SULT2A1 Recombinant Monoclonal Antibody
-
中文名稱:SULT2A1 Recombinant Monoclonal Antibody
-
貨號:CSB-RA290314A0HU
-
規格:¥1320
-
圖片:
-
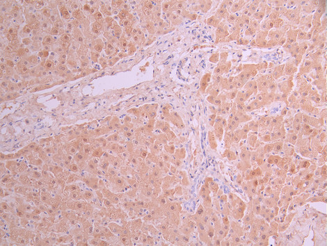
IHC image of CSB-RA290314A0HU diluted at 1:100 and staining in paraffin-embedded human liver cancer performed on a Leica BondTM system. After dewaxing and hydration, antigen retrieval was mediated by high pressure in a citrate buffer (pH 6.0). Section was blocked with 10% normal goat serum 30min at RT. Then primary antibody (1% BSA) was incubated at 4°C overnight. The primary is detected by a Goat anti-rabbit polymer IgG labeled by HRP and visualized using 0.05% DAB.
-
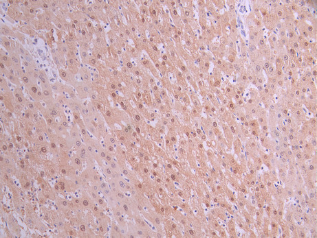
IHC image of CSB-RA290314A0HU diluted at 1:100 and staining in paraffin-embedded human liver tissue performed on a Leica BondTM system. After dewaxing and hydration, antigen retrieval was mediated by high pressure in a citrate buffer (pH 6.0). Section was blocked with 10% normal goat serum 30min at RT. Then primary antibody (1% BSA) was incubated at 4°C overnight. The primary is detected by a Goat anti-rabbit polymer IgG labeled by HRP and visualized using 0.05% DAB.
-
Immunofluorescence staining of HepG2 cell with CSB-RA290314A0HU at 1:50, counter-stained with DAPI. The cells were fixed in 4% formaldehyde, permeabilized using 0.2% Triton X-100 and blocked in 10% normal Goat Serum. The cells were then incubated with the antibody overnight at 4°C. The secondary antibody was Alexa Fluor 488-congugated AffiniPure Goat Anti-Rabbit IgG(H+L).
-
Overlay Peak curve showing HepG2 cells stained with CSB-RA290314A0HU (red line) at 1:100. The cells were fixed in 4% formaldehyde and permeated by 0.2% TritonX-100 for 10min. Then 10% normal goat serum to block non-specific protein-protein interactions followed by the antibody (1ug/1*106cells) for 45min at 4℃. The secondary antibody used was FITC-conjugated goat anti-rabbit IgG (H+L) at 1/200 dilution for 35min at 4℃.Control antibody (green line) was Rabbit IgG (1ug/1*106cells) used under the same conditions. Acquisition of >10,000 events was performed.
-
-
其他:
產品詳情
-
Uniprot No.:
-
基因名:SULT2A1
-
別名:Bile salt sulfotransferase (EC 2.8.2.14) (Dehydroepiandrosterone sulfotransferase) (DHEA-ST) (Hydroxysteroid Sulfotransferase) (HST) (ST2) (ST2A3) (Sulfotransferase 2A1) (ST2A1), SULT2A1, HST STD
-
反應種屬:Human
-
免疫原:A synthesized peptide from human SULT2A1 protein
-
免疫原種屬:Homo sapiens (Human)
-
標記方式:Non-conjugated
-
克隆類型:Monoclonal
-
抗體亞型:Rabbit IgG
-
純化方式:Affinity-chromatography
-
克隆號:4C5
-
濃度:It differs from different batches. Please contact us to confirm it.
-
保存緩沖液:Preservative: 0.03% Proclin 300
Constituents: 50% Glycerol, 0.01M PBS, PH 7.4 -
產品提供形式:Liquid
-
應用范圍:ELISA, IHC, IF, FC
-
推薦稀釋比:
Application Recommended Dilution IHC 1:50-1:200 IF 1:50-1:200 FC 1:50-1:200 -
Protocols:
-
儲存條件:Upon receipt, store at -20°C or -80°C. Avoid repeated freeze.
