Phospho-GSK3B (Ser9) Recombinant Monoclonal Antibody
-
中文名稱:磷酸化-GSK3B (Ser9)重組抗體
-
貨號:CSB-RA009963A09phHU
-
規格:¥1320
-
圖片:
-
Western Blot
Positive WB detected in Hela whole cell lysate,293 whole cell lysate,A549 whole cell lysate(treated with Calyculin A or not)
All lanes Phospho-GSK3B antibody at 0.77μg/ml
Secondary
Goat polyclonal to rabbit IgG at 1/50000 dilution
Predicted band size: 46 KDa
Observed band size: 46 KDa -
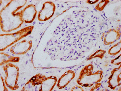
IHC image of CSB-RA009963A09phHU diluted at 1:100 and staining in paraffin-embedded human kidney tissue performed on a Leica BondTM system. After dewaxing and hydration, antigen retrieval was mediated by high pressure in a citrate buffer (pH 6.0). Section was blocked with 10% normal goat serum 30min at RT. Then primary antibody (1% BSA) was incubated at 4℃ overnight. The primary is detected by a biotinylated secondary antibody and visualized using an HRP conjugated SP system.
-
Immunofluorescence staining of Hela cells(treated with 50mM Calyculin A for 30min) with CSB-RA009963A09phHU at 1:100,counter-stained with DAPI. The cells were fixed in 4% formaldehyde, permeabilized using 0.2% Triton X-100 and blocked in 10% normal Goat Serum. The cells were then incubated with the antibody overnight at 4℃. The secondary antibody was Alexa Fluor 488-congugated AffiniPure Goat Anti-Rabbit IgG (H+L).
-
-
其他:
產品詳情
-
產品描述:Phospho-GSK3B (Ser9) Recombinant Monoclonal Antibody(CSB-RA009963A09phHU)是特異性識別糖原合成酶激酶3β(GSK3β)Ser9位點磷酸化修飾的高性能抗體。GSK3β作為多通路調控激酶,參與Wnt信號傳導、胰島素代謝及細胞周期調控等重要生物學過程,其Ser9磷酸化可抑制激酶活性,在細胞分化、凋亡及腫瘤發生中發揮關鍵作用。本抗體采用重組單克隆技術制備,經ELISA、蛋白質印跡(WB)、免疫組化(IHC)和免疫熒光(IF)嚴格驗證,在WB實驗中可特異性識別目標蛋白,推薦稀釋比為1:500-1:5000;IHC實驗中能清晰定位組織樣本中磷酸化靶標,適用1:50-1:200稀釋;IF實驗推薦1:20-1:200用于細胞水平檢測。該產品適用于探究GSK3β磷酸化在神經退行性疾病、代謝紊亂及癌癥機制中的動態變化,支持信號通路互作研究、藥物干預效應評估及病理模型分析等科研場景,為磷酸化蛋白功能研究提供可靠工具。
-
Uniprot No.:
-
基因名:
-
別名:Glycogen Synthase Kinase 3 Beta antibody; Glycogen synthase kinase-3 beta antibody; GSK 3 beta antibody; GSK-3 beta antibody; GSK3B antibody; GSK3B_HUMAN antibody; GSK3beta isoform antibody; Serine/threonine-protein kinase GSK3B antibody
-
反應種屬:Human
-
免疫原:A synthesized peptide derived from Human Phospho-GSK3B (Ser9)
-
免疫原種屬:Homo sapiens (Human)
-
標記方式:Non-conjugated
-
克隆類型:Monoclonal
-
抗體亞型:Rabbit IgG
-
純化方式:Affinity-chromatography
-
克隆號:3A6
-
濃度:It differs from different batches. Please contact us to confirm it.
-
保存緩沖液:Rabbit IgG in 10mM phosphate buffered saline , pH 7.4, 150mM sodium chloride, 0.05% BSA, 0.02% sodium azide and 50% glycerol.
