GDF15 Recombinant Monoclonal Antibody
-
中文名稱:GDF15重組抗體
-
貨號:CSB-RA859530MA1HU
-
規格:¥1320
-
圖片:
-
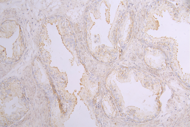
IHC image of CSB-RA859530MA1HU diluted at 1:100 and staining in paraffin-embedded human prostate cancer performed on a Leica BondTM system. After dewaxing and hydration, antigen retrieval was mediated by high pressure in a citrate buffer (pH 6.0). Section was blocked with 10% normal goat serum 30min at RT. Then primary antibody (1% BSA) was incubated at 4°C overnight. The primary is detected by a Goat anti-human polymer IgG labeled by HRP and visualized using 0.05% DAB.
-
-
其他:
產品詳情
-
產品描述:GDF15重組單克隆抗體(CSB-RA859530MA1HU)是針對生長分化因子15(GDF15)研發的高特異性科研工具。GDF15作為TGF-β超家族成員,在細胞應激響應、能量代謝調控及炎癥反應中發揮重要作用,其異常表達與代謝綜合征、腫瘤進展及心血管疾病密切相關。本產品經ELISA和免疫組化(IHC)雙重驗證,在IHC實驗中推薦使用1:50-1:200稀釋比例,適用于石蠟包埋組織切片的精準定位分析。通過嚴格的生產質控體系保障抗體具有優異的批間一致性,可特異性識別天然與重組GDF15蛋白,有效避免非特異性交叉反應。該抗體為研究GDF15在代謝調控通路、腫瘤微環境調控及心血管病理機制中的分子作用提供可靠支持,適用于細胞培養上清或生物體液樣本中GDF15的體外定量檢測,以及疾病模型組織的蛋白表達譜研究,為探索相關疾病的分子機制及潛在干預靶點提供重要技術支撐。
-
Uniprot No.:
-
基因名:
-
別名:GDF 15 antibody; GDF-15 antibody; Gdf15 antibody; GDF15_HUMAN antibody; Growth differentiation factor 15 antibody; Growth/differentiation factor 15 antibody; Macrophage inhibitory cytokine 1 antibody; MIC 1 antibody; Mic-1 antibody; MIC1 antibody; NAG 1 antibody; NAG-1 antibody; NAG1 antibody; NRG 1 antibody; NRG-1 antibody; NRG1 antibody; NSAID (nonsteroidal anti inflammatory drug) activated protein 1 antibody; NSAID antibody; NSAID regulated protein 1 antibody; NSAID-activated gene 1 protein antibody; NSAID-regulated gene 1 protein antibody; PDF antibody; PLAB antibody; Placental bone morphogenetic protein antibody; Placental bone morphogenic protein antibody; Placental TGF beta antibody; Placental TGF-beta antibody; Prostate differentiation factor antibody; PTGF beta antibody; PTGFB antibody
-
反應種屬:Human
-
免疫原:Recombinant Human GDF15 protein
-
免疫原種屬:Homo sapiens (Human)
-
標記方式:Non-conjugated
-
克隆類型:Monoclonal
-
抗體亞型:hIgG1
-
純化方式:Affinity-chromatography
-
克隆號:5D2
-
濃度:It differs from different batches. Please contact us to confirm it.
-
保存緩沖液:Preservative: 0.03% Proclin 300
Constituents: 50% Glycerol, 0.01M PBS, PH 7.4 -
產品提供形式:Liquid
-
應用范圍:ELISA, IHC
-
推薦稀釋比:
Application Recommended Dilution IHC 1:50-1:200 -
Protocols:
-
儲存條件:Upon receipt, store at -20°C or -80°C. Avoid repeated freeze.
-
貨期:Basically, we can dispatch the products out in 1-3 working days after receiving your orders. Delivery time maybe differs from different purchasing way or location, please kindly consult your local distributors for specific delivery time.
-
用途:For Research Use Only. Not for use in diagnostic or therapeutic procedures.
相關產品
靶點詳情
-
功能:Regulates food intake, energy expenditure and body weight in response to metabolic and toxin-induced stresses. Binds to its receptor, GFRAL, and activates GFRAL-expressing neurons localized in the area postrema and nucleus tractus solitarius of the brainstem. It then triggers the activation of neurons localized within the parabrachial nucleus and central amygdala, which constitutes part of the 'emergency circuit' that shapes feeding responses to stressful conditions. On hepatocytes, inhibits growth hormone signaling.
