研究熱點
CT83/KK-LC-1蛋白:癌睪抗原CTAs家族潛力新秀,乳腺癌、肺癌、胃癌等腫瘤臨床研究進行中!
癌睪抗原(Cancer Testis Antigens,CTAs)是一類主要在睪丸組織中表達的蛋白質,而在其它正常組織中通常不
查看詳情
IL-6:炎癥級聯反應重要參與者,功能最多、影響最廣泛的炎癥細胞因子之一!
2024年2月22日,Cell Reports雜志刊登了題為“Structural insights into IL-6 signaling inhibition b
查看詳情
白細胞介素4受體(IL-4R/IL-4Ra):細胞因子多功能靶點,哮喘、鼻炎、病毒、腫瘤等研究中呈多樣潛力!
2024年1月26日消息,上海健康元分別與江蘇荃信生物、山東博安生物達成產品授權合作,獲得抗TSLP單抗、抗IL-4R
查看詳情
二肽酶3(DPEP3):DPEP家族新興成員之一,男性生殖到腫瘤研究的密切相關靶點!
2024年3月15日,Journal of Affective Disorders雜志刊登了一篇關于創傷后應激障礙(PTSD)與重度抑郁癥(
查看詳情
肝臟,作為我們體內的重要器官,不僅參與新陳代謝,還承擔著解毒、儲存等重要功能。然而,由于不良的生活習慣、環境污染以及病毒感染等多種因素,肝硬化這一嚴重的肝臟疾病正逐漸威脅著人們的健康。
查看詳情
CEACAM8:免疫球蛋白超家族的“低調”成員,生殖腫瘤、消化腫瘤研究的潛力候選靶點!
2024年2月,愛思維爾(Elsevier)數據庫收錄了一篇關于CEACAM8的生信文章,該研究通過分析多發性硬化癥患者孕
查看詳情
CD70(CD27L/TNFSF7):TNF受體超家族成員,紅斑狼瘡、關節炎、腫瘤臨床研究的火熱靶點!
2024年1月27日,《Journal of Autoimmunity》發表的一項研究關注了CD70甲基化在紅斑狼瘡SLE中的作用。結果
查看詳情
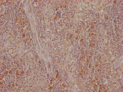
KIR3DL2:殺傷細胞免疫球蛋白樣受體(KIR)家族蛋白,T細胞淋巴瘤,強直性脊柱炎,Sézary綜合征研究未來靶點!
近期,Haematologica雜志發表了一篇題為“KIR3DL2 may represent a novel therapeutic target in agg
查看詳情
Serotransferrin/TF:血液中的鐵轉運蛋白,新型納米藥物研究潛力靶點!
2024年1月,Scholar數據庫收錄了一篇名為“Remyelinating effect driven by transferrin-loaded extrace
查看詳情






