TMED4 Antibody
-
中文名稱:TMED4兔多克隆抗體
-
貨號:CSB-PA639635
-
規格:¥1100
-
圖片:
-
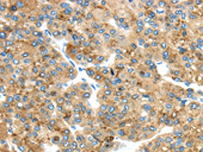
The image on the left is immunohistochemistry of paraffin-embedded Human liver cancer tissue using CSB-PA639635(TMED4 Antibody) at dilution 1/45, on the right is treated with fusion protein. (Original magnification: ×200)
-
The image on the left is immunohistochemistry of paraffin-embedded Human esophagus cancer tissue using CSB-PA639635(TMED4 Antibody) at dilution 1/45, on the right is treated with fusion protein. (Original magnification: ×200)
-
Gel: 8%SDS-PAGE,Lysate: 40 μg,Lane 1-5: HepG2 cells, K562 cells, Hela cells, A549 cells, Mouse intestines tissue,Primary antibody: CSB-PA639635(TMED4 Antibody) at dilution 1/800 dilution,Secondary antibody: Goat anti rabbit IgG at 1/8000 dilution,Exposure time: 1 minute
-
-
其他:
產品詳情
-
Uniprot No.:
-
基因名:
-
別名:Endoplasmic reticulum stress-response protein 25 antibody; ERS25 antibody; GMP25iso antibody; HNLF antibody; p24 family protein alpha-3 antibody; p24alpha3 antibody; Putative NF-kappa-B-activating protein 156 antibody; Putative NFkB activating protein HNLF antibody; TMED4 antibody; TMED4_HUMAN antibody; Transmembrane emp24 domain containing protein 4 antibody; Transmembrane emp24 domain-containing protein 4 antibody; Transmembrane emp24 protein transport domain containing 4 antibody
-
宿主:Rabbit
-
反應種屬:Human,Mouse
-
免疫原:Fusion protein of Human TMED4
-
免疫原種屬:Homo sapiens (Human)
-
標記方式:Non-conjugated
-
抗體亞型:IgG
-
純化方式:Antigen affinity purification
-
濃度:It differs from different batches. Please contact us to confirm it.
-
保存緩沖液:-20°C, pH7.4 PBS, 0.05% NaN3, 40% Glycerol
-
產品提供形式:Liquid
-
應用范圍:ELISA,WB,IHC
-
推薦稀釋比:
Application Recommended Dilution ELISA 1:2000-1:10000 WB 1:1000-1:5000 IHC 1:30-1:150 -
Protocols:
-
儲存條件:Upon receipt, store at -20°C or -80°C. Avoid repeated freeze.
-
貨期:Basically, we can dispatch the products out in 1-3 working days after receiving your orders. Delivery time maybe differs from different purchasing way or location, please kindly consult your local distributors for specific delivery time.
-
用途:For Research Use Only. Not for use in diagnostic or therapeutic procedures.
相關產品
靶點詳情
-
功能:Involved in vesicular protein trafficking, mainly in the early secretory pathway. targeting. Involved in the maintenance of the Golgi apparatus. Appears to play a role in the biosynthesis of secreted cargo including processing. Involved in endoplasmic reticulum stress response. May play a role in the regulation of heat-shock response and apoptosis.
-
基因功能參考文獻:
- ERS25 may play a critical role in regulation of heat-shock response and apoptosis PMID: 18326488
-
亞細胞定位:Endoplasmic reticulum membrane; Single-pass type I membrane protein.
-
蛋白家族:EMP24/GP25L family
-
數據庫鏈接:
Most popular with customers
-
YWHAB Recombinant Monoclonal Antibody
Applications: ELISA, WB, IHC, IF, FC
Species Reactivity: Human, Mouse, Rat
-
Phospho-YAP1 (S127) Recombinant Monoclonal Antibody
Applications: ELISA, WB, IHC
Species Reactivity: Human
-
-
-
-
-
-















