CXCL13
CXCL13的全稱為C-X-C基序趨化因子13,也被稱為B淋巴細胞趨化因子(BLC)或BCA-1。該蛋白在免疫系統中扮演重要角色,能夠特異性引導B細胞和濾泡輔助T細胞向淋巴組織中的特定區域遷移,例如促進生發中心的形成,從而增強抗體產生和長期免疫記憶。CXCL13的異常表達與多種疾病密切相關,例如類風濕性關節炎、系統性紅斑狼瘡等自身免疫疾病中常出現其水平升高,而在某些B細胞淋巴瘤中,CXCL13可能通過持續激活微環境促進腫瘤發展。此外,中樞神經系統感染萊姆病時,腦脊液中CXCL13濃度顯著上升,已成為輔助診斷的重要生物標志物。
近年來針對CXCL13的藥物研發主要聚焦于阻斷其與受體CXCR5的結合。單克隆抗體類藥物已進入早期臨床研究階段,擬用于治療自身免疫性疾病及部分實體瘤。另有小分子抑制劑通過干擾CXCL13介導的細胞遷移途徑,在動物模型中顯示出抑制炎癥和腫瘤轉移的效果。這些進展為相關疾病的精準治療提供了新方向。
熱銷產品
Recombinant Human C-X-C motif chemokine 13 (CXCL13) (CSB-EP006243HU)
驗證數據
(Tris-Glycine gel) Discontinuous SDS-PAGE (reduced) with 5% enrichment gel and 15% separation gel.
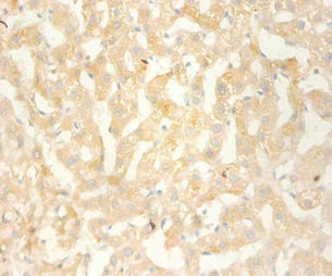
CXCL13 Antibody (CSB-PA06139A0Rb)
驗證數據
Immunohistochemistry of paraffin-embedded human liver tissue using CSB-PA06139A0Rb at dilution of 1:100
Human B-Lymphocyte Chemoattractant 1,BLC-1 ELISA Kit (CSB-E10019h)
驗證數據
貨號:CSB-E10019h
規格:96T/48T
靈敏度:19.5 pg/mL
檢測范圍:78 pg/mL-5000 pg/mL
These standard curves are provided for demonstration only. A standard curve should be generated for each set of samples assayed.
CXCL13 Antibodies
CXCL13 for Homo sapiens (Human)
| 產品貨號 | 產品名稱 | 種屬反應性 | 應用類型 |
|---|---|---|---|
| CSB-PA006243GA01HU | CXCL13 Antibody | Human | ELISA,WB |
| CSB-PA005137 | CXCL13 Antibody | Human | WB, ELISA |
| CSB-PA06139A0Rb | CXCL13 Antibody | Human | ELISA, IHC |
CXCL13 Proteins
CXCL13 Proteins for Homo sapiens (Human)
| 產品貨號 | 產品名稱 | 來源 |
|---|---|---|
| CSB-YP006243HU CSB-BP006243HU CSB-MP006243HU CSB-EP006243HU-B |
Recombinant Human C-X-C motif chemokine 13 (CXCL13) | Yeast Baculovirus Mammalian cell In Vivo Biotinylation in E.coli |
| CSB-EP006243HU1 | Recombinant Human C-X-C motif chemokine 13 protein (CXCL13), partial | E.coli |
| CSB-AP000771HU | Recombinant Human C-X-C motif chemokine 13 protein (CXCL13) | E.Coli |
| CSB-EP006243HU | Recombinant Human C-X-C motif chemokine 13 (CXCL13) | E.coli |
CXCL13 Proteins for Mus musculus (Mouse)
| 產品貨號 | 產品名稱 | 來源 |
|---|---|---|
| CSB-YP006243MO CSB-EP006243MO CSB-BP006243MO CSB-MP006243MO CSB-EP006243MO-B |
Recombinant Mouse C-X-C motif chemokine 13 (Cxcl13) | Yeast E.coli Baculovirus Mammalian cell In Vivo Biotinylation in E.coli |
CXCL13 ELISA Kit
CXCL13 ELISA Kit for Homo sapiens (Human)
| 產品貨號 | 產品名稱 | 樣本類型 | 靈敏度 |
|---|---|---|---|
| CSB-E10019h | Human B-Lymphocyte Chemoattractant 1,BLC-1 ELISA Kit | serum, plasma, tissue homogenates | 19.5 pg/mL |
CXCL13 ELISA Kit for Mus musculus (Mouse)
| 產品貨號 | 產品名稱 | 樣本類型 | 靈敏度 |
|---|---|---|---|
| CSB-E16832m | Mouse C-X-C motif chemokine 13 (Cxcl13/Blc/Scyb13) ELISA kit | serum, plasma, tissue homogenates, cell culture supernates | 0.096 ng/mL |






