HGF Antibody
-
中文名稱:HGF兔多克隆抗體
-
貨號:CSB-PA221214
-
規格:¥1100
-
圖片:
-
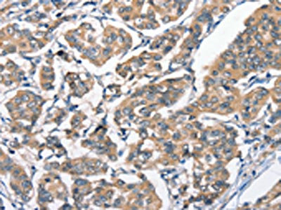
The image on the left is immunohistochemistry of paraffin-embedded Human thyroid cancer tissue using CSB-PA221214(HGF Antibody) at dilution 1/65, on the right is treated with fusion protein. (Original magnification: ×200)
-
The image on the left is immunohistochemistry of paraffin-embedded Human breast cancer tissue using CSB-PA221214(HGF Antibody) at dilution 1/65, on the right is treated with fusion protein. (Original magnification: ×200)
-
-
其他:
產品詳情
-
Uniprot No.:
-
基因名:
-
別名:DFNB39 antibody; F TCF antibody; Fibroblast derived tumor cytotoxic factor antibody; Hepatocyte growth factor (hepapoietin A; scatter factor) antibody; Hepatocyte growth factor antibody; Hepatocyte growth factor beta chain antibody; Hepatocyte growth factor precursor antibody; Hepatopoietin A antibody; Hepatopoietin-A antibody; Hgf antibody; HGF_HUMAN antibody; HGFB antibody; HPTA antibody; Lung fibroblast derived mitogen antibody; OTTHUMP00000161349 antibody; OTTHUMP00000206710 antibody; OTTHUMP00000206711 antibody; OTTHUMP00000206712 antibody; OTTHUMP00000206713 antibody; OTTHUMP00000206730 antibody; Scatter factor antibody; SF antibody
-
宿主:Rabbit
-
反應種屬:Human,Mouse,Rat
-
免疫原:Fusion protein of Human HGF
-
免疫原種屬:Homo sapiens (Human)
-
標記方式:Non-conjugated
-
抗體亞型:IgG
-
純化方式:Antigen affinity purification
-
濃度:It differs from different batches. Please contact us to confirm it.
-
保存緩沖液:-20°C, pH7.4 PBS, 0.05% NaN3, 40% Glycerol
-
產品提供形式:Liquid
-
應用范圍:ELISA,IHC
-
推薦稀釋比:
Application Recommended Dilution ELISA 1:2000-1:5000 IHC 1:50-1:200 -
Protocols:
-
儲存條件:Upon receipt, store at -20°C or -80°C. Avoid repeated freeze.
-
貨期:Basically, we can dispatch the products out in 1-3 working days after receiving your orders. Delivery time maybe differs from different purchasing way or location, please kindly consult your local distributors for specific delivery time.
-
用途:For Research Use Only. Not for use in diagnostic or therapeutic procedures.
相關產品
靶點詳情
-
功能:Potent mitogen for mature parenchymal hepatocyte cells, seems to be a hepatotrophic factor, and acts as a growth factor for a broad spectrum of tissues and cell types. Activating ligand for the receptor tyrosine kinase MET by binding to it and promoting its dimerization.
-
基因功能參考文獻:
- miR-449a suppresses hepatocellular carcinoma tumorigenesis by down-regulating activity in the c-Met/ERK pathway. PMID: 30108016
- widely stained in sclerosing stromal tumours of the ovary PMID: 29433373
- This novel study, in HIV-positive, preeclampsia, and normotensive pregnancies, demonstrates that HGF was two-fold higher in conducting compared to exchange villi irrespective of the pregnancy type. HIV infection does not influence HGF expression within the conducting and exchange villi. PMID: 29886319
- CAFderived HGF promotes angiogenesis. PMID: 29917165
- These results suggest that gastric cancer progression is not associated with a unique signaling pathway and that a feedback loop may exist between the HGF/c-Met and Notch1 signaling pathways, which may result in therapeutic resistance. PMID: 29781036
- a higher HGF serum level during hemodialysis treatment is associated with a slower loss of residual renal function PMID: 29227979
- prolonged treatment of single HGF/c-Met or Hh inhibitor leads to resistance to these single inhibitors, likely because the single c-Met treatment leads to enhanced expression of Shh, and vice versa. Targeting both the HGF/c-Met and Hh pathways simultaneously overcame the resistance to the single-inhibitor treatment and led to a more potent antitumor effect in combination with the chemotherapy treatment. PMID: 28864680
- TGF-beta negatively controls the HGF/c-MET pathway by regulating of stemness in glioblastoma. PMID: 29238047
- Reduction of fibroblast size upregulates HGF expression, which in turn contributes to loss of collagen, a prominent feature of aged skin. PMID: 28826691
- Results of our present study suggest that both IL-6 and HGF derived from Cancer-associated fibroblasts (CAFs)could contribute to the intratumoral androgen metabolism in ER-negative breast carcinoma patients. PMID: 28831645
- Hepatocyte growth factor as cardiovascular hormone: role of HGF in the pathogenesis of cardiovascular disease. Review. PMID: 12201209
- this study shows that decidual NK cells facilitate the interaction between trophoblastic and endothelial cells via VEGF-C and HGF PMID: 28653669
