FCGR2B Antibody
-
中文名稱:FCGR2B兔多克隆抗體
-
貨號:CSB-PA10839A0Rb
-
規格:¥3,900
-
圖片:
-
Western Blot
Positive WB detected in: Raji whole cell lysate(30μg), K562 whole cell lysate(30μg), MCF7 whole cell lysate(30μg), 293 whole cell lysate(30μg), SY5Y whole cell lysate(30μg)
All lanes: FCGR2B antibody at 1:1000
Secondary
Goat polyclonal to rabbit IgG at 1/40000 dilution
Predicted band size: 35,32,34 kDa
Observed band size: 35 kDa
Exposure time: 120s -
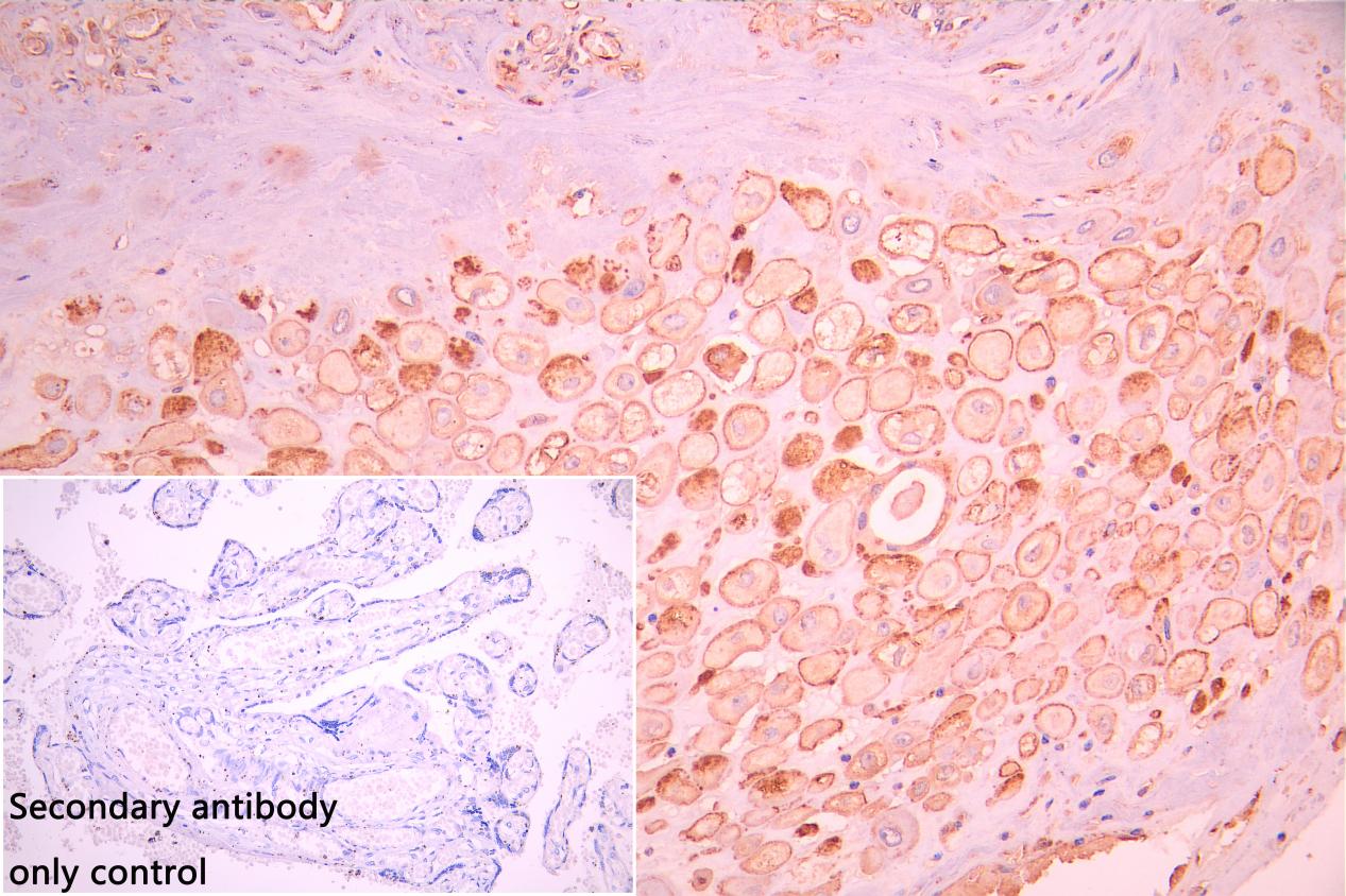
IHC image of CSB-PA10839A0Rb diluted at 1:50 and staining in paraffin-embedded human placenta tissue performed on a Leica BondTM system. After dewaxing and hydration, antigen retrieval was mediated by high pressure in a citrate buffer (pH 6.0). Section was blocked with 10% normal goat serum 30min at RT. Then primary antibody (1% BSA) was incubated at 4°C overnight. The primary is detected by a Goat anti-rabbit polymer IgG labeled by HRP and visualized using 0.05% DAB. Secondary antibody only control: uses 1% BSA instead of primary antibody
-
-
其他:
產品詳情
-
產品名稱:Rabbit anti-Homo sapiens (Human) FCGR2B Polyclonal antibody
-
Uniprot No.:
-
基因名:
-
別名:FCGR2B; CD32; FCG2; IGFR2; Low affinity immunoglobulin gamma Fc region receptor II-b; IgG Fc receptor II-b; CDw32; Fc-gamma RII-b; Fc-gamma-RIIb; FcRII-b; CD antigen CD32
-
宿主:Rabbit
-
反應種屬:Human
-
