Phospho-ITGB3 (Tyr773) Antibody
-
中文名稱:磷酸化-ITGB3 (Tyr773)兔多克隆抗體
-
貨號:CSB-PA580088
-
規格:¥2454
-
圖片:
-
Western blot analysis of extracts from 293 cells using Integrin b3(Phospho-Tyr773) Antibody and the same antibody preincubated with blocking peptide.
-
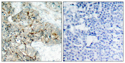
Immunohistochemical analysis of paraffin-embedded human breast carcinoma tissue using Integrin b3(Phospho-Tyr773) Antibody(left) or the same antibody preincubated with blocking peptide(right).
-
-
其他:
產品詳情
-
產品名稱:Rabbit anti-Homo sapiens (Human) ITGB3 Polyclonal antibody
-
Uniprot No.:
-
基因名:
-
別名:ITGB3; GP3A; Integrin beta-3; Platelet membrane glycoprotein IIIa; GPIIIa; CD antigen CD61
-
宿主:Rabbit
-
反應種屬:Human,Mouse
-
免疫原:Peptide sequence around phosphorylation site of tyrosine 773 (P-L-Y(p)-K-E) derived from Human Integrin b3.
-
免疫原種屬:Homo sapiens (Human)
-
克隆類型:Polyclonal
-
純化方式:Antibodies were produced by immunizing rabbits with synthetic phosphopeptide and KLH conjugates. Antibodies were purified by affinity-chromatography using epitope-specific phosphopeptide. Non-phospho specific antibodies were removed by chromatogramphy usi
-
濃度:It differs from different batches. Please contact us to confirm it.
-
產品提供形式:Liquid
-
應用范圍:ELISA,WB,IHC
-
推薦稀釋比:
Application Recommended Dilution WB 1:500-1:1000 IHC 1:50-1:100 -
Protocols:
-
儲存條件:Upon receipt, store at -20°C or -80°C. Avoid repeated freeze.
-
貨期:Basically, we can dispatch the products out in 1-3 working days after receiving your orders. Delivery time maybe differs from different purchasing way or location, please kindly consult your local distributors for specific delivery time.
-
用途:For Research Use Only. Not for use in diagnostic or therapeutic procedures.
相關產品
靶點詳情
-
功能:Integrin alpha-V/beta-3 (ITGAV:ITGB3) is a receptor for cytotactin, fibronectin, laminin, matrix metalloproteinase-2, osteopontin, osteomodulin, prothrombin, thrombospondin, vitronectin and von Willebrand factor. Integrin alpha-IIb/beta-3 (ITGA2B:ITGB3) is a receptor for fibronectin, fibrinogen, plasminogen, prothrombin, thrombospondin and vitronectin. Integrins alpha-IIb/beta-3 and alpha-V/beta-3 recognize the sequence R-G-D in a wide array of ligands. Integrin alpha-IIb/beta-3 recognizes the sequence H-H-L-G-G-G-A-K-Q-A-G-D-V in fibrinogen gamma chain. Following activation integrin alpha-IIb/beta-3 brings about platelet/platelet interaction through binding of soluble fibrinogen. This step leads to rapid platelet aggregation which physically plugs ruptured endothelial surface. Fibrinogen binding enhances SELP expression in activated platelets. ITGAV:ITGB3 binds to fractalkine (CX3CL1) and acts as its coreceptor in CX3CR1-dependent fractalkine signaling. ITGAV:ITGB3 binds to NRG1 (via EGF domain) and this binding is essential for NRG1-ERBB signaling. ITGAV:ITGB3 binds to FGF1 and this binding is essential for FGF1 signaling. ITGAV:ITGB3 binds to FGF2 and this binding is essential for FGF2 signaling. ITGAV:ITGB3 binds to IGF1 and this binding is essential for IGF1 signaling. ITGAV:ITGB3 binds to IGF2 and this binding is essential for IGF2 signaling. ITGAV:ITGB3 binds to IL1B and this binding is essential for IL1B signaling. ITGAV:ITGB3 binds to PLA2G2A via a site (site 2) which is distinct from the classical ligand-binding site (site 1) and this induces integrin conformational changes and enhanced ligand binding to site 1. ITGAV:ITGB3 acts as a receptor for fibrillin-1 (FBN1) and mediates R-G-D-dependent cell adhesion to FBN1. In brain, plays a role in synaptic transmission and plasticity. Involved in the regulation of the serotonin neurotransmission, is required to localize to specific compartments within the synapse the serotonin receptor SLC6A4 and for an appropriate reuptake of serotonin. Controls excitatory synaptic strength by