-
產品提供形式:Liquid
-
應用范圍:ELISA, WB, IHC, IF
-
推薦稀釋比:
Application Recommended Dilution WB 1:500-1:5000 IHC 1:50-1:200 IF 1:20-1:200 -
Protocols:
-
儲存條件:Upon receipt, store at -20°C or -80°C. Avoid repeated freeze.
-
貨期:Basically, we can dispatch the products out in 1-3 working days after receiving your orders. Delivery time maybe differs from different purchasing way or location, please kindly consult your local distributors for specific delivery time.
-
用途:For Research Use Only. Not for use in diagnostic or therapeutic procedures.
相關產品
靶點詳情
-
功能:Constitutively active protein kinase that acts as a negative regulator in the hormonal control of glucose homeostasis, Wnt signaling and regulation of transcription factors and microtubules, by phosphorylating and inactivating glycogen synthase (GYS1 or GYS2), EIF2B, CTNNB1/beta-catenin, APC, AXIN1, DPYSL2/CRMP2, JUN, NFATC1/NFATC, MAPT/TAU and MACF1. Requires primed phosphorylation of the majority of its substrates. In skeletal muscle, contributes to insulin regulation of glycogen synthesis by phosphorylating and inhibiting GYS1 activity and hence glycogen synthesis. May also mediate the development of insulin resistance by regulating activation of transcription factors. Regulates protein synthesis by controlling the activity of initiation factor 2B (EIF2BE/EIF2B5) in the same manner as glycogen synthase. In Wnt signaling, GSK3B forms a multimeric complex with APC, AXIN1 and CTNNB1/beta-catenin and phosphorylates the N-terminus of CTNNB1 leading to its degradation mediated by ubiquitin/proteasomes. Phosphorylates JUN at sites proximal to its DNA-binding domain, thereby reducing its affinity for DNA. Phosphorylates NFATC1/NFATC on conserved serine residues promoting NFATC1/NFATC nuclear export, shutting off NFATC1/NFATC gene regulation, and thereby opposing the action of calcineurin. Phosphorylates MAPT/TAU on 'Thr-548', decreasing significantly MAPT/TAU ability to bind and stabilize microtubules. MAPT/TAU is the principal component of neurofibrillary tangles in Alzheimer disease. Plays an important role in ERBB2-dependent stabilization of microtubules at the cell cortex. Phosphorylates MACF1, inhibiting its binding to microtubules which is critical for its role in bulge stem cell migration and skin wound repair. Probably regulates NF-kappa-B (NFKB1) at the transcriptional level and is required for the NF-kappa-B-mediated anti-apoptotic response to TNF-alpha (TNF/TNFA). Negatively regulates replication in pancreatic beta-cells, resulting in apoptosis, loss of beta-cells and diabetes. Through phosphorylation of the anti-apoptotic protein MCL1, may control cell apoptosis in response to growth factors deprivation. Phosphorylates MUC1 in breast cancer cells, decreasing the interaction of MUC1 with CTNNB1/beta-catenin. Is necessary for the establishment of neuronal polarity and axon outgrowth. Phosphorylates MARK2, leading to inhibit its activity. Phosphorylates SIK1 at 'Thr-182', leading to sustain its activity. Phosphorylates ZC3HAV1 which enhances its antiviral activity. Phosphorylates SNAI1, leading to its BTRC-triggered ubiquitination and proteasomal degradation. Phosphorylates SFPQ at 'Thr-687' upon T-cell activation. Phosphorylates NR1D1 st 'Ser-55' and 'Ser-59' and stabilizes it by protecting it from proteasomal degradation. Regulates the circadian clock via phosphorylation of the major clock components including ARNTL/BMAL1, CLOCK and PER2. Phosphorylates CLOCK AT 'Ser-427' and targets it for proteasomal degradation. Phosphorylates ARNTL/BMAL1 at 'Ser-17' and 'Ser-21' and primes it for ubiquitination and proteasomal degradation. Phosphorylates OGT at 'Ser-3' or 'Ser-4' which positively regulates its activity. Phosphorylates MYCN in neuroblastoma cells which may promote its degradation. Regulates the circadian rhythmicity of hippocampal long-term potentiation and ARNTL/BMLA1 and PER2 expression. Acts as a regulator of autophagy by mediating phosphorylation of KAT5/TIP60 under starvation conditions, leading to activate KAT5/TIP60 acetyltransferase activity and promote acetylation of key autophagy regulators, such as ULK1 and RUBCNL/Pacer. Negatively regulates extrinsic apoptotic signaling pathway via death domain receptors. Promotes the formation of an anti-apoptotic complex, made of DDX3X, BRIC2 and GSK3B, at death receptors, including TNFRSF10B. The anti-apoptotic function is most effective with weak apoptotic signals and can be overcome by stronger stimulation.