-
貨期:Basically, we can dispatch the products out in 1-3 working days after receiving your orders. Delivery time maybe differs from different purchasing way or location, please kindly consult your local distributors for specific delivery time.
-
用途:For Research Use Only. Not for use in diagnostic or therapeutic procedures.
相關產品
靶點詳情
-
功能:Sulfotransferase that utilizes 3'-phospho-5'-adenylyl sulfate (PAPS) as sulfonate donor to catalyze the sulfonation of steroids and bile acids in the liver and adrenal glands. Mediates the sulfation of a wide range of steroids and sterols, including pregnenolone, androsterone, DHEA, bile acids, cholesterol and as well many xenobiotics that contain alcohol and phenol functional groups. Sulfonation increases the water solubility of most compounds, and therefore their renal excretion, but it can also result in bioactivation to form active metabolites. Plays an important role in maintening steroid and lipid homeostasis. Plays a key role in bile acid metabolism. In addition, catalyzes the metabolic activation of potent carcinogenic polycyclic arylmethanols.
-
基因功能參考文獻:
- Kinetic analyses showed further differential catalytic efficiency and substrate affinity of the SULT2A1 allozymes, in comparison with wild-type SULT2A1. These findings provided useful information concerning the effects of genetic polymorphisms on the sulfating activity of SULT2A1 allozymes. PMID: 29671343
- Polymorphisms of SULT2A1 gene is not associated with attention-deficit/hyperactivity disorder. PMID: 28367959
- nine human SULT2A1 allozymes plus the wild-type SULT2A1 were found to display differential sulfating activity toward DHEA and tibolone. Kinetic analysis revealed that different SULT2A1 allozymes exhibited differential substrate affinity and catalytic efficiency toward the two substrates tested. PMID: 29392568
- Mass spectrometry analysis and structural modeling supported a reaction mechanism which involves the isomerization of Delta(4)-3-ketosteroids from the keto form to an enol form, prior to being subjected to sulfation. Results derived from this study suggested a potential role of SULT2A1 as a Delta(4)-3-ketosteroid sulfotransferase in steroid metabolism PMID: 28782626
- A theoretical study at the level of density functional theory (DFT) was performed to characterize noncovalent intermolecular interactions, especially hydrogen bond interactions, in the active site of enzyme human androsterone sulphotransferase. PMID: 27337388
- Decreased SULT2A1 activity was found in the adrenal zona reticularis in Alzheimer's disease patients. PMID: 26680489
- PSC is characterized by disease-specific impairment of SULT2A1 expression following PXR activation, a phenomenon which is not noted in PBC, and may account for the impaired hepatoprotection in PSC. PMID: 26504856
- It metabolizes breast cancer drugs like afinoxifene and endoxifen by sulfation. PMID: 26169578
- The substrate, such as lithocholic acid (LCA), participated in regulating the structure and flexibility of sulfotransferase actively rather than merely being selected passively. PMID: 26149755
- Our results show that SULT2A1 is important in the first trimester; particularly in the adrenals PMID: 25802089
- molecular dynamic simulations were used to investigate the effect of ligands (cofactor and substrate) on the thermo-denaturation process of hSULT2A1 PMID: 25750022
- results established human SULT2A1 as a novel LXRalpha target gene; the expression of LXRalpha is a potential predictor for the expression of SULT2A1 in human liver PMID: 25028566
- It turns out the protective effect of DHEA was significantly decreased when Wnt/beta-catenin signaling was activated, while inactivating Wnt/beta-catenin signaling enhanced the effects of DHEA PMID: 25065588
- The complete kinetic mechanism of human SULT2A1. PMID: 25056952
- Fetal inflammatory response syndrome and funisitis are associated with an elevation of umbilical cord plasma concentrations of soluble sulfotransferase (ST)2. PMID: 23488731
- Depression following hip fracture with poor long term recovery is associated with a higher serum cortisol:DHEAS ratio. PMID: 23773910