-
基因功能參考文獻:
- Data indicate that LINC01133 inhibited OSCC metastasis via a feedback regulation loop of reciprocal inhibition with GDF15. PMID: 30332510
- Our results provide valuable evidence that GDF15 is related with first-line chemo-resistance, with highly expressed GDF15 being a strong and an independent indicator of shorter PFS in EOC patients. PMID: 29580231
- Placenta and appetite genes GDF15 and IGFBP7 are associated with hyperemesis gravidarum. PMID: 29563502
- These results suggest that upregulation of NAG-1 contributes to trichostatin A-induced apoptosis in human endometriotic stromal cells. PMID: 29157123
- GDF-15 is a promising biomarker for prediction of HF and death due to CHD in the general population, which may provide prognostic information to already established clinical biomarkers. PMID: 29771963
- the association between GDF-15 and contrast-induced nephropathy in acute myocardial infarction patients after percutaneous coronary intervention PMID: 29791474
- Age-dependent GDF-15 centile values developed from a population of apparently healthy older adults are independently predictive of all-cause mortality PMID: 29714603
- To the best of our knowledge, this is the first documentation of cytokine GDF-15 presence in follicular fluid. Its concentration was not associated with donor/patient fertility status. Our data also show that GDF-15 is expressed and inducible in both normal healthy and cancerous granulosa cells, as well as in oocytes PMID: 29948426
- Findings indicate that global platelet function was positively correlated with serum GDF-15 concentration. PMID: 28597461
- GDF-15 in blood is more accurate in differentiating pancreatic mass due to chronic pancreatitis from pancreatic adenocarcinoma than Ca19-9. the combination of GDF-15 with Ca125 is remarkably useful in differentiating pancreatic mass. PMID: 29171983
- Our results show GDF-15 as an effective biomarker in patients with metastatic colorectal cancer PMID: 29400662
- This study found that the mean serum GDF15 levels in the Parkinson Disease patients were significantly higher than those of the healthy control group. Secondly, in the Parkinson Disease patients, the GDF15 levels were significantly higher in the men than in the women. PMID: 28787735
- Elevated GDF-15 correlates with lack of reverse remodeling and increased mortality after TAVR and improves risk prediction of mortality. PMID: 29222133
- Initial serum GDF15 level showed an inverse correlation with serum glomerular filtration rate and was associated with worse renal outcome in immunoglobulin A nephropathy. PMID: 28869715
- data reveal that YAP promotes metastasis of breast cancer cells by repressing GDF15 transcription and present a novel molecular mechanism underlying the pro-metastasis function of YAP oncoprotein, with the implication of a therapeutic avenue for breast cancer treatment. PMID: 29499325
- GDF15 was significantly correlated with mitochondrial disease severity and the proportion of ragged-red fibers identified in skeletal muscle. PMID: 27889897
- GDF-15 serum levels were elevated in patients with Systemic sclerosis and correlated with the extent of skin fibrosis, and it was found to be higher in Systemic sclerosis patients with interstitial pulmonary fibrosis PMID: 28872977
- Enhanced radiosensitivity and decreased migration in cells caused by CDP138 knockdown are partially dependent on GDF15 inhibition. PMID: 28880265
- these results suggest that increased GDF-15-as observed in lungs of smokers and patients with COPD-contributes to cigarette smoke-induced pulmonary inflammation. PMID: 28145442
- High GDF15 levels are associated with increased risk of major amputation and/or death in peripheral arterial disease patients. PMID: 28855167
- we found that GDF-15 -3148C/G polymorphism (CC genotype) might have a correlation with acute ST-elevation myocardial infarction occurrence and the formation of collateral circulation. PMID: 29489980
- Data show that serum growth differentiation factor 15 (GDF15)levels were significantly higher in subjects with thyroid nodules compared with nodule negative subjects, and this was influenced by age. PMID: 28489602
- Findings suggest that GDF15 induces tumor sphere formation through GDF15-ERK1/2-GDF15 circuits, leading to maintenance of GDF15high cancer stem-like cells. PMID: 28206960
- These authors demonstrate that blocking cardiomyocyte production of GDF15 normalizes circulating GDF15 level and restores liver growth hormone signaling, establishing GDF15 as a bona fide heart-derived hormone that regulates pediatric body growth. PMID: 28572090
- Authors demonstrated that GDF15 contributed to radioresistance of HNC, as determined by both gain- and lost-of-functional experiments. Authors further showed that GDF15 facilitated the conversion of cancer stemness, as assessed by the promotion of CD44+ and ALDH1+ cell populations and spheroid cell formation. PMID: 27903972
