CTSC
CTSC,全稱為組織蛋白酶C,常被稱作二肽基肽酶I或組織蛋白酶J。它是一種溶酶體半胱氨酸蛋白酶,多存在于中性粒細胞、巨噬細胞等免疫細胞中,能激活多種蛋白水解酶,這些酶在身體對抗病原體入侵、清理受損細胞的過程里扮演關鍵角色。CTSC功能異常時,可能引發多種疾病——比如遺傳性的Papillon-Lefèvre綜合征,患者會出現手掌足底皮膚過度角化,還伴隨嚴重的牙周組織破壞;此外,它也和類風濕關節炎、慢性阻塞性肺疾病這類慢性炎癥疾病的進展相關。目前針對該蛋白的藥物研發正在推進,一些小分子抑制劑被嘗試用于緩解炎癥反應,部分候選藥物已進入臨床前或早期臨床試驗階段,有望為相關疾病的治療提供新方向。
熱銷產品
Recombinant Human Dipeptidyl peptidase 1 (CTSC) (Active) (CSB-MP006186HU)
驗證數據
(Tris-Glycine gel) Discontinuous SDS-PAGE (reduced) with 5% enrichment gel and 15% separation gel.
Activity
Measured by its ability to cleave the fluorogenic peptide substrate, Gly-Arg-7-amido-4-methylcoumarin (GR-AMC). The specific activity is >200 pmol/min/μg. The Human CTSC needs to be activated by Human CTSL (CSB-MP006193HU(A4)).
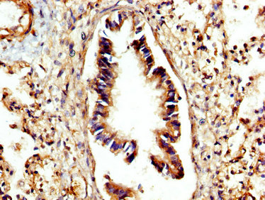
CTSC Antibody (CSB-PA006186LA01HU)
驗證數據
IHC image of CSB-PA006186LA01HU diluted at 1:300 and staining in paraffin-embedded human lung tissue performed on a Leica BondTM system. After dewaxing and hydration, antigen retrieval was mediated by high pressure in a citrate buffer (pH 6.0). Section was blocked with 10% normal goat serum 30min at RT. Then primary antibody (1% BSA) was incubated at 4°C overnight. The primary is detected by a biotinylated secondary antibody and visualized using an HRP conjugated SP system.
CTSC Antibodies
CTSC for Homo sapiens (Human)
| 產品貨號 | 產品名稱 | 種屬反應性 | 應用類型 |
|---|---|---|---|
| CSB-PA000029 | Cleaved-CTSC (R394) Antibody | Human | WB, ELISA |
| CSB-PA115010 | CTSC Antibody | Human | ELISA,WB,IHC |
| CSB-PA358929 | CTSC Antibody | Human | ELISA,WB,IHC |
| CSB-PA006186LA01HU | CTSC Antibody | Human | ELISA, IHC |
| CSB-PA006186LB01HU | CTSC Antibody, HRP conjugated | Human | ELISA |
| CSB-PA006186LC01HU | CTSC Antibody, FITC conjugated | Human | |
| CSB-PA006186LD01HU | CTSC Antibody, Biotin conjugated | Human | ELISA |
CTSC Proteins
CTSC Proteins for Rattus norvegicus (Rat)
| 產品貨號 | 產品名稱 | 來源 |
|---|---|---|
| CSB-YP006186RA CSB-EP006186RA CSB-BP006186RA CSB-MP006186RA CSB-EP006186RA-B |
Recombinant Rat Dipeptidyl peptidase 1 (Ctsc) | Yeast E.coli Baculovirus Mammalian cell In Vivo Biotinylation in E.coli |
CTSC Proteins for Mus musculus (Mouse)
| 產品貨號 | 產品名稱 | 來源 |
|---|---|---|
| CSB-YP006186MO CSB-BP006186MO CSB-MP006186MO CSB-EP006186MO-B |
Recombinant Mouse Dipeptidyl peptidase 1 (Ctsc), partial | Yeast Baculovirus Mammalian cell In Vivo Biotinylation in E.coli |
CTSC Proteins for Homo sapiens (Human)
| 產品貨號 | 產品名稱 | 來源 |
|---|---|---|
| CSB-YP006186HU CSB-EP006186HU CSB-BP006186HU CSB-EP006186HU-B |
Recombinant Human Dipeptidyl peptidase 1 (CTSC), partial | Yeast E.coli Baculovirus In Vivo Biotinylation in E.coli |
| CSB-MP006186HU | Recombinant Human Dipeptidyl peptidase 1 (CTSC) (Active) | Mammalian cell |
CTSC Proteins for Canis familiaris (Dog) (Canis lupus familiaris)
| 產品貨號 | 產品名稱 | 來源 |
|---|---|---|
| CSB-YP006186DO CSB-EP006186DO CSB-BP006186DO CSB-MP006186DO CSB-EP006186DO-B |
Recombinant Dog Dipeptidyl peptidase 1 (CTSC) | Yeast E.coli Baculovirus Mammalian cell In Vivo Biotinylation in E.coli |
CTSC Proteins for Bos taurus (Bovine)
| 產品貨號 | 產品名稱 | 來源 |
|---|---|---|
| CSB-YP671368BO CSB-EP671368BO CSB-BP671368BO CSB-MP671368BO CSB-EP671368BO-B |
Recombinant Bovine Dipeptidyl peptidase 1 (CTSC) | Yeast E.coli Baculovirus Mammalian cell In Vivo Biotinylation in E.coli |
CTSC Proteins for Macaca fascicularis (Crab-eating macaque) (Cynomolgus monkey)
| 產品貨號 | 產品名稱 | 來源 |
|---|---|---|
| CSB-YP717180MOV CSB-EP717180MOV CSB-BP717180MOV CSB-MP717180MOV CSB-EP717180MOV-B |
Recombinant Macaca fascicularis Dipeptidyl peptidase 1 (CTSC) | Yeast E.coli Baculovirus Mammalian cell In Vivo Biotinylation in E.coli |
CTSC Proteins for Pongo abelii (Sumatran orangutan)
| 產品貨號 | 產品名稱 | 來源 |
|---|---|---|
| CSB-YP735773PYX CSB-EP735773PYX CSB-BP735773PYX CSB-MP735773PYX CSB-EP735773PYX-B |
Recombinant Pongo abelii Dipeptidyl peptidase 1 (CTSC) | Yeast E.coli Baculovirus Mammalian cell In Vivo Biotinylation in E.coli |






