CXCL13 Recombinant Monoclonal Antibody
-
中文名稱:CXCL13 Recombinant Monoclonal Antibody
-
貨號:CSB-RA006243MA1HU
-
規格:¥1320
-
圖片:
-
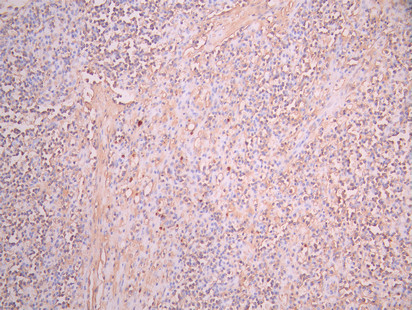
IHC image of CSB-RA006243MA1HU diluted at 1:50 and staining in paraffin-embedded human liver tissue performed on a Leica BondTM system. After dewaxing and hydration, antigen retrieval was mediated by high pressure in a citrate buffer (pH 6.0). Section was blocked with 10% normal goat serum 30min at RT. Then primary antibody (1% BSA) was incubated at 4°C overnight. The primary is detected by a Anti-Human lgG, Fcy Fragment Specific labeled by HRP and visualized using 0.05% DAB.
-
IHC image of CSB-RA006243MA1HU diluted at 1:50 and staining in paraffin-embedded human lymph node tissue performed on a Leica BondTM system. After dewaxing and hydration, antigen retrieval was mediated by high pressure in a citrate buffer (pH 6.0). Section was blocked with 10% normal goat serum 30min at RT. Then primary antibody (1% BSA) was incubated at 4°C overnight. The primary is detected by a Anti-Human lgG, Fcy Fragment Specific labeled by HRP and visualized using 0.05% DAB.
-
-
其他:
產品詳情
-
Uniprot No.:
-
基因名:
-
別名:ANGIE antibody; ANGIE2 antibody; B cell attracting chemokine 1 antibody; B cell-attracting chemokine 1 antibody; B lymphocyte chemoattractant antibody; B-cell chemoattractant antibody; B-cell-attracting chemokine 1 antibody; B-cell-homing chemokine (ligand for Burkitt's lymphoma receptor-1) antibody; BCA-1 antibody; BLC antibody; BLR1L antibody; C-X-C motif chemokine 13 antibody; Chemokine (C-X-C motif) ligand 13 antibody; Chemokine (C-X-C motif) ligand 13 (B-cell chemoattractant) antibody; Chemokine; CXC motif; ligand 13 antibody; CXC chemokine BLC antibody; CXCL13 antibody; CXL13_HUMAN antibody; SCYB13 antibody; Small inducible cytokine B subfamily (Cys-X-Cys motif); member 13 (B-cell chemoattractant) antibody; Small inducible cytokine B13 antibody; Small inducible cytokine subfamily B; member 13 antibody; Small-inducible cytokine B13 antibody
-
反應種屬:Human
-
免疫原:Recombinant Human CXCL13 protein
-
免疫原種屬:Homo sapiens (Human)
-
標記方式:Non-conjugated
-
克隆類型:Monoclonal
-
抗體亞型:hIgG1
-
純化方式:Affinity-chromatography
-
克隆號:24D2
-
濃度:It differs from different batches. Please contact us to confirm it.
-
保存緩沖液:Preservative: 0.03% Proclin 300
Constituents: 50% Glycerol, 0.01M PBS, PH 7.4 -
產品提供形式:Liquid
-
應用范圍:ELISA, IHC
-
推薦稀釋比:
Application Recommended Dilution IHC 1:50-1:200 -
Protocols:
-
儲存條件:Upon receipt, store at -20°C or -80°C. Avoid repeated freeze.
-
貨期:Basically, we can dispatch the products out in 1-3 working days after receiving your orders. Delivery time maybe differs from different purchasing way or location, please kindly consult your local distributors for specific delivery time.
-
用途:For Research Use Only. Not for use in diagnostic or therapeutic procedures.
相關產品
靶點詳情
-
功能:Chemotactic for B-lymphocytes but not for T-lymphocytes, monocytes and neutrophils. Does not induce calcium release in B-lymphocytes. Binds to BLR1/CXCR5.