regulating GRIA2-containing AMPAR endocytosis, which affects AMPAR abundance and composition. ITGAV:ITGB3 act as a receptor for CD40LG.; (Microbial infection) Integrin ITGAV:ITGB3 acts as a receptor for Herpes virus 8/HHV-8.; (Microbial infection) Integrin ITGAV:ITGB3 acts as a receptor for Coxsackievirus A9.; (Microbial infection) Acts as a receptor for Hantaan virus.; (Microbial infection) Integrin ITGAV:ITGB3 acts as a receptor for Cytomegalovirus/HHV-5.; (Microbial infection) Integrin ITGA5:ITGB3 acts as a receptor for Human metapneumovirus.; (Microbial infection) Integrin ITGAV:ITGB3 acts aP05556s a receptor for Human parechovirus 1.; (Microbial infection) Integrin ITGAV:ITGB3 acts as a receptor for West nile virus.; (Microbial infection) In case of HIV-1 infection, the interaction with extracellular viral Tat protein seems to enhance angiogenesis in Kaposi's sarcoma lesions.
-
基因功能參考文獻:
- ApoA-IV is a novel ligand of platelet GPIIB IIIA integrin PMID: 30190457
- The analysis of the effect of the individual SNPs(PON1, IL-6, ITGB3, and ALDH2 ) and GRS groups on different lipid profile parameters revealed no significant association of any of the tested SNPs with any lipid parameter, however, the GRS groups showed marginally significant for TC and highly significant association for TG, LDL-c and HDL-c PMID: 30261890
- The adenosine deaminase RNA-specific binding protein (ADAR1)-dependent and RNA-editing-independent regulation of invasion, mediated by Integrin beta3 (ITGB3) suggests a central involvement of ADAR1 in cancer progression and metastasis. PMID: 29855470
- This study shows that Leu33Pro polymorphism of integrin beta 3 modulates platelet Src pY418 and focal adhesion kinase pY397 phosphorylation in response to abnormally high shear stress. Whereas physiological shear stress does not affect platelet signaling, abnormally high-shear stress considerably elevates Src and FAK phosphorylation in both Pro33 and Leu33 platelets. PMID: 29965811
- ITGB3 gene mutations associated with Glanzmann thrombasthenia (Review) PMID: 29125375
- Autonomous conformational regulation of beta3 integrin and the conformation-dependent property of HPA-1a alloantibodies. PMID: 30209215
- The results showed a significant upregulation of ECM1 and ITGB3, and a significant downregulation for FBLN5 in pelvic organ prolapse patients. PMID: 29729708
- We discovered an infection mechanism that requires HS and EphA2 but is independent of alphaV- and beta1-family integrin expression. PMID: 29899108
- ITGB3 is the mainly affected gene impaired in the patients with Glanzmann's thrombasthenia. GPIIb/IIIa complex was disrupted due to mutations in all type-I Glanzmann's thrombasthenia patients PMID: 29084015
- Cancer-associated fibroblasts and CD61+ expression were found to be good negative prognosis factors for invasive breast cancer patients. PMID: 28935175
- Carriage of genetic variant rs5918(C) polymorphism in ITGB3 gene in women contributes to higher risk of single and recurrent DVT events at younger age. PMID: 26739544
- Type I Glanzmann thrombasthenia (GT)was found most common in our patients and with lowered mean CD41 expression in comparison with CD61. Type III GT patients had significantly lower numbers of severe bleeders, but the severity of bleeding did not vary significantly in type I and II GT patients. PMID: 28948953
- The expression of H19 lncRNA and integrin beta3 protein were down-regulated in the RIF [repeated implantation failure] patients. PMID: 28791461
- Data suggest that genetic deletion in ITGB3 [p.T720del] can result in autosomal dominant macrothrombocytopenia with platelet aggregation dysfunction; this study was conducted in a womand and her sons in Japan. [CASE REPORT] PMID: 29380037