- We identify HGF, acting through the c-Met receptor, as the key polarity-inducing morphogen, which acts to activate b1-integrin-dependent adhesion. HGF and ECM-derived integrin signals co-operate via a c-Src-dependent inhibition of the RhoA-ROCK1 signalling pathway via p190A RhoGAP. PMID: 28888686
- High glucose activated Met receptor in HK2 cells independently of HGF, via induction of integrin a5b1 and downstream signaling. This mode of Met activation was associated with tubular cell damage and apoptosis and it may represent a novel pathogenic mechanism and a treatment target in diabetic nephropathy. PMID: 28819999
- results show that HGF was involved in regulating Chk1 phosphorylation, and further demonstrate that AKT activity was responsible for this HGF-induced Chk1 phosphorylation. PMID: 28573382
- Lymph node metastasis is strongly associated with expression status of HGF and CD133 at the deep invasive front, suggesting the usefulness of these proteins as independent predictive markers of lymph node metastasis in early gastric cancer. PMID: 28595915
- EGF-mediated lysosome trafficking, protease secretion, and invasion is regulated by the activity of p38 mitogen activated protein kinase (MAPK) and sodium hydrogen exchangers (NHEs). Interestingly, EGF stimulates anterograde lysosome trafficking through a different mechanism than previously reported for HGF, suggesting that there are redundant signaling pathways that control lysosome positioning PMID: 28978320
- HGF/c-MET pathway mediates VEGFR inhibitor resistance and vascular remodeling in NSCLC. PMID: 28559461
- We also propose that full-length HGF and HGF-NK1 convey desirable wound healing properties, whilst fibroblasts preferentially expressing more HGF-NK2 readily undergo TGF-beta-driven differentiation into myofibroblasts. PMID: 28837064
- In conclusion, these findings indicate that CMs derived from primary culture of NPC fractions of BA liver contain a large amount of active HGF, which may activate hepatic stem/progenitor cells and promote the appearance of hepatocyte-like cells or their clusters through HGF/c-Met signaling. PMID: 28364348
- Oxidative stress contributes to HGF-dependent pro-senescence activity of ovarian cancer cells. PMID: 28652056
- These results hold promise that dual targeting of HGF and MET by combining extracellular ligand inhibitors with intracellular MET TKIs could be an effective intervention strategy for cancer patients who have acquired resistance that is dependent on total MET protein. PMID: 28341789
- cabozantinib suppressed MMP1 expression by blocking HGF-MET signaling and that HGF-MET-MMP1 signaling is involved in the invasiveness and proliferation of BCa cells. These results suggest that cabozantinib might prove useful for future treatment of muscle-invasive BCa. PMID: 28013036
- The results suggested that HGF may inhibit TEMT by inhibiting AngII through the JAK2/STAT3 signaling pathway in HK2 cells and HGF may prevent apoptosis induced by AngII. The present study provides a basis for understanding the mechanisms involved in the inhibition of TEMT by HGF, which requires further investigation PMID: 28447719
- The identification of novel small-molecule inhibitors of microtubule polymerization highlights the role of the microtubule cytoskeleton in HGF-induced epithelial scattering. PMID: 27245142
- miRNA-200a expression was inverse correlation with HGF expression in stromal fibroblasts. High miRNA-200a and low HGF expression in stromal fibroblasts may predict a good prognosis in patients with non-small cell lung cancer. PMID: 27374174
- Activation of proHGF by St14 induces mouse embryonic stem cell differentiation. PMID: 27316827
- Study shows that Met and HGF have a multi-factorial relationship to the biology and outcome of breast cancer, influenced by gene copy number and protein expression, activation status, stromal environment, and cellular localisation. PMID: 27175600
- These results reveal the effect of HGF on the distinct pathways of eosinophil secretory functions and also provide novel insights into the role of HGF in the pathogenesis of allergic inflammation. PMID: 27552115
- The hepatocyte growth factor (HGF)-MET receptor tyrosine kinase signaling pathway PMID: 26822708
- MiRNA199a-3p suppresses tumor growth, migration, invasion and angiogenesis in hepatocellular carcinoma by targeting VEGFA, VEGFR1, VEGFR2, HGF and MMP2 PMID: 28358369
- High HGF expression is associated with castration-resistant progression in androgen dependent metastatic prostate cancer. PMID: 27599544
- miR-26a/mir-26b could suppress tumorigenesis and angiogenesis by targeting the HGF-VEGF axis, and could serve as a potential treatment modality for targeted therapy in the clinical treatment of gastric cancer. PMID: 28738343