-
基因功能參考文獻:
- CXCL13 is elevated in cerebrospinal fluid in children with Lyme neuroborreliosis. PMID: 30083887
- We found a strong association of CXCL13 rs355689*C allele with essential hypertension under additive (OR 0.56, PFDR = 0.008) and dominant (OR 0.41, PFDR 4.38 x 10- 4) genetic model. Our results indicate that CXCL13 rs355689 polymorphism is strongly associated with essential hypertension in the ethnic group of Tatars from Russia. PMID: 30019153
- High CXCL13 expression was associated with larger tumor diameter and shorter OS. By multivariate analysis, CXCL13 expression was associated with OS independently from clinicopathological factors. PMID: 29085997
- IL-17 enhances the migration of B cells during asthma by inducing CXCL13 chemokine production in structural lung cells. PMID: 27639935
- the findings of the present study indicated that the noninvasive investigation of urinary CXCL13/Cr may be valuable for the detection of AR, particularly antibodymediated rejection . In addition, high urinary CXCL13/Cr levels predicted a poor response to steroid treatment and compromised graft function PMID: 29956754
- CXCL13 seems to be a useful marker of disease activity in systemic lupus erythematosus, but not in cutaneous lupus erythematosus or chronic cutaneous lupus erythematosus. PMID: 29728857
- Serum level of CXCL13 is associated with disease activity in systemic lupus erythematosus but does not seem to be a biomarker for arthritis. PMID: 29338586
- Serum CXCL13 positivity was found to be associated with oral symptoms, ocular signs and hyperglobulinemia in Asian Indian patients with primary Sjogren's syndrome. PMID: 29541901
- we found that CXCL13 indeed has a high sensitivity and specificity for diagnosing LNB, which means that it can be used as a new diagnostic biomarker for the diagnosis of LNB. PMID: 28972436
- the elevated concentrations of CXCL13, CXCL8, and CXCL10 or their increasing CSF/serum ratios may be potential biomarkers of neurosyphilis PMID: 27650493
- CXCL13 is a highly sensitive and specific CSF marker that helps to differentiate Lyme neuroborreliosis from other central nervous system disorders in children. PMID: 28859668
- Study suggested that maternal rs355687 variant in CXCL13 gene was associated with decreased risk of HBV intrauterine infection compared to those with CC genotypes. PMID: 27212637
- Elevations in serum MDC and BLC were independently associated with the significant risk of early stage lung adenocarcinoma, even in non-smokers and in stage IA patients. PMID: 27811371
- Studied CSF levels of B-lymphocyte Chemoattractant CXCL13 in children with Lyme neuroborreliosis (LNB), and found CSF CXCL13 levels were substantially higher in children with LNB compared with children with other diagnoses. PMID: 28661964
- This study indicated that CXCL13 may be pathogenically involved in Clostridium difficile infection (CDI) and served as a potential new biomarker for diagnosis and prognosis in CDI. PMID: 27685937
- This study indicated that CXCL13 rather than IL-31 may have clinical values of diagnosis and prognosis in hepatocellular carcinoma. PMID: 27663978
- CXCL13/CXCR5 mediated the aggregation of B cells, that directed the aberrant humoral immune responses via the formation of ectopic germinal centers, which suggests a molecular mechanism of neurological damage in neurosyphilis. PMID: 28931218
- High CXCL13 expression is associated with B-cell Lymphoma. PMID: 28108506
- CCL21 and CXCL13 levels are increased in the minor salivary glands of patients with Sjogren's syndrome. PMID: 27782867
- we demonstrate that PKCepsilon cooperates with the loss of the tumor suppressor Pten for the development of prostate cancer in a mouse model. Mechanistic analysis revealed that PKCe overexpression and Pten loss individually and synergistically upregulate the production of the chemokine CXCL13, which involves the transcriptional activation of the CXCL13 gene PMID: 28402859
- During remission, serum CXCL13 and BAFF levels have not decreased to normal in neuromyelitis optica patients, and B-cell-related autoimmune response persists. Immunosuppressive therapy decreased serum BAFF levels, but did not affect CXCL13 expression. PMID: 28413701
- This study suggested that increased serum levels of CXCL13 might be involved in renal ectopic lymphoid tissue (ELT)formation and renal impairment process in lupus nephritis. PMID: 27990444
- CXCL13 mRNA expression and protein levels were significantly up-regulated in the brain from temporal lobe epilepsy patients. PMID: 27873133
- CXCL13 could be a potential biomarker for predicting recurrence in HBV-related hepatocellular carcinoma patients after hepatectomy. PMID: 26517519