-
基因功能參考文獻:
- our study suggests that GSK3B plays a pivotal role in HCV virion assembly and release mediated in part through inhibition of apolipoprotein synthesis PMID: 28566716
- The results demonstrated that 2HF could inhibit EMT, and cell migration and invasion through the Wnt/bcatenin signaling pathway by suppressing GSK3b phosphorylation, betacatenin expression and transactivation. PMID: 30226607
- Results show that SK3beta modulates NF-kappaB activation and RelB degradation through phosphorylation of BCL10 providing evidence for a novel regulatory mechanism by which GSK3beta affects NF-kappaB signaling in activated T cells. PMID: 29358699
- LINC00222 acts as a tumor suppressor in lung adenocarcinoma, regulating GSK3beta activity to promote tumor cell apoptosis. PMID: 29990868
- miR-199b attenuated the inflammatory response at least partly through the GSK3beta/NF-kappaB signaling pathways in monocytes PMID: 29779167
- The luciferase reporter system studies affirmed the direct regulation of miR-452 on the 3'-UTR of the GSK3b, which activate the Wnt/b-catenin signaling. The ectopic upregulation of miR-452 significantly inhibited the expression of GSK3b and enhanced colorectal cancer (CRC) proliferation and invasion in vitro and in vivo. PMID: 30253791
- Results show GSK-3beta as a direct target of miR-377-3p and its expression is inversely correlated with that of miR-377 in colorectal cancer cells. PMID: 28857252
- Data show that glycogen synthase kinase 3 (GSK3) and proto-oncogene proteins B-raf (BRAF)/MAPK signaling converges to control microphthalmia-associated transcription factor MITF (MITF) nuclear export. PMID: 30150413
- GSK-3beta expression is associated with non-small cell lung cancer differentiation and GSK-3beta inhibits autophagy and enhances the radiosensitivity of non-small cell lung cancer cells PMID: 29793508
- Its signaling pathway regulates phosphorylated tau accumulation in brain of stressed condition. PMID: 29656013
- these results indicate that miR124 transection inhibits the growth and aggressive of osteosarcoma, potentially via suppression of TGFbetamediated AKT/GSK3beta/snail family transcriptional repressor 1 (SNAIL1) signaling, suggesting miR124 may be a potential anticancer agent/target for osteosarcoma therapy. PMID: 29488603
- miR-150 was upregulated in CNE-2R cells and played roles in radioresistance in CNE-2 cells. Meanwhile, we found that miR-150 directly targeted GSK3beta gene, and radioresistance in CNE-2R cells could be significantly reversed with ectopic GSK3beta expression. PMID: 29516971
- As shown in xenograft model of glioblastoma phosphorylation of 53BP1 by GSK3beta was indispensable for DNA double-strand break repair. PMID: 29328365
- miR-1301-3p promoted the expansion of prostate cancer stem cells by inhibiting GSK3beta and SFRP1, and activating the Wnt pathway. PMID: 29358129
- MMP-9 overexpression and activation are important events occurring during oral squamous cell carcinoma progression/invasion and that this overexpression/activation is regulated by c-Myc, active MMP-2 and inactive GSK3beta mediated pathways. PMID: 29134466
- High GSK3B expression is associated with cervical cancer tumorigenesis and metastasis. PMID: 28627610
- GSK-3beta activation index is a potential indicator for recurrent inflammation of chronic rhinosinusitis without nasal polyps. PMID: 28714566
