MAP1A Antibody
-
中文名稱:MAP1A兔多克隆抗體
-
貨號:CSB-PA013400LA01HU
-
規格:¥440
-
圖片:
-
IHC image of CSB-PA013400LA01HU diluted at 1:400 and staining in paraffin-embedded human brain tissue performed on a Leica BondTM system. After dewaxing and hydration, antigen retrieval was mediated by high pressure in a citrate buffer (pH 6.0). Section was blocked with 10% normal goat serum 30min at RT. Then primary antibody (1% BSA) was incubated at 4°C overnight. The primary is detected by a biotinylated secondary antibody and visualized using an HRP conjugated SP system.
-
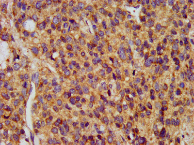
IHC image of CSB-PA013400LA01HU diluted at 1:400 and staining in paraffin-embedded human glioma performed on a Leica BondTM system. After dewaxing and hydration, antigen retrieval was mediated by high pressure in a citrate buffer (pH 6.0). Section was blocked with 10% normal goat serum 30min at RT. Then primary antibody (1% BSA) was incubated at 4°C overnight. The primary is detected by a biotinylated secondary antibody and visualized using an HRP conjugated SP system.
-
Immunofluorescence staining of HepG2 cells with CSB-PA013400LA01HU at 1:133, counter-stained with DAPI. The cells were fixed in 4% formaldehyde, permeabilized using 0.2% Triton X-100 and blocked in 10% normal Goat Serum. The cells were then incubated with the antibody overnight at 4°C. The secondary antibody was Alexa Fluor 488-congugated AffiniPure Goat Anti-Rabbit IgG(H+L).
-
-
其他:
產品詳情
-
產品名稱:Rabbit anti-Homo sapiens (Human) MAP1A Polyclonal antibody
-
Uniprot No.:
-
基因名:MAP1A
-
別名:MAP 1A antibody; MAP 1L antibody; MAP-1A antibody; MAP1 light chain LC2 antibody; Map1a antibody; MAP1A_HUMAN antibody; MAP1L antibody; Microtubule associated protein 1 like antibody; Microtubule associated protein 1A antibody; MTAP 1A antibody; MTAP1A antibody; Proliferation related protein p80 antibody; Proliferation-related protein p80 antibody
-
宿主:Rabbit
-
反應種屬:Human
-
免疫原:Recombinant Human Microtubule-associated protein 1A protein (1979-2168AA)
-
免疫原種屬:Homo sapiens (Human)
-
標記方式:Non-conjugated
本頁面中的產品,MAP1A Antibody (CSB-PA013400LA01HU),的標記方式是Non-conjugated。對于MAP1A Antibody,我們還提供其他標記。見下表:
-
克隆類型:Polyclonal
-
抗體亞型:IgG
-
純化方式:>95%, Protein G purified
-
濃度:It differs from different batches. Please contact us to confirm it.
-
保存緩沖液:Preservative: 0.03% Proclin 300
Constituents: 50% Glycerol, 0.01M PBS, pH 7.4 -
產品提供形式:Liquid
-
應用范圍:ELISA, IHC, IF
-
推薦稀釋比:
Application Recommended Dilution IHC 1:200-1:500 IF 1:50-1:200 -
Protocols:
-
儲存條件:Upon receipt, store at -20°C or -80°C. Avoid repeated freeze.
-
貨期:Basically, we can dispatch the products out in 1-3 working days after receiving your orders. Delivery time maybe differs from different purchasing way or location, please kindly consult your local distributors for specific delivery time.
-
用途:For Research Use Only. Not for use in diagnostic or therapeutic procedures.
相關產品
靶點詳情
-
功能:Structural protein involved in the filamentous cross-bridging between microtubules and other skeletal elements.
-
基因功能參考文獻:
- MAP1A functions to maintain the neuronal microtubule network in the brain and mutations cause Purkinje cell degeneration. PMID: 25788676
- results support a role for MAP1 proteins in promoting efficient retrograde trafficking of HIV-1 by stimulating the formation of stable microtubules and mediating the association of HIV-1 cores with microtubules. PMID: 25505242
- This protein has been found differentially expressed in thalami from patients with schizophrenia. PMID: 20471030
- Data show that two regulatory factor for X box (RFX1 and 3) binding sites in exon1 of both the mouse and human microtubule-associated protein (MAP1A) gene are important for effective transcriptional repression in non-neuronal cells. PMID: 12411430
- a novel protein-binding partner for EPAC1 and EPAC2, light chain 2 of MAP1A (microtubule-associated protein 1A) PMID: 15202935
- MAP1A LC2 is a biological enhancer of EPAC1 activity toward Rap1 and associated downstream signaling mechanisms PMID: 15591041
- Complexes (MAP1B heavy chain-MAP1A light chain) form through interaction of homologous domains conserved in heavy and light chains of MAP1A and MAP1B. Conserved domains of the MAP1A and MAP1B light chains account for formation of light chain heterodimers. PMID: 16996626
- postulate that the RhoB and MAP1A/LC2 interactions facilitate endocytic vesicle trafficking and regulate the trafficking of signaling molecules PMID: 18056259
顯示更多
收起更多
-
亞細胞定位:Cytoplasm, cytoskeleton.
-
蛋白家族:MAP1 family
-
組織特異性:Brain.
-
數據庫鏈接:
Most popular with customers
-
-
YWHAB Recombinant Monoclonal Antibody
Applications: ELISA, WB, IHC, IF, FC
Species Reactivity: Human, Mouse, Rat
-
-
-
-
-
-















