AOC3 Recombinant Monoclonal Antibody
-
中文名稱:AOC3重組抗體
-
貨號:CSB-RA624122MA1HU
-
規格:¥1320
-
圖片:
-
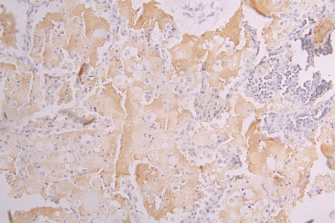
IHC image of CSB-RA624122MA1HU diluted at 1:150 and staining in paraffin-embedded human lung tissue performed on a Leica BondTM system. After dewaxing and hydration, antigen retrieval was mediated by high pressure in a citrate buffer (pH 6.0). Section was blocked with 10% normal goat serum 30min at RT. Then primary antibody (1% BSA) was incubated at 4°C overnight. The primary is detected by a Goat anti-human polymer IgG labeled by HRP and visualized using 0.05% DAB.
-
IHC image of CSB-RA624122MA1HU diluted at 1:150 and staining in paraffin-embedded human adrenal gland tissue performed on a Leica BondTM system. After dewaxing and hydration, antigen retrieval was mediated by high pressure in a citrate buffer (pH 6.0). Section was blocked with 10% normal goat serum 30min at RT. Then primary antibody (1% BSA) was incubated at 4°C overnight. The primary is detected by a Goat anti-human polymer IgG labeled by HRP and visualized using 0.05% DAB.
-
-
其他:
產品詳情
-
產品描述:AOC3 Recombinant Monoclonal Antibody(CSB-RA624122MA1HU)是一款經ELISA和免疫組化(IHC)驗證的高特異性抗體,靶向血管粘附蛋白-1(AOC3/VAP-1),該蛋白是一種膜結合胺氧化酶,在血管內皮細胞和炎癥部位高表達,參與調控白細胞遷移及炎癥反應,與多種慢性炎癥性疾病、纖維化及腫瘤微環境調控密切相關。本抗體通過重組技術制備,在IHC實驗中可清晰定位AOC3蛋白在組織切片中的特異性表達,推薦使用稀釋比例為1:50-1:200,實驗結果呈現低背景、高信號強度的特點,且在多個物種來源的組織樣本中驗證了交叉反應性。該產品適用于科研領域中對AOC3蛋白在炎癥相關病理機制、免疫細胞浸潤過程或腫瘤血管生成研究中的表達模式分析,可為體外實驗提供可靠的蛋白定位及半定量檢測支持,但不適用于臨床診斷或治療用途。
-
Uniprot No.:
-
基因名:
-
別名:Amine oxidase; copper containing 3 (vascular adhesion protein 1) antibody; AOC3 antibody; AOC3_HUMAN antibody; Copper amine oxidase antibody; HPAO antibody; Membrane copper amine oxidase antibody; Membrane primary amine oxidase antibody; Semicarbazide sensitive amine oxidase antibody; Semicarbazide-sensitive amine oxidase antibody; SSAO antibody; VAP-1 antibody; Vascular adhesion protein 1 antibody; VP97 antibody
-
反應種屬:Human
-
免疫原:Recombinant Human AOC3 protein
-
免疫原種屬:Homo sapiens (Human)
-
標記方式:Non-conjugated
-
克隆類型:Monoclonal
-
抗體亞型:hIgG4
-
純化方式:Affinity-chromatography
-
克隆號:3D3
-
濃度:It differs from different batches. Please contact us to confirm it.
-
保存緩沖液:Preservative: 0.03% Proclin 300
Constituents: 50% Glycerol, 0.01M PBS, PH 7.4 -
產品提供形式:Liquid
-
應用范圍:ELISA, IHC
-
推薦稀釋比:
Application Recommended Dilution IHC 1:50-1:200 -
Protocols:
-
儲存條件:Upon receipt, store at -20°C or -80°C. Avoid repeated freeze.
-
貨期:Basically, we can dispatch the products out in 1-3 working days after receiving your orders. Delivery time maybe differs from different purchasing way or location, please kindly consult your local distributors for specific delivery time.
-
用途:For Research Use Only. Not for use in diagnostic or therapeutic procedures.
相關產品
靶點詳情
-
功能:Cell adhesion protein that participates in lymphocyte extravasation and recirculation by mediating the binding of lymphocytes to peripheral lymph node vascular endothelial cells in an L-selectin-independent fashion. Has semicarbazide-sensitive (SSAO) monoamine oxidase activity. May play a role in adipogenesis.
