AOC3
AOC3(醛氧化酶3)是一種屬于醛氧化酶家族的酶,其核心結構包含一個關鍵的黃素腺嘌呤二核苷酸(FAD)輔基,用于催化醛類物質的氧化反應。盡管AOC3不直接參與特定的信號通路,但其通過催化醛類物質轉化為羧酸的過程,間接影響了細胞內的氧化還原平衡、細胞增殖和凋亡等生理過程。AOC3的主要功能是減輕醛類物質的生物活性和毒性,保護生物體免受其潛在危害。此外,AOC3還參與藥物的代謝和解毒過程,對降低藥物毒性和副作用具有重要作用。
熱銷產品
AOC3 Antibody (CSB-PA624122LA01HU)
驗證數據
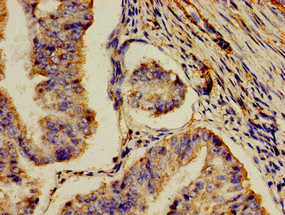
Immunohistochemistry of paraffin-embedded human endometrial cancer using CSB-PA624122LA01HU at dilution of 1:100
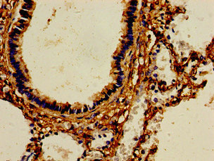
Immunohistochemistry of paraffin-embedded human lung tissue using CSB-PA624122LA01HU at dilution of 1:100
Immunofluorescent analysis of A549 cells using CSB-PA624122LA01HU at dilution of 1:100 and Alexa Fluor 488-congugated AffiniPure Goat Anti-Rabbit IgG(H+L)
AOC3 Antibodies
AOC3 for Homo sapiens (Human)
| 產品貨號 | 產品名稱 | 種屬反應性 | 應用類型 |
|---|---|---|---|
| CSB-PA001855GA01HU | AOC3 Antibody | Human,Mouse,Rat | ELISA,WB |
| CSB-PA624122LA01HU | AOC3 Antibody | Human | ELISA, IHC, IF |
| CSB-PA624122LC01HU | AOC3 Antibody, FITC conjugated | Human | |
| CSB-PA624122LD01HU | AOC3 Antibody, Biotin conjugated | Human | ELISA |
| CSB-RA624122MA1HU | AOC3 Recombinant Monoclonal Antibody | Human | ELISA, IHC |
AOC3 Proteins
AOC3 Proteins for Homo sapiens (Human)
| 產品貨號 | 產品名稱 | 來源 |
|---|---|---|
| CSB-YP624122HU1 CSB-EP624122HU1 CSB-BP624122HU1 CSB-MP624122HU1 CSB-EP624122HU1-B |
Recombinant Human Membrane primary amine oxidase (AOC3), partial | Yeast E.coli Baculovirus Mammalian cell In Vivo Biotinylation in E.coli |






