SLC13A5 Antibody
-
中文名稱:SLC13A5兔多克隆抗體
-
貨號:CSB-PA768239LA01HU
-
規格:¥440
-
圖片:
-
Western Blot
Positive WB detected in: HepG2 whole cell lysate(30μg), Raji whole cell lysate(30μg), JK whole cell lysate(30μg), LO2 whole cell lysate(30μg), HT29 whole cell lysate(30μg), 293 whole cell lysate(30μg),Mouse Liver tissue lysate(30μg),Rat Liver tissue lysate(30μg)
All lanes: SLC13A5 antibody at 1:1000
Secondary
Goat polyclonal to rabbit IgG at 1/40000 dilution
Predicted band size: 64,59,62 kDa
Observed band size: 64 kDa
Exposure time: 120s -
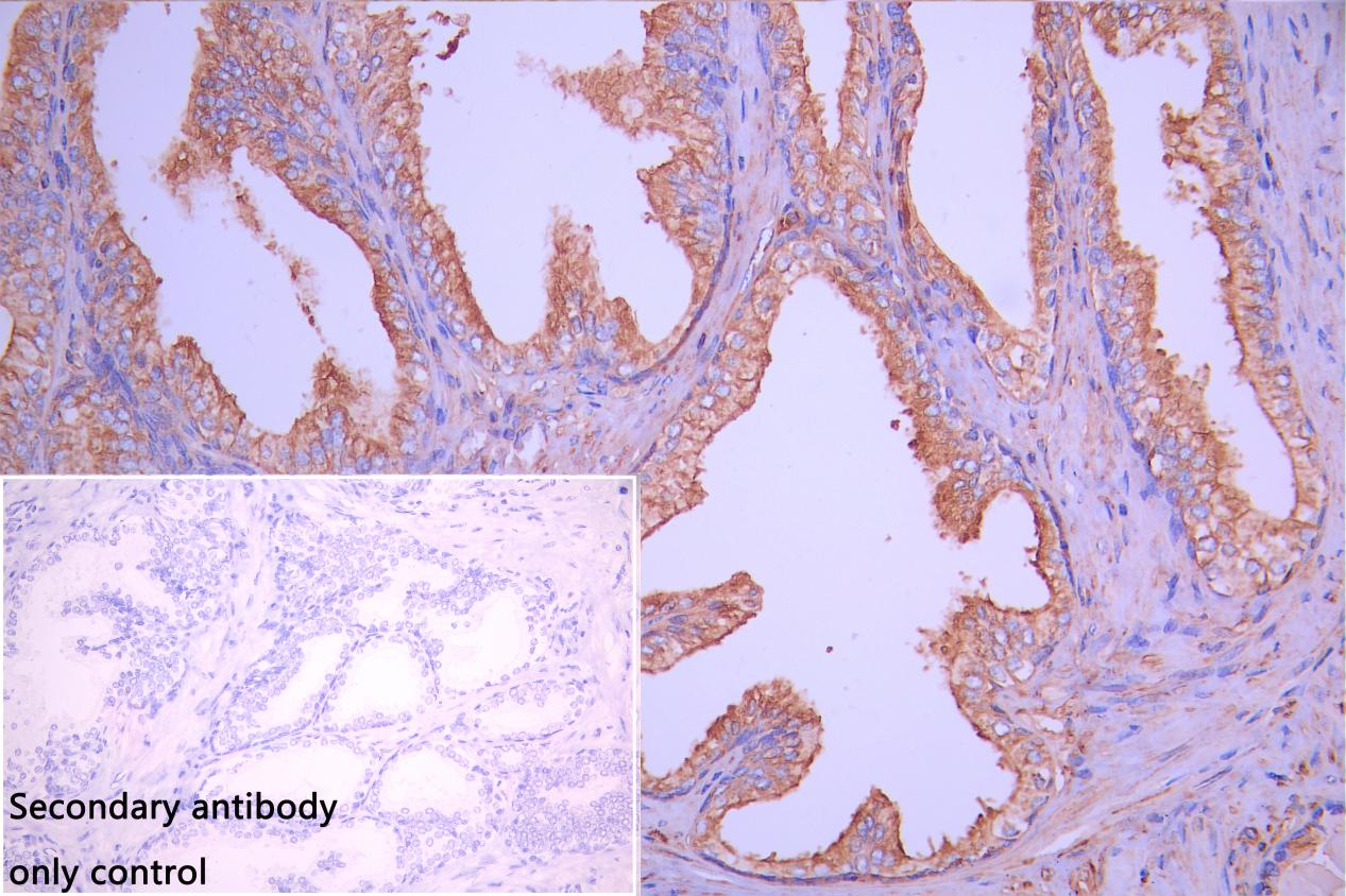
IHC image of CSB-PA768239LA01HU diluted at 1:100 and staining in paraffin-embedded human prostate cancer performed on a Leica BondTM system. After dewaxing and hydration, antigen retrieval was mediated by high pressure in a citrate buffer (pH 6.0). Section was blocked with 10% normal goat serum 30min at RT. Then primary antibody (1% BSA) was incubated at 4°C overnight. The primary is detected by a Goat anti-rabbit polymer IgG labeled by HRP and visualized using 0.05% DAB. Secondary antibody only control: uses 1% BSA instead of primary antibody.