- Which control critical events for colonization such as HGF/Met axis and Wwox, as therapy of bone metastasis. PMID: 28151481
- Data suggest that HGF, IL-20, and IL-22 in the serum and bronchoalveolar lavage fluid (BALF) of non-small cell lung cancer (NSCLC) patients before chemotherapy may be a prognostic of cancer progression. PMID: 27573644
- Studies indicate that the over-expression of hepatocyte growth factor (HGF) is valuable in colorectal cancer (CRC) prognosis. PMID: 28423584
- These results establish HGF/C-Met as a central organizing signal in blood vessel-directed tumor cell migration in vivo and highlight a promising role for C-Met inhibitors in blocking tumor cell streaming and metastasis in vivo, and for use in human trials. PMID: 27893712
- Furthermore, activation of HGF/Met signaling increased the expression and transcriptional activity of FOXM1, and the cross talk between FOXM1 and HGF/Met signaling promoted pancreatic ductal adenocarcinoma (PDA)growth and resistance to Met inhibition PMID: 26876216
- These data suggest that paxillin appears to influence major cell functions in a diverse range of prostate and breast cancer models. The responsiveness of cells to environmental factors such as HGF or BME may be influenced by paxillin status, although this seems to be dependent on cell type PMID: 28739717
- Fibronectin and Hepatocyte Growth Factor were shown to be produced by lung fibroblasts and, furthermore, to enhance malignant pleural mesothelioma cell migration and invasion PMID: 28476806
- Glioblastoma patients with high expression of hepatocyte growth factor or unmethylated O(6)-methylguanine-DNA methyltransferase may benefit from onartuzumab plus bevacizumab chemotherapy. PMID: 27918718
- Plasma levels of HGF in PAH patients with mild disease were significantly higher than those in healthy controls, suggesting that plasma HGF has potential utility as a diagnostic biomarker for early PAH. PMID: 27342109
- Blood HGF was significantly higher in chronic hepatitis C patients with liver fibrosis compared to those without fibrosis. PMID: 27930387
- In summary, a decrease in VEGF-A and an increase in sVEGFR1 during chemotherapy and bevacizumab exposure can contribute to both chemotherapy (due to c-MET/b-catenin activation) and bevacizumab (due to low VEGF requirements) resistance. Because HGF levels decrease also during acquired resistance, alternative strategies to HGF-ligand inhibition should be investigated PMID: 28621236
- We found the roles of hepatocyte growth factor (HGF) signaling in stria vascularis development for the first time and that lack of HGF signaling in the inner ear leads to profound hearing loss in the mouse. Our findings reveal a novel mechanism that may underlie human deafness DFNB39 and DFNB97. Our findings reveal an additional example of context-dependent c-MET signaling diversity, required here for proper cellular inva PMID: 27488639
- Either upregulating miR-182 in retinal pigment epithelial cells or downregulating c-Met expression reduced HGF/SF-induced rises in both retinal pigment epithelial cells proliferation and chemotaxis through declines in Akt activation. PMID: 27936146
- Enzyme-linked immunosorbent assay was used to detect the levels of chemokine (C-X-C motif) ligand 12, chemokine (C-X-C motif) ligand 7, hepatocyte growth factor, and fibroblast growth factor 1 in the supernatants of the laryngeal squamous cell carcinoma and control cells. PMID: 28475003
- Potential immune markers, including interleukin 1 receptor antagonist, interferon gamma-inducible protein 10, hepatocyte growth factor, soluble p75 tumor necrosis factor alpha receptor, vascular cell adhesion molecule 1, and matrix metalloproteinase 2, were significantly associated with significant plasma leakage during Dengue virus infection. PMID: 28077582
- Results indicated that HGF may promote angiogenesis by not only increasing the expression of VEGF but also by decreasing the expression of an angiostatic chemokine, CXCL10 in keratinocytes. PMID: 27718226
- overexpression of HGF resulted in resistance to c-MET tyrosine kinase inhibitors through an autocrine manner in gastric cancer cells PMID: 28314274
顯示更多
收起更多
-
相關疾?。?/div>Deafness, autosomal recessive, 39 (DFNB39)蛋白家族:Peptidase S1 family, Plasminogen subfamily數據庫鏈接:
Most popular with customers
-
-
YWHAB Recombinant Monoclonal Antibody
Applications: ELISA, WB, IHC, IF, FC
Species Reactivity: Human, Mouse, Rat
-
Phospho-YAP1 (S127) Recombinant Monoclonal Antibody
Applications: ELISA, WB, IHC
Species Reactivity: Human
-
-
-
-
-