- our results revealed that Livin induced EMT through the activation of the p38/GSK3beta pathway, which in turn promoted the progression and metastasis of breast cancer, especially for triple-negative breast cancer (TNBC) PMID: 29039608
- Findings showed that NOS1AP (rs348624, rs12742393 and rs1415263), DISC1 (rs821633 and rs1000731), DAOA (rs2391191) and GSK3B (rs6438552) SNPs had no association with development of early-onset schizophrenia; however, our finding suggested statistically significant role of the interaction of NOS1AP, DISC1, DAOA and GSK3B polymorphisms in schizophrenia susceptibility. PMID: 29100974
- GSK3beta-SKAP-Kif2b signaling axis constitutes a dynamic link between spindle microtubule plus-ends and mitotic chromosomes to achieve faithful cell division. PMID: 27982129
- Casein kinase II, glycogen synthase kinase-3, and Ikaros mediated regulation of leukemia has been summarized. (Review) PMID: 28623166
- GSK-3 signaling in health and disease has been discussed. (Review) PMID: 28705437
- GSK3 interacts with the PI3K/AKT/mTOR signaling network via phosphorylation. (Review) PMID: 28712664
- The data suggested that mediators of the Wnt signalling pathway, such as GSK3beta could be important therapeutic targets for early-stage Osteonecrosis of the femoral head. PMID: 29136173
- GSK-3beta is critically important for ordered NF-kappaB signalling through modulation of NEMO phosphorylation. PMID: 27929056
- GSK-3 is a novel prognostic indicator in leukemia. (Review) PMID: 28499784
- GSK3beta may inhibit VRK2 catalytic activity by disrupting its flexibility. The inhibition of VRK2 catalytic activity by GSK3beta may also inhibit VRK2-induced degradation of TRiC, which could suppress polyQ-expanded Htt aggregation. PMID: 27377031
- Mast cells deplete stemness features of glioma cells and induce differentiation. Mast cells exert their effect via inactivation of STAT3 through GSK3 beta downregulation. PMID: 28600192
- In conclusion, the authors demonstrated that AKT activation prevents apoptosis, partly through inhibition of GSK3beta, resulting in pluripotent stem cells survival. PMID: 27762303
- Downregulation of miR-125b regulates apoptosis in human NSCLC through the suppression of the PI3K/Akt/GSK3beta and Wnt/beta-catenin signaling pathways. PMID: 28713974
- This study found that GSK3beta mRNA was overexpressed only in patients with initial Alzheimer's Disease, with no effect on the levels of the protein. PMID: 28176663
- We demonstrated the activation of GSK-3beta in classical Hodgkin lymphomas resulting in inhibition of the Wnt/beta-catenin signal cascade and the aberrant accumulation of its activated form in nuclei of Hodgkin Reed-Sternberg and Hodgkin cells PMID: 28208230
- CB2 activation with sub-micromolar doses of agonists, which could be more similar to endogenous levels of cannabinoids, promote colon cancer progression in a process that involves AKT and GSK3beta. PMID: 27634891
- An imbalanced regulation in protein kinases and protein phosphatases is the direct cause of tau hyperphosphorylation in Alzheimer's disease; GSK-3beta and PP2A are the most implicated. (Review) PMID: 28585125
- In this review, we have opted to focus on GSK3beta interactions with mitochondria in ischemic heart disease and expand on the therapeutic interventions. PMID: 28421373
