DNAJB1 Antibody
-
中文名稱:DNAJB1兔多克隆抗體
-
貨號:CSB-PA700713
-
規格:¥1090
-
圖片:
-
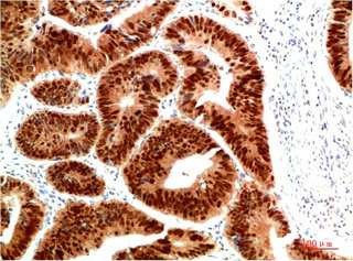
Immunohistochemical analysis of paraffin-embedded Human Colon Carcinoma Tissue using HSP40 Rabbit pAb diluted at 1:200
-
Immunohistochemical analysis of paraffin-embedded Human Brain Tissue using HSP40 Rabbit pAb diluted at 1:200
-
Western blot analysis of 1) C2C12 Cell Lysate, 2)PC12 Cell Lysate, 3) Hela Cell Lysate using HSP40 Rabbit pAb diluted at 1:1000.
-
-
其他:
產品詳情
-
Uniprot No.:
-
基因名:
-
別名:DnaJ (Hsp40) homolog subfmaily B member 1 antibody; DNAJ 1 antibody; DNAJ B1 antibody; DnaJ heat shock protein family (Hsp40) member B1 antibody; DnaJ homolog subfamily B member 1 antibody; DnaJ protein homolog 1 antibody; DNAJ1 antibody; DNAJB 1 antibody; Dnajb1 antibody; DNAJB1 protein antibody; DNJB1_HUMAN antibody; HDJ 1 antibody; HDJ-1 antibody; HDJ1 antibody; Heat shock 40 kDa protein 1 antibody; Heat shock 40kD protein 1 antibody; Heat shock protein 40 antibody; Hsp 40 antibody; HSP40 antibody; HSPF 1 antibody; HSPF1 antibody; Human DnaJ protein 1 antibody; Radial spoke 16 homolog B antibody; RSPH16B antibody; Sis1 antibody
-
宿主:Rabbit
-
反應種屬:Human,Mouse,Rat
-
免疫原:Recombinant Protein
-
免疫原種屬:Homo sapiens (Human)
-
標記方式:Non-conjugated
-
純化方式:The antibody was affinity-purified from rabbit serum by affinity-chromatography using specific immunogen.
-
濃度:It differs from different batches. Please contact us to confirm it.
-
保存緩沖液:Liquid in PBS containing 50% glycerol, 0.5% BSA and 0.02% sodium azide.
-
產品提供形式:Liquid
-
應用范圍:WB, IHC, ELISA
-
推薦稀釋比:
Application Recommended Dilution WB 1:500-1:2000 IHC 1:100-1:300 ELISA 1:10000 -
Protocols:
-
儲存條件:Upon receipt, store at -20°C or -80°C. Avoid repeated freeze.
-
貨期:Basically, we can dispatch the products out in 1-3 working days after receiving your orders. Delivery time maybe differs from different purchasing way or location, please kindly consult your local distributors for specific delivery time.
-
用途:For Research Use Only. Not for use in diagnostic or therapeutic procedures.
相關產品
靶點詳情
-
功能:Interacts with HSP70 and can stimulate its ATPase activity. Stimulates the association between HSC70 and HIP. Negatively regulates heat shock-induced HSF1 transcriptional activity during the attenuation and recovery phase period of the heat shock response. Stimulates ATP hydrolysis and the folding of unfolded proteins mediated by HSPA1A/B (in vitro).
