KLK1 Antibody
-
中文名稱:KLK1兔多克隆抗體
-
貨號:CSB-PA086611
-
規格:¥1100
-
圖片:
-
The image on the left is immunohistochemistry of paraffin-embedded Human prostate cancer tissue using CSB-PA086611(KLK1 Antibody) at dilution 1/40, on the right is treated with fusion protein. (Original magnification: ×200)
-
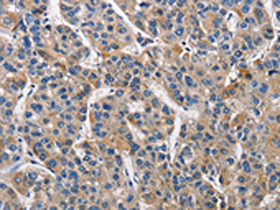
The image on the left is immunohistochemistry of paraffin-embedded Human liver cancer tissue using CSB-PA086611(KLK1 Antibody) at dilution 1/40, on the right is treated with fusion protein. (Original magnification: ×200)
-
-
其他:
產品詳情
-
Uniprot No.:
-
基因名:
-
別名:Glandular kallikrein 1 antibody; hK 1 antibody; hK1 antibody; Kallikrein serine protease 1 antibody; Kallikrein-1 antibody; Kidney/pancreas/salivary gland kallikrein antibody; Klk 6 antibody; KLK1 antibody; KLK1_HUMAN antibody; Klk6 antibody; KLKR antibody; Tissue kallikrein antibody
-
宿主:Rabbit
-
反應種屬:Human
-
免疫原:Fusion protein of Human KLK1
-
免疫原種屬:Homo sapiens (Human)
-
標記方式:Non-conjugated
-
抗體亞型:IgG
-
純化方式:Antigen affinity purification
-
濃度:It differs from different batches. Please contact us to confirm it.
-
保存緩沖液:-20°C, pH7.4 PBS, 0.05% NaN3, 40% Glycerol
-
產品提供形式:Liquid
-
應用范圍:ELISA,IHC
-
推薦稀釋比:
Application Recommended Dilution ELISA 1:1000-1:5000 IHC 1:50-1:200 -
Protocols:
-
儲存條件:Upon receipt, store at -20°C or -80°C. Avoid repeated freeze.
-
貨期:Basically, we can dispatch the products out in 1-3 working days after receiving your orders. Delivery time maybe differs from different purchasing way or location, please kindly consult your local distributors for specific delivery time.
-
用途:For Research Use Only. Not for use in diagnostic or therapeutic procedures.
相關產品
靶點詳情
-
功能:Glandular kallikreins cleave Met-Lys and Arg-Ser bonds in kininogen to release Lys-bradykinin.
-
基因功能參考文獻:
- Our findings suggest that the A2233C polymorphism of KLK1 may be a marker of evaluation of hypertensive subjects' responses to angiotensin I converting enzyme inhibitors benazepril. PMID: 28621557
- Recognition of anti-tumor necrosis factor-alpha (TNF-alpha) or Kallikrein Inhibitor may lead to therapeutics to enhance existing treatments for patients who do not respond to anti-vascular endothelial growth factor (VEGF) therapies. PMID: 27618014
- increasing the serum levels of AngII increased the risk of acute myocardial infarction (AMI); the risk of AMI increased when the serum levels of AngII and KLK1 simultaneously increased; individuals with the combined genotypes of ACE DD and KLK1 GG showed increased risk of AMI compared with those with the combined genotypes of ACE II and KLK1 AA PMID: 27329205
- The rs5516 G allele of KLK1 was significantly associated with aortic aneurysm PMID: 27858843
- KLK1 rs5516 SNP is not related to the incidence of Alzheimer's disease in a Hunan Han Chinese population. PMID: 26884824
- TK promoted cell survival and beta-catenin degradation in serum-starved SH-SY5Y cells via increasing autophagy. PMID: 26677174
- Our findings suggest that higher levels of TK in plasma are associated with the presence of CAD and are a predictor of mild coronary arteriosclerosis. PMID: 24626253
- The kallikrein system in retinal damage/protection PMID: 25448306
- Preclinical characterization of recombinant human tissue kallikrein-1 as a novel treatment for type 2 diabetes mellitus. PMID: 25100328
- Up-regulation of KLK1 in tubular epithelial cells may mediate pro-inflammatory pathway and PAR activation during diabetic nephropathy. PMID: 24586431
- These data do not support a role for the Tissue kallikrein-kinin system, protective or deleterious, in the development of insulin resistance and diabetes. PMID: 24599937
- Tissue kallikrein facilitated the activation of EGFR, ERK1/2 and p38 cascade. Not p38 but ERK1/2 phosphorylation was severely compromised in cells depleted of EGFR. Impairment of signaling of ERK1/2 seemed not to be restricted to EGFR phosphorylation. PMID: 24530396
- allele H is a common polymorphism in Japanese and may contribute to decreased reabsorptions of calcium and sodium in the kidney PMID: 24005896
- Data suggest factor XII binding/autoactivation are increased on surface of hantavirus-infected vascular endothelium; thus, activation of kallikrein-kinin system during hantavirus infection could have profound implications on capillary permeability. PMID: 23874198
- Tissue kallikrein-modified mesenchymal stem cells provide enhanced protection against ischemic cardiac injury after myocardial infarction. PMID: 23697984
- KLK1 promoter polymorphisms are associated with development of AKI and adverse outcomes. Further studies are needed to validate these findings. PMID: 23635481
- Polymorphism of the KLK1 A1789G gene is associated with coronary artery stenosis. PMID: 23765970
- Unexpectedly, elevated KLK1 expression and excretion is found in patients with established or incipient acute kidney injury. PMID: 21679467
- Suggest that a genetic polymorphism in KLK1 may contribute to the risk of developing later stage abdominal aortic aneurysm. PMID: 21571276
