GSK3B
GSK3B,全稱為Glycogen synthase kinase-3 beta,是一種廣泛存在于哺乳動物細胞中的絲氨酸/蘇氨酸蛋白激酶。該蛋白在細胞內發揮著多種生物學功能,包括調節細胞分化、胚胎發育、炎癥反應和細胞周期等。GSK3B通過磷酸化多種底物蛋白來調控這些過程,其常見的底物包括微管相關蛋白Tau、β-連環蛋白和環磷酸腺苷等。此外,GSK3B的活性也受到多種激酶的調控,例如蛋白激酶C和蛋白激酶A等。
GSK3B與多種疾病密切相關,其中最著名的是阿爾茨海默病。在阿爾茨海默病患者的大腦中,GSK3B的表達水平升高,且其活性增強,這導致了Aβ異常聚集、Tau蛋白過度磷酸化、神經細胞凋亡和炎癥反應等病理過程。因此,GSK3B被認為是治療阿爾茨海默病的重要靶點。目前,已有多種GSK3B抑制劑被研發出來,如靛玉紅、鋰鹽等,這些抑制劑能夠有效降低GSK3B的活性,從而改善阿爾茨海默病的癥狀。此外,GSK3B在其他疾病中也發揮著重要作用,如腫瘤、炎癥和神經系統疾病等。針對GSK3B的藥物研發仍在進行中,未來有望為這些疾病的治療提供新的策略。
熱銷產品
Recombinant Human Glycogen synthase kinase-3 beta (GSK3B) (CSB-EP009963HUe2)
驗證數據
(Tris-Glycine gel) Discontinuous SDS-PAGE (reduced) with 5% enrichment gel and 15% separation gel.
GSK3B Recombinant Monoclonal Antibody (CSB-RA216259A0HU)
驗證數據
Western Blot
Positive WB detected in: Hela whole cell lysate, HepG2 whole cell lysate, A549 whole cell lysate, 293 whole cell lysate
All lanes: GSK3 beta Antibody at 1:1000
Secondary
Goat polyclonal to rabbit IgG at 1/50000 dilution
Predicted band size: 47, 49 kDa
Observed band size: 47 kDa
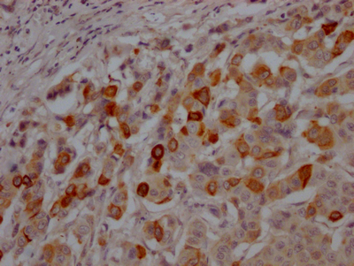
IHC image of CSB-RA216259A0HU diluted at 1:100 and staining in paraffin-embedded human breast cancer performed on a Leica BondTM system. After dewaxing and hydration, antigen retrieval was mediated by high pressure in a citrate buffer (pH 6.0). Section was blocked with 10% normal goat serum 30min at RT. Then primary antibody (1% BSA) was incubated at 4℃ overnight. The primary is detected by a Goat anti-rabbit IgG polymer labeled by HRP and visualized using 0.05% DAB.
Immunofluorescence staining of Hela Cells with CSB-RA216259A0HU at 1:50, counter-stained with DAPI. The cells were fixed in 4% formaldehyde, permeated by 0.2% TritonX-100, and blocked in 10% normal Goat Serum. The cells were then incubated with the antibody overnight at 4℃. Nuclear DNA was labeled in blue with DAPI. The secondary antibody was FITC-conjugated AffiniPure Goat Anti-Rabbit IgG (H+L).
