CTSC Antibody
-
中文名稱:CTSC兔多克隆抗體
-
貨號:CSB-PA115010
-
規格:¥1100
-
圖片:
-
The image on the left is immunohistochemistry of paraffin-embedded Human thyroid cancer tissue using CSB-PA115010(CTSC Antibody) at dilution 1/50, on the right is treated with synthetic peptide. (Original magnification: ×200)
-
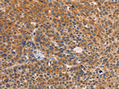
The image on the left is immunohistochemistry of paraffin-embedded Human liver cancer tissue using CSB-PA115010(CTSC Antibody) at dilution 1/50, on the right is treated with synthetic peptide. (Original magnification: ×200)
-
Gel: 6%SDS-PAGE, Lysate: 40 μg, Lane: Human placenta tissue, Primary antibody: CSB-PA115010(CTSC Antibody) at dilution 1/1000, Secondary antibody: Goat anti rabbit IgG at 1/8000 dilution, Exposure time: 2 minutes
-
-
其他:
產品詳情
-
Uniprot No.:
-
基因名:
-
別名:AI047818 antibody; CATC antibody; CATC_HUMAN antibody; Cathepsin C antibody; Cathepsin J antibody; CPPI antibody; CTSC antibody; Dipeptidyl peptidase 1 antibody; Dipeptidyl peptidase 1 light chain antibody; Dipeptidyl peptidase I antibody; Dipeptidyl peptidase I exclusion domain chain antibody; Dipeptidyl peptidase I heavy chain antibody; Dipeptidyl peptidase I light chain antibody; Dipeptidyl transferase antibody; DPP I antibody; DPP-I antibody; DPPI antibody; EC 3.4.14.1 antibody; HMS antibody; JP antibody; JPD antibody; MGC126959 antibody; PALS antibody; PDON1 antibody; PLS antibody
-
宿主:Rabbit
-
反應種屬:Human
-
免疫原:Synthetic peptide of Human CTSC
-
免疫原種屬:Homo sapiens (Human)
-
標記方式:Non-conjugated
-
抗體亞型:IgG
-
純化方式:Antigen affinity purification
-
濃度:It differs from different batches. Please contact us to confirm it.
-
保存緩沖液:-20°C, pH7.4 PBS, 0.05% NaN3, 40% Glycerol
-
產品提供形式:Liquid
-
應用范圍:ELISA,WB,IHC
-
推薦稀釋比:
Application Recommended Dilution ELISA 1:2000-1:5000 WB 1:500-1:2000 IHC 1:50-1:200 -
Protocols:
-
儲存條件:Upon receipt, store at -20°C or -80°C. Avoid repeated freeze.
-
貨期:Basically, we can dispatch the products out in 1-3 working days after receiving your orders. Delivery time maybe differs from different purchasing way or location, please kindly consult your local distributors for specific delivery time.
-
用途:For Research Use Only. Not for use in diagnostic or therapeutic procedures.
相關產品
靶點詳情
-
功能:Thiol protease. Has dipeptidylpeptidase activity. Active against a broad range of dipeptide substrates composed of both polar and hydrophobic amino acids. Proline cannot occupy the P1 position and arginine cannot occupy the P2 position of the substrate. Can act as both an exopeptidase and endopeptidase. Activates serine proteases such as elastase, cathepsin G and granzymes A and B. Can also activate neuraminidase and factor XIII.
-
基因功能參考文獻:
- expression markedly increased in the maternal vascular endothelium in subjects with preeclampsia compared with normal pregnant controls PMID: 28878298
- A compound mutation consisting of a large deletion and a nonsense mutation, which provides a new insight in the mutation type of CTSC gene. PMID: 26385525
- CTSC gene missense mutation is responsible for Papillo- Lefevre syndrome in a Turkish family. PMID: 27062382
- analysis of fluorescent substrates provides a detailed S' specificity study of cathepsin C PMID: 27746119
- Mutation screening of the CTSC gene from the two patients revealed the presence of the same homozygous nonsense mutation in Papillon-Lefevre syndrome and Haim-Munk syndromes. Phenotypic variants of the same rare disease caused by mutations of the cathepsin C (CTSC) gene. PMID: 26205983
- Neutrophilic Cathepsin C Is Maturated by a Multistep Proteolytic Process and Secreted by Activated Cells during Inflammatory Lung Diseases. PMID: 26884336
- CTSC was associated with albuminuria in type 2 diabetes patients. PMID: 26631737
- Homozygous mutation 901G>A in exon 7 of CTSC gene is associated with Papillon-Lefevre syndrome. PMID: 27060303
- Results identify a missense mutation in CTSC gene that segregate within a family with Papillon-Lefevre syndrome. PMID: 25799584
- Papillon-Lefevre syndrome cause by homozygous nonsense mutation of cathepsin C gene. PMID: 24894642
- CatC has a role in the selective tuning of innate and adaptive immune responses, relevant to a chronic immune disease, such as atherosclerosis. PMID: 25395616
- cathepsin C in GCF does not seem to have an effect on the pathogenesis of periodontal diseases. PMID: 24949444
- The present account of the 148.621 kb homozygous deletion on chromosome 11 is the first report of a mutational mechanism encompassing the whole CTSC gene. PMID: 23556547
- CTSC mutations in 5 Iranian families with Papillon-Lefevre syndrome (PLS)analyzed; modeled the protein for mutations found in 2 of them; presence of this mutation provides evidence for founder CTSC mutations in PLS; this P35delL mutation leads to loss of a leucine residue; results indicate the phenotypes in these 2 patients likely due to CTSC mutations PMID: 24374475