免疫原:Recombinant Human Low affinity immunoglobulin gamma Fc region receptor II-b protein
-
免疫原種屬:Homo sapiens (Human)
-
克隆類型:Polyclonal
-
抗體亞型:IgG
-
純化方式:Antigen?affinity?purification
-
濃度:It differs from different batches. Please contact us to confirm it.
-
保存緩沖液:Preservative: 0.02% sodium azide
Constituents: 50% Glycerol, 0.01M PBS, pH 7.4 -
產品提供形式:Liquid
-
應用范圍:ELISA, WB, IHC
-
推薦稀釋比:
Application Recommended Dilution WB 1:500-1:2000 IHC 1:50-1:200 -
Protocols:
-
儲存條件:Upon receipt, store at -20°C or -80°C. Avoid repeated freeze.
-
貨期:Basically, we can dispatch the products out in 1-3 working days after receiving your orders. Delivery time maybe differs from different purchasing way or location, please kindly consult your local distributors for specific delivery time.
-
用途:For Research Use Only. Not for use in diagnostic or therapeutic procedures.
相關產品
靶點詳情
-
功能:Receptor for the Fc region of complexed or aggregated immunoglobulins gamma. Low affinity receptor. Involved in a variety of effector and regulatory functions such as phagocytosis of immune complexes and modulation of antibody production by B-cells. Binding to this receptor results in down-modulation of previous state of cell activation triggered via antigen receptors on B-cells (BCR), T-cells (TCR) or via another Fc receptor. Isoform IIB1 fails to mediate endocytosis or phagocytosis. Isoform IIB2 does not trigger phagocytosis.