- this study, for the first time, demonstrates that GDF15 is a promising target for preventing cold I/R injury in heart transplantation. This study also shows that the resultant protective effects are mediated by the Foxo3 and NFkappaB signaling pathways PMID: 28388574
- High circulating GDF-15 levels are predictive of secondary cardiovascular events in women but not in men with carotid atherosclerosis. PMID: 28389123
- In patients with chronic obstructive pulmonary disease, high levels of GDF15 were independently associated with a higher yearly rate of exacerbations, higher mortality and increased decline in both FEV1 and FVC. PMID: 28298399
- Data suggested NAG-1 protein as a crucial mediator of epithelial ovarian cancer (EOC) progression and resistance to the standard first-line chemotherapy against EOC, particularly in MyD88-positive ovarian cancer stem-like cells. PMID: 27708225
- The GDF-15 gene rs1804826G/T polymorphism and sGDF-15 levels are associated with ischemic stroke in the Chinese population. PMID: 28526273
- NSAID-activated gene 1 (NAG-1) has been assessed for its involvement in cellular integrity and pathogenesis in mucosal inflammation and carcinogenesis. [review] PMID: 28455268
- showed association between high level of GDF-15, determined at the first 24 hours after acute coronary syndrome, and chronic heart failure progression after 12 months. PMID: 29099703
- Results provide evidence that GDF15 contributes to the cancer-associated fibroblasts-mediated chemoprotection of AML cells. PMID: 27643489
- serum GDF15 was not altered in the first trimester in women destined to develop late-onset preeclampsia. PMID: 27173615
- even very small amounts of contaminating TGF-b in purified protein batches may influence the experimental results given that receptors for TGF-b are present. When we attempted to characterize possible receptors for the TGF-b superfamily ligand GDF15, striking similarities between GDF15-induced activities and known TGF-b activities were found. PMID: 29161287
- In ever-smokers with COPD free of clinical CVD, GDF-15 contributes independently to subclinical coronary atherosclerosis. TRIAL REGISTRATION: ClinicalTrials.gov, NCT00608764 . Registered 28 January 2008. PMID: 28245821
- This is the first study showing that adolescent male swimmers have higher PTX3 levels than sedentary controls and that there is a linear relationship between PTX3 and GDF-15. PMID: 28664745
- GDF-15 at 1 month after an acute coronary syndrome is related to the risk of bleeding during dual antiplatelet therapy and provides additional information on the bleeding risk beyond baseline GDF-15 levels. PMID: 28411246
- NF-kappaB/GDF-15 regulatory axis is important for tumor cells in evading macrophage immune surveillance during the early stages of tumorigenesis PMID: 28891811
- Our data indicated that GDF-15 plays an important role in iron metabolism in SAA. GDF-15 might be a novel target for SAA therapy. PMID: 28385068
- These results suggest that rs1054564 confers allele-specific translational repression of GDF15 via hsa-miR-1233-3p. PMID: 28806401
- Serum MIC-1 levels in PUL were not able to categorically diagnose EP, however, MIC-1 could distinguish women with an EP that required medical intervention and those women whose PULs spontaneously resolved PMID: 23824055
- HIF-1alpha and GDF15 expression are inversely related under normoxia and hyperoxia. PMID: 28734801
- PPIX concentrations correlated with both growth differentiation factor (GDF) 15 (p = 0.012) and male gender (p = 0.015). PMID: 28185024
- Data show that growth differentiation factor 15 (GDF15) knockdown significantly inhibited the growth and metastasis of cancer stem-like sphere cells (SCs) through AKT/GSK-3beta/beta-catenin pathway suppression. PMID: 28199981
- epithelial restitution was promoted by enhanced NAG-1 expression and subsequent enterocyte locomotion during the early wound-healing process PMID: 27421482
- serum GDF15 may be a useful diagnostic and prognostic biomarker for colorectal cancer. PMID: 26990020
- These findings highlight an important contribution of GDF15 in promoting airway epithelial senescence upon cigarette smoke exposure. PMID: 27093475
- The results of this study, including a robust induction of GDF-15 expression by several external factors known to elevate IOP, and rGDF-15-induced increase in contractility, cell adhesion, and the levels of ECM proteins and alphaSMA in TM cells PMID: 27918822
- GDF-15 captures distinct aspects of cardiovascular disease development, progression, and prognosis, which are not represented by clinical risk predictors and other biomarkers. The usefulness of GDF-15 to guide management decisions and discover new treatment targets should be further explored. PMID: 28062617
顯示更多
收起更多
-
亞細胞定位:Secreted.
-
蛋白家族:TGF-beta family
-
組織特異性:Highly expressed in placenta, with lower levels in prostate and colon and some expression in kidney. Detected in plasma (at protein level).
-
數據庫鏈接:
Most popular with customers
-
-
YWHAB Recombinant Monoclonal Antibody
Applications: ELISA, WB, IHC, IF, FC
Species Reactivity: Human, Mouse, Rat
-
-
-
-
-
-