- axonal impairment in temporal lobe epilepsy may be mediated by NMDAR via GSK-3beta and Cdk5. In addition, inhibiting either NMDARs or GSK-3beta lowered the relative tau phosphorylation level by reversing the decrease of total tau without affecting phosphorylated tau S396 and T231. PMID: 28595035
- GSK-3beta was overexpressed in endometrial cancer tissues, and was positively correlated with International Federation of Gynecology and Obstetrics (FIGO) staging, dedifferentiation, and myometrial infiltration depth; GSK-3beta overexpression predicted lower cumulative and relapse-free survival rate PMID: 27050373
- WM130 preferentially inhibits hepatic cancer stem-like cells by suppressing AKT/GSK3beta/beta-catenin signaling pathway. PMID: 27783993
- MicroRNA-101 reverses temozolomide resistance by inhibition of GSK3beta expression in glioblastoma cells. PMID: 27792996
- Gankyrin sustains PI3K/GSK-3beta/beta-catenin signal activation and promotes an aggressive colorectal cancer phenotype and disease progression. PMID: 27835604
- Study sows that expression of the active form of GSK- 3beta (tyrosine 216-phosphorylated) was higher in osteosarcoma than osteoblast cells, and demonstrated a critical role for GSK-3beta in sustaining survival and proliferation of osteosarcoma cells. PMID: 27780915
- 14-3-3zeta and aPKC-iota synergistically facilitate EMT of cholangiocarcinoma via GSK-3beta/Snail signalling pathway. PMID: 27409422
- Results indicate that hypoxia increases IL-11 secretion in anaplastic thyroid carcinoma (ATC) cells via HIF-1alpha induction and that IL-11 then induces epithelial-mesenchymal transition (EMT) in these cells via the PI3K/Akt/GSK3beta pathway. PMID: 27487122
- High GSK3B expression is associated with drug resistance in breast cancer. PMID: 26895471
- Oncogenic miR-19a and miR-19b were up-regulated in lung cancer stem cells which modulated cancer cells activity. miR-19 activated Wnt/beta-catenin pathway via directly targeting Glycogen Synthase Kinase 3 beta. Sulforaphane suppressed lung cancer stem cells through down-regulating miR-19 and inhibiting Wnt/beta-catenin pathway activation. PMID: 28431267
- ZIP9 expression affects phosphorylation states of GSK-3beta. PMID: 27654922
- High GSK3 expression is associated with prostate cancer. PMID: 26871944
- Cytoplasmic aryl hydrocarbon receptor regulates glycogen synthase kinase 3 beta in non-small cell lung cancer cells. PMID: 27752740
- ablation of Glut1 attenuated apoptosis and increased drug resistance via upregulation of p-Akt/p-GSK-3beta (Ser9)/beta-catenin/survivin. PMID: 28803837
- frequent upregulation of MIF is implicated in the development and progression of esophageal squamous cell carcinoma (ESCC). PMID: 29079416
顯示更多
收起更多
-
亞細胞定位:Cytoplasm. Nucleus. Cell membrane. Note=The phosphorylated form shows localization to cytoplasm and cell membrane. The MEMO1-RHOA-DIAPH1 signaling pathway controls localization of the phosphorylated form to the cell membrane.
-
蛋白家族:Protein kinase superfamily, CMGC Ser/Thr protein kinase family, GSK-3 subfamily
-
組織特異性:Expressed in testis, thymus, prostate and ovary and weakly expressed in lung, brain and kidney. Colocalizes with EIF2AK2/PKR and TAU in the Alzheimer disease (AD) brain.
-
數據庫鏈接:
Most popular with customers
-
-
YWHAB Recombinant Monoclonal Antibody
Applications: ELISA, WB, IHC, IF, FC
Species Reactivity: Human, Mouse, Rat
-
Phospho-YAP1 (S127) Recombinant Monoclonal Antibody
Applications: ELISA, WB, IHC
Species Reactivity: Human
-
-
-
-
-