-
基因功能參考文獻:
- Data show that patients with low FcgammaRIIb (CD32b) expression required therapy earlier than those with high FcgammaRIIb expression. PMID: 28372509
- This first genome-wide association approach for cyclophosphamide response in lupus nephritis patients yielded a robust profile of genetic associations including large-effect SNP in the FCGR2B-FCRLA locus, which may provide better insights to cyclophosphamide metabolism and efficacy. PMID: 26980576
- Trans-inhibition of activation and proliferation signals by Fc receptors in mast cells and basophils PMID: 27999175
- These results suggest that abnormal B cell subset distribution and decreased CD32b expression on DN memory cells might be involved in the pathogenesis of Hashimoto's thyroiditis. PMID: 27832986
- the single-residue polymorphism T232 enforces the inclination of the transmembrane domain and thereby reduces the lateral mobility and inhibitory functions of FcgammaRIIB. PMID: 27799621
- results indicate that FcgammaRIIB is not uniquely able to promote membrane recruitment of SHIP, but rather modulates its function via formation of distinct signaling complexes. Membrane recruitment of SHIP via Syk-dependent mechanisms may be an important factor modulating immunoreceptor signaling. PMID: 27456487
- Fc gamma receptor IIb was significantly elevated in abdominal aortic aneurysm (AAA) tissues compared to normal aortas. Fc gamma receptor IIb may be involved in the pathogenesis of AAA by regulation of inflammatory reactions. PMID: 28223220
- this study shows that decreased FcgRIIb expression on monocytes may contribute to the development of coronary artery lesions in patients with Kawasaki disease PMID: 28147297
- Data indicate that IgG2 Y296F variant showed decreased binding for FcgammaRIIb. PMID: 23628091
- LPS activation of TLR4 significantly increased MARCH3 expression and that siRNA against MARCH3 prevented the decrease in FcgammaRIIb following LPS treatment. PMID: 26694610
- a rare FCGR2B null-variant allele was found, in which a polymorphic stop codon of FCGR2C is introduced into one FCGR2B gene PMID: 26133275
- FcgammaRIIB requires Btk and p38 MAPK to mediate antigen-independent inhibition in human B cells. PMID: 26475492
- The FCGR2B variant leads to reduced serum IL-6, later disease onset and reduced need for biological treatment, but does not seem to aggravate RA. The TM region variant is associated with a lower activation state of the Tregs and naive and memory B cells. PMID: 25630523
- FcgammaRIIB rs12117530 polymorphism is associated with disease risk and clinical manifestations of Systemic Lupus Erythematosus in Koreans. PMID: 26084639
- increased serum levels involved in aberrant immune responses in systemic sclerosis PMID: 25346304
- FcgIIb on GM-CSF macrophages has a role in controlling immune complex-mediated inhibition of inflammatory signals PMID: 25340460
- none of the three functional polymorphisms in FcgammaR genes explored here, the FCGR3A F158V and FCGR2B I232T nsSNPs and the VNTR in FCGRT, showed an association with the response to TNFi in patients with rheumatoid arthritis PMID: 25823782
- FCGR2B inhibitory gene may be predictive of adjuvant trastuzumab benefit in HER2+ breast cancer patients. PMID: 24989892
- FcgammaRIIB prevents inflammatory type I IFN production from plasmacytoid dendritic cells during a viral memory response. PMID: 25821224
- The study provides evidence for FcgammaRs, especially FcgammaRIIB, being involved in the pathogenesis of Hashimoto's thyroiditis. PMID: 25670392
- Variants in FcgRIIB may play a role in the development of Lupus through their roles in apoptosis or debris clearance. PMID: 25034154
- cross-linking by FcgammaRIIb is critical for the superagonist activity of TGN1412 after high-density preculture PMID: 25395427
- Data indicate that inhibition of phagocytosis by IVIg is independent of IgG-Fc-sialylation and does not require an increase of fc-gamma-RIIb (FcgammaRIIb) expression. PMID: 25352126
- Suppression of innate and adaptive B cell activation pathways by antibody coengagement of FcgammaRIIb and CD19. PMID: 24828435
- Data indicate that the lentiviral expression vector for FcgammaRIIB was successfully prepared and its expression in HT-1080 cells is controllable via the alterations of doxycycline (Dox) concentration. PMID: 24909272
- found no significant difference in pretransplant panel reactive antibodies, acute rejection at 1-year nor in 10-year transplant or patient survival in individuals with differing FcgammaRIIB-I/T232 genotype PMID: 25022320
- the decreased FcgammaRIIb1 translocation to lipid rafts as well as for the reduced tyrosine-phosphorylated FcgammaRIIb1 PMID: 24405601
