GDF15
GDF15,即生長分化因子15,別名包括MIC-1、PDF等,是TGFβ超家族的一員。它作為應激反應蛋白,在多種疾病中扮演關鍵角色。GDF15通過與GFRAL-RET受體結合,調控食欲、體重、胰島素敏感性及炎癥反應等生理過程。其水平升高常見于腫瘤、心血管疾病及代謝性疾病,不僅是這些疾病的潛在生物標志物,也是藥物研發的新靶點。目前,GDF15靶向療法正成為研究熱點,旨在通過調節GDF15水平,為相關疾病的治療提供新的策略和方法。
熱銷產品
Recombinant Human Growth/differentiation factor 15 (GDF15), partial (CSB-EP859530HU)
驗證數據
(Tris-Glycine gel) Discontinuous SDS-PAGE (reduced) with 5% enrichment gel and 15% separation gel.
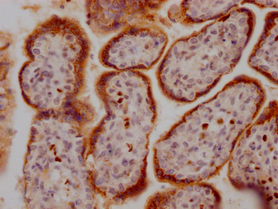
GDF15 Recombinant Monoclonal Antibody (CSB-RA285852A0HU)
驗證數據
IHC image of CSB-RA285852A0HU diluted at 1:100 and staining in paraffin-embedded human placenta tissue performed on a Leica BondTM system. After dewaxing and hydration, antigen retrieval was mediated by high pressure in a citrate buffer (pH 6.0). Section was blocked with 10% normal goat serum 30min at RT. Then primary antibody (1% BSA) was incubated at 4℃ overnight. The primary is detected by a Goat anti-rabbit IgG polymer labeled by HRP and visualized using 0.05% DAB.
GDF15 Antibodies
GDF15 for Homo sapiens (Human)
| 產品貨號 | 產品名稱 | 種屬反應性 | 應用類型 |
|---|---|---|---|
| CSB-PA10029B0Rb | GDF15 Antibody, HRP conjugated | Human | ELISA |
| CSB-PA10029D0Rb | GDF15 Antibody, Biotin conjugated | Human | ELISA |
| CSB-PA10029A0Rb | GDF15 Antibody | Human | ELISA, WB, IHC |
| CSB-PA563663 | GDF15 Antibody | Human | ELISA,WB |
| CSB-MA999881A0m | GDF15 Monoclonal Antibody | Human | ELISA,IHC |
| CSB-PA002673 | GDF15 Antibody | Human | WB, ELISA |
| CSB-PA779597 | GDF15 Antibody | Human,Mouse | ELISA,WB |
| CSB-PA255283 | GDF15 Antibody | Human | ELISA,IHC |
| CSB-RA285852A0HU | GDF15 Recombinant Monoclonal Antibody | Human | ELISA, IHC |
| CSB-RA859530MA1HU | GDF15 Recombinant Monoclonal Antibody | Human | ELISA, IHC |
GDF15 Proteins
GDF15 Proteins for Homo sapiens (Human)
| 產品貨號 | 產品名稱 | 來源 |
|---|---|---|
| CSB-YP859530HU CSB-BP859530HU CSB-MP859530HU CSB-EP859530HU-B |
Recombinant Human Growth/differentiation factor 15 (GDF15), partial | Yeast Baculovirus Mammalian cell In Vivo Biotinylation in E.coli |
| CSB-EP859530HU | Recombinant Human Growth/differentiation factor 15 (GDF15), partial | E.coli |
| CSB-EP859530HU1 | Recombinant Human Growth/differentiation factor 15 (GDF15), partial | E.coli |
| CSB-EP859530HU1c7 | Recombinant Human Growth/differentiation factor 15 (GDF15), partial | E.coli |
GDF15 ELISA Kit
GDF15 ELISA Kit for Homo sapiens (Human)
| 產品貨號 | 產品名稱 | 樣本類型 | 靈敏度 |
|---|---|---|---|
| CSB-E12009h | Human growth differentiation factor 15(GDF15)ELISA Kit |
GDF15 ELISA Kit for Mus musculus (Mouse)
| 產品貨號 | 產品名稱 | 樣本類型 | 靈敏度 |
|---|---|---|---|
| CSB-EL009345MO | Mouse Growth/differentiation factor 15(GDF15) ELISA kit |
GDF15 ELISA Kit for Rattus norvegicus (Rat)
| 產品貨號 | 產品名稱 | 樣本類型 | 靈敏度 |
|---|---|---|---|
| CSB-E16317r | Rat growth differentiation factor 15(GDF15)ELISA Kit | serum, plasma, tissue homogenates | 0.39 pg/mL |