GSK3B Antibodies
GSK3B for Homo sapiens (Human)
| 產品貨號 | 產品名稱 | 種屬反應性 | 應用類型 |
|---|---|---|---|
| CSB-PA009963GA01HU | GSK3B Antibody | Human,Mouse,Rat,Pig | ELISA,WB |
| CSB-PA166926 | Phospho-GSK3B (Ser9) Antibody | Human,Mouse,Rat | ELISA,WB,IHC,IF |
| CSB-PA120951 | GSK3B (Ab-9) Antibody | Human,Mouse,Rat | ELISA,WB,IHC,IF |
| CSB-PA939628 | GSK3B Antibody | Human,Mouse,Rat | ELISA,WB |
| CSB-PA000536 | Phospho-GSK3B (S9) Antibody | Human,Mouse,Rat | WB, IHC, IP, ELISA |
| CSB-PA000636 | Phospho-GSK3B (S9) Antibody | Human,Mouse,Rat | WB, IHC, ELISA |
| CSB-PA002848 | GSK3B Antibody | Human,Mouse,Rat | WB, IHC, IP, ELISA |
| CSB-PA009038 | GSK3B Antibody | Human,Mouse,Rat | WB, IHC, ELISA |
| CSB-PA080166 | GSK3B Antibody | Mouse,Rat | WB, IHC |
| CSB-PA009963LA01HU | GSK3B Antibody | Human, Mouse | ELISA, WB, IF |
| CSB-PA009963LB01HU | GSK3B Antibody, HRP conjugated | Human | ELISA |
| CSB-RA009963A09phHU | Phospho-GSK3B (Ser9) Recombinant Monoclonal Antibody | Human | ELISA, WB, IHC, IF |
| CSB-RA216259A0HU | GSK3B Recombinant Monoclonal Antibody | Human | ELISA, WB, IHC, IF |
GSK3B Proteins
GSK3B Proteins for Rattus norvegicus (Rat)
| 產品貨號 | 產品名稱 | 來源 |
|---|---|---|
| CSB-YP009963RA CSB-EP009963RA CSB-BP009963RA CSB-MP009963RA CSB-EP009963RA-B |
Recombinant Rat Glycogen synthase kinase-3 beta (Gsk3b) | Yeast E.coli Baculovirus Mammalian cell In Vivo Biotinylation in E.coli |
GSK3B Proteins for Homo sapiens (Human)
| 產品貨號 | 產品名稱 | 來源 |
|---|---|---|
| CSB-YP009963HU | Recombinant Human Glycogen synthase kinase-3 beta (GSK3B) | Yeast |
| CSB-EP009963HU | Recombinant Human Glycogen synthase kinase-3 beta (GSK3B) | E.coli |
| CSB-BP009963HU CSB-MP009963HU CSB-EP009963HU-B |
Recombinant Human Glycogen synthase kinase-3 beta (GSK3B) | Baculovirus Mammalian cell In Vivo Biotinylation in E.coli |
| CSB-EP009963HUe2 | Recombinant Human Glycogen synthase kinase-3 beta (GSK3B) | E.coli |
GSK3B Proteins for Spermophilus citellus (European suslik) (Citellus citellus)
| 產品貨號 | 產品名稱 | 來源 |
|---|---|---|
| CSB-YP723085SJE CSB-EP723085SJE CSB-BP723085SJE CSB-MP723085SJE CSB-EP723085SJE-B |
Recombinant Spermophilus citellus Glycogen synthase kinase-3 beta (GSK3B) | Yeast E.coli Baculovirus Mammalian cell In Vivo Biotinylation in E.coli |
GSK3B Proteins for Xenopus laevis (African clawed frog)
| 產品貨號 | 產品名稱 | 來源 |
|---|---|---|
| CSB-YP856250XBE CSB-EP856250XBE CSB-BP856250XBE CSB-MP856250XBE CSB-EP856250XBE-B |
Recombinant Xenopus laevis Glycogen synthase kinase-3 beta (gsk3b) | Yeast E.coli Baculovirus Mammalian cell In Vivo Biotinylation in E.coli |
GSK3B Proteins for Mus musculus (Mouse)
| 產品貨號 | 產品名稱 | 來源 |
|---|---|---|
| CSB-YP892998MO CSB-EP892998MO CSB-BP892998MO CSB-MP892998MO CSB-EP892998MO-B |
Recombinant Mouse Glycogen synthase kinase-3 beta (Gsk3b) | Yeast E.coli Baculovirus Mammalian cell In Vivo Biotinylation in E.coli |