- was overexpressed in pulmonary vascular lesions of patients with IPAH and CTEPH, and increased serum concentrations were found in patients with IPAH and CTEPH, suggesting a potential pathogenic role of CXCL13 in both diseases. PMID: 26927848
- Findings suggest the potential use of chemokine CXCL13 as a plasma biomarker of germinal centers (GCs) activity in vaccine trials and other clinical settings. PMID: 26908875
- Aqueous humor concentration of CXCL13 is correlated with subfoveal choroidal thickness in normal subjects. PMID: 26121407
- Serum CXCL10 and CXCL13 levels may serve as clinical markers and contribute to the inflammatory response, especially skin manifestations thereof, in adult-onset Still's disease PMID: 26385705
- findings reveal a neuronal/astrocytic interaction in the spinal cord by which neuronally produced CXCL13 activates astrocytes via CXCR5 to facilitate neuropathic pain. PMID: 26752644
- Gene encoding CXCL13 was identified as being upregulated and found to be negatively correlated with survival over 3-year follow-up period in Idiopathic pulmonary fibrosis. PMID: 26109466
- Therefore, CSF CXCL13 concentrations could improve the diagnosis of ANS in HIV-infected patients PMID: 25769888
- In the presence of endometriosis, proliferative-phase endometrial expression of CXCL13 markedly increased. PMID: 25031316
- CXCL13 and CCL4 could act as circulating biomarkers in autoimmune hemolytic anemia (AIHA), and higher plasma soluble TNFRII might favor the diagnosis of SLE-related instead of primary AIHA. PMID: 25889297
- This is the first to indicate the clinical relevance of CXCL13 to young breast cancer and represents a potential therapeutic target for young breast cancer. PMID: 25990390
- Findings demonstrate a link between CXCL13 and primary Sjogren's syndrome disease activity and lymphoma. PMID: 26359802
- CXCL13 plays an important role in the progression of hepatocellular carcinoma. PMID: 26161394
- a direct target of IRF5 resulting in the enhanced recruitment of B and T cells to IRF5-positive tumor-conditioned media PMID: 25533286
- CXCL13 might predict survival outcomes in patients with extranodal natural killer (NK)/T-cell lymphoma PMID: 25966773
- our findings suggest that CXCL13-CXCR5 axis promotes the growth, migration, and invasion of colon cancer cells, probably via PI3K/AKT pathway PMID: 25476740
- CXCL13 up-regulation may be differently linked to the development of primary central nervous system lymphomas and to the accumulation of tumor-infiltrated lymphocytes. PMID: 25433721
- marked elevations of serum CXCL13 levels resided nearly completely within the seropositive population of rheumatoid arthritis patients PMID: 24766912
- In primary biliary cirrhosis, CXCL13 promotes aggregation of CD19(+) B cells and CXCR5(+) CD4(+) T cells. PMID: 25627620
- CSF CXCL13 levels correlated with CSF cell count, total protein, IgG Index and with the presence of CSF IgG and IgM oligoclonal bands. PMID: 26004159
- Data indicate that patients with high baseline plasma C-X-C motif chemokine 13 (CXCL13) levels had an improved chance of remission after 2 years. PMID: 25249397
- After validation in larger patient groups, CXCR5 and CXCL13 may prove useful as biomarkers for nonsmall cell lung carcinoma Correspondingly, blockade of this axis could serve as an effective therapy for nonsmall cell lung carcinoma. PMID: 25271023
- Data show that chemokine CXCL13 production by monocytes required toll-like receptor 7 activation and secretion of interferon-alpha. PMID: 25667414
- Myofibroblast activation and CXCL13 expression also occur in the normal prostate after androgen deprivation, and CXCL13 is expressed by myofibroblasts in human prostate cancer. PMID: 25267627
- The study confirms the relevance of CXCL13 as a diagnostic biomarker of neuroborreliosis and suggests that CSF CXCL13 in NB is linked to duration of disease PMID: 19965843
- overexpressed in myasthenia gravis thymus PMID: 24393484
- highly significant stepwise progressive increase in CXCL 13 level was recorded through controls, inactive SLE and active disease (P < 0.01). Moreover, it correlated positively with SLEDAI and proteinuria (P < 0.01). PMID: 25812350
顯示更多
收起更多
-
亞細胞定位:Secreted.
-
蛋白家族:Intercrine alpha (chemokine CxC) family
-
組織特異性:Highest levels in liver, followed by spleen, lymph node, appendix and stomach. Low levels in salivary gland, mammary gland and fetal spleen.
-
數據庫鏈接:
Most popular with customers
-
-
Phospho-YAP1 (S127) Recombinant Monoclonal Antibody
Applications: ELISA, WB, IHC
Species Reactivity: Human
-
-
-
-
-
-















