SULT2A1 Antibody
-
中文名稱:SULT2A1兔多克隆抗體
-
貨號:CSB-PA022942ESR2HU
-
規格:¥440
-
圖片:
-
Western blot
All lanes: Bile salt sulfotransferase antibody at 5μg/ml + HepG2 whole cell lysate
Secondary
Goat polyclonal to rabbit IgG at 1/10000 dilution
Predicted band size: 38 kDa
Observed band size: 38 kDa -
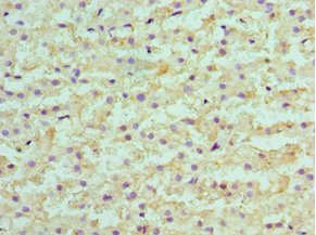
Immunohistochemistry of paraffin-embedded human liver cancer using CSB-PA022942ESR2HU at dilution of 1:100
-
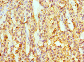
Immunohistochemistry of paraffin-embedded human adrenal gland tissue using CSB-PA022942ESR2HU at dilution of 1:100
-
-
其他:
產品詳情
-
產品名稱:Rabbit anti-Homo sapiens (Human) SULT2A1 Polyclonal antibody
-
Uniprot No.:
-
基因名:SULT2A1
-
別名:Alcohol/hydroxysteroid sulfotransferase antibody; Bile salt sulfotranasferase 2A1 antibody; Bile salt sulfotransferase antibody; Dehydroepiandrosterone sulfotransferase antibody; DHEA ST antibody; DHEA sulfotranasferase antibody; DHEA-ST antibody; DHEAS antibody; EC 2.8.2.14 antibody; Hst antibody; hSTa antibody; Hydroxysteroid sulfotransferase antibody; ST2 antibody; ST2A1 antibody; ST2A1_HUMAN antibody; ST2A3 antibody; STD antibody; sulfotranasferase, dehydroepiandrosterone-preferring antibody; Sulfotransferase 2A1 antibody; Sulfotransferase family 2A, dehydroepiandrosterone-preferring, member 1 antibody; Sulfotransferase family cytosolic 2A dehydroepiandrosterone (DHEA) preferring member 1 antibody; Sult2a1 antibody
-
宿主:Rabbit
-
反應種屬:Human
-
免疫原:Recombinant Human Bile salt sulfotransferase protein (1-145AA)
-
免疫原種屬:Homo sapiens (Human)
-
標記方式:Non-conjugated
-
克隆類型:Polyclonal
-
抗體亞型:IgG
-
純化方式:Antigen Affinity Purified
-
濃度:It differs from different batches. Please contact us to confirm it.
-
保存緩沖液:PBS with 0.02% sodium azide, 50% glycerol, pH7.3.
-
產品提供形式:Liquid
-
應用范圍:ELISA, WB, IHC
-
推薦稀釋比:
Application Recommended Dilution WB 1:200-1:1000 IHC 1:20-1:200 -
Protocols:
-
儲存條件:Upon receipt, store at -20°C or -80°C. Avoid repeated freeze.
-
貨期:Basically, we can dispatch the products out in 1-3 working days after receiving your orders. Delivery time maybe differs from different purchasing way or location, please kindly consult your local distributors for specific delivery time.
-
用途:For Research Use Only. Not for use in diagnostic or therapeutic procedures.
相關產品
靶點詳情
-
功能:Sulfotransferase that utilizes 3'-phospho-5'-adenylyl sulfate (PAPS) as sulfonate donor to catalyze the sulfonation of steroids and bile acids in the liver and adrenal glands. Mediates the sulfation of a wide range of steroids and sterols, including pregnenolone, androsterone, DHEA, bile acids, cholesterol and as well many xenobiotics that contain alcohol and phenol functional groups. Sulfonation increases the water solubility of most compounds, and therefore their renal excretion, but it can also result in bioactivation to form active metabolites. Plays an important role in maintening steroid and lipid homeostasis. Plays a key role in bile acid metabolism. In addition, catalyzes the metabolic activation of potent carcinogenic polycyclic arylmethanols.
