DNAJB1
DNAJB1,即DnaJ熱休克蛋白家族(Hsp40)成員B1,別名Hdj1、Sis1、HSPF1、Hsp40、RSPH16B。它由人類DNAJB1基因編碼,該基因位于19號染色體的p13.12位置。DNAJB1是分子伴侶,具有J結構域,能夠刺激Hsp70熱休克蛋白的ATP酶活性,以促進蛋白質折疊并防止錯誤折疊的蛋白質聚集。DNAJB1可參與多種細胞事件,如蛋白質折疊和寡聚蛋白復合物的組裝,對維持細胞內的蛋白質穩態至關重要。
熱銷產品
Recombinant Human DnaJ homolog subfamily B member 1 (DNAJB1) (CSB-RP039344h)
驗證數據
(Tris-Glycine gel) Discontinuous SDS-PAGE (reduced) with 5% enrichment gel and 15% separation gel.
DNAJB1 Antibody (CSB-PA03934A0Rb)
驗證數據
Western blot
All lanes: DNAJB1 antibody at 3µg/ml
Lane 1: Mouse spleen tissue
Lane 2: Colo320 whole cell lysate
Lane 3: Hela whole cell lysate
Lane 4: LO2 whole cell lysate
Lane 5: HepG2 whole cell lysate
Lane 6: HT29 whole cell lysate
Lane 7: A549 whole cell lysate
Lane 8: Jurkat whole cell lysate
Lane 9: MCF-7 whole cell lysate
Secondary
Goat polyclonal to rabbit IgG at 1/10000 dilution
Predicted band size: 39, 28 kDa
Observed band size: 39 kDa
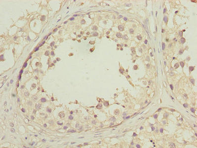
Immunohistochemistry of paraffin-embedded human testis tissue using CSB-PA03934A0Rb at dilution of 1:100
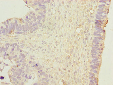
Immunohistochemistry of paraffin-embedded human ovarian cancer using CSB-PA03934A0Rb at dilution of 1:100
DNAJB1 Antibodies
DNAJB1 for Homo sapiens (Human)
| 產品貨號 | 產品名稱 | 種屬反應性 | 應用類型 |
|---|---|---|---|
| CSB-PA03934A0Rb | DNAJB1 Antibody | Human, Mouse | ELISA, WB, IHC |
| CSB-PA007003GA01HU | DNAJB1 Antibody | Human,Mouse,Rat | ELISA,WB,IHC,IF |
| CSB-PA288820 | DNAJB1 Antibody | Human,Mouse,Rat | ELISA,WB,IHC,IF |
| CSB-PA002989 | DNAJB1 Antibody | Human,Mouse,Rat | WB, IHC, IF, ELISA |
| CSB-PA795084 | DNAJB1 Antibody | Human,Mouse | ELISA,IHC |
| CSB-PA183145 | DNAJB1 Antibody | Human,Mouse | ELISA,WB,IHC |
| CSB-PA700713 | DNAJB1 Antibody | Human,Mouse,Rat | WB, IHC, ELISA |
DNAJB1 Proteins
DNAJB1 Proteins for Homo sapiens (Human)
| 產品貨號 | 產品名稱 | 來源 |
|---|---|---|
| CSB-YP007003HU CSB-EP007003HU CSB-BP007003HU CSB-MP007003HU CSB-EP007003HU-B |
Recombinant Human DnaJ homolog subfamily B member 1 (DNAJB1) | Yeast E.coli Baculovirus Mammalian cell In Vivo Biotinylation in E.coli |
| CSB-RP039344h | Recombinant Human DnaJ homolog subfamily B member 1 (DNAJB1) | E.coli |
DNAJB1 Proteins for Bos taurus (Bovine)
| 產品貨號 | 產品名稱 | 來源 |
|---|---|---|
| CSB-YP668674BO CSB-EP668674BO CSB-BP668674BO CSB-MP668674BO CSB-EP668674BO-B |
Recombinant Bovine DnaJ homolog subfamily B member 1 (DNAJB1) | Yeast E.coli Baculovirus Mammalian cell In Vivo Biotinylation in E.coli |
DNAJB1 Proteins for Mus musculus (Mouse)
| 產品貨號 | 產品名稱 | 來源 |
|---|---|---|
| CSB-YP882565MO CSB-EP882565MO CSB-BP882565MO CSB-MP882565MO CSB-EP882565MO-B |
Recombinant Mouse DnaJ homolog subfamily B member 1 (Dnajb1) | Yeast E.coli Baculovirus Mammalian cell In Vivo Biotinylation in E.coli |