- Genetic variants in SULT2A1 do not predispose to polycystic ovary syndrome. Although a variant in SULT2A1 decreased the DHEAS to DHEA ratio, no changes in other androgenic hormone levels were observed. PMID: 23861462
- formation of disulfide bonds in hSULT2A1 is a potentially important reversible mechanism for alterations in the rates of sulfation of both endogenous and xenobiotic substrates PMID: 23444386
- These data show an age-related association of polymorphisms in the SULT2A1 gene with lower dehydroepiandrosterone sulfate, suggesting that these polymorphisms may affect dehydroepiandrosterone sulfate concentration in adults. PMID: 23436881
- SULT2A1 as a novel ROR-alpha and ROR-gamma target gene. PMID: 23211525
- Genetic variants of SULT2A1 do not appear to have an effect on individual DHEA and DHEAS concentrations or the DHEA/DHEAS ratio as a marker of DHEA sulfonation capacity PMID: 23132913
- A crystallographic and biochemical description of the molecular linkages that couple nucleotide binding and SULT2A1 isomerization. PMID: 23362278
- The simulations predict that the active-site "cap," which covers both the nucleotide and acceptor binding sites, opens and closes in response to nucleotide. PMID: 23256751
- Common polymorphisms at POR, SULT2A1 or HSD11B1 were not associated with PA in a Finnish Caucasian population. PMID: 22445027
- Serum DHEAS levels are increased in patients with non-alcoholic fatty liver disease with elevated alanine aminotransferase levels. PMID: 21841322
- Hydroxysteroid sulfotransferase SULT2A1 is suppressed by the estrogen related receptor alpha PMID: 21513704
- The sulfation kinetics of dehydroepiandrosterone and 15 human bile acids by SULT2A1, was characterized. PMID: 20102295
- Crystal structure of human dehydroepiandrosterone sulphotransferase in complex with substrate PMID: 11988089
- Both steroidogenic factor 1 and GATA-6 were positive regulators of SULT2A1 promoter constructs PMID: 15388788
- lowered expression in hepatocellular carcinoma tissues involved in metabolism and/or inactivation of sex steroids is consistent with a regulatory role SULT2A1 in the development and/or tumor cell differentiation and progression of human HCC PMID: 15713538
- Estrogen receptor alphaeffects on SULT2A1 were greater than the stimulation seen in response to steroidogenic factor 1 (SF1). PMID: 15878968
- The SULT2A1 is the major endogenous enzyme responsible for sulfation of the tibolone metabolites in human postmenopausal tissues. PMID: 16360722
- the SULT2A1 gene is mediated by SF1 and indirectly regulated by T(3) PMID: 16469813
- No significant association of the presence of the different SULT2A1 alleles with the occurrence of prostate cancer in black men was detected. PMID: 16617014
- Methotrexate induction of hSULT2A1 is mediated through hCAR. PMID: 17276571
- genetic evidence suggesting a potential role of SULT2A1, but not STS, in the inherited adrenal androgen excess of polycystic ovary syndrome PMID: 17426092
- Two amino acids are identified and characterized for the substrate inhibition of SULT2A1. PMID: 18042734
- In cortices attached to adrenocortical adenomas, SULT2A1 mRNA expression was present mainly in zona reticularis and extended to zona fasciculata. PMID: 18505908
- Sulfation of polychlorinated phenols catalyzed by hSULT2A1 may be a significant component of their metabolism in humans. PMID: 18656962
- Testosterone and insulin appear to be modulators of adrenal androgen production in this human adrenocortical cell model. PMID: 18684447
- Demonstrate that hSULT2A1 is responsible for the N-sulfation of quinolones and possibly other therapeutic drugs in humans. PMID: 19420132
顯示更多
收起更多
-
亞細胞定位:Cytoplasm.
-
蛋白家族:Sulfotransferase 1 family
-
組織特異性:Liver, adrenal and at lower level in the kidney. Is present in human fetus in higher level in the adrenal than the liver and the kidney.
-
數據庫鏈接:
Most popular with customers
-
-
YWHAB Recombinant Monoclonal Antibody
Applications: ELISA, WB, IHC, IF, FC
Species Reactivity: Human, Mouse, Rat
-
Phospho-YAP1 (S127) Recombinant Monoclonal Antibody
Applications: ELISA, WB, IHC
Species Reactivity: Human
-
-
-
-
-