-
-
其他:
產品詳情
-
產品描述:
The product CSB-PA768239LA01HU is a polyclonal antibody against the SLC13A5 protein. It is raised in the rabbit immunized by a partial recombinant protein mapping within amino acids 156-204 of human SLC13A5 protein. This SLC13A5 antibody is available as the unconjugated IgG isoform. It can react with SLC13A5 proteins from human, mouse, and rat samples. It has undergone protein G purification and reaches over 95% in purity. Multiple and rigorous validations performed in this SLC13A5 antibody demonstrated that it can recognize SLC13A5 protein in ELISA, IHC, IF, and WB applications.
The target protein SLC13A5 mainly transports citrate and other dicarboxylic acids from the extracellular environment into the cell, where they can be metabolized by the mitochondria to generate ATP and regulate various metabolic pathways. Mutations in the SLC13A5 gene can cause a rare neurological disorder epileptic encephalopathy, which is characterized by seizures and cognitive impairment.
-
產品名稱:Rabbit anti-Homo sapiens (Human) SLC13A5 Polyclonal antibody
-
Uniprot No.:
-
基因名:
-
別名:Na(+)/citrate cotransporter antibody; NaC2/NaCT antibody; NaCT antibody; Novel solute carrier family 13 (sodium dependent dicarboxylate transporter) (Slc13a2 or 3) member antibody; S13A5_HUMAN antibody; Slc13a5 antibody; Sodium coupled citrate transporter antibody; Sodium-coupled citrate transporter antibody; Sodium-dependent citrate transporter antibody; Solute carrier family 13 (sodium dependent citrate transporter); member 5 antibody; Solute carrier family 13 member 5 antibody
-
宿主:Rabbit
-
反應種屬:Human, Mouse, Rat
-
免疫原:Synthesized peptide derived from human S13A5
-
免疫原種屬:Homo sapiens (Human)
-
克隆類型:Polyclonal
-
抗體亞型:IgG
-
純化方式:Antigen affinity purification
-
濃度:It differs from different batches. Please contact us to confirm it.
-
保存緩沖液:Liquid in PBS containing 50% glycerol, 0.5% BSA and 0.02% sodium azide.
-
產品提供形式:Liquid
-
應用范圍:ELISA, WB, IHC
-
推薦稀釋比:
Application Recommended Dilution WB 1:500-1:2000 IHC 1:50-1:200 -
Protocols:
-
儲存條件:Upon receipt, store at -20°C or -80°C. Avoid repeated freeze.
-
貨期:Basically, we can dispatch the products out in 1-3 working days after receiving your orders. Delivery time maybe differs from different purchasing way or location, please kindly consult your local distributors for specific delivery time.
-
用途:For Research Use Only. Not for use in diagnostic or therapeutic procedures.