- more pronounced level of platelet activation was found in polymorphism carriers. In conclusion, the carriage of PlA2 allele modulates the activation state, morphology, and membrane elasticity of platelets. PMID: 28081621
- ITGbeta3 and CD44 expression levels determine whether OPN-a inhibits or enhances growth in lung cancer cells. PMID: 27487131
- GpIIIa gene polymorphism was associated with early onset coronary artery disease and increased risk of myocardial infarction. PMID: 27805237
- No genetic abnormalities identified in alpha2IIb and beta3: phenotype overcomes genotype in Glanzmann thrombasthenia PMID: 27808476
- ITGB3 (integrin beta 3 or beta3) is regulated by the Polycomb protein CBX7. PMID: 28273461
- Integrin-beta3 is the major driver for fibronectin assembly in cancer-associated fibroblasts, as its inhibition abrogates CAF mediated cancer cell invasion. PMID: 28931556
- our finding that CD61 is conservative in defining HECs both in vitro for hPSC differentiation and in vivo for mouse embryo provides valuable information on how to define and access the bipotent HECs. PMID: 27746115
- The mechanism of resistance of tongue squamous carcinoma cells Cal27 with de novo integrin alphavbeta3 expression to anticancer drugs was studied. In Cal27 cells integrin alphav heterodimers signal through pSrc(Y418) while this is not the case in integrin alphavbeta3-expressing cells. Overexpression of integrin subunit beta3 gene in Cal27 cells leads to the de novo expression of integrin alphavbeta3 and increased expre... PMID: 27108184
- These findings bring attention to the effects of C-terminal carboxylmethylation on RAB GTPases and provide a rationale for targeting ICMT in the treatment of metastatic cancer PMID: 28604748
- From these data, we suggest that filamentous vimentin underneath the plasma membrane is involved in increasing integrin adhesiveness, and thus regulation of the vimentin-integrin interaction might control cell adhesion PMID: 27044755
- Data suggest that talin increases embedding of integrin-beta-3 (ITGB3) transmembrane domain into lipid bilayer, resulting in activation of integrin-alpha-IIb beta-3 (ITGA2B/ITGB3); phyto-antioxidant EGCG (epigallocatechin gallate) decreases this embedding, thus opposing talin-induced integrin activation. However, EGCG activates ITGA2B/ITGB3 in the absence of talin both in a purified system and in CHO cells. PMID: 28487468
- Recombinant platelet membrane glycoprotein IIIa (GPa) was successfully obtained and used to establish a Luminex technology-based method for the detection of HPA-1a-specific antibodies. PMID: 28186591
- In contrast to HLA-DRB4*01:01P, the inheritance of HLA-DRB3*01:01 is strongly associated with the propensity for mounting a humoral immune response against fetal HPA-1a antigen. PMID: 28019029
- These results identify beta3 integrin signaling via repression of BAD as an important survival pathway used by breast cancer cells to evade chemotherapy induced stress. PMID: 27235542
- Low ITGB3 expression is associated with ovarian cancer. PMID: 27633757
- ITGB3 expression is significantly upregulated in human masticatory mucosa during wound healing PMID: 28005267
- Early neurological deterioration (END) occurred significantly more frequently in patients with aspirin resistance (AR) or high-risk interactive genotypes. Moreover, AR and high-risk interactive genotypes were independently associated with END. PMID: 28068952
- Suggest that ERK1/2 plays an important role in mediating non-canonical TGFbeta signal pathways for integrin beta3 expression in mesenchymal tumor cells. PMID: 27085460
- Recently, new clinical observations of genetic diseases provided evidence bringing new data on the role of alphaIIbbeta3 integrin in defective megakaryopoiesis.[review] PMID: 27011248
- MiR-30a-5p suppresses tumor metastasis of human colorectal cancer by targeting ITGB3. PMID: 27576787