-
基因功能參考文獻:
- this study shows that DNAJB1/HSP40 suppresses Melanoma Differentiation-Associated Gene 5-Mitochondrial Antiviral Signaling Protein function in conjunction with HSP70 PMID: 29069650
- Modeling of the different conformations of PRKACA-DNAJB1 Chimeric Kinase revealed no obvious steric interactions of the J-domain with the rest of the RIIbeta holoenzyme. PMID: 29335433
- Data show that DnaJ (Hsp40) homolog, subfamily B, member 1 (DNAJB1) is a transcriptional target of forkhead box protein E3 (FOXE3) in a pathway that is crucial for the development of the anterior segment of the eye. PMID: 27218149
- These results indicate that Mixed fibrolamellar hepatocellular carcinoma (mFL-HCC) is similar to pure FL-HCC at the genomic level and the DNAJB1:PRKACA fusion can be used as a diagnostic tool for both pure and mFL-HCC PMID: 27029710
- These studies demonstrate an important role for cellular chaperone Hsp40/DnaJB1 in influenza A virus life cycle by assisting nuclear trafficking of viral ribonucleoproteins. PMID: 26750153
- DNAJB1-PRKACA was evaluated as a key driver of fibrolamellar carcinoma and as a candidate therapeutic target PMID: 26505878
- study provides a new molecular mechanism to regulate EGFR signaling through modulation of MIG6 by DNAJB1 as a negative regulator. PMID: 26239118
- Whole exome sequencing followed by immunohistochemistry of fibrolamellar hepatocellular carcinoma cell lines and tumors showed two structural variants resulting in fusion transcripts: DNAJB1-PRKCA and CLPTM1L-GLIS3. PMID: 25122662
- In this cohort of fibrolamellar hepatocellular carcinoma, almost 80% contained the DNAJB1-PRKACA fusion transcript. PMID: 25557953
- Authors identified DNAJB1 as a negative regulator of PDCD5-mediated apoptosis and found that the apoptosis network of PDCD5 regulates cancer cell death. PMID: 25444898
- We also found that, despite an initial report to the contrary, the human homolog of Sis1, Hdj1, is capable of [PSI+] prion propagation in place of Sis1 PMID: 25058638
- HSP40 interacts with pyruvate kinase M2 and regulates glycolysis and cell proliferation in tumor cells. PMID: 24658033
- Studies with specific phosphoantibodies indicate that MK5 phosphorylates Hsp40/DnaJB1 in vivo at Ser-149 or/and Ser-151 and Ser-171 in the C-terminal domain of Hsp40/DnaJB1. PMID: 24309468
- Evidence supporting the presence of the DNAJB1-PRKACA chimeric transcript in 100% of the FL-HCCs examined (15/15) suggests that this genetic alteration contributes to tumor pathogenesis. PMID: 24578576
- we discovered a new MDM2 interacting protein, DNAJB1, and provided evidence to support its p53-dependent tumor suppressor function. PMID: 24361594
- HSP40 and HSP110 function together in protein homeostasis control. PMID: 24091676
- methionine deprivation results in an antioxidant response that includes an increase in the levels of HSPA1A and DNAJB1 mRNA PMID: 23395854
- There was a positive correlation between DnaJB1 and severity of pulmonary arterial hypertension in peripheral blood mononuclear cells from patients with limited cutaneous systemic sclerosis. PMID: 23400395
- Hsp40 regulates the amount of keratin proteins via ubiquitin-proteasome pathway. PMID: 22075554
- Mammalian Hsp110 (Apg-2), Hsp70 (Hsc70 or Hsp70) and Hsp40 (Hdj1) were necessary and sufficient to slowly dissolve large disordered aggregates and recover natively folded protein PMID: 22022600
- Cellular localization studies showed that NP and Hsp40 co-localize primarily in the nucleus. During IAV infection in mammalian cells, expression of NP coincided with the dissociation of P58(IPK) from Hsp40 and decrease PKR phosphorylation PMID: 21698289
- The antiviral activity of overexpressed DNAJC14 occurs in a time- and dose-dependent manner. PMID: 21249176
- The crystal structure of full-length Hdj1 was diffracted to 3.90A resolution. PMID: 21139202
- 5-fluorouracil & carboplatin specifically induce expression of Hsp40 in hepatoma cells. siRNA knockdown of Hsp40 diminishes survival of drug-exposed cells. PMID: 19901540
- Altered expression of HSPF1 was found in brains and lymphoblastoid cells from patients with bipolar disorder. PMID: 14743183
- sequestered in discrete foci in the nucleus of the infected cell in herpes simplex virus type 1 infection PMID: 15194794
- It is confirmed an increased expression of HSPF1 in the lymphoblastoid cell lines from patients with bipolar I disorder, bipolar II disorder, and schizophrenia. PMID: 15362566
- Hsp40 is crucial for Nef-mediated enhancement of viral gene expression and replication PMID: 16179353
- hepatitis B virus X protein is the major target of Hdj1 in the inhibition of hepatitis B virus replication PMID: 16842747
- These results demonstrate a role for Hsp40/DnaJB6 in the regulation of HIV-2 PIC nuclear transport. PMID: 18032501
- The 2.7A structure reveals that Hdj1 forms a homodimer in the crystal by a crystallographic two-fold axis. PMID: 18211704
顯示更多
收起更多
-
亞細胞定位:Cytoplasm. Nucleus. Nucleus, nucleolus. Note=Translocates rapidly from the cytoplasm to the nucleus, and especially to the nucleoli, upon heat shock.
-
數據庫鏈接:
Most popular with customers
-
-
YWHAB Recombinant Monoclonal Antibody
Applications: ELISA, WB, IHC, IF, FC
Species Reactivity: Human, Mouse, Rat
-
Phospho-YAP1 (S127) Recombinant Monoclonal Antibody
Applications: ELISA, WB, IHC
Species Reactivity: Human
-
-
-
-
-