相關產品
靶點詳情
-
功能:High-affinity sodium/citrate cotransporter that mediates citrate entry into cells. Transports citrate in a Na(+)-dependent manner, transport process is electrogenic and recognizes the trivalent form of citrate rather than the divalent form. Although citrate is its main substrate, other intermediates of the citric acid cycle, such as succinate, fumarate, malate, oxaloacetate and alpha-ketoglutarate can serve as substrates but with a much lower affinity compared to citrate. Shows a substrate sensitivity in the order of citrate > malate ~ alpha-ketoglutarate > succinate ~ fumarate > oxaloacetate ~ isocitrate. Shows substantial citrate transporter activity when sodium ions are replaced by either potassium or choline ions. Transport activity is potentiated by lithium ions in the presence of low concentrations of citrate but is inhibited by lithium ions in the presence of high concentrations of citrate. Involved in the regulation of citrate levels in the brain.
-
基因功能參考文獻:
- SLC13A5 is the second major gene associated with the clinical diagnosis of KTZS. PMID: 27600704
- Data suggest that SLC13A5 plays a role in progression/cell proliferation of human hepatocellular carcinoma cells; here, RNA interference using shRNA against SLC13A5 decreased tumor burden in treatment of hepatocarcinoma in a xenograft tumor model in nude mice. PMID: 28655760
- Data suggest that SLC13A5 plays a role in progression/proliferation of human hepatocellular carcinoma cells; RNA interference using shRNA against SLC13A5 decreased tumor burden in treatment of hepatocarcinoma in a xenograft tumor model in nude mice. [REVIEW] PMID: 28821606
- Study identified additional SLC13A5 mutations in patients with chronic epilepsy starting in the neonatal period, with the mutations producing inactive Na+/citrate transporters. PMID: 27261973
- Studies show that SLC13A5 is a transporter in the plasma membrane that mediates the uptake of citrate into cells. It is expressed in hepatocytes, neurons, and spermatozoa. Its loss-of-function mutations are associated with neonatal epilepsy in humans. This is a single-gene disease with epilepsy resulting solely from the inactivity of SLC13A5. [review] PMID: 28264506
- In infants presenting with therapy resistant seizures in the first days after birth, without a clear history of hypoxic-ischemic encephalopathy, but with Punctate White Matter Lesions on their neonatal MRI, a diagnosis of SCL13A5 related epileptic encephalopathy should be considered. PMID: 27913086
- Discovery and characterization of novel inhibitors of the sodium-coupled citrate transporter (NaCT or SLC13A5). PMID: 26620127
- Eight patients from four families with SLC13A5 mutation are described. They have neonatal epilepsy, tooth hypoplasia, and developmental delay. PMID: 26384929
- SLC13A5 is a novel target gene of PXR and may contribute to drug-induced steatosis and metabolic disorders in humans. PMID: 25628225
- Screening of 68 additional unrelated individuals with early-onset epileptic encephalopathy for SLC13A5 mutations led to identification of one additional subject with heterozygous mutations of SLC13A5 and a similar clinical presentation as index subjects PMID: 24995870
- Clinical trial of gene-disease association and gene-environment interaction. (HuGE Navigator) PMID: 20379614
- This paper describes the cloning and functional characterization of the human Na(+)-coupled citrate transporter (NaCT). PMID: 12445824
- mediates the utilization of extracellular citrate for fat synthesis in human liver cells, and that the process is stimulated by lithium PMID: 12826022
- Expression and function of NaCT in a cell line and in primary hepatocytes. PMID: 16973915
顯示更多
收起更多
-
相關疾病:Epileptic encephalopathy, early infantile, 25 (EIEE25)
-
亞細胞定位:Cell membrane; Multi-pass membrane protein.
-
蛋白家族:SLC13A/DASS transporter (TC 2.A.47) family, NADC subfamily
-
組織特異性:Expressed most predominantly in the liver, with moderate expression detectable in the brain and testis.
-
數據庫鏈接:
Most popular with customers
-
-
YWHAB Recombinant Monoclonal Antibody
Applications: ELISA, WB, IHC, IF, FC
Species Reactivity: Human, Mouse, Rat
-
Phospho-YAP1 (S127) Recombinant Monoclonal Antibody
Applications: ELISA, WB, IHC
Species Reactivity: Human
-
-
-
-
-