- GPIIIa polymorphism was not associated with poor responsiveness to clopidogrel in coronary heart disease patients of Han ethnicity. PMID: 27488401
- study identified the rs3809865 A/A genotype as an independent risk factor for venous thromboembolism in colorectal cancer patients PMID: 26440977
- beta3 integrin downregulation by miR-30a-5p modulates cell adhesion and invasion by interrupting Erk/Ets1 network in triple-negative breast cancer PMID: 26781040
- Data show that integrin beta3 and serine/threonine-protein kinase LKB1 are involved in the inhibition of proliferation by lovastatin independently. PMID: 26517522
- EGFRvIII/integrin beta3 interaction in hypoxic and vitronectinenriching microenvironment promote Glioblastoma progression and metastasis. PMID: 26717039
- There are no relationships between glycoprotein IIIa P1A1/A2 polymorphism, aspirin resistance and development of atherothrombotic stroke. PMID: 26809135
- T4, but not T3, controls integrin's outside-in signaling by phosphorylating tyrosine 759 in the beta3 subunit. ERK-mediated transcription regulation of the b3 monomer is regulated by T3 and T4which are alphavbeta3-ligands driving ovarian cancer cell proliferation . PMID: 26165836
- Our data provide evidence that ADAM23 plays a role in suppression of cancer cell progression through interaction with aVb3 integrin, and suggest that downregulation of ADAM23 in SP cells may contribute toward providing a cancer stem cell phenotype PMID: 26800504
- Up-regulation of integrin beta3 is associated with endometrial cancer. PMID: 26384307
- CD61-overexpressing human umbilical cord mesenchymal stem cell, which had turned into primordial germ-like cells-like cells, could be further differentiated into male germ-like cells. PMID: 26840189
- The frequencies of the rare alleles of CCR2, ITGB3, and 3'UTR of c-fms in the Old Believers are lower than in the sample of Novosibirsk Russians, and the rare allele of DBH is more frequent PMID: 27239844
- results demonstrate that beta3 integrin expression depends on the source of the fibroblast and that its expression inhibits alphaSMA expression (and thus the myofibroblast phenotype). PMID: 25926101
- 33Leu --> Pro substitution of GPIIIa does not influence the prevalence and extent of angiographically defined coronary artery disease in general population, although apparently playing a role among younger patients. PMID: 25167197
- ITGB3 expression increased with matrix rigidity. Blocking Ibeta3 reduced Gli2 and PTHrP expression. Ibeta3 co-localized with TGF-beta RII on rigid but not compliant films. PMID: 26115412
- ITGB3 c.1476G>A mutation decrease the transcription level and affect GPIIIa synthesis and CD61 antigen expression. PMID: 26829726
- GpIIIa 1565T/C and homozygous MTHFR 677C/T polymorphisms were higher in DVT patients compared with the control group (OR=6.65, 95% CI=3.09-14.30 and OR=4.08, 95% CI=1.35-12.38, respectively). PMID: 26261166
顯示更多
收起更多
-
相關疾?。?/div>Glanzmann thrombasthenia (GT); Bleeding disorder, platelet-type 16 (BDPLT16)亞細胞定位:Cell membrane; Single-pass type I membrane protein. Cell projection, lamellipodium membrane. Cell junction, focal adhesion. Cell junction, synapse, postsynaptic cell membrane; Single-pass type I membrane protein. Cell junction, synapse.蛋白家族:Integrin beta chain family組織特異性:Isoform beta-3A and isoform beta-3C are widely expressed. Isoform beta-3A is specifically expressed in osteoblast cells; isoform beta-3C is specifically expressed in prostate and testis.數據庫鏈接:
Most popular with customers
-
-
YWHAB Recombinant Monoclonal Antibody
Applications: ELISA, WB, IHC, IF, FC
Species Reactivity: Human, Mouse, Rat
-
Phospho-YAP1 (S127) Recombinant Monoclonal Antibody
Applications: ELISA, WB, IHC
Species Reactivity: Human
-
-
-
-
-