- Neither rs5515 nor rs3212855 SNP is associated with cerebral hemorrhage. PMID: 21200088
- Data suggest that lower plasma tissue kallikrein levels are independently associated with first-ever stroke and are an independent predictor of recurrence after an initial stroke. PMID: 21823154
- rs5516 in the KLK1 gene may be involved in the development of essential hypertension. PMID: 20613781
- lung epithelial cells support the assembly and activation of the plasma kallikrein-kinin system by a mechanism dependent on HSP90, and could contribute to KKS-mediated inflammation in lung disease. PMID: 20536386
- Increased expression of hK1 by astrocytes co-localized with GFAP was found, contrasting with kinin B1 and B2 receptors, which were co-localized with NeuN in the sclerotic hippocampus PMID: 21211543
- Tissue kallikrein is essential for invasive capacity of circulating proangiogenic cells. PMID: 21164105
- The results indicate differential signaling pathways mediated by TK in promoting prostate cancer cell migration and invasion via PAR(1) activation, and proliferation via kinin B2 receptor stimulation. PMID: 20482314
- Results suggested that the rs5517 polymorphism was associated with cerebral hemorrhage, while the rs5516 polymorphism was not in Changsha Han Chinese. PMID: 20533273
- KLK1 gene polymorphisms are not associated with lupus nephritis in a Chinese Han population. PMID: 20516044
- Tissue kallikrein levels are increased in type 2 diabetes, and findings do not support a role for the kallikrein-kinin system in mediating the effects of statin therapy on endothelial function. PMID: 20225398
- elevated plasma levels in patients with hereditary angioedema PMID: 20143645
- we propose a model to illustrate how the two enhancers may work to regulate the transcription of PSA and hK2. PMID: 9857240
- Tissue kallikrein KLK1 is expressed de novo in endothelial cells and mediates relaxation of human umbilical veins. PMID: 11727832
- Association of the tissue kallikrein gene promoter with ESRD and hypertension. PMID: 11849458
- Loss-of-function polymorphism of the human kallikrein gene with reduced urinary kallikrein activity. PMID: 11912256
- Kinetic peculiarities of human tissue kallikrein PMID: 11913965
- endothelial cells synthesize and release an active form of tissue kallikrein - kinin generation on the surface may play an important role in maintenance of circulation homeostasis PMID: 12581867
- Diminution of kallikrein biosynthesis in African Americans seems to involve mechanisms at or distal to the aldosterone receptor, and perhaps at the level of the kallikrein gene itself. PMID: 12670744
- essentially unsusceptible to processing by human urinary kallikrein (tissue-type) PMID: 12887060
- that in the airways, monocytes, neutrophils, and alveolar macrophages may contribute to increased TK activity PMID: 14660481
- Sustained hyaluronan depolymerization is expected to cause tissue kallikrein activation, EGF release, and EGFR signaling. PMID: 14988406
- The K allele of KLK1 promoter and TT genotype of TGF-beta1 may be a genetic KLK1 -130 GN and -128 G-C, and the susceptibility factor contributing to progressive renal deterioration in Taiwanese primary vesicoureteric reflux children. PMID: 15086490
- Transduced human tissue kallikrein activated murine Akt-B through Ser-473 phosphorylation providing new information on the pathway involved in hTK-induced neoangiogenesis. PMID: 15364809
- transgenic rats expressing hKLK1 have an impaired renal response to acute volume expansion PMID: 15544850
- kallikrein/kinin protects against cardiomyocyte apoptosis in vivo and in vitro via Akt-Bad.14-3-3 and Akt-GSK-3beta-caspase-3 signaling pathways PMID: 15611141
- analysis of peptide inhibitor/substrate binding to human apo kallikrein 1 PMID: 15651049
- Induction of KLK1 in carotid arteriosclerosis does not lead to kallikrein-kinins pathway activation. PMID: 15662224
- Data describe the vascular, hormonal, and renal phenotypes of carriers of the loss-of-function polymorphism of the human tissue kallikrein gene. PMID: 15765151
- Gene delivery protects against rat diabetic cardiomyopathy by improving cardiac function and promoting glucose utilization and lipid metabo PMID: 15855348
- There are polymorphisms in regulatory region of human tissue kallikrein gene in Chinese Han people. Differences in both allele and genotype frequencies show association of hypertension with polymorphisms. PMID: 15905889
- the the kallikrein-kinin system has roles in intramyocardial inflammation, endothelial dysfunction and oxidative stress in diabetic cardiomyopathy PMID: 16129698
顯示更多
收起更多
-
蛋白家族:Peptidase S1 family, Kallikrein subfamily
-
組織特異性:Isoform 2 is expressed in pancreas, salivary glands, kidney, colon, prostate gland, testis, spleen and the colon adenocarcinoma cell line T84.
-
數據庫鏈接:
Most popular with customers
-
-
Phospho-YAP1 (S127) Recombinant Monoclonal Antibody
Applications: ELISA, WB, IHC
Species Reactivity: Human
-
-
-
-
-
-















