ITGB3
ITGB3,即整合素β3亞單位,別名GT、GT2、CD61、GP3A、BDPLT2、GPIIIa、BDPLT16、BDPLT24等。ITGB3基因位于人類17號染色體上,編碼的蛋白質是整聯蛋白的一個亞單位,與α亞單位結合形成整聯蛋白,參與細胞粘附、遷移、分化和信號傳導。整聯蛋白通過與細胞外基質的相互作用介導細胞與細胞外環境的聯系,ITGB3在血小板中與αIIb鏈結合,形成αIIbβ3整聯蛋白,參與血液凝固過程。此外,ITGB3的表達異常與多種疾病的發生發展相關,包括血栓性疾病、腫瘤的轉移和侵襲等,是研究這些疾病的潛在靶點和生物標志物。
熱銷產品
ITGB3 Antibody (CSB-PA011885ESR1HU)
驗證數據
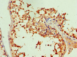
Immunohistochemistry of paraffin-embedded human testis tissue using CSB-PA011885ESR1HU at dilution of 1:100
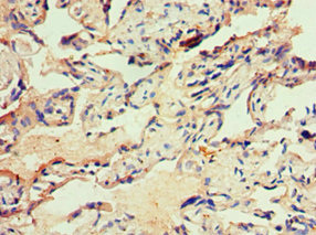
Immunohistochemistry of paraffin-embedded human placenta tissue using CSB-PA011885ESR1HU at dilution of 1:100
Human Integrin beta-3(ITGB3) ELISA kit (CSB-EL011885HU)
驗證數據
貨號:CSB-EL011885HU
規格:96T/48T
靈敏度:31.25 pg/mL
檢測范圍:125 pg/mL-8000 pg/mL
These standard curves are provided for demonstration only. A standard curve should be generated for each set of samples assayed.
ITGB3 Antibodies
ITGB3 for Homo sapiens (Human)
| 產品貨號 | 產品名稱 | 種屬反應性 | 應用類型 |
|---|---|---|---|
| CSB-PA011885GA01HU | ITGB3 Antibody | Human,Mouse,Rat | ELISA,WB,IHC |
| CSB-PA011885ESR1HU | ITGB3 Antibody | Human | ELISA, IHC |
| CSB-PA580088 | Phospho-ITGB3 (Tyr773) Antibody | Human,Mouse | ELISA,WB,IHC |
| CSB-PA065810 | Phospho-ITGB3 (Tyr785) Antibody | Human,Mouse | ELISA,WB |
| CSB-PA243664 | ITGB3 (Ab-773) Antibody | Human,Mouse | ELISA,WB,IHC |
| CSB-PA226353 | ITGB3 (Ab-785) Antibody | Human,Mouse | ELISA,WB |
| CSB-PA000663 | Phospho-ITGB3 (Y785) Antibody | Human,Mouse,Rat | WB, ELISA |
| CSB-PA003048 | ITGB3 Antibody | Human,Mouse,Rat | WB, IHC, ELISA |
| CSB-PA003049 | ITGB3 Antibody | Human,Mouse | WB, IHC, ELISA |
| CSB-PA006201 | ITGB3 Antibody | Human | WB, ELISA |
| CSB-PA011273 | Phospho-ITGB3 (Y773) Antibody | Human,Mouse,Rat | WB, IHC, ELISA |
| CSB-PA219130 | ITGB3 Antibody | Human,Mouse | ELISA,WB,IHC |
| CSB-PA089157 | ITGB3 Antibody | Human,Mouse | ELISA,WB,IHC |
ITGB3 Proteins
ITGB3 Proteins for Homo sapiens (Human)
| 產品貨號 | 產品名稱 | 來源 |
|---|---|---|
| CSB-YP011885HU1 CSB-EP011885HU1 CSB-BP011885HU1 CSB-MP011885HU1 CSB-EP011885HU1-B |
Recombinant Human Integrin beta-3 (ITGB3), partial | Yeast E.coli Baculovirus Mammalian cell In Vivo Biotinylation in E.coli |
| CSB-CF011885HU | Recombinant Human Integrin beta-3 (ITGB3) | in vitro E.coli expression system |
ITGB3 Proteins for Mus musculus (Mouse)
| 產品貨號 | 產品名稱 | 來源 |
|---|---|---|
| CSB-YP011885MO1 CSB-EP011885MO1 CSB-BP011885MO1 CSB-MP011885MO1 CSB-EP011885MO1-B |
Recombinant Mouse Integrin beta-3 (Itgb3), partial | Yeast E.coli Baculovirus Mammalian cell In Vivo Biotinylation in E.coli |
| CSB-CF011885MO | Recombinant Mouse Integrin beta-3 (Itgb3) | in vitro E.coli expression system |
ITGB3 ELISA Kit
ITGB3 ELISA Kit for Homo sapiens (Human)
| 產品貨號 | 產品名稱 | 樣本類型 | 靈敏度 |
|---|---|---|---|
| CSB-EL011885HU | Human Integrin beta-3(ITGB3) ELISA kit | serum, plasma, tissue homogenates, cell lysates | 31.25 pg/mL |