-
基因功能參考文獻:
- The study showed that serum VAP-1 level increased with an increasing severity of obstruction in patients with stable COPD. This increase was associated with a reduced quality of life and increased severity of hypoxia. PMID: 29229088
- VAP-1 expression is increased in primary sclerosing cholangitis, facilitates adhesion of gut-tropic lymphocytes to liver endothelium in a substrate-dependent manner, and elevated levels of its circulating form predict clinical outcome in patients. PMID: 28428344
- immunohistochemistry revealed that VAP-1 localized to endothelial cells of intra-plaque neovessels in carotid endarterectomy samples from patients with recent ischemic symptoms PMID: 27731409
- Adipose tissue SSAO activity did not vary according to anatomical location and/or metabolic status in severely obese women. PMID: 27766585
- Correlation among soluble receptors for advanced glycation end-products, soluble vascular adhesion protein-1/semicarbazide-sensitive amine oxidase (sVAP-1) and cardiometabolic risk markers in apparently healthy adolescents: a cross-sectional study PMID: 27300745
- This study showed that the oxidase activity of AOC3 contributes to the development of lung fibrosis mainly by regulating the accumulation of pathogenic leukocyte subtypes, which drive the fibrotic response. PMID: 28251930
- The mechanism of the Siglec-9 and AOC3 interaction PMID: 27893774
- psoriatic patients with the dominant AT1R-A1166C polymorphism had significantly higher serum levels of VAP-1 and MDA but lower total bilirubine, uric acid, ARE, SOD and CAT activities compared to the corresponding control group PMID: 26395033
- These findings suggest that vaspin and VAP-1 may play a role in the pathogenesis of psoriasis and can be used as markers of the disease PMID: 25279492
- Our results show that colorectal myofibroblasts, as defined by the expression of AOC3, NKX2-3, and other markers, are a distinctly different cell type from TGFbeta-activated fibroblasts PMID: 27036009
- In this article, we will review the general characteristics and biological functions of VAP-1, focusing on its important role as a prognostic biomarker in human pathologies. [review] PMID: 26287391
- serum VAP-1 can predict ESRD and is a useful biomarker to improve risk stratification in type 2 diabetic subjects. PMID: 26845338
- It stimulates amyloid beta proteins on the vascular walls, and is contributing to cerebral amyloid angiopathies and Alzheimer disease. PMID: 25457560
- Higher serum VAP-1 and Chronic kidney disease can independently predict future development of cancers in type II diabetic subjects PMID: 24781952
- Complexes of human ORP2 and VAPs at endoplasmic reticulum-lipid droplet interfaces regulate the hydrolysis of triglycerides and lipid droplet turnover. PMID: 25420878
- these results link the amine oxidase activity of VAP-1 with hepatic inflammation and fibrosis and suggest that targeting VAP-1 has therapeutic potential for NAFLD and other chronic fibrotic liver diseases. PMID: 25562318
- the semicarbazide-sensitive amine oxidase activity of VAP-1 modifies hepatic glucose homeostasis and may contribute to patterns of GLUT expression in chronic disease. PMID: 25342050
- This study demonstrated that low serum VAP-1 levels are associated with poor prognosis in gastric cancer patients. PMID: 24903765
- Serum VAP-1 predicts mortality independently and improves risk stratification in colorectal cancer subjects. PMID: 24211727
- SSAO expression in endothelial cells increases oxygen-glucose-deprivation-associated cell damage. It mediates some tissue damage during the reoxygenation process by oxidizing its known enzymatic substrate, methylamine. PMID: 24503888
- We concluded that VAP-1, elevated in patients on Peritoneal Dialysis, was predominantly dependent on residual kidney function and glucose level, factors both linked to endothelial damage and cardiovascular complications. PMID: 24379274
- VAP-1 elevations in heart transplant recipients were predominantly dependent on left ventricular diameter and use of tacrolimus PMID: 23769096
- Data suggest that subjects with diabetic retinopathy have higher serum levels of soluble VAP1 than subjects with non-angiogenic ocular diseases (i.e., epiretinal membrane [ERM], idiopathic macular hole [MH], age-related macular degeneration [AMD]). PMID: 23062326
- Data suggest that the down-regulation of both the expression and enzymatic activity of VAP-1 may result from a dominant-negative effect caused by heterodimerization between VAP-1 and alternatively spliced VAP-1Delta3. PMID: 23349812
- In psoriatic patients, VAP-1 elevation correlated with elevation of Lp (a). This may be responsible for a higher prevalence of cardiovascular accidents in psoriatic patients. PMID: 22753196
