PMID: 20424135
- Data show six non-synonymous amino acid or frame shift changes in the KLK3 gene and three changes in each of the neighboring genes, KLK15 and KLK2. PMID: 19823874
- The identification of unusual mRNA splice variants of the KLK2 and KLK3 genes that result from inclusion of intronic sequences adjacent to the first exon. PMID: 11834722
- Characterization of androgen receptor and nuclear receptor co-regulator expression in human breast cancer cell lines exhibiting differential regulation of kallikreins 2 and 3. PMID: 12124798
- kallikrein expression in nipple aspirate fluid- ethnic variation PMID: 12209605
- Measurements of free prostate specific antigen and hK2 improve on our ability to counsel patients prior to treatment as to their risk of biochemical recurrence PMID: 16152616
- An additional serum marker for the detection of prostatic cancer. PMID: 16388506
- a role for the KLK2 gene in prostate cancer susceptibility PMID: 17085659
- results imply that prostate cancer risk is associated with androgen receptor(AR)-CAG repeat and kallikrein-2 polymorphisms in Indian population but no unambiguous association was observed with PSA and AR-GGN repeat polymorphism PMID: 17257635
- role of kallikrein gene 2 and 3 variant SNPs in the etiology of prostate cancer among men of European ancestry PMID: 17593395
- %fPSA and hK2 add important predictive value in older men and much closer to diagnosis PMID: 17657743
- The two novel ETV4 fusion partners possess as predominant common characteristics androgen-induction and prostate-specific expression. PMID: 18451133
- Recombinant hK2 activates ERK1/2 signaling of prostate cancer cell lines, which express both PAR1 and PAR2. PMID: 18567807
- adding free PSA and human kallikrein 2 to standard pretreatment risk-assessment models to predict biochemical recurrence after radical prostatectomy for prostate cancer enhanced the AUC PMID: 19003994
- PSA and kallikrein 2 transcripts in the peripheral blood of prostate cancer patients during barchytherapy could serve as a predictor of biochemiacl outcome. PMID: 19434652
- Observational study of gene-disease association, gene-gene interaction, and genetic testing. (HuGE Navigator) PMID: 19223501
顯示更多
收起更多
-
蛋白家族:Peptidase S1 family, Kallikrein subfamily
-
數據庫鏈接:
Most popular with customers
-
YWHAB Recombinant Monoclonal Antibody
Applications: ELISA, WB, IHC, IF, FC
Species Reactivity: Human, Mouse, Rat
-
Phospho-YAP1 (S127) Recombinant Monoclonal Antibody
Applications: ELISA, WB, IHC
Species Reactivity: Human
-
-
-
-
-
-