- This inhibitory function of FcgammaRIIB in impairing the spatial-temporal colocalization of BCR and CD19 microclusters in the B cell immunological synapse may help explain the hyper-reactive features of systemic lupus erythematosus PMID: 24790152
- these data demonstrate that CD19 and CD32b differentially inhibit B cell expansion and plasma cell differentiation, depending on the nature of the activating stimuli, when engaged with monospecific Abs. PMID: 24442430
- T cells mount rapid TGN1412 responses, which are massively boosted by FcgammaR crosslinking, in particular by CD32-expressing B cells. These results qualify HDC-PBMCs as a valuable in vitro test system for the analysis of complex mAb functions. PMID: 24470499
- FCGR2B and FCGR1B augment the internalization of monoclonal antibodies on the surface of B cells. PMID: 24227819
- memory CD8 T cells intrinsically express a functional FcgammaRIIB, permitting Ag-Ab complexes to regulate secondary CD8 T cell responses. PMID: 24285839
- Lower expression of FCGRIIB is likely involved in the etiology of ITP. HP infection is correlated with decreased expression of FCGRIIB. PMID: 23054650
- Data suggest that Fcgamma receptor IIB (FcgammaRIIB) 232I/T polymorphisms may play an important role in susceptibility to H pylori-infected immune thrombocytopenia (ITP) and in platelet responses after H pylori eradication in ITP patients. PMID: 24030263
- The aim of the study was to associate multiple polymorphisms within FCGR gene locus with IgA nephropathy in a large Chinese cohort. PMID: 23593433
- FcgammaRIIb has an aberrant, but essential, role in amyloid beta-mediated neuronal dysfunction. PMID: 23921129
- Our data revealed that downregulation of CD32B on B cells from patients with rheumatoid arthritis is mediated by CD40-CD40L interactions PMID: 23686494
- Maternal FcgammaRIIB-nt645+25A/G polymorphism and subgingival DNA level of A. actinomycetemcomitans were significantly associated with the prevalence of preeclampsia in a limited number of Japanese women. PMID: 22594540
- Compared with the mouse system, human monomeric IgG subclasses have an even smaller affinity for low-affinity FcgammaRIIA, FcgammaRIIB, and FcgammaRIIIA, making it difficult to obtain exact data. PMID: 23509345
- FcgammaRIIb on myeloid cells of bone marrow chimeric mice plays a major role in their protection from nephrotoxic nephritis. PMID: 23203925
- We conclude that FCGR3B deletion juxtaposes the 5'-regulatory sequences of FCGR2C with the coding sequence of FCGR2B. PMID: 23261299
- FcgammaRIIB might play an important role in the central nervous system infection by Cryptococcus in HIV-uninfected individuals. PMID: 22879986
- CRP antagonism of eNOS is mediated by coupling of FcgammaRI to FcgammaRIIB by Src kinase and activation of inositol 5'-phosphatase 1, and consistent with this mechanism, both FcgammaRI and FcgammaRIIB are required for CRP to blunt endothelial repair in vivo. PMID: 21940940
- activation of FasL is dependent on glucuronoxylomannan interaction with FcgammaRIIB;results highlight a fast track to FasL up-regulation via FcgammaRIIB and assign to this receptor an anti-inflammatory role that also accounts for induced peripheral tolerance PMID: 21605112
- These findings suggest that FcgammaRIIB-nt645+25AA carriers are more likely to experience preterm birth than FcgammaRIIB-nt645+25AG and GG carriers. Also, women with FcgammaRIIB-nt645+25G exhibited a greater tendency to have periodontitis than those with nt645+25A. PMID: 21338356
- Peritoneal B1 cells express the highest levels of transgenic FcgammaRIIb among B cell subsets. PMID: 22516957
- FCGR2B rs10917661 may be a novel Single-nucleotide polymorphism involved in ankylosing spondylitis genetic predisposition in the Han Chinese population PMID: 22416796
- The higher expression levels of FcgammaRIIb in subjects with the FcgammaRIIB-nt645+25AA genotype may induce a lower level of production of IgG against P. gingivalis and therefore more severe periodontitis. PMID: 21906057
- Data suggest that rituximab induces apoptosis of malignant B lymphocytes by stimulating FcgammaRIIB receptors and inhibiting Kv1.3 channels. PMID: 22192444
- The R allele of the FcgammaRIIa polymorphism is associated with impaired endothelium-dependent vasodilatation and reduced NO activity during endothelial cell stimulation PMID: 21813128
顯示更多
收起更多
-
相關疾病:Systemic lupus erythematosus (SLE)
-
亞細胞定位:Cell membrane; Single-pass type I membrane protein.
-
組織特異性:Is the most broadly distributed Fc-gamma-receptor. Expressed in monocyte, neutrophils, macrophages, basophils, eosinophils, Langerhans cells, B-cells, platelets cells and placenta (endothelial cells). Not detected in natural killer cells.
-
數據庫鏈接:
Most popular with customers
-
-
Phospho-YAP1 (S127) Recombinant Monoclonal Antibody
Applications: ELISA, WB, IHC
Species Reactivity: Human
-
-
-
-
-
-















