PPAP2A Antibody
-
中文名稱:PPAP2A兔多克隆抗體
-
貨號:CSB-PA918814
-
規格:¥1100
-
圖片:
-
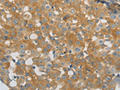
The image on the left is immunohistochemistry of paraffin-embedded Human breast cancer tissue using CSB-PA918814(PPAP2A Antibody) at dilution 1/40, on the right is treated with synthetic peptide. (Original magnification: ×200)
-
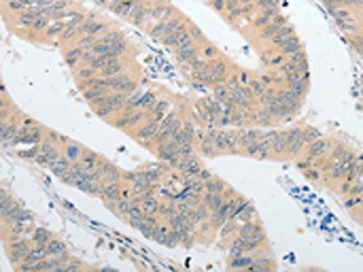
The image on the left is immunohistochemistry of paraffin-embedded Human colon cancer tissue using CSB-PA918814(PPAP2A Antibody) at dilution 1/40, on the right is treated with synthetic peptide. (Original magnification: ×200)
-
Gel: 10%SDS-PAGE, Lysate: 30 μg, Lane: Human liver cancer tissue, Primary antibody: CSB-PA918814(PPAP2A Antibody) at dilution 1/650, Secondary antibody: Goat anti rabbit IgG at 1/8000 dilution, Exposure time: 1 second
-
-
其他:
產品詳情
-
Uniprot No.:
-
基因名:
-
別名:PLPP1; LPP1; PPAP2A; Phospholipid phosphatase 1; Lipid phosphate phosphohydrolase 1; PAP2-alpha; Phosphatidate phosphohydrolase type 2a; Phosphatidic acid phosphatase 2a; PAP-2a; PAP2a
-
宿主:Rabbit
-
反應種屬:Human,Mouse,Rat
-
免疫原:Synthetic peptide of Human PPAP2A
-
免疫原種屬:Homo sapiens (Human)
-
標記方式:Non-conjugated
-
抗體亞型:IgG
-
純化方式:Antigen affinity purification
-
濃度:It differs from different batches. Please contact us to confirm it.
-
保存緩沖液:-20°C, pH7.4 PBS, 0.05% NaN3, 40% Glycerol
-
產品提供形式:Liquid
-
應用范圍:ELISA,WB,IHC
-
推薦稀釋比:
Application Recommended Dilution ELISA 1:2000-1:5000 WB 1:500-1:2000 IHC 1:25-1:100 -
Protocols:
-
儲存條件:Upon receipt, store at -20°C or -80°C. Avoid repeated freeze.
-
貨期:Basically, we can dispatch the products out in 1-3 working days after receiving your orders. Delivery time maybe differs from different purchasing way or location, please kindly consult your local distributors for specific delivery time.
-
用途:For Research Use Only. Not for use in diagnostic or therapeutic procedures.
相關產品
靶點詳情
-
功能:Magnesium-independent phospholipid phosphatase of the plasma membrane that catalyzes the dephosphorylation of a variety of glycerolipid and sphingolipid phosphate esters including phosphatidate/PA, lysophosphatidate/LPA, diacylglycerol pyrophosphate/DGPP, sphingosine 1-phosphate/S1P and ceramide 1-phosphate/C1P. Also acts on N-oleoyl ethanolamine phosphate/N-(9Z-octadecenoyl)-ethanolamine phosphate, a potential physiological compound. Through its extracellular phosphatase activity allows both the hydrolysis and the cellular uptake of these bioactive lipid mediators from the milieu, regulating signal transduction in different cellular processes. It is for instance essential for the extracellular hydrolysis of S1P and subsequent conversion into intracellular S1P. Involved in the regulation of inflammation, platelets activation, cell proliferation and migration among other processes. May also have an intracellular activity to regulate phospholipid-mediated signaling pathways.
-
基因功能參考文獻:
- the first of the two transmembrane regions in human SAC1 (TM1) functions in Golgi localization PMID: 23936490
- Phosphorylation of lipin 1 and charge on the phosphatidic acid head group control its phosphatidic acid phosphatase activity and membrane association PMID: 23426360
- this enzyme regulates interleukin-4-mediated STAT6 signaling. PMID: 12426308
- This protein and phosphoprotein SET regulate androgen production by P450c17. PMID: 12444089
- lipid phosphate phosphatase-1 has a role in regulating accumulation of lysophosphatidic acid in ovarian cancer PMID: 14506139
- Lipopolysaccharide-induced up-regulation of cyclooxygenase-2 depends on the activity of the Mg(+2)-dependent phosphatidic acid phosphohydrolase 1 (PAP-1) PMID: 16950767
- LPP1 and LPP3 are distributed in distinct lipid rafts that may provide unique microenvironments defining their non-redundant physiological functions. PMID: 17005594
- These results suggest that the expression of PAP2a is directly regulated by p73. PMID: 17169329
- These results suggest that LPP1a is important for the determination of plasma FTY720-P levels. PMID: 18755152
顯示更多
收起更多
-
亞細胞定位:Cell membrane; Multi-pass membrane protein. Apical cell membrane; Multi-pass membrane protein. Membrane raft; Multi-pass membrane protein. Membrane, caveola; Multi-pass membrane protein.
-
蛋白家族:PA-phosphatase related phosphoesterase family
-
組織特異性:Widely expressed with highest expression found in prostate. Found to be down-regulated in colon adenocarcinomas.; [Isoform 1]: Predominant in kidney, lung, placenta and liver.; [Isoform 2]: Predominant in heart and pancreas.
-
數據庫鏈接:
Most popular with customers
-
-
YWHAB Recombinant Monoclonal Antibody
Applications: ELISA, WB, IHC, IF, FC
Species Reactivity: Human, Mouse, Rat
-
Phospho-YAP1 (S127) Recombinant Monoclonal Antibody
Applications: ELISA, WB, IHC
Species Reactivity: Human
-
-
-
-
-















