KLK1
KLK1全稱為激肽釋放酶1,又稱組織激肽釋放酶或hK1,是絲氨酸蛋白酶家族成員。該蛋白在人體多個組織表達,能夠水解低分子量激肽原生成活性激肽,參與調節血壓、電解質平衡及炎癥反應過程。KLK1與緩激肽系統存在密切關聯,在血管舒張、細胞增殖等生理活動中扮演關鍵角色。
KLK1異常表達與高血壓、慢性腎病及動脈粥樣硬化等疾病相關,尤其在糖尿病腎病患者的尿液中常檢測到濃度升高。近年來,基于其調節血壓的特性,科研團隊嘗試開發重組激肽釋放酶1作為治療缺血性中風和心肌梗死的候選藥物。同時,針對其抑制劑的研究也在推進中,用于緩解激肽過度釋放引發的炎癥反應。目前已有部分小分子化合物進入臨床前研究階段,但成藥性仍需進一步驗證。
熱銷產品
Recombinant Human Kallikrein-1 (KLK1) (CSB-EP012446HU)
驗證數據
(Tris-Glycine gel) Discontinuous SDS-PAGE (reduced) with 5% enrichment gel and 15% separation gel.
KLK1 Antibody (CSB-PA012446LA01HU)
驗證數據
IHC image of CSB-PA012446LA01HU diluted at 1:300 and staining in paraffin-embedded human breast cancer performed on a Leica BondTM system. After dewaxing and hydration, antigen retrieval was mediated by high pressure in a citrate buffer (pH 6.0). Section was blocked with 10% normal goat serum 30min at RT. Then primary antibody (1% BSA) was incubated at 4°C overnight. The primary is detected by a biotinylated secondary antibody and visualized using an HRP conjugated SP system.
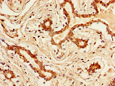
IHC image of CSB-PA012446LA01HU diluted at 1:300 and staining in paraffin-embedded human kidney tissue performed on a Leica BondTM system. After dewaxing and hydration, antigen retrieval was mediated by high pressure in a citrate buffer (pH 6.0). Section was blocked with 10% normal goat serum 30min at RT. Then primary antibody (1% BSA) was incubated at 4°C overnight. The primary is detected by a biotinylated secondary antibody and visualized using an HRP conjugated SP system.
Immunofluorescence staining of Hela cells with CSB-PA012446LA01HU at 1:100, counter-stained with DAPI. The cells were fixed in 4% formaldehyde, permeabilized using 0.2% Triton X-100 and blocked in 10% normal Goat Serum. The cells were then incubated with the antibody overnight at 4°C. The secondary antibody was Alexa Fluor 488-congugated AffiniPure Goat Anti-Rabbit IgG(H+L).
Human Kallikrein 1,KLK 1 ELISA Kit (CSB-E11437h)
驗證數據
貨號:CSB-E11437h
規格:96T/48T
靈敏度:0.195 ng/mL
檢測范圍:0.78 ng/mL-50 ng/mL
These standard curves are provided for demonstration only. A standard curve should be generated for each set of samples assayed.
KLK1 Antibodies
KLK1 for Homo sapiens (Human)
| 產品貨號 | 產品名稱 | 種屬反應性 | 應用類型 |
|---|---|---|---|
| CSB-PA012446LA01HU | KLK1 Antibody | Human | ELISA, IHC, IF |
| CSB-PA012446LB01HU | KLK1 Antibody, HRP conjugated | Human | ELISA |
| CSB-PA012446LD01HU | KLK1 Antibody, Biotin conjugated | Human | ELISA |
| CSB-PA012446GA01HU | KLK1 Antibody | Human | ELISA,WB,IHC |
| CSB-PA005798 | KLK1 Antibody | Human | WB, ELISA |
| CSB-PA086611 | KLK1 Antibody | Human | ELISA,IHC |
| CSB-PA248038 | KLK1 Antibody | Human | ELISA,IHC |
KLK1 Proteins
KLK1 Proteins for Mus musculus (Mouse)
| 產品貨號 | 產品名稱 | 來源 |
|---|---|---|
| CSB-YP012446MO CSB-EP012446MO CSB-BP012446MO CSB-MP012446MO CSB-EP012446MO-B |
Recombinant Mouse Kallikrein-1 (Klk1) | Yeast E.coli Baculovirus Mammalian cell In Vivo Biotinylation in E.coli |
KLK1 Proteins for Homo sapiens (Human)
| 產品貨號 | 產品名稱 | 來源 |
|---|---|---|
| CSB-YP012446HU CSB-BP012446HU CSB-MP012446HU CSB-EP012446HU-B |
Recombinant Human Kallikrein-1 (KLK1) | Yeast Baculovirus Mammalian cell In Vivo Biotinylation in E.coli |
| CSB-EP012446HU | Recombinant Human Kallikrein-1 (KLK1) | E.coli |
KLK1 Proteins for Papio hamadryas (Hamadryas baboon)
| 產品貨號 | 產品名稱 | 來源 |
|---|---|---|
| CSB-YP637917ERJ CSB-EP637917ERJ CSB-BP637917ERJ CSB-MP637917ERJ CSB-EP637917ERJ-B |
Recombinant Papio hamadryas Kallikrein-1 (KLK1) | Yeast E.coli Baculovirus Mammalian cell In Vivo Biotinylation in E.coli |
KLK1 Proteins for Blarina brevicauda (Short-tailed shrew)
| 產品貨號 | 產品名稱 | 來源 |
|---|---|---|
| CSB-YP710890BTI CSB-EP710890BTI CSB-BP710890BTI CSB-MP710890BTI CSB-EP710890BTI-B |
Recombinant Blarina brevicauda Blarinasin-1 (KLK1) | Yeast E.coli Baculovirus Mammalian cell In Vivo Biotinylation in E.coli |
KLK1 ELISA Kit
KLK1 ELISA Kit for Homo sapiens (Human)
| 產品貨號 | 產品名稱 | 樣本類型 | 靈敏度 |
|---|---|---|---|
| CSB-E11437h | Human Kallikrein 1,KLK 1 ELISA Kit | serum, plasma, tissue homogenates | 0.195 ng/mL |