- Report novel deletion mutation in CTSC gene in Hungarian family with Papillon-Lefevre syndrome. PMID: 23397598
- Cathepsin C gene 5'-untranslated region mutation in papillon-lefevre syndrome in 4 unrelated families in Slovenia PMID: 23108224
- The novel loss-of function mutation of CTSC gene (c.203 T > G) found in Papillon-Lefevre Syndrome patients correlated with their diminished enzymatic activity. PMID: 23311634
- present a catalytic model derived from the relative rates of the acylation vs deacylation half-reactions of cathepsin C. PMID: 22928782
- The Cathepsin C releases the glycosidases from complexes formed with cathepsin A, and reinstates their activity. PMID: 22532132
- Two Indian siblings present with Haim Munk syndrome (HMS) and its cardinal features including palmoplantar keratoderma, periodontitis. arachnodactyly, acroosteolysis, onychogryphosis, osteopenia as well as allelic mutation of cathepsin C exon 6 codon. PMID: 21393975
- Processing of human protryptase in mast cells involves cathepsins L, B, and C. PMID: 21742978
- A novel mutation in the cathepsin C gene is reported in a Pakistani family with Papillon-Lefevre syndrome. PMID: 20236208
- This report described a novel mutation (c.267-268del)in a family with Brazilian Papillon-Lefevre syndrome and presented a review of all cathepsin C (65) mutations reported to date. PMID: 20359428
- study identified an identical recurrent missense mutation, R272P, in 3 families with Papillon-Lefevre syndrome(PLS); presence of this mutation in families from 2 different geographical areas provides evidence for founder effect for CTSC mutations in PLS PMID: 19816003
- Sequencing of the mutant cathepsin C transcript revealed that it lacked exon 3, resulting in a frameshift and introduction of a premature termination codon in Papillon-Lefevre syndrome. PMID: 11914041
- Selective inhibition prevents the partial processing of procaspase-3 in CD3-activated human CD8(+) T lymphocytes PMID: 12080079
- Identification of a novel cathepsin C mutation (p.W185X) in a Brazilian kindred with Papillon-Lefevre syndrome. PMID: 12083812
- All Papillon-Lefevre syndrome affected individuals from three Indian families showed three novel homozygous nonsense mutations in CTSC. PMID: 12857359
- Three novel CTSC missense mutations found in 21 Papillon-Lefevre syndrome families, and a complete loss of CTSC function appears to be necessary for the manifestation of this phenotype. PMID: 14974080
- homozygous deletion of 7 nucelotides in exon 4, creating a premature stop codon 11 amino acids downstream; 2 heterozygous missense mutations in exon 7: 1) substitution of leucine by arginine; 2)changing tryptophan to serine. PMID: 15111626
- This report describes the apparent reason why the study of the natural history of human patients with Papillon-Lefevre syndrome has failed to detect a generalized T cell immunodeficiency phenotype. PMID: 15585850
- DPP-I may play a role in converting endogenous beta-melanocortin MSH(5-22) to more potent peptides that regulate energy homeostasis in the hypothalamus. PMID: 15985311
- The structure of the inhibitor complex provides an explanation of the substrate specificity of hDPPI, and gives a background for the design of new inhibitors. PMID: 17020538
- inhibition of activation of multiple serine proteases with a cathepsin C inhibitor requires sustained exposure to prevent pro-enzyme processing PMID: 17535802
- Novel mutations in two Chinese patients with Papillon-Lefevre syndrome PMID: 17652201
- G386R missense mutation and an intragenic deletion spanning exons 3-7 and homozygous splice site mutation, p.A253SfsX30 found in papillon-Lefevre syndrome PMID: 17943190
- study aimed to identify CTSC mutations in different Papillon-Lefevre phenotypes, including atypical forms and isolated pre-pubertal aggressive periodontitis PMID: 18294227
- Cathepsin C propeptide interacts with intestinal alkaline phosphatase (IAP) and heat shock cognate protein 70. The propeptide of cathepsin C may stimulate the sorting to the lysosome contributing to the degradation of IAP in Caco-2 cells. PMID: 18307834
- gene variants contribute to increased susceptibility in generalized aggressive periodontitis PMID: 18809751
- Mutations of the cathepsin C gene are probably responsible for the phenotype of Papillon-Lefevre syndrome in this family. PMID: 18841559
顯示更多
收起更多
-
相關疾?。?/div>Papillon-Lefevre syndrome (PLS); Haim-Munk syndrome (HMS); Periodontititis, aggressive, 1 (AP1)亞細胞定位:Lysosome.蛋白家族:Peptidase C1 family組織特異性:Ubiquitous. Highly expressed in lung, kidney and placenta. Detected at intermediate levels in colon, small intestine, spleen and pancreas.數據庫鏈接:
Most popular with customers
-
-
YWHAB Recombinant Monoclonal Antibody
Applications: ELISA, WB, IHC, IF, FC
Species Reactivity: Human, Mouse, Rat
-
Phospho-YAP1 (S127) Recombinant Monoclonal Antibody
Applications: ELISA, WB, IHC
Species Reactivity: Human
-
-
-
-
-