- The pathogenetic link between the increase in SSAO activity and severity of neurological deficitin ischemic stroke patients was shown. PMID: 23120772
- high vascular SSAO/VAP-1 levels in human hippocampus may contribute to vascular degeneration PMID: 22714978
- Protein level of sVAP-1 was increased and correlated with HEL in the vitreous fluid of patients with PDR. PMID: 22618595
- The immunolocalization of VAP-1 varied in the histopathology of the conjunctiva, involving the pathology of inflammatory conjunctival disorders. PMID: 22354146
- We found increased VAP-1 activity and anchor protein syndecan-1 content in critically ill patients with septic shock PMID: 22150439
- Plasma VAP-1/SSAO activity is increased in intracranial hemorrhage and predicts neurological outcome, suggesting a possible contribution of the soluble protein in secondary brain damage. PMID: 22133888
- This review examines the biological functions of VAP-1, especially the role that this molecule might play in the establishment and progression of chronic liver disease. PMID: 21512782
- using an endothelial cell model, a description for the first time the involvement of the leucocyte-adhesion activity of SSAO/VAP-1 in the Abeta (amyloid beta-peptide)-mediated pro-inflammatory effect PMID: 21819380
- The Siglec-9 peptide binding to the enzymatic groove of VAP-1 can be used for imaging conditions, such as inflammation and cancer. PMID: 21821708
- These remarks suggest that MAO-A and SSAO may play an important role in vascular tissue as well as in the vascular pathophysiology of type 2 diabetes. PMID: 21114364
- Met211 and Leu469 were shown to be key residues for substrate specificity. PMID: 21585208
- Serum VAP-1 can predict 10-year all-cause mortality, cardiovascular mortality, and cancer mortality independently in type 2 diabetic subjects. PMID: 21282368
- The structure of VAP-1 was refined to a resolution of 2.9A. PMID: 21139198
- A novel combination of surface molecules, including VAP-1 and CX(3)CL1 promotes the recruitment of CD16(+) monocytes to the liver, allowing them to localize at sites of chronic inflammation and fibrosis. PMID: 20512991
- The SSAO activity in the serum of patients with type 2 diabetes is higher when compared with control group and may be a useful marker for diabetes. PMID: 20063021
- immunohistochemistry reveals constitutive expression of VAP-1 in human ocular tissues. PMID: 19761765
- Inflammation of the dental pulp was accompanied by a significant decrease in MAO labeling, MAO B (but not MAO A) activity and the increase in SSAO activity. PMID: 19789505
- VAP-1 is expressed on hepatic sinusoidal endothelial cells in vitro and supports adhesion and transmigration of lymphocytes across these cells under physiological shear stress. PMID: 12097405
- Data show that increases in vascular adhesion protein-1 (VAP-1) due to absolute or relative insulin deficiency may be directly involved in the pathogenesis of diabetic angiopathy. PMID: 12466139
- normal mice and human lungs revealed vascular adhesion protein-1 expression in the endothelium of large and mid-sized pulmonary vessels PMID: 12700900
- may convert endogenous amines, like methylamine, to vasoactive metabolites. PMID: 14715500
- the oxidase activity of VAP-1 controls PMN exit from the blood during the relatively poorly understood transmigration step PMID: 14726375
- Semicarbazide-sensitive amine oxidase is a source of oxidative stress in diseased human skeletal muscle; it contributes to oxidative stress-induced damage in various inflammatory and other myopathies. PMID: 14755492
- VAP-1 protein expression is significantly decreased in intratumoral vessels compared with peritumoral ones; this difference was independent of the skin melanoma thickness PMID: 15057044
- Plasma semicarbazide-sensitive amine oxidase (SSAO) is elevated in patients with type 1 and type 2 diabetes and has been implicated in the pathophysiology of diabetic late complications. PMID: 15830186
顯示更多
收起更多
-
亞細胞定位:Cell membrane; Single-pass type II membrane protein.
-
蛋白家族:Copper/topaquinone oxidase family
-
組織特異性:Strongly expressed on the high endothelial venules of peripheral lymph nodes and on hepatic endothelia. Also highly expressed in appendix, lung and small intestine. Expressed also in adipose tissue, in bone marrow, colon, heart, kidney, ovary, pancreas, p
-
數據庫鏈接:
Most popular with customers
-
-
YWHAB Recombinant Monoclonal Antibody
Applications: ELISA, WB, IHC, IF, FC
Species Reactivity: Human, Mouse, Rat
-
Phospho-YAP1 (S127) Recombinant Monoclonal Antibody
Applications: ELISA, WB, IHC
Species Reactivity: Human
-
-
-
-
-