-
基因功能參考文獻:
- Kinetic analyses showed further differential catalytic efficiency and substrate affinity of the SULT2A1 allozymes, in comparison with wild-type SULT2A1. These findings provided useful information concerning the effects of genetic polymorphisms on the sulfating activity of SULT2A1 allozymes. PMID: 29671343
- Polymorphisms of SULT2A1 gene is not associated with attention-deficit/hyperactivity disorder. PMID: 28367959
- nine human SULT2A1 allozymes plus the wild-type SULT2A1 were found to display differential sulfating activity toward DHEA and tibolone. Kinetic analysis revealed that different SULT2A1 allozymes exhibited differential substrate affinity and catalytic efficiency toward the two substrates tested. PMID: 29392568
- Mass spectrometry analysis and structural modeling supported a reaction mechanism which involves the isomerization of Delta(4)-3-ketosteroids from the keto form to an enol form, prior to being subjected to sulfation. Results derived from this study suggested a potential role of SULT2A1 as a Delta(4)-3-ketosteroid sulfotransferase in steroid metabolism PMID: 28782626
- A theoretical study at the level of density functional theory (DFT) was performed to characterize noncovalent intermolecular interactions, especially hydrogen bond interactions, in the active site of enzyme human androsterone sulphotransferase. PMID: 27337388
- Decreased SULT2A1 activity was found in the adrenal zona reticularis in Alzheimer's disease patients. PMID: 26680489
- PSC is characterized by disease-specific impairment of SULT2A1 expression following PXR activation, a phenomenon which is not noted in PBC, and may account for the impaired hepatoprotection in PSC. PMID: 26504856
- It metabolizes breast cancer drugs like afinoxifene and endoxifen by sulfation. PMID: 26169578
- The substrate, such as lithocholic acid (LCA), participated in regulating the structure and flexibility of sulfotransferase actively rather than merely being selected passively. PMID: 26149755
- Our results show that SULT2A1 is important in the first trimester; particularly in the adrenals PMID: 25802089
- molecular dynamic simulations were used to investigate the effect of ligands (cofactor and substrate) on the thermo-denaturation process of hSULT2A1 PMID: 25750022
- results established human SULT2A1 as a novel LXRalpha target gene; the expression of LXRalpha is a potential predictor for the expression of SULT2A1 in human liver PMID: 25028566
- It turns out the protective effect of DHEA was significantly decreased when Wnt/beta-catenin signaling was activated, while inactivating Wnt/beta-catenin signaling enhanced the effects of DHEA PMID: 25065588
- The complete kinetic mechanism of human SULT2A1. PMID: 25056952
- Fetal inflammatory response syndrome and funisitis are associated with an elevation of umbilical cord plasma concentrations of soluble sulfotransferase (ST)2. PMID: 23488731
- Depression following hip fracture with poor long term recovery is associated with a higher serum cortisol:DHEAS ratio. PMID: 23773910
- Genetic variants in SULT2A1 do not predispose to polycystic ovary syndrome. Although a variant in SULT2A1 decreased the DHEAS to DHEA ratio, no changes in other androgenic hormone levels were observed. PMID: 23861462
- formation of disulfide bonds in hSULT2A1 is a potentially important reversible mechanism for alterations in the rates of sulfation of both endogenous and xenobiotic substrates PMID: 23444386
- These data show an age-related association of polymorphisms in the SULT2A1 gene with lower dehydroepiandrosterone sulfate, suggesting that these polymorphisms may affect dehydroepiandrosterone sulfate concentration in adults. PMID: 23436881
- SULT2A1 as a novel ROR-alpha and ROR-gamma target gene. PMID: 23211525
- Genetic variants of SULT2A1 do not appear to have an effect on individual DHEA and DHEAS concentrations or the DHEA/DHEAS ratio as a marker of DHEA sulfonation capacity PMID: 23132913
- A crystallographic and biochemical description of the molecular linkages that couple nucleotide binding and SULT2A1 isomerization. PMID: 23362278
- The simulations predict that the active-site "cap," which covers both the nucleotide and acceptor binding sites, opens and closes in response to nucleotide. PMID: 23256751
- Common polymorphisms at POR, SULT2A1 or HSD11B1 were not associated with PA in a Finnish Caucasian population. PMID: 22445027
- Serum DHEAS levels are increased in patients with non-alcoholic fatty liver disease with elevated alanine aminotransferase levels. PMID: 21841322
- Hydroxysteroid sulfotransferase SULT2A1 is suppressed by the estrogen related receptor alpha PMID: 21513704
- The sulfation kinetics of dehydroepiandrosterone and 15 human bile acids by SULT2A1, was characterized. PMID: 20102295
- Crystal structure of human dehydroepiandrosterone sulphotransferase in complex with substrate PMID: 11988089
- Both steroidogenic factor 1 and GATA-6 were positive regulators of SULT2A1 promoter constructs PMID: 15388788
- lowered expression in hepatocellular carcinoma tissues involved in metabolism and/or inactivation of sex steroids is consistent with a regulatory role SULT2A1 in the development and/or tumor cell differentiation and progression of human HCC PMID: 15713538
- Estrogen receptor alphaeffects on SULT2A1 were greater than the stimulation seen in response to steroidogenic factor 1 (SF1). PMID: 15878968
- The SULT2A1 is the major endogenous enzyme responsible for sulfation of the tibolone metabolites in human postmenopausal tissues. PMID: 16360722
- the SULT2A1 gene is mediated by SF1 and indirectly regulated by T(3) PMID: 16469813
- No significant association of the presence of the different SULT2A1 alleles with the occurrence of prostate cancer in black men was detected. PMID: 16617014
- Methotrexate induction of hSULT2A1 is mediated through hCAR. PMID: 17276571
- genetic evidence suggesting a potential role of SULT2A1, but not STS, in the inherited adrenal androgen excess of polycystic ovary syndrome PMID: 17426092
- Two amino acids are identified and characterized for the substrate inhibition of SULT2A1. PMID: 18042734
- In cortices attached to adrenocortical adenomas, SULT2A1 mRNA expression was present mainly in zona reticularis and extended to zona fasciculata. PMID: 18505908
- Sulfation of polychlorinated phenols catalyzed by hSULT2A1 may be a significant component of their metabolism in humans. PMID: 18656962
- Testosterone and insulin appear to be modulators of adrenal androgen production in this human adrenocortical cell model. PMID: 18684447
- Demonstrate that hSULT2A1 is responsible for the N-sulfation of quinolones and possibly other therapeutic drugs in humans. PMID: 19420132
顯示更多
收起更多
-
亞細胞定位:Cytoplasm.
-
蛋白家族:Sulfotransferase 1 family
-
組織特異性:Liver, adrenal and at lower level in the kidney. Is present in human fetus in higher level in the adrenal than the liver and the kidney.
-
數據庫鏈接:
Most popular with customers
-
-
YWHAB Recombinant Monoclonal Antibody
Applications: ELISA, WB, IHC, IF, FC
Species Reactivity: Human, Mouse, Rat
-
Phospho-YAP1 (S127) Recombinant Monoclonal Antibody
Applications: ELISA, WB, IHC
Species Reactivity: Human
-
-
-
-
-